Proliferation to apoptosis ratio in cutaneous connective tissue cells during mechanical injury healing in an experiment
- Authors: Berezovskaya T.I.1, Odintsova I.A.1
-
Affiliations:
- Kirov Military Medical Academy
- Issue: Vol 163, No 4 (2025)
- Pages: 327-338
- Section: Original Study Articles
- Submitted: 16.03.2025
- Accepted: 24.05.2025
- Published: 23.10.2025
- URL: https://j-morphology.com/1026-3543/article/view/677204
- DOI: https://doi.org/10.17816/morph.677204
- EDN: https://elibrary.ru/KVVQXI
- ID: 677204
Cite item
Abstract
BACKGROUND: The proliferation to apoptosis ratio at a wound site is crucial for healing. Regenerative histogenesis of the skin in the perinecrotic zone is of key interest, specifically the connective tissue layers (the dermis and hypodermis). This zone is characterized by cambial elements of epithelial and connective tissues that drive regeneration, as well as distinctive cell death processes. Immunohistochemical methods are typically used to investigate patterns of histogenetic processes, including proliferation and cell death, in tissues with varying regenerative potential. However, selecting markers that reflect the proliferation to apoptosis ratio at different stages of regeneration remains challenging.
AIM: This study aimed to perform an immunohistochemical evaluation of the proliferation to apoptosis ratio in cutaneous connective tissue cells at different stages of mechanical injury healing.
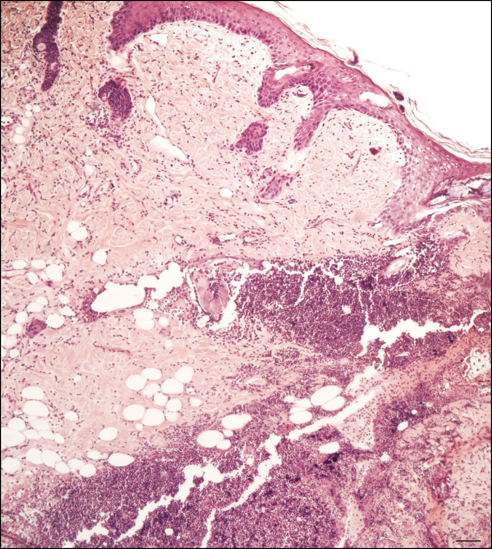
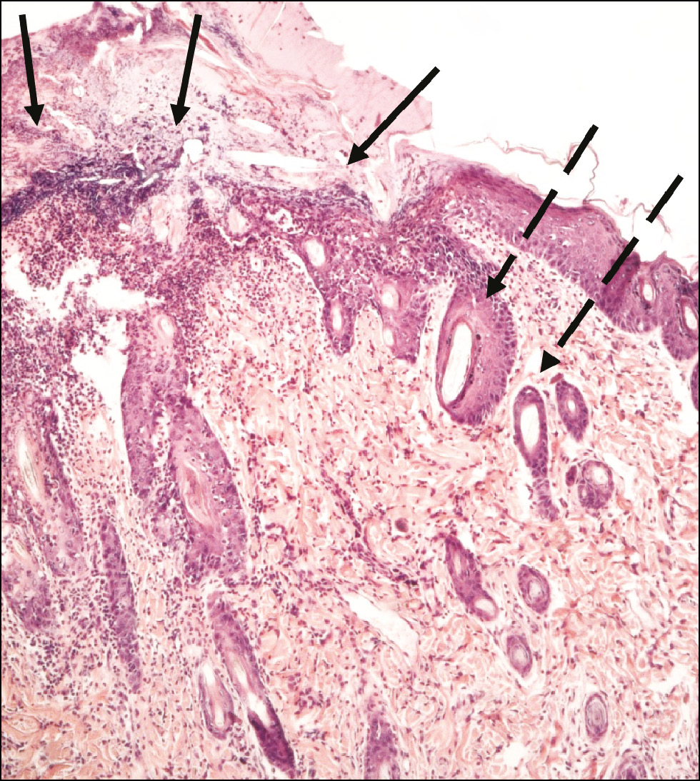
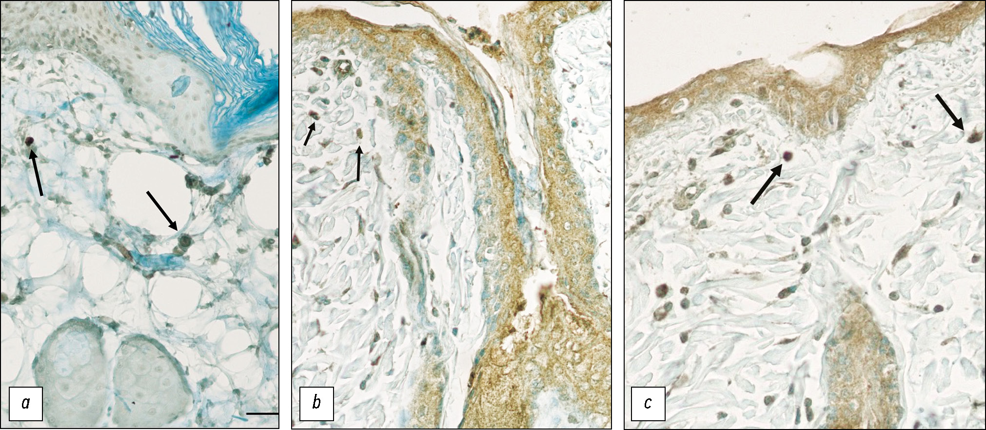
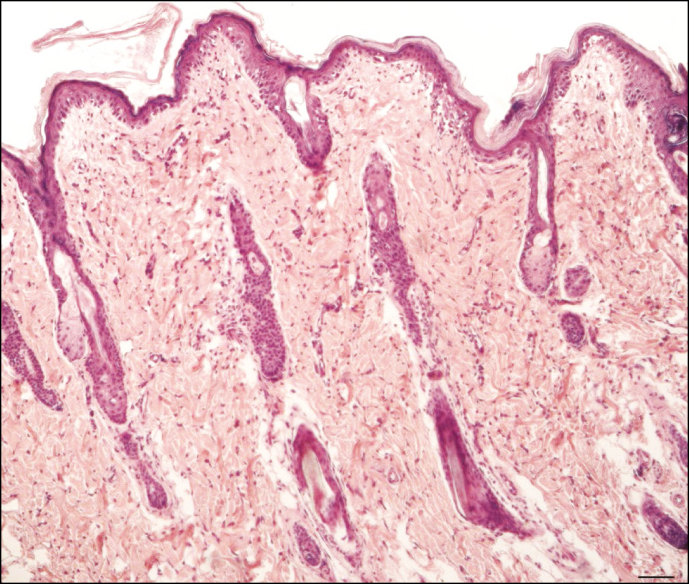
METHODS: An experimental single-center, continuous, controlled, randomized, non-blind study was conducted. Skin samples of the thigh from Wistar rats were obtained at various stages of healing after mechanical injury (deep incised wound). Animals were divided into nine groups: a control group of intact rats (n = 3) and eight experimental groups corresponding to post-injury time points of 12 hours, 24 hours, 2 days, 3 days, 6 days, 10 days, 15 days, and 25 days (n = 3 per group). Tissue fragments were processed for histological and immunohistochemical examination. Antibodies to phosphorylated histone H3 were used to assess proliferation, whereas apoptosis was detected using antibodies to p53 and caspase-3.
RESULTS: Immunopositive cells expressing phosphorylated histone H3, caspase-3, and p53 were identified in cutaneous connective tissue samples in all experimental groups. The proliferation index was determined, and changes in pro-apoptotic protein expression were analyzed in intact skin and the perinecrotic zone at different stages of regeneration. Based on these data, the proliferation to apoptosis ratio and an index characterizing both processes were calculated. The proliferation to apoptosis ratio was highest when proliferation prevailed over cell death (in intact skin and at the final stages of regeneration) and lowest when apoptosis predominated (inflammation and necrosis phases).
CONCLUSION: For the first time, immunohistochemistry with antibodies to phosphorylated histone H3 was used to investigate regeneration in skin wounds. This marker, which is expressed in proliferating cells, in combination with apoptosis markers, allows assessing the proliferation to apoptosis ratio at different stages of regeneration.
Keywords
Full Text
About the authors
Tatyana I. Berezovskaya
Kirov Military Medical Academy
Author for correspondence.
Email: lapi2@yandex.ru
ORCID iD: 0009-0009-1591-9152
SPIN-code: 2508-7042
Russian Federation, Saint Petersburg
Irina A. Odintsova
Kirov Military Medical Academy
Email: odintsova-irina@mail.ru
ORCID iD: 0000-0002-0143-7402
SPIN-code: 1523-8394
Dr. Sci. (Medicine), Professor
Russian Federation, Saint PetersburgReferences
- Deev RV. Programmed cell death: new nomenclature. Morphology. 2024;162(3):340–346. doi: 10.17816/morph.642457 EDN: FAEUVI
- Reva IV, Reva GV, Odintsova IA. Immunohistochemical characteristics of biopsies of pathologically altered gastric mucosa. In: Makiev RG, Odintsova IA, editors. Innovative technologies for studying histogenesis, reactivity and tissue regeneration (Proceedings of the Military Medical Academy). Saint Petersburg: Military Medical Academy; 2024. P:136–141. (In Russ.) EDN: BZAWGC ISBN: 978-5-94277-106-5
- Demyashkin GA, Uruskhanova, ZhE, Koryakin SN, et al. Renal proliferation and apoptosis against ascorbic acid administration in a model of acute radiation nephropathy. Morphology. 2024;162(1):16–30. doi: 10.17816/morph.629410 EDN: LVBGZW
- Hu S, Xu Y, Meng L, et al. Curcumin inhibits proliferation and promotes apoptosis of breast cancer cells. Exp Ther Med. 2018;16(2):1266–1272. doi: 10.3892/etm.2018.6345
- Xie R, Tang J, Zhu X, Jiang H. Silencing of hsa_circ_0004771 inhibits proliferation and induces apoptosis in breast cancer through activation of miR-653 by targeting ZEB2 signaling pathway. Biosci Rep. 2019;39(5):BSR20181919. doi: 10.1042/BSR20181919
- Demyashkin GA, Atyakshin DA, Yakimenko VA, et al. Characteristics of proliferation and apoptosis of hepatocytes after administration of ascorbic acid in a model of radiation hepatitis. Morphology. 2023;161(3):31–38. doi: 10.17816/morph.624714 EDN: LDQCJS
- Kotov VN, Kostyaeva MG, Ibadullaeva SS, et al. Regulatory role of protein p53 in the functional activity of the central nervous system. Morphology. 2023;161(4):113–128. doi: 10.17816/morph.629463 EDN: FGSFQU
- Chumasov EI, Maistrenko NA, Romashchenko PN, et al. Immunohistochemical study of the sympathetic innervation of the colon in chronic slow-transit constipation. Experimental and Clinical Gastroenterology. 2022;11(207):191–197. doi: 10.31146/1682-8658-ecg-207-11-191-197 EDN: PXTDXG
- Shi Y, Zhao Y, Zhang Y, et al. TNNT1 facilitates proliferation of breast cancer cells by promoting G1/S phase transition. Life Sci. 2018;208:161–166. doi: 10.1016/j.lfs.2018.07.034
- Korzhevskii DE, Kirik OV, Petrova ES, et al. Theoretical foundations and practical applications of immunohistochemical methods: A guide. Saint Petersburg: SpetsLit; 2014. (In Russ.) EDN: SINOMT ISBN: 978-5-299-00596-7
- Campoy EM, Branham MT, Mayorga LS, Roqué M. Intratumor heterogeneity index of breast carcinomas based on DNA methylation profiles. BMC Cancer. 2019;19(1):328. doi: 10.1186/s12885-019-5550-3 EDN: YEIARD
- He J, Chen Y, Cai L, et al. UBAP2L silencing inhibits cell proliferation and G2/M phase transition in breast cancer. Breast Cancer. 2018;25(2):224–232. doi: 10.1007/s12282-017-0820-x EDN: ZDLVRG
- Zhou Y, Shen JK, Yu Z, et al. Expression and therapeutic implications of cyclindependent kinase 4 (CDK4) in osteosarcoma. Biochim Biophys Acta Mol Basis Dis. 2018;1864(5 Pt A):1573–1582. doi: 10.1016/j.bbadis.2018.02.004 EDN: YFWUST
- Diatlova AS, Dudkov AV, Linkova NS, Khavinson VKh. Molecular markers of caspase-dependent and mitochondrial apoptosis: the role of pathology and cell senescence. Advances in Modern Biology. 2018;138(2):126–137. doi: 10.7868/S0042132418020023 EDN: XMRNSH
- Hashimoto N, Nagano H, Tanaka T. The role of tumor suppressor p53 in metabolism and energy regulation, and its implication in cancer and lifestyle-related diseases. Endocr J. 2019;66(6):485–496. doi: 10.1507/endocrj.EJ18-0565 EDN: BTRYWO
- Kudinova EA, Bozhenko VK, Kulinich TM, et al. Evaluation of the ratio of proliferation and apoptosis in breast tissue in normal and hyperproliferative processes. Bulletin of the Russian Scientific Center of Radiology. 2019;19(2):25–39. EDN: PUMEVI
- Danilov RK. The doctrine of tissue cambiality as a histogenetic basis for understanding the mechanisms of the wound process. In: Morphology issues of the 21st century. Saint Petersburg: DEAN; 2010. P:34–38 ISBN: 978-5-93630-792-8
Supplementary files











