Histochemical identification of mast cells in the pia mater of the rat
- Authors: Korzhevskii D.E.1, Fedorova E.A.1, Sufieva D.A.1, Grigorev I.P.1
 - 
							Affiliations: 
							
- Institute of Experimental Medicine
 
 - Issue: Vol 158, No 6 (2020)
 - Pages: 161-166
 - Section: Original Study Articles
 - Submitted: 03.03.2022
 - Accepted: 03.03.2022
 - Published: 15.11.2020
 - URL: https://j-morphology.com/1026-3543/article/view/104417
 - DOI: https://doi.org/10.17816/1026-3543-2020-158-6-161-166
 - ID: 104417
 
Cite item
Full Text
Abstract
AIM: Identification of mast cells depends to great extent on the choice of the stain and the fixative, the type of mast cells and the tissue under study, and animal species. Based on this, this work aimed to find an optimal technique of histochemical revealing mast cells in the rat pia mater by testing three stains.
MATERIALS AND METHODS: The study was performed on the brain of Wistar rats 5, 14, and 30 day-old (n=15). 6–7 μm thick brain sections were Nissl stained with cresyl violet, toluidine blue, or methylene green and examined in Leica DM750 light microscope (Germany).
RESULTS: Mast cells were found in pia mater of rats of all ages studied after staining with each of used stains. They could be determined by their metachromatic staining. Use of cresyl violet or toluidine blue resulted in intensive staining of all cellular elements of the nervous tissue, but mastocytes were metachromatically weakly stained on this background and in some cases could not be differentiated from the surrounding tissue. After usage of methylene green, the brain section staining was paler, but metachromasia of bright stained mast cells was more contrast and could distinctly be registered by digital photography.
CONCLUSIONS: Metachromatic staining with methylene green is optimal for study of mast cells in the pia mater of the rat. It provides easy revealing of pial mastocytes and studying their morphologic features and is useful for morphometric analysis of mastocytes.
Keywords
Full Text
Тучные клетки (мастоциты) – это клетки гематопоэтического происхождения, основная функция которых защищать органы и ткани от патогенов и аллергенов. Помимо этого, доказано участие мастоцитов в регуляции гемодинамики и проницаемости кровеносных сосудов, ангиогенеза, нейрогенеза во взрослом мозге и тканевого гомеостаза [1]. Показана причастность тучных клеток к патогенезу ряда аутоиммунных, сердечно-сосудистых, онкологических, нервных и психических заболеваний [2]. Многофункциональность тучных клеток обеспечивается огромным количеством их медиаторов и рецепторов, которые дают им возможность взаимодействовать с окружающими клетками и элементами эндокринной и иммунной систем организма.
Мастоциты были обнаружены практически во всех органах млекопитающих. У некоторых из них они были описаны в мягкой мозговой оболочке [3]. Мягкая мозговая оболочка (pia mater) – самая глубокая из мозговых оболочек, которая прилегает к внешнему слою нервной ткани, повторяя контуры борозд и извилин мозга. Она состоит из коллагеновых, ретикулярных и эластических волокон, слоя лептоменингеальных клеток, пронизана многочисленными кровеносными сосудами и формирует своего рода обшивку вокруг сосудов, которые входят и выходят из головного мозга [4].
Для выявления тучных клеток чаще всего используют классический метод окраски анилиновыми красителями, которыми мастоциты окрашиваются метахроматически, то есть отлично от цвета остальных элементов ткани. Однако мастоциты гетерогенны по своим морфологическим и химическим свойствам [2], в результате чего разные красители с разной эффективностью выявляют их в разных органах [5, 6]. В случае изучения тучных клеток человека часто используются высокоэффективные методы иммуногистохимии, которые позволяют выявлять протеазы тучных клеток, однако данные методы и антитела не подходят для использования на крысе, поскольку у неё другой набор протеаз, а высокоэффективные антитела к этим белкам не получены к настоящему времени. Вследствие этого гистохимический метод выявления тучных клеток является методом выбора в работах на крысах, но возникает необходимость подбора наиболее эффективного метода визуализации мастоцитов в каждом отдельном органе. В настоящей работе мы провели тестирование трёх различных красителей для нахождения оптимального способа гистохимического окрашивания тучных клеток в мягкой мозговой оболочке крысы.
МАТЕРИАЛ И МЕТОДЫ
Работа проведена на 15 крысах линии Вистар в возрасте 5, 14 и 30 дней. При содержании и умерщвлении животных руководствовались «Правилами проведения работ с использованием экспериментальных животных» (приложение к приказу МЗ СССР № 755 от 12.08.1977 г.), Хельсинкской декларацией 1975 г. и её пересмотренным вариантом 2000 г. План проведения работ утверждён и одобрен на заседании Локального этического комитета ФГБНУ «ИЭМ» (протокол № 3/19 от 25.04.2019). Фиксацию головного мозга проводили в цинк-этанол-формальдегиде в течение 1 сут. Затем материал обезвоживали, заливали в парафин обычным способом. Использовали серийные срезы мозга толщиной 6–7 мкм. Для гистохимического выявления тучных клеток препараты окрашивали одним из следующих красителей: крезиловым фиолетовым (Merck, Германия), метиленовым зелёным (Ferak Berlin, Германия), толуидиновым синим (Acros organics, Бельгия) по методу Ниссля, используя во всех случаях 0,1% водные растворы красителей. Препараты депарафинизировали и регидратировали обычным способом через ксилолы и спирты, доводили их до дистиллированной воды, а затем производили окраску 10–12 мин в заранее приготовленных растворах красителей. Дифференцировали в 96-градусном спирте, проводили через две порции изопропилового спирта, просветляли в ксилолах и заключали в перманентную среду Cytoseal 60 (Richard-Allan Scientific, США). Полученные препараты анализировали с помощью светового микроскопа Leica DM750 (Германия) и фотографировали с помощью фотокамеры ICC50 (Leica, Германия).
РЕЗУЛЬТАТЫ
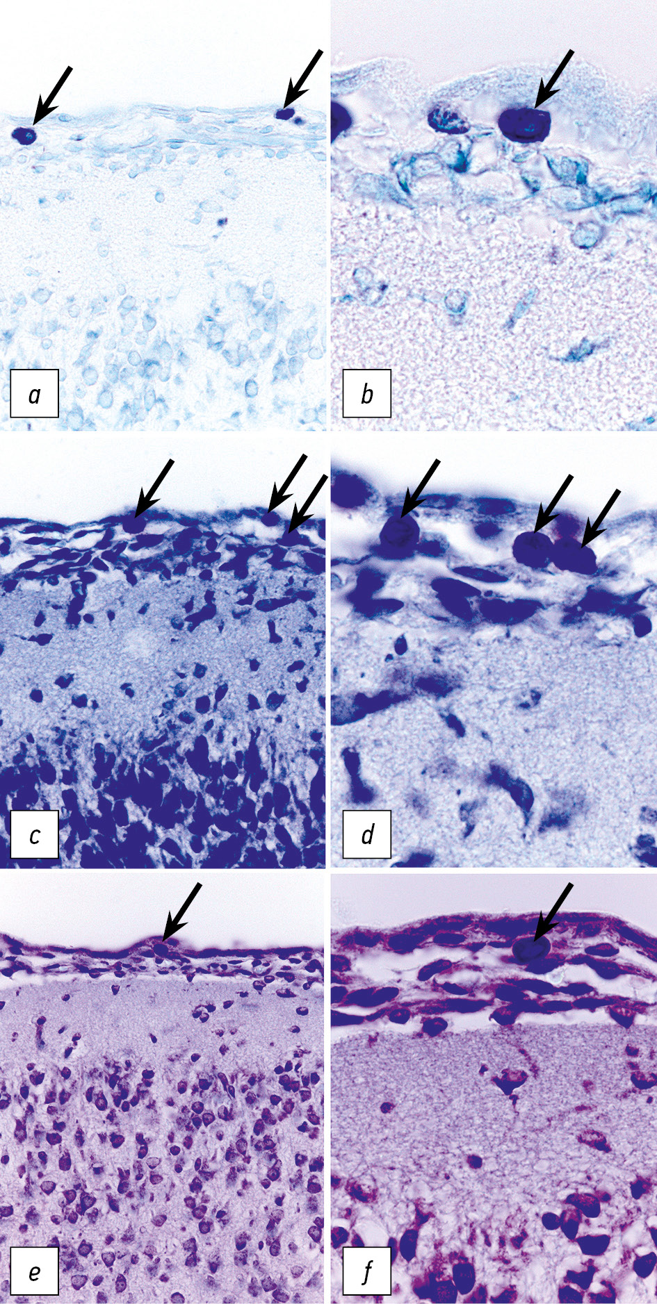
Интенсивность окрашивания срезов мозга каждым из красителей не зависела от возраста крыс. Тучные клетки были обнаружены в мягкой мозговой оболочке крыс всех исследованных возрастов, но с разной частотой. Они выделялись метахроматической фиолетовой окраской среди других ортохроматически окрашенных (сине-голубых) клеток (см. рис.) и представляли собой крупные округлые и продолговатые гранулярные клетки с размером длиной оси до 8–10 μм. Мастоциты можно было выявить на препаратах, окрашенных любым из использованных красителей. На препаратах, где были использованы крезиловый фиолетовый или толуидиновый синий, интенсивно окрашивались все клеточные элементы нервной ткани, однако на этом фоне слабо выделялись метахроматически окрашенные тучные клетки. После окрашивания метиленовым зелёным окраска срезов мозга была более бледной (светлого сине-зелёного цвета), но метахроматически ярко окрашенные тёмно-синие тучные клетки на этом фоне контрастно выделялись и были видны очень отчётливо.
Рис. Тучные клетки в мягкой оболочке мозга крысы в возрасте 14 сут. Препараты окрашены метиленовым зелёным (a, b), толуидиновым синим (c, d) или крезиловым фиолетовым (e, f). Тучные клетки обозначены стрелками. Увеличение: окуляр ×10, объектив ×40 (a, c, e), ×100 (b, d, f).
Fig. Mast cells in the pia mater of 14 day-old rat. Specimens are stained with methylene green (a, b), toluidine blue (c, d), and cresyl violet (e, f). Mast cells are indicated by arrows. Magnification: ocular ×10, lens ×40 (a, c, e), ×100 (b, d, f).
ОБСУЖДЕНИЕ
Выявление тучных клеток с помощью гистохимического метода метахроматического окрашивания широко используется как наиболее доступный и достаточно эффективный способ визуализации мастоцитов. Однако визуализация мастоцитов в большой мере зависит от избранного красителя и фиксатора, от типа тучных клеток и исследуемой ткани, от вида животного. В результате такой многофакторной вариабельности данный метод применительно к нервной ткани не всегда позволяет получить хорошие результаты. Так, например, мастоциты долгое время вообще не удавалось обнаружить в мозге человека или их обнаруживали только в части препаратов [5, 7]. Данные о присутствии тучных клеток в структурах мозга крыс характеризуются противоречивостью, что связано с отсутствием унифицированного и эффективного метода их выявления, который бы позволял однозначно оценивать наличие и морфологические особенности мастоцитов. Поэтому отработка оптимальной методики для адекватного изучения тучных клеток в конкретной структуре имеет большое значение.
Нами исследовались срезы мозга растущих крыс, окрашенные крезиловым фиолетовым, толуидиновым синим и метиленовым зелёным с целью выявления тучных клеток в мягкой мозговой оболочке. Все 3 красителя позволили визуализировать тучные клетки наряду с другими клеточными элементами мягкой мозговой оболочки (как и единичные тучные клетки в собственно нервной ткани). Крезиловый фиолетовый и толуидиновый синий интенсивно окрашивали все клеточные элементы нервной ткани, что обеспечивало высокое качество препаратов для изучения поверхностных и глубоких структур мозга, однако на фоне этой интенсивной окраски метахроматически окрашенные тучные клетки визуализировались плохо, иногда их было невозможно отдифференцировать от окружающей ткани. В отличие от указанных двух красителей метиленовый зелёный давал более слабую окраску срезов мозга, на её фоне тучные клетки окрашивались ярко и их метахромазия чётко регистрировалась при цифровой фотосъёмке.
ВЫВОДЫ
Результаты проведённого исследования показывают, что для изучения мастоцитов в мягкой мозговой оболочке крыс оптимально подходит метахроматическая окраска метиленовым зелёным. Она позволяет легко выявлять пиальные мастоциты, исследовать их морфологические особенности, взаиморасположение с соседними структурными элементами и удобна для морфометрического исследования тучных клеток.
ДОПОЛНИТЕЛЬНАЯ ИНФОРМАЦИЯ / ADDITIONAL INFO
Источник финансирования. Авторы заявляют об отсутствии внешнего финансирования при проведении исследования.
Конфликт интересов. Авторы декларируют отсутствие явных и потенциальных конфликтов интересов, связанных с публикацией настоящей статьи.
Вклад авторов. Коржевский Д.Э. – концепция и дизайн исследования; Коржевский Д.Э., Фёдорова Е.А., Суфиева Д.А. – сбор и обработка материала; Коржевский Д.Э., Григорьев И.П. – анализ и интерпретация данных, написание текста; Суфиева Д.А. – оформление микрофотографий.
Funding source. This study was not supported by any external sources of funding.
Competing interests. The authors declare that they have no competing interests.
Author contributions. D.E. Korzhevskii created the study concept and design; D.E. Korzhevskii, E.A. Fedorova, and D.A. Sufieva collected and processed the material; D.E. Korzhevskii, I.P. Grigoriev performed the data analysis and interpretation, and wrote the text; D.A. Sufieva drew up the microphotographs.
About the authors
Dmitry E. Korzhevskii
Institute of Experimental Medicine
														Email: dek2@yandex.ru
				                	ORCID iD: 0000-0002-2456-8165
				                	SPIN-code: 3252-3029
																		                								
MD, Dr. Sci. (Med.), Prof.
Russian Federation, Ul. Akademika Pavlova, 12, St. Petersburg, 197376Elena A. Fedorova
Institute of Experimental Medicine
														Email: el-fedorova2014@yandex.ru
				                	ORCID iD: 0000-0002-0190-885X
				                	SPIN-code: 5414-4122
																		                								
Researcher, MD, Cand. Sci. (Biol.)
Russian Federation, Ul. Akademika Pavlova, 12, St. Petersburg, 197376Dina A. Sufieva
Institute of Experimental Medicine
														Email: dinobrione@gmail.com
				                	ORCID iD: 0000-0002-0048-2981
				                	SPIN-code: 3034-3137
																		                								
Researcher
Russian Federation, Ul. Akademika Pavlova, 12, St. Petersburg, 197376Igor P. Grigorev
Institute of Experimental Medicine
							Author for correspondence.
							Email: ipg-iem@yandex.ru
				                	ORCID iD: 0000-0002-3535-7638
				                	SPIN-code: 1306-4860
																		                								
Senior Researcher, MD, Cand. Sci. (Biol.)
Russian Federation, Ul. Akademika Pavlova, 12, St. Petersburg, 197376References
- Bykov VL. Development and heterogeneity of mast cells. Morfologiia. 2000;117(2):86–92. (In Russ).
 - Da Silva EZ, Jamur MC, Oliver C. Mast cell function: a new vision of an old cell. J. Histochem. Cytochem. 2014;62(10):698–738. doi: 10.1369/0022155414545334
 - Dimitriadou V, Rouleau A, Tuong MD, et al. Rat cerebral mast cells undergo phenotypic changes during development. Brain Res. Dev. Brain Res. 1996;97(1):29–41. doi: 10.1016/s0165-3806(96)00127-7
 - Handbook of histology: in 2 volumes / Ed. R.K. Danilov. St. Petersburg: SpetsLit, 2011;1. (In Russ).
 - Fedorova EA, Grigorev IP, Syrtzova MA, et al. Detection of morphological signs of mast cell degranulation in the human choroid plexus using different staining methods. Morfologiia. 2018;153(2):70-75. (In Russ).
 - Wingren U, Enerbäck L. Mucosal mast cells of the rat intestine: a re-evaluation of fixation and staining properties, with special reference to protein blocking and solubility of the granular glycosaminoglycan. Histochem. J. 1983;15(6):571–582. doi: 10.1007/bf01954148
 - Kiernan JA. A comparative survey of the mast cells of the mammalian brain. J. Anat. 1976;12(2):303–311.
 
Supplementary files
				
			
					
						
						
									



