Histomorphological changes in baker’s cyst tissues associated with the duration of one-directional thermal exposure
- Authors: Chernyadyev S.A.1, Kirshina O.V.1, Korobova N.Y.1, Zhilyakov A.V.2, Sivkova N.I.3, Medvedeva S.Y.4, Moroz G.A.1
-
Affiliations:
- Ural State Medical University
- “NOTAMED”
- Ural Federal University
- Immunology and physiology of the Ural branch of the Russian Academy of Sciences
- Issue: Vol 158, No 6 (2020)
- Pages: 151-159
- Section: Original Study Articles
- Submitted: 03.03.2022
- Accepted: 03.03.2022
- Published: 15.11.2020
- URL: https://j-morphology.com/1026-3543/article/view/104411
- DOI: https://doi.org/10.17816/1026-3543-2020-158-6-151-159
- ID: 104411
Cite item
Full Text
Abstract
AIM: To identify and describe micro- and ultrastructural thermally induced changes in Baker’s cyst wall associated with the duration of unidirectional uniform heating at 70°C.
MATERIALS AND METHODS: We took one full-thickness fragment from each of the 15 Baker’s cysts excised during the operation and divided each fragment into four parts: one was used as a control sample, and the remaining three fragments were placed with the synovial membrane on a thermostat heated to 70°C, with exposure times of 60, 120, and 180 seconds. We used light-optical and electron microscopes for the histomorphological examination of the samples.
RESULTS: Two layers of Baker’s cyst wall were identified: inner (synovial) and outer (fibrous). In samples exposed to heat for 60 seconds, the synovial layer was undamaged. In samples exposed to heat for 120 seconds, thermal damage to the cells of the synovial layer and underlying collagen fibers of the fibrous layer was evident. With a heating duration of up to 180 seconds, histomorphological examination revealed signs of damage reaching the middle of the fibrous layer, and signs of deep disorganization of the collagen fibers of the cyst wall were determined at the electron-microscopic level.
DISCUSSION: Using light microscopy of intact sections of the cyst wall, we, like other researchers, identified two layers (synovial and fibrous) of different densities, with blood vessels passing through them. The performed experiment suggests that a clinically significant result using Baker’s cyst thermotherapy is achieved when spreading the zone of irreversible coagulation beyond the middle of the fibrous layer of the cyst wall. This, in turn, guarantees damage to the capillary network that provides trophism and proliferation of synoviocytes. The proposed hypothesis corresponds to the paradigm of similar studies on the coagulation of cysts of other localizations.
CONCLUSION: The obtained results of the light-optical and electron-microscopic examination of Baker’s cyst wall fragments indicate direct dependence of the depth of thermal coagulation on the duration of heating.
Full Text
Подколенные кисты являются часто встречающимися доброкачественными полостными новообразованиями периартикулярных мягких тканей [1]. W. Baker в 1877 г. впервые подробно описал их, в связи с чем в литературе они известны как кисты Бейкера. Это патологическое образование формируется при хроническом воспалении икроножно-полуперепончатой бурсы, расположенной в медиальной части подколенной ямки, с последующим её расширением.
Для малоинвазивного лечения кист Бейкера разработана технология интерстициальной лазерной облитерации, цель которой – фотодеструкция синовиальной оболочки. Главным фактором, определяющим глубину и степень фотокоагуляции стенки кисты, является длительность её контакта с излучающим световодом [2].
Однако нужно отметить такие недостатки метода, как ограничение объёма кист (10 мм3), пригодных для облитерации, и малопредсказуемость распределения фотоиндуцированных тепловых полей в биологических тканях [3]. В то же время наблюдения А.И. Неворотина (2000) свидетельствуют, что длительное прямое лазерное облучение биологических тканей приводит к изменению их свойств, увеличению резистентности к лизосомальным гидролазам, уменьшению количества тромбоцитарных факторов роста, что затягивает процесс заживления [4].
С целью минимизации отрицательных эффектов лазерного излучения и увеличения возможностей метода ряд авторов предложили использовать частично сохранённое содержимое кисты или введённые извне водные растворы местных анестетиков. Водная среда обладает высокой теплоёмкостью и возможностью равномерного распределения тепла за счёт конвекции [5], а также ограничивает неконтролируемую фотодеструкцию биологических тканей прямым лазерным излучением [6]. Для опосредованной термотерапии оптимально применение лазерного излучения длиной 1,47–1,54 мкм, поскольку оно наиболее полно поглощается водной средой [7].
Очевидно, что клинический результат такого теплового воздействия во многом зависит не только от изменения температуры в процессе нагрева, но и от типа коагулируемой биоткани, её структуры и строения. В литературе обнаружено достаточное количество работ, описывающих гистоморфологическое строение кисты Бейкера, но сведения, предоставленные в них, носят преимущественно описательный характер и сообщают о многослойном строении стенки кисты и типе её кровоснабжения [8, 9].
Значительный интерес представляют работы по изучению коагуляционного эффекта прямого интерстициального лазерного облучения на различные биологические ткани [10, 11]. Но исследования, отражающие изменения тканей кисты Бейкера под воздействием светового облучения или теплового воздействия, ранее не проводились. В этой связи принято решение провести экспериментальное описательное исследование гистоморфологических термоиндуцированных модификаций стенки кисты.
Цель. Выявить и описать микро- и ультраструктурные термоиндуцированные изменения стенки кисты Бейкера в зависимости от продолжительности однонаправленного равномерного нагрева при 70 °С.
МАТЕРИАЛЫ И МЕТОДЫ
Критерием включения в исследование явилась выявленная методом ультразвуковой диагностики многокамерная подколенная киста, сообщающаяся с полостью сустава объёмом не менее 10 см3.
Основные причины исключения:
- однокамерное строение кисты,
- её незначительный объём (менее 10 см3),
- отказ больного от участия в исследовании.
Эксперимент изначально планировался как пилотный и имел своей целью лишь предварительное описание структурных изменений тканей кисты Бейкера при термокоагуляции. В связи с этим контрольная группа дизайном исследования не предусмотрена, а статистическая обработка материала не проводилась.
При выполнении данного экспериментального исследования неукоснительно соблюдалась Хельсинкская декларация 1975 г. и её пересмотренный вариант 2013 г. [12]. Все пациенты подписали информированное согласие на оперативное лечение и участие в исследовательской работе, суть которой была доведена в понятной для них форме. Формат работы одобрен решением Локального этического комитета ФГБОУ ВО «Уральский государственный медицинский университет» Министерства здравоохранения Российской Федерации от 18 апреля 2014 г. № 4.
Работа выполнена на операционном материале, полученном от 15 больных, находившихся на лечении в ортопедическом отделении ГТБ № 36 г. Екатеринбурга. При работе с секционным материалом были учтены все требования Федерального закона от 12.01.1996 № 8-ФЗ (ред. от 03.07.2016, с изм. от 19.12.2016) «О погребении и похоронном деле» (с изм. и доп., вступ. в силу с 01.01.2017) (ст. 5), а также Приказом МЗ РФ №179н 24.03.2016 «О порядке проведения патолого-анатомических исследований».
Интактные образцы биотканей, полученные в ходе плановых операций по поводу удаления кисты Бейкера, сразу же после иссечения обкладывали стерильными хлопчатобумажными салфетками, пропитанными физиологическим раствором. В течение первого ч из каждой кисты было взято по 4 полнослойных участка её стенки, один из которых (контрольный) погружали в 10% раствор нейтрального формалина, а оставшиеся 3 фрагмента (экспериментальные) использовали для исследования.
Контактное тепловое воздействие осуществляли с помощью специально сконструированного термостолика, рабочая поверхность которого равномерно нагревалась до 70 °С. Выбор этого уровня обусловлен тем, что именно с него начинается необратимая коагуляция коллагена, составляющего основную массу стенки кисты Бейкера [13]. Температура поддерживалась на постоянном уровне при помощи термостата. Эффект пригорания и неравномерность прилегания биоткани к столику устранялись путём нанесения на его рабочую поверхность тонкого слоя силиконового масла.
Для формирования термоиндуцированных структурных изменений все 3 экспериментальных фрагмента стенки кисты Бейкера поочередно и однократно помещали на описанный выше термостолик. С целью изучения развития процессов термоиндуцированной коагуляции продолжительность контакта с нагревателем каждого фрагмента различалась, составляя по 60, 120 и 180 с в отдельной серии эксперимента. Сразу же по завершении запланированного термовоздействия все фрагменты стенки кисты погружали по одному в отдельные флаконы с 10% раствором нейтрального формалина и направляли в гистологическую лабораторию для дальнейшего гистологического анализа.
Для рутинного светооптического гистологического исследования из всех образцов изготавливали по 3–4 микроскопических среза толщиной 5–7 мкм, которые окрашивали гематоксилином и эозином. Гистологическую идентификацию соединительной ткани проводили посредством окраски препарата по Ван Гизону. После окрашивания микропрепараты исследовали под световым микроскопом Leica DM 2500 (Leica Microsystems, Germany) с возможностью вывода изображения на монитор компьютера.
Влияние процессов термокоагуляции на ультраструктурное строение стенки кисты Бейкера оценивали при помощи электронной микроскопии образцов. Для чего из каждого контрольного и экспериментального фрагмента тканей острым скальпелем отсекали кусочек внутренней выстилки кисты размером 1,0×1,0 мм. Материал фиксировали в 2% параформальдегиде и 2,5% глутаральдегиде на какодилатном буфере (по Карновскому) с 5% сахарозой, затем дофиксировали в 2% тетраоксиде осмия, контрастировали ацетатом урана «в блоке» и заливали в смолу Epon 812 (Sigma-Aldrich, USA).
Ускоренную проводку материала выполняли под действием микроволнового излучения с применением аппарата HISTOS REM RAPID MICROWAVE HISTOPROCESSOR (MILESTONE MEDICAL, USA) при температуре 37° и частоте 50 Hz. Блоки резали на ультрамикротоме PowerTome PT FL (RMC Boeckeler, Germany). Полутонкие срезы толщиной 900 нм с эпоксидных блоков окрашивали толлуидиновым синим с добавлением 1% буры. Ультратонкие срезы толщиной 60 нм контрастировали по методу Рейнольдса уранилацетатом и цитратом свинца.
После такой специальной обработки препарата его сетки изучали в сканирующем электронном микроскопе AURIGA FIB-SEM workstation с STEM детектором в диапазоне увеличения 1200-50000 («Carl Zeiss & MT», Germany), согласно методике, описанной авторами.
РЕЗУЛЬТАТЫ
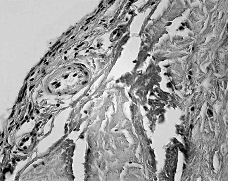
При гистоморфологическом исследовании было выявлено, что стенка кисты Бейкера устроена аналогично икроножно-полуперепончатой бурсе, при этом имелись признаки склероза, а в ряде случаев – слабовыраженная лимфоцитарная инфильтрация (рис. 1, 2). В строении стенки кисты чётко выделялись 2 слоя:
- внутренний – синовиальный (представленный синовиальными клетками),
- наружный – фиброзный слой (представленный плотной неоформленной соединительной тканью).
Рис. 1. Срез стенки кисты Бейкера (Г–Э, ×100). А – атрофичный синовиальный слой. B – фиброзный слой.
Fig. 1. A section of the wall of the Baker cyst (G-E, ×100). A – atrophic synovial layer. B – fibrous layer.
Рис. 2. Срез стенки кисты Бейкера (пикрофуксином по Ван Гизону, ×100). Видно обилие параллельно ориентированных коллагеновых волокон.
Fig. 2. A section of the wall of the Baker’s cyst (picrofuchsin according to Van Gieson, ×100). An abundance of parallel-oriented collagen fibers is shown.
Клеточный состав стенки кисты был представлен фиброцитами, макрофагами, однокапельными адипоцитами и лимфоцитами. В обоих слоях выявлены единичные кровеносные сосуды (в основном капилляры). Электронограммы демонстрировали исчерченные коллагеновые волокна в обоих слоях стенки кисты. Клетки фиброцитов/фибробластов располагались между многочисленными жировыми клетками, имели слаборазвитые органеллы, многочисленные отростки (рис. 3).
Рис. 3. Электронограмма кисты Бейкера. Видны интактные коллагеновые волокна с исчерченностью. Обнаруживаются капилляры с эритроцитом в просвете.
Fig. 3. An electronogram of Baker’s cyst. Intact collagen fibers with striation are visible. Capillaries with erythrocytes in the lumen are found.
Гистоморфологические изменения тканей стенки кисты Бейкера были оценены в зависимости от длительности одностороннего контакта с нагретым до 70° термостоликом. Во фрагментах с экспозицией теплового воздействия 60 с формировались признаки термического повреждения поверхностно расположенных коллагеновых волокон фиброзного слоя, при этом синовиальный слой не демонстрировал признаков повреждения на гистологическом уровне (рис. 4). При исследовании с помощью электронного микроскопа отмечалась слабая вакуолизация цитоплазмы фибробластов, без повреждения их мембран, органоидов и ядер клеток (рис. 5).
Рис. 4. Стенка кисты Бейкера после 60-с нагрева (×400, Г-Э). Термическое повреждение коллагеновых волокон поверхностных отделов фиброзного слоя. Сохранный синовиальный слой.
Fig. 4. Baker’s cyst wall after 60 s of thermal exposure (×400, G-E). Thermal damage to collagen fibers of the superficial sections of the fibrous layer. The synovial layer was preserved.
Рис. 5. Электронограмма стенки кисты Бейкера после 60-с нагрева. Коллагеновые волокна частично (50%) потеряли исчерченность, значительно набухли, частично разрушены. Разрушение органелл фибробластов, потеря отростков.
Fig. 5. Electron diffraction pattern of Baker’s cyst wall after 60 s of thermal exposure. Collagen fibers partially (50%) lost their striation, significantly swelled, and were partially destroyed. Destruction of fibroblast organelles and loss of processes were evident.
При гистологическом исследовании тканей кисты после 120-с термовоздействия были обнаружены признаки термического повреждения клеток синовиального слоя, а также подлежащих коллагеновых волокон фиброзного слоя. Электронно-микроскопическое исследование показало, что многие коллагеновые волокна (70–90%) потеряли исчерченность и упорядоченность ориентации, отмечались признаки деструкции мембран фибробластов и признаки ядерного пикноза.
При термической экспозиции в 180 с гистологическое исследование демонстрировало признаки необратимых повреждений, достигающих середины фиброзного слоя стенки кисты (рис. 6). На электронно-микроскопическом уровне определялись признаки глубокой дезорганизации коллагеновых волокон стенки кисты – все коллагеновые волокна потеряли исчерченность и упорядоченность ориентации. Определялись единичные фибробласты с признаками вакуолизации, лишенные отростков и органелл (рис. 7).
Рис. 6. Стенка кисты Бейкера после 180-с нагрева (×400, Г-Э). Термическая деструкция синовиального слоя и глубоко расположенных коллагеновых волокон фиброзного слоя.
Fig. 6. Baker’s cyst wall after 180 s of thermal exposure (×400, G-E). Thermal destruction of the synovial layer and deeply located collagen fibers of the fibrous layer were evident.
Рис. 7. Электронограмма стенки кисты Бейкера после 180 с нагрева. Полная деструкция коллагеновых волокон: потеря исчерченности и набухание. Обилие белкового дебриса.
Fig. 7. Electron diffraction pattern of the Baker’s cyst wall after 180 s of thermal exposure. Collagen fibers were destroyed, and loss of striation and swelling were evident. Protein debris was abundant.
ОБСУЖДЕНИЕ
Исследования, проведённые Л.Г. Нурбулатовой (2010) при изучении нормальной ангиоархитектоники синовиальных бурс коленного сустава, доказали, что кровеносные сосуды в стенке икроножно-полуперепончатой сумки образуют 2 сети: поверхностную и глубокую [14, 15]. Это совпадает с нашими наблюдениями и позволяет предположить, что киста Бейкера сохраняет тот же тип кровоснабжения, что и неизменённая икроножно-полуперепончатая бурса [16].
Выполненный эксперимент позволяет предположить, что для достижения клинически значимого результата термотерапии кисты Бейкера необходимо распространение зоны необратимой коагуляции за середину фиброзного слоя стенки кисты. Это в свою очередь гарантирует повреждение капиллярной сети, обеспечивающей трофику и пролиферацию синовиоцитов. При этом тотальной коагуляции всей толщи или сквозного повреждения стенки кисты Бейкера мы не наблюдали ни разу в течение всего эксперимента.
Выдвинутая гипотеза соответствует парадигме аналогичных исследований коагуляции кист иных локализаций [17–21]. В то же время логично предположить, что сохранение сосудистой сети наружного фиброзного слоя предотвратит формирование влажного некроза при процессе необратимого сморщивания (shrinkage) стенки с последующей облитерацией полости кисты.
Проведённое нами исследование носит пилотный характер. Гистоморфологическое исследование образцов стенки кисты носило исключительно качественный характер, что связано с малым количеством образцов, а также с отсутствием унифицированных морфометрических шкал для количественной оценки степени термического повреждения синовия. В связи с этим при светооптическом и электрономикроскопическом исследованиях мы фиксировали только явные морфологические изменения стенки кисты, игнорируя потенциально-артефициальные признаки, а оценка препаратов проводилась двумя врачами-морфологами независимо друг от друга (показатель % морфологического согласия для каждого из исследованных признаков составлял 91–100%).
Кроме того, достоверное количественное выражение глубины коагуляционных изменений навряд ли представляется возможным, поскольку объём образца, трансформированного под воздействием тепла, представляет собой результирующую переменную большого числа взаимодействующих и плохо учитываемых параметров (плотности упаковки препарата, величины, принципов пространственной организации других структурных составляющих препарата и их пространственной ориентировки в парафиновом блоке).
ЗАКЛЮЧЕНИЕ
Если при 60-с экспозиции термического воздействия не отмечалось повреждения даже синовиального слоя, то после 180 с нагрева зона необратимой коагуляции уже достигала микрососудов стенки кисты и середины её фиброзного слоя. Полученные результаты светооптического и электронно-микроскопического исследования фрагментов стенки кисты Бейкера демонстрировали признаки термической коагуляции различной выраженности и глубины распространения, которые коррелировали с продолжительностью нагрева. Контакт с теплоносителем, нагретым до 70 °С в течение 180 с, не приводит к сквозному повреждению стенки кисты.
В результате нашего исследования качественными гистологическими методами нам удалось установить – зависимость глубины термического повреждения стенки кисты от длительности экспозиции повреждающего фактора, что создаёт базу для последующих исследований. В частности, представляется перспективным исследовать экспозицию термического фактора (70 °С) в течение 180 с на большем количестве единиц наблюдения с соблюдением единого стандарта ориентации материала в парафиновых блоках с использованием полуколичественных визуально-аналоговых шкал.
ДОПОЛНИТЕЛЬНАЯ ИНФОРМАЦИЯ /ADDITIONAL INFO
Источник финансирования. Результаты являются частью НИОКР, профинансированной из средств гранта по программе «Старт», выданного ФГБУ «Фонд содействия развитию малых форм предприятий в научно-технической сфере» (Фонд содействия инновациям).
Конфликт интересов. Авторы декларируют отсутствие явных и потенциальных конфликтов интересов, связанных с публикацией настоящей статьи.
Вклад авторов. Все авторы подтверждают соответствие своего авторства международным критериям ICMJE (все авторы внесли существенный вклад в разработку концепции, проведение исследования и подготовку статьи, прочли и одобрили финальную версию перед публикацией).
Благодарности. Авторы выражают свою искреннюю благодарность коллективу ортопедического отделения МАУ ГБ №36 «Травматологическая» г. Екатеринбург и лично его руководителю д.м.н., врачу высшей категории Столбикову С.А. за неоценимую помощь в сборе материала, подготовке материала к исследованию и весьма ценные практические рекомендации.
Funding source. The results are part of the R&D funded by the grant under the Start Program issued by the Federal State Budgetary Institution “Fund for Assistance to the Development of Small Forms of Enterprises in the Scientific and Technical Sphere” (Innovation Promotion Fund)
Competing interests. The authors declare that they have no competing interests.
Author contributions. All authors confirm the compliance of their authorship, according to the international ICMJE criteria. All authors made a substantial contribution to the conception of the work, acquisition, analysis, interpretation of data for the work, drafting and revising the work, and final approval of the version to be published.
Acknowledgments. The authors sincerely thank the staff of the Orthopedic Department of MAU GB No. 36 “Traumatological,” Yekaterinburg, and specifically to its Head, MD, doctor of the highest category, Stolbikov S.A. for the invaluable assistance in collecting material, preparing material for the study, and valuable practical recommendations.
About the authors
Sergey A. Chernyadyev
Ural State Medical University
Email: chsa-surg@mail.ru
ORCID iD: 0000-0003-4207-1862
SPIN-code: 6815-7963
MD, Dr. Sci. (Med.), Professor
Russian Federation, 47, 44, Krasnoflotsev st., Yekaterinburg, 620057Olga V. Kirshina
Ural State Medical University
Email: KirshinaOV@mail.ru
MD, Dr. Sci. (Med.)
Russian Federation, 47, 44, Krasnoflotsev st., Yekaterinburg, 620057Natalya Y. Korobova
Ural State Medical University
Email: olvin.phlebolog@mail.ru
ORCID iD: 0000-0002-8523-912X
SPIN-code: 8945-5570
MD, Cand. Sci. (Med.)
Russian Federation, 47, 44, Krasnoflotsev st., Yekaterinburg, 620057Andrey V. Zhilyakov
“NOTAMED”
Author for correspondence.
Email: doctor-zhilyakov@rambler.ru
ORCID iD: 0000-0003-1261-3712
SPIN-code: 2275-0696
MD, Cand. Sci. (Med.)
Russian Federation, 47, 44, Krasnoflotsev st., Yekaterinburg, 620057Nadezhda I. Sivkova
Ural Federal University
Email: Letica@mail.ru
ORCID iD: 0000-0002-6331-0124
SPIN-code: 1835-8921
PhD
Russian Federation, 47, 44, Krasnoflotsev st., Yekaterinburg, 620057Svetlana Y. Medvedeva
Immunology and physiology of the Ural branch of the Russian Academy of Sciences
Email: medvedeva-ran@yandex.ru
ORCID iD: 0000-0002-0691-7579
SPIN-code: 6168-7255
Senior Researcher
Russian Federation, 47, 44, Krasnoflotsev st., Yekaterinburg, 620057Gleb A. Moroz
Ural State Medical University
Email: GAMoroz@mail.ru
ORCID iD: 0000-0003-1766-8608
SPIN-code: 4124-3282
MD, Assistant
Russian Federation, 47, 44, Krasnoflotsev st., Yekaterinburg, 620057References
- Hayashi D, Roemer FW, Dhina Z, et al. Longitudinal assessment of cyst-like lesions of the knee and their relation to radiographic osteoarthritis and MRI-detected effusion and synovitis in patients with knee pain. Arthritis research & therapy. 2010;12(5):R172. doi: 10.1186/ar3132
- Chernyad’ev SA, Chernookov AI, Zhilyakov AV, et al. The use of the ultrasound method to monitor the implementation of interventional laser obliteration of Baker’s cyst and evaluate its immediate results. Radiologiya-praktika. 2015;3:24–26. (In Russ).
- Tse O, Pinnau R, Siedow N. Identification of temperature-dependent parameters in laser-interstitial thermotherapy. Mathematical Models and Methods in Applied Sciences. 2012;22(9):1250019. doi: 10.1142/S0218202512500194
- Nevorotin A.I. Introduction to Laser Surgery: A Training Manual. SPb:. SpetsLit, 2000. 175 p. (In Russ).
- Chudnovskii VM, Yusupov VI, Dydykin AV, et al. Laser-induced boiling of biological fluids in medical technology. Kvantovaya elektronika. 2017;47(4):361–370. (In Russ).
- Eliseenko VI. Features of the healing of laser wounds. Lasernya Medicina. 2011;15(2):24-24. (In Russ).
- Sokolov AL, Udod AA, Verbitskaya GO, et al. Comparative evaluation of vein fibrosis after laser coagulation using radiation with wavelengths of 1, 56 and 0, 97 microns in the experiment. Lazernaya meditsina. 2009;13(4):32–36. (In Russ).
- Adler CP. Bone diseases: macroscopic, histological, and radiological diagnosis of structural changes in the skeleton. Springer Science & Business Media. 2013. doi: 10.1016/s0720-048x(00)00246-1
- Herman AM, Marzo JM. Popliteal cysts: a current review. Orthopedics. 2014;37(8):e678–e684. doi: 10.3928/01477447-20140728-52
- Missios S, Bekelis K, Barnett GH. Renaissance of laser interstitial thermal ablation. Neurosurgical focus. 2015;38(3):E13. doi: 10.3171/2014.12.FOCUS14762
- Saccomandi P, Schena E, Caponero MA, et al. Theoretical analysis and experimental evaluation of laser-induced interstitial thermotherapy in ex vivo porcine pancreas. IEEE Transactions on biomedical engineering. 2012;59(10):2958–64. doi: 10.1109/TBME.2012.2210895
- World Medical Association Declaration of Helsinki: ethical principles for medical research involving human subjects. Jama. 2013;310(20):2191–94.
- Chernyadev SA, Aretinsky VB, Sivkova NI, et al. Calorimetric study of biotissue of Baker’s cyst. Biofizika. 2018;63(6):1221–25.
- Nurbulatova LG, Vagapova VSh. Circulatory microvasculature of the walls of the synovial bags of the knee joint. Meditsinskii vestnik Bashkortostana. 2010;5(5):117–120. (In Russ).
- Trăistaru R., Popescu R., Gruia C., et al. A complex assessment of patients with knee osteoarthritis and Baker’s cyst: observational study. Rom J Morphol Embryol. 2013;54(3):593–601.
- Nurbulatova LG. Surface relief and structure of the microvasculature of the synovial membrane of the periarticular synovial bags of the knee joint. Morfologiya. 2010;137(4):144. (In Russ).
- Orlov OG. Surgical treatment of simple liver cysts using mini-access. Sovremennye tehnologii v medicine. 2010:1(2):38–39 (In Russ).
- Yong-zhong I, Ming-xing LI, Wang Tao, et al. Efficacy and safety of alcohol sclerotherapy involving single-session multiple injections to treat simple renal cysts: a multicenter, prospective, randomized, controlled trial. Chinese medical journal. 2013;126(5):803–807. doi: 10.3760/cma.j.issn.0366-6999.20122482
- Qu H, Dong J, Wang Y, et al. Treatment of Popliteal Cyst through Radiofrequency Thermocoagulation under Ultrasound Guidance. Pain Studies and Treatment. 2021;9(2):7–15. doi: 10.4236/pst.2021.92002
- Moris M, Atar M, Kadayifci A, et al. Thermal ablation of pancreatic cyst with a prototype endoscopic ultrasound capable radiofrequency needle device: A pilot feasibility study. Endosc Ultrasound. 2017;6(2):123–130. doi: 10.4103/eus.eus_6_17
- Anselmetti GC, Marras M. RF for Treatments of Benign Lesions. In: Marcia S., Saba L. (eds) Radiofrequency Treatments on the Spine. Springer, Cham. 2017. doi: 10.1007/978-3-319-41462-1_10
Supplementary files










