Quantitative characteristics of splenic mast cells of laboratory mice following experimental X-ray irradiation
- Authors: Odintsova I.A.1, Rusakova S.E.1, Slutskaya D.R.1, Murzina E.V.1, Trofimov M.A.1
-
Affiliations:
- Kirov Military Medical Academy
- Issue: Vol 163, No 4 (2025)
- Pages: 283-292
- Section: Original Study Articles
- Submitted: 01.03.2025
- Accepted: 15.04.2025
- Published: 23.10.2025
- URL: https://j-morphology.com/1026-3543/article/view/676530
- DOI: https://doi.org/10.17816/morph.676530
- EDN: https://elibrary.ru/WJRCFA
- ID: 676530
Cite item
Abstract
BACKGROUND: The quantitative and morphofunctional characteristics of mast cells can serve as an indicator of tissue reactivity in response to radiation exposure, as well as a criterion for compensatory-adaptive processes after irradiation and the use of radioprotectors.
AIM: The work aimed to present the morphofunctional and quantitative characteristics of splenic mast cells of laboratory mice following fractionated total X-ray irradiation and oral administration of beta-D-glucan.
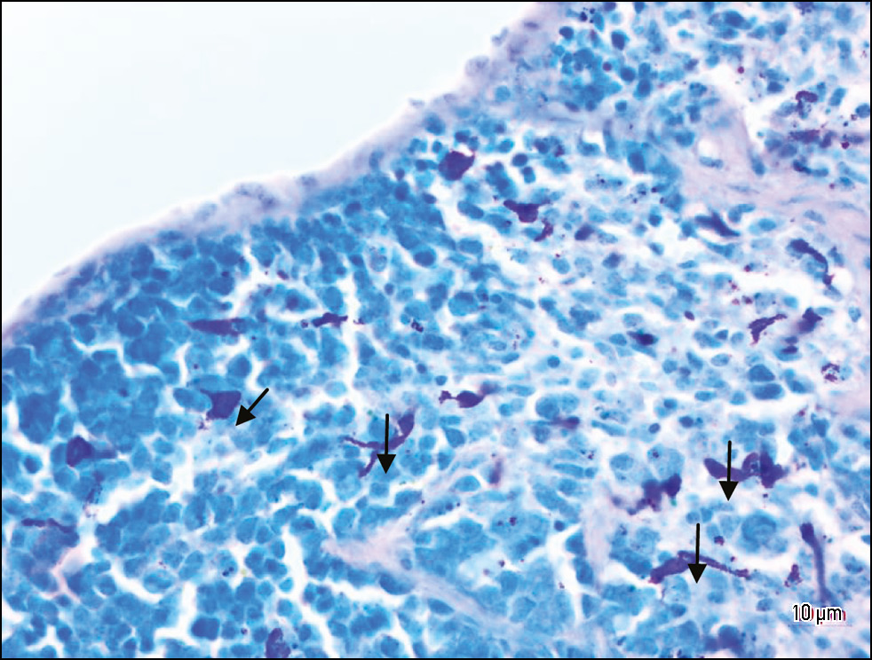
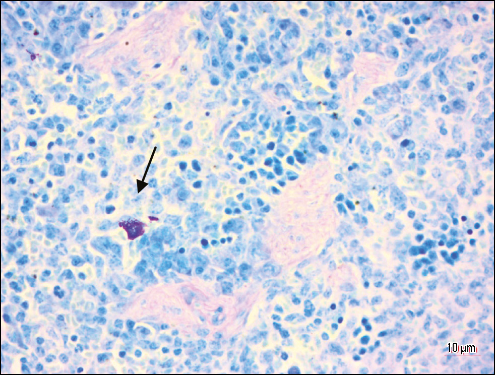
METHODS: An experimental, single-center, prospective, controlled study was conducted. Spleen samples from laboratory mice (n = 23) were assessed. The population of mast cells was quantitatively assessed on histological sections of the spleen. The mice were divided into 5 groups: Group 1 included intact animals (n = 3); Group 2 included irradiated animals with a total absorbed dose of 7 Gy (n = 5); Group 3 included irradiated animals with a total absorbed dose of 7 Gy who received oral soluble beta-D-glucan 15 minutes before irradiation (n = 5); Group 4 included irradiated animals with a total absorbed dose of 18 Gy (n = 5); Group 5 included irradiated animals with a total absorbed dose of 18 Gy who received oral soluble beta-D-glucan 15 minutes before irradiation (n = 5). Samples were collected on days 14 and 30 after the start of experimental exposure. Samples were fixed in 10% buffered formalin, dehydrated in alcohol, and embedded in paraffin. The Romanowsky–Giemsa staining was used. The structure and number of mast cells were assessed on each histological slide. Statistical analysis of the findings was performed.
RESULTS: The density of mast cells in the spleen of laboratory mice at an absorbed dose of 7 Gy changed insignificantly compared to the intact group. At a total absorbed dose of 18 Gy, there was a significant increase in the density and functional activity of mast cells. Beta-D-glucan administration before irradiation at a total absorbed dose of 7 Gy and 18 Gy reduced the number of mast cells by 2.5 times and 1.25 times, respectively, compared to irradiated animals without beta-D-glucan administration (Group 4).
CONCLUSION: The density of mast cells in the spleen depends on the absorbed dose of X-ray irradiation. Beta-D-glucan administration 15 minutes before exposure reduces the density of mast cells, which can be considered a positive radioprotective effect.
Keywords
Full Text
About the authors
Irina A. Odintsova
Kirov Military Medical Academy
Email: odintsova-irina@mail.ru
ORCID iD: 0000-0002-0143-7402
SPIN-code: 1523-8394
Dr. Sci. (Medicine), Professor
Russian Federation, Saint PetersburgSvetlana E. Rusakova
Kirov Military Medical Academy
Email: rusakova-svetik@mail.ru
ORCID iD: 0000-0001-9437-5230
SPIN-code: 5429-4630
Cand. Sci. (Biology), Assistant Professor
Russian Federation, Saint PetersburgDina R. Slutskaya
Kirov Military Medical Academy
Author for correspondence.
Email: dina_hanieva@mail.ru
ORCID iD: 0000-0003-3910-2621
SPIN-code: 2546-9393
Cand. Sci. (Biology), Assistant Professor
Russian Federation, Saint PetersburgElena V. Murzina
Kirov Military Medical Academy
Email: elenmurzina@mail.ru
ORCID iD: 0000-0001-7052-3665
SPIN-code: 5188-0797
Cand. Sci. (Biology)
Russian Federation, Saint PetersburgMaksim A. Trofimov
Kirov Military Medical Academy
Email: greitminisk@gmail.com
ORCID iD: 0000-0001-7610-2669
SPIN-code: 5152-6278
Russian Federation, Saint Petersburg
References
- Koterov AN. From very low to very large doses of radiation: new data on ranges definitions and its experimental and epidemiological basing. Мedical Radiology and Radiation Safety. 2013;58(2):5–21. EDN: QEQHKM
- Sofronov GA, Berezovskaya TI, Murzina EV. Morphological characteristics of tissue elements of the spleen of laboratory mice in normal and dosed radiation exposure from the standpoint of the doctrine of the histrionic structure of the organ. In: Makiev RG, Odintsova IA, editors. Innovative technologies for studying histogenesis, reactivity and tissue regeneration (Proceedings of the Military Medical Academy). Saint Petersburg: Voenno-meditsinskaya akademiya im. S.M. Kirova; 2024. P:122–126. EDN: HPMHPQ ISBN: 978-5-94277-106-5
- Murzina EV, Sofronov GA, Simbirtsev AS, et al. Impact of beta-D-glucan on survival and hematopoietic parameters of mice after exposure to X-rays. Medical academic journal. 2023;23(1):53–66. doi: 10.17816/MAJ114742 EDN: WNXTZP
- Reddy SM, Reuben A, Barua S, et al. Poor response of neoadjuvant chemotherapy correlates with mast cell infiltration in inflamatory breast cancer. Cancer Immunol Res. 2019;7(6):1025–1035. doi: 10.1158/2326-6066.CIR-18-0619
- Elieh Ali Komi D, Kuebler WM. Significance of mast cell formed extracellular traps in microbial defense. Clin Rev Allergy Immunol. 2022;62(1):160–179. doi: 10.1007/s12016-021-08861-6
- da Silva EZ, Jamur MC, Oliver C. Mast cell function: a new vision of an old cell. J Histochem Cytochem. 2014;62(10):698–738. doi: 10.1369/0022155414545334 EDN: ZACFMF
- Atiakshin D, Buchwalow I, Tiemann M. Mast cell chymase: morphofunctional characteristics. Histochem Cell Biol. 2019;152(4):253–269. doi: 10.1007/s00418-019-01803-6 EDN: JNSKED
- Lee CG, Moon SR, Cho MY, Park KR. Mast cell degranulation and vascular endothelial growth factor expression in mouse skin following ionizing irradiation. J Radiat Res. 2021;62(5):856–860. doi: 10.1093/jrr/rrab067 EDN: YWFLNV
- Hong YK, Chang YH, Lin YC, et al. Inflammation in wound healing and pathological scarring. Adv Wound care (New Rochelle). 2023;12(5):288–300. doi: 10.1089/wound.2021.0161 EDN: GYJXNX
- Milliat F, François A. Les mastocytes, stakhanovistes de l’immunité — Un rôle énigmatique dans les lésions radiques [The roles of mast cells in radiation-induced damage are still an enigma]. Med Sci (Paris). 2018;34(2):145–154. (In French) doi: 10.1051/medsci/20183402012
- Landy RE, Stross WC, May JM, et al. Idiopathic mast cell activation syndrome and radiation therapy: a case study, literature review, and discussion of mast cell disorders and radiotherapy. Radiat Oncol. 2019;14(1):222. doi: 10.1186/s13014-019-1434–6
- Shin E, Lee S, Kang H, et al. Organ-specific effects of low dose radiation exposure: A comprehensive review. Front Genet. 2020;11:566244. doi: 10.3389/fgene.2020.566244 EDN: QBIQPN
- Joo HM, Nam SY, Yang KH, et al. The effects of low-dose ionizing radiation in the activated rat basophilic leukemia (RBL-2H3) mast cells. J Biol Chem. 2012;287(33):27789–27795. doi: 10.1074/jbc.M112.378497
- Yuan H, Lan P, He Y, et al. Effect of modifications on the physicochemical and biological properties of β-Glucan-A critical review. Molecules. 2019;25(1):57. doi: 10.3390/molecules25010057 EDN: VBKOAX
- Odintsova IA, Rusakova SE, Slutskaya DR, Murzina EV. Reactive changes in the lymphoid histion of the spleen of mice irradiated with a sublethal dose. In: Questions of morphology of the XXI century. Proceedings of the 26th All-Russian Scientific Conference. Saint Petersburg: Limited Liability Company «Izdatel’stvo DEAN», 2024. P:242–246. EDN: SWVNUU
- Slutskaya DR, Berezovskaya TI. Characteristics of functional histions of the spleen of laboratory mice under dosed irradiation. Cytology. 2022;64(3)295–296. (In Russ.)
- Murakami S, Yoshino H, Ishikawa J, et al. Effects of ionizing radiation on differentiation of murine bone marrow cells into mast cells. J Radiat Res. 2015;56(6):865–871. doi: 10.1093/jrr/rrv061
- Smith J, Tan JKH, Short C, et al. The effect of myeloablative radiation on urinary bladder mast cells. Sci Rep. 2024;14(1):6219. doi: 10.1038/s41598-024-56655-5 EDN: ZLVRXG
- Ushakov IB, Kordenko AN. On the relationship of natural and modified radioresistance with mast cell reactivity. Radiation biology. Radioecology. 2023;63(4):387–393 doi: 10.31857/S0869803123040100 EDN: VPVLEU
- Folkerts J, Stadhouders R, Redegeld FA, et al. Effect of dietary fiber and metabolites on mast cell activation and mast cell-associated diseases. Front Immunol. 2018;9:1067. doi: 10.3389/fimmu.2018.01067
- Halova I, Draberova L, Draber P. Mast cell chemotaxis — chemoattractants and signaling pathways. Front Immunol. 2012;3:119. doi: 10.3389/fimmu.2012.00119
Supplementary files





