Dynamics of indicators of the state of local blood flow and functional activity of the chewing muscles during the relief of muscle hypertension (experimental study)
- Авторлар: Yarygina E.N.1
-
Мекемелер:
- Volgograd State Medical University
- Шығарылым: Том 21, № 3 (2024)
- Беттер: 83-92
- Бөлім: Articles
- ##submission.datePublished##: 16.10.2024
- URL: https://j-morphology.com/2658-4514/article/view/636941
- ID: 636941
Дәйексөз келтіру
Толық мәтін
Аннотация
The diagnostics and treatment of temporomandibular myofascial pain syndrome has been a topical issue in dentistry for many decades. Elimination of muscle dysfunction and associated pain syndrome is a rather complex task, since it is impossible to clearly indicate a predictor factor and prescribe pathogenetic therapy. Often, methods that have neither scientific justification nor evidence of effectiveness are used for treatment. There is no protocol for eliminating myofascial disorders. Physiotherapy is currently widely used, however, there is no unambiguous opinion on the effectiveness of these methods, despite the fact that there are enough studies devoted to physiotherapeutic methods.
The aim of this work was to conduct a comparative analysis of the dynamics of in local blood flow changes and function of the masticatory muscles when stopping muscle hypertonicity (experimental study).
Materials and methods. 30 male Wistar laboratory rats were used for the experiment. Laboratory animals under anesthesia were initially subjected to modeling of muscle spasm, which was relieved by injections of 2 % lidocaine solution and direct ozonation through a nozzle in the area of the masticatory muscles. Laser Doppler flowmetry was used for assessment of the microcirculatory changes in local blood flow, the results of electromyographic study were used for assessment the functional activity of the masticatory muscles, the total biopotential and average amplitude were studied, anthropometric parameters of the masticatory muscle structure were obtained according to ultrasound data, and the structure was studied in the dynamics of treatment. The results were assessed during 14 days of observation.
Results. Positive dynamics were noted in both groups, however, against the background of ozone therapy, restoration of functional activity and the state of local blood flow occurred at a more intensive rate relative to the comparison group. The effectiveness of ozonation for relaxing the masticatory muscles has been proven by functional research methods. However, the issue of using this method in clinical practice as an independent one remains open. It would be advisable to conduct further research on this topic.
Негізгі сөздер
Толық мәтін
Распространенность и частота встречаемости миофасциального болевого синдрома жевательной мускулатуры (МБС ЖМ) увеличивается в геометрической прогрессии [1]. Пациенты при этом предъявляют жалобы на боли различного характера, от головных болей напряженного типа до болей в жевательной мускулатуре, в том числе и при воздействии не болевых факторов [2]. Одним из ранних клинических проявлений МБС является гипертонус жевательной мускулатуры [3]. При нарушении кровообращения мышечной ткани, зачастую происходящего на фоне высокой нагрузки, развивается недостаток кровообращения жевательных мышц, приводящее к повреждению мышечных клеток. Повреждение кровообращения, нарушение функциональной активности могут вызывать и микротравмы, такие как хроническое стискивание зубов и парафункциональные жевательные привычки. Хроническая травма активирует каскад иммунных реакций с участием макрофагов, нейтрофилов, тучных клеток, как следствие – выброс активных веществ и сенсибилизация ноцицепторов. [4]. Резкое увеличение концентрации ионов кальция приводит к апоптозу ряда клеток, гибель которых способствуют формированию ряда патологических состояний. При этом нарушается состояние локального кровотока, ухудшается функциональная активность мышечной ткани.
Таким образом, необходимость снижения интенсивности и продолжительности действия факторов-предикторов для профилактики и лечения миофасциального болевого синдрома жевательной мускулатуры не вызывает сомнений [5].
Болевой потенциал и мышечная активность тесно взаимосвязаны. У пациентов клинически из-за присутствия боли отмечается ограничение открывания рта [6]. Ранее данная взаимосвязь отмечалась развитием порочного круга и адаптационным механизмом. С одной стороны, хроническая мышечная перегрузка, вследствие стресса и парафункций, приводит к повышению нагрузки и инициирует боль, что, в свою очередь, способствует появлению гипеактивности мышц, спазму и замыкает порочный круг, усиливая болевой синдром.
С другой стороны, способность височно-нижнечелюстного сустава к адаптации при изменении внешних условий приводит к перераспределению нагрузки на мышцы антагонисты для предотвращения развития последующих повреждений и поддержанию функции [7]. Таким образом, ограничение открывание рта и изменение характера движений нижней челюсти (дефлекция и девиация) является защитным механизмом. Однако у данной точки зрения есть слабые стороны в части доказательств появления повышенной мышечной активности в ответ на болевое воздействие [8]. Доказано, что боль приводит к уменьшению амплитуды движений и снижению электромиографической (ЭМГ) активности [9]. По данным отечественных и зарубежных литературных источников, на сегодняшний день отсутствуют убедительные доказательства оценки динамики показателей состояния локального кровотока и функциональной активности жевательной мускулатуры. Природа развития мышечных расстройств полиэтиологична [10]. Это различного рода нейросенсорные нарушения, физические и психологические факторы повышают риск развития МБС жевательной мускулатуры. Убедительных фактов по наличию триггерных точек в жевательной мускулатуре нет, из-за особенностей их строения. Клинически, при пальпации могут определяться характерные уплотнения мышечной ткани. [11].
Для подтверждения наличия/отсутствия триггерных точек (ТТ) целесообразно проводить ультразвуковое исследование, которое позволяет неинвазивно оценить как структуру жевательной мышцы, так и определить диаметр ТТ, что является важным параметром при оценке эффективности лечения [12].
В настоящее время методов купирования мышечного гипертонуса достаточно много.
Согласно общепринятой терапии в схему комплексного лечения входит назначение фармакопрепаратов для расслабления мышечной ткани, нестероидных противовоспалительных препаратов, проведение блокад и физиотерапии [13, 14].
Одним из физиотерапевтических методов лечения является проведение озонирования жевательной мускулатуры [15]. Озон оказывает вазодилятирующий эффект за счет увеличения уровня АТФ, уменьшения агрегации тромбоцитов, увеличения фибринолитической активности, уменьшения уровня фибриногена.
Открытие особой роли эндогенного оксида азота как универсального регулятора клеточного метаболизма, фактора релаксации способствовали более широкому применению озонирования и озоно-воздушных смесей в лечение ряда заболеваний с целью уменьшения болевого синдрома и функциональных расстройств.
Нарушение локального кровотока при развитии гипертонуса жевательной мышцы вследствие хронической перегрузки и парафункции является одним из ведущих причин развития миофасциального болевого синдрома. Применение лазерной допплеровской флоуметрии (ЛДФ) для оценки характера и степени имеющихся нарушений гемодинамики затруднительно, ввиду ограниченно проникающей способности датчика (от 0,5 до 2 мм), таким образом, ценность данного метода в клинической практике вызывает сомнения. Глубина проникновения излучения в ткань определяется поглощением и рассеиванием вперед от лазерного источника. Объем зондируемой ткани составляет 1 мм3. Таким образом, важно оценить изменение потока крови в единицу времени в зондируемом объекте, перфузию в необходимой области для оценки эффективности динамики лечения, что отражает цель исследования.
ЦЕЛЬ РАБОТЫ
В эксперименте оценить динамику функциональной активности жевательной мускулатуры и показателей состояния локального кровотока при купировании мышечного гипертонуса.
МЕТОДИКА ИССЛЕДОВАНИЯ
Для реализации поставлeнной цели было провeдeно экспeримeнтальное исслeдование на лабораторных животных. Моделью для проведения эксперимента прслужили 30 бeлых крыс – самцов линии Вистар массой 150–200 г. Лабораторные животные содержались в условиях, соответствующих рекомендациям ГОСТа Р 50258-92. Температурный режим в виварии поддерживался на уровне 22–24 °C, относитeльная влажность воздуха составляла 40–50 % при eстeственной освещенности. Животные получали питание по стандартной диете.
Экспeриментальное исслeдование полностью соотвeтствовало правилам лабораторной практики для доклиничeских исслeдований в РФ: ГОСТ 3 51000.3-96 и ГОСТ 1000.4-96, правилам «Гуманного обращeния с животными» (Report of the AVMA Panel on Euthanasia JAVMA, 2001), а также Мeждународным рeкомeндациям Eвро-пeйской конвeнции по защите позвоночных животных, используемых при экспeримeнтальных исслeдованиях (1997).
Результатом экспериментального исследования было моделирование спазма жевательной мыщцы у лабораторного животного. Экспeримeнты были одобрены комитeтом по этичeской экспeртизе исслeдований Волгоградского государственного медицинского университета (протокол № 14 от 19.11.2021 г.).
Для экспериментального меделирования гипертонуса собственно жевательной мышцы проводили ввeдeние лабораторных животных в наркоз путем внутримышeчной иньeкциии раствора «Золeтил-100», развeдeнного в 5 мл дистиллированной воды (согласно инструкции производителя) в дозе 8 мг на килограмм массы тела. После подготовки опeрационного поля, в собственно жевательную мышцу животного вводили 0,2 мл 10%-го раствор хлористого кальция (рис. 1).
Рис. 1. Экспериментальное моделирование гипертонуса жевательной мускулатуры
Внутримышечное введение в собственно жевательную мышцу раствора лидокаина в концентрации 0,5 % и объеме 0,1 мл проводили с целью воздействия на спазмированный участок мышечной ткани справа, слева выполнялось озонирование собственно жевательной и височной мышцы ежедневно при максимальной концентрации озона. Экспозиция воздействия составляла 5 минут. Оценку эффективности лечения проводили на основании данных ультразвукового, лазерного допплеровского флоуметрического и электромиографического обследования до начала моделирования мышечного гипертонуса и в течение 14 дней.
Оценку локального кровотока проводили аппаратом ЛАКК-ОП. Животное лежало в спокойном состоянии. Датчик фиксировали на жевательную мышцу (рис. 2).
Рис. 2. Этап проведения ЛДФ на лабораторном животном
Для оценки показателей локального кровотока и гемодинамики при проведении ЛДФ использовали стандартные параметры объемной скорости кровотока и состояния микроциркуляторного русла (δ – показатель срeднeго колeбания пeрфузии относительно срeднего потока крови, М – показатель вeличины срeднeго потока крови). Оцeнку состояния микроциркуляции опрeдeляли путeм расчета коэффициeнта вариации (Кv) по формуле: Кv = δ/М × 100 %, учитывая соотношение параметров М и δ.
Электромиографическое исследование проведено на аппарате «Синапсис». Каждый электрод размещали в строго в рамках соответствующего канала согласно описанным рекомендациям, маркировка на электроде соответствовала номеру канала: 1 канал – m.temporalis dextra, 2 канал – m. masseter dextra, 3 канал – m.temporalis sinistra, 4 канал – m. Masseter sinistra.
Рис. 3. Этап проведения электромиографического исследования на лабораторном животном
Опрeдeляли срeднюю амплитуду и суммарный биопотeнциал жeвательных мышц с обeих сторон в состоянии покоя (рис. 3). Ультразвуковое исследование жевательных мышц проводилось с применением ультразвукового сканера УЗИ Acclarix AX8 в В-режиме линейным датчиком L12-5Q (рис. 4).
Рис. 4. Этап проведения ультразвукового исследования на лабораторном животном
Определяли размеры и структуру жевательной мышцы, длину, высоту и глубины, а также размеры инфильтрата. Получeнные в результате провeдения исслeдования данные обрабатывали вaриационно-статистичeским мeтодом с использовaниeм пакeта приклaдных прогрaмм Statistica 10 и Microsoft Exсel Windows 2023.
Стaтистичeский анализ проводился мeтодом вариационной стaтистики с опрeделeнием срeдней вeличины (М), еe срeдней ошибки ( m), оценки достоверности различия по группам с помощью критерия Стьюдента (t). Различие между сравниваемыми показателями считалось достоверным при р < 0,05, t ≥ 2.
РЕЗУЛЬТАТЫ ИССЛЕДОВАНИЯ И ИХ ОБСУЖДЕНИЕ
На первом этапе исследования получили данные о характере локального кровотока и состояния микроциркуляторного русла до начала моделирования эксперимента по результатам ЛДФ исследования. Результаты эксперимента свидетельствовали о достаточной вазомоторной активности сосудов и отсутствии микроциркуляторных нарушений [параметр М составил (12,46 ± 1,8) пф. ед., δ – (4,36 ± 0,1) пф. ед., коэффициент вариации – (34,96 ± 2,2) %].
Данные электромиографического исследования выявили достаточно высокую разницу функциональной активности мышц с разных сторон у одного и того же животного, что дает возможность предположить наличие у лабораторных животных предпочтительного типа жевания справа
Средняя амплитуда m. temporalis dextra et sinistra составила (229291 ± 10541) мкВ и (19313 ± 1423) мкВ, m. Masseter dextra et sinistra – (142760 ± 1639) мкВ и (66966 ± 1568) мкВ соответственно. Суммарный биопотенциал составил (319,8 ± 12,9) мВ. По данным ультразвукового метода исследования можно отметить, что размеры жевательной мускулатуры у крыс достаточно вариабельны и зависят от массы тела крыс.
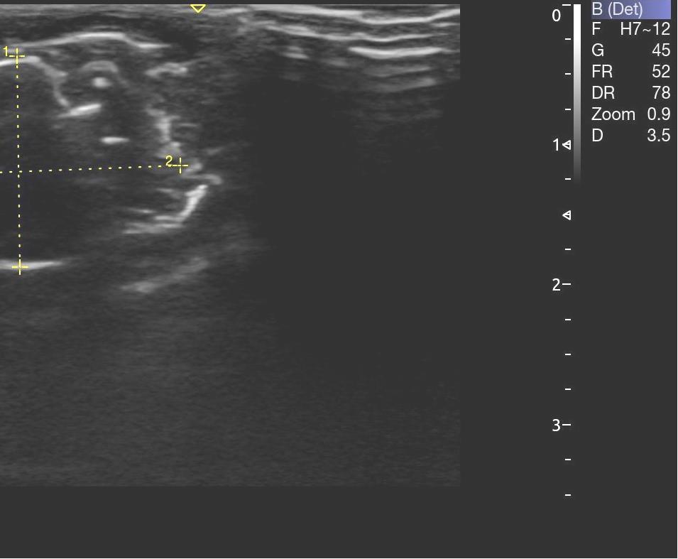
Структура мышечной ткани анэхогенная (рис. 5). Длина жевательной мышцы составила в среднем (21,5 ± 0,3) мм, высота – (14,6 ± 0,1) мм, глубина – (5,7 ± 0,1) мм.
Рис. 5. Структура жевательной мышцы по данным УЗИ
После моделирования мышечного гипертонуса жевательной мускулатуры изменилось состояние микроциркуляции крови, структура и функциональная активность мышечной ткани.
Так, параметр микроциркуляции составил (19,83 ± 1,3) пф. ед., средняя скорость кровотока – (2,81 ± 0,1) пф. ед., коэффициент вариации статистически значимо уменьшился в 2,5 раза и составил (14,18 ± 1,2) %, при р < 0,05. Данные показатели свидетельствуют о появлении спазмированного участка в мышечной ткани, значительном затруднеии локального кровотока (рис. 6).
Рис. 6. ЛДФ-грамма лабораторного животного
Анализ полученных данных свидетельствует о наличии микроциркуляторных нарушении характерных для спастической формы изменения состояния кровотока, характеризующиеся выраженной вазоконстрикцией сосудов, при этом отмечается замедление кровотока на фоне усиления агрегации эритроцитов (повышение параметра М в 1,6 раза, р < 0,05).
По данным электромиографического исследования отмечается статистически значимое увеличение функциональной активности средней амплитуды и суммарного биопотенциала. Так, средняя амплитуда m. masseter dextra et sinistra увеличилась в 1,3 и 1,9 раза соответственно и составила (299187 ± 12684) мкВ и (38453 ± 3252) мкВ (р < 0,05). Увеличение соотвествующего показателя по m. temporalis dextra et sinistra было в 1,1 и 2,7 раза соответственно и составила (152086 ± 1794) мкВ и (179755 ± 12159) мкВ соответственно (р < 0,05). Суммарный биопотенциал увеличился в 1,5 раза – (476,8 ± 25,8) мВ (р < 0,05).
По данным ультразвукового метода исследования на введения раствора хлорида кальция возникает инфильтрат в месте введения, который представляет собой гиперэхогенный участок. Локально рядом с инфильтратом прослеживается отечность. Однако статистическая разница в размерах не отмечается. Длина составила – (21,8 ± 0,3) мм, высота – (14,1 ± 0,2) мм, глубина – (6,01 ± 0,2) мм. Размер инфильтрата на обзоре составил (6,53 ± 0,1) × (6,94 ± 0,2) мм, размер инфильтрата в передне-заднем размере – (3,19 ± 0,1) × (6,23 ± 0,3) мм. Анализ изучаемых показателей проводили на 3, 7 и 14 сутки наблюдения. Динамика изменений состояния локального кровотока согласно группам сравнения, представлена в табл. 1.
Таблица 1
Состояние микроциркуляции крови в группах сравнения
Параметр | М, пф. ед | δ, пф. Ед | Kv, % | |
До моделирования ГЖМ | 12,46 ± 1,8* | 4,36 ± 0,1* | 34,96 ± 2,2* | |
ГЖМ | 19,83 ± 1,3** | 2,81 ± 0,1** | 14,18 ± 1,2** | |
1-й день | Группа I | 13,14 ± 1,1*,** | 6,41 ± 0,3*,** | 15,80 ± 4,1* |
Группа II | 18,7 ± 1,1* | 3,21 ± 0,2*,** | 16,7 ± 2,3* | |
3-й день | Группа I | 27,19 ± 1,9*,** | 2,37 ± 0,2** | 13,70 ± 0,1* |
Группа II | 21,78 ± 1,8* | 4,30 ± 0,4** | 19,74 ± 1,4*,** | |
7-й день | Группа I | 13,89 ± 1,6 | 1,82 ± 0,2*,** | 14,13 ± 0,1* |
Группа II | 19,28 ± 2,5* | 4,6 ± 0,2** | 23,84 ± 0,2*,** | |
14-й дней | Группа I | 20,77 ± 2,9* | 4,85 ± 0,1** | 18,38 ± 1,6* |
Группа II | 12,27 ± 1,2** | 4,45 ± 0,1** | 36,26 ± 1,1** |
Примечание: * – статистическая значимость различий относительно показателя до моделирования гипертонуса жевательной мускулатуры, р < 0,01; ** – статистическая значимость различий относительно показателя моделирования гипертонуса, р < 0, 05.
Следует отметить, что во второй группе, купирование гипертонуса которой проводилось методом непосредственного озонирования, уже на 3-й день коэффициент вариации увеличился в 1,4 раза (р < 0,05) и составил (19,74 ± 1,4) %, что свидетельствует об устранении факторов, влияющих на локальную микроциркуляцию и улучшение кровоснабжения мышцы. Анализ полученных результатов свидетельствует о положительной гемодинамике на всех этапах наблюдения, начиная с 3-х суток. К концу второй недели наблюдения коэффициент вариации достиг уровня до моделирования эксперимента. В группе, где применяли блокады, также отмечалась положительная динамика по данному показателю, свидетельствующая об улучшении локальной гемодинамики, однако разница статистически недостоверна как относительно показателя до начала лечения, так и контрольных значений.
Сравнительный анализ значений средней амплитуды височной и жевательной мышц представлен в табл. 2.
Таблица 2
Электромиографические показатели в динамике лечения согласно группам сравнения
Параметр | temporalis, D, мкВ | masseter, D, мкВ | temporalis, S, мкВ | masseter, S, мкВ | Суммарный биопотенциал, мВ | |
До моделирования ГЖМ | 229291 ± 15541* | 142760 ± 1639* | 19313 ± 1423* | 66966 ± 1568* | 319,8 ± 12,9* | |
ГЖМ | 299189 ± 12689** | 152084 ± 1793** | 38455 ± 3256** | 179759 ± 12158** | 476,8 ± 25,8** | |
1-й день I группа | 291569 ± 10689* | 150785 ± 1412* |
|
| 389 ± 25,9** | |
1-й день II группа |
|
| 17589 ± 1230** | 61235 ± 1452** | 363,8 ± 15,9** | |
3-й день | I группа | 296769 ± 21475* | 127837 ± 5690** |
|
| 401,5 ± 19,8* |
II группа |
|
| 16421 ± 2410** | 58947 ± 3541** | 368,9 ± 26,4** | |
7-й день | I группа | 259798 ± 13265* | 125669 ± 2963*,** |
|
| 286,95 ± 11,2** |
II группа |
|
| 16276 ± 2109** | 43690 ± 2630** | 316,55 ± 23,1** | |
14-й день | I группа | 236888 ± 12563 | 141452 ± 2561** |
|
| 340,6 ± 16,3** |
II группа |
|
| 16437 ± 1059** | 62732 ± 2980** | 301,9 ± 19,6** |
Примечание: * – статистическая значимость различий относительно показателя до моделирования гипертонуса жевательной мускулатуры, р < 0,01; ** – статистическая значимость различий относительно показателя моделирования гипертонуса, р < 0, 05.
Исходя из таблицы, наглядно представлено, что к концу второй недели во всех группах показатели электромиографического исследования приблизились к контрольным цифрам, однако, улучшение функциональной активности жевательной мускулатуры происходило во II группе более интенсивно, о чем свидетельствует статистическая разница между сравниваемыми параметрами уже на 3-й день исследования, средняя амплитуда и суммарный биопотенциал статистически значимо уменьшились в 1,3 раза (р < 0,05).
Антропометрические параметры размеров жевательной мышцы статистически значимо не изменились в течение 14 дней. Однако структура ткани изменилась. Так, эхогенность жевательной мускулатуры слева усиливается, вероятно, за счет кровенаполнения. Справа же усиливался отек капсулы. Через 3 и 7 дней повышенная эхогенность сохранялась с тенденцией к восстановлению на седьмые сутки. В области инфильтрата появляются участки разряжения. Справа неоднородность инфильтрата еще более выраженная (рис. 7 а, б).
Рис. 7. Жевательная мышца справа – неоднородность в области инфильтрата (а); усиление эхогенности структуры жевательной мышцы слева, восстановление тонуса (б)
ЗАКЛЮЧЕНИЕ
Таким образом, на основании проведенного исследования доказано, что купирование гипертонуса жевательной мускулатуры более эффективно методом озонирования. О чем свидетельствует нормализация изучаемых показателей на всех этапах эксперимента. Озон за счет увеличения синтеза оксида азота оказывает стимуляцию микроциркуляции крови, увеличивает проницаемость клеточных мембран за счет увеличения среднего колебания перфузии ткани, оказывает релаксирующий эффект. Выполнение инъекций 2%-м раствором лидокаина также оказывает положительный эффект на 14-й день наблюдения. Вероятно, это связано с тем, что озонирование проводилось ежедневно, а блокирование нервного импульса по ветви тройничного нерва однократно. Активируя гуанилатциклазный и другие клеточные механизмы, оксид азота в норме обуславливает вазодилатацию, влияет на микроциркуляцию и кровенаполнение [16], однако, применение озонотерапии как самостоятельного метода лечения на клиническом приеме в практике врача-стоматолога остается открытым.
Проведенное исследование отражает современную тенденцию к разработке алгоритмов лечения и тактике ведения пациентов с миофациальным болевым синдромом и мышечным гипертонусом [17].
Обоснование малоинвазивных подходов к диагностике и терапии основано на принципе биологической обратной связи. Ранняя диагностика и своевременное лечение предоставляет возможность избежать хронизации процесса, развитие дисфункции височно-нижнечелюстного сустава [18].
В настоящее время целесообразно проводить более долгосрочные наблюдения при лечении пациентов с гипертонусом жевательной мускулатуры различными методами, обладающими миорелаксационным воздействием, что позволит повысить эффективность проводимой тераапии.
Авторлар туралы
Elena Yarygina
Volgograd State Medical University
Хат алмасуға жауапты Автор.
Email: elyarygina@yandex.ru
ORCID iD: 0000-0002-8478-9648
Candidate of Medical Sciences, Associate Professor, Head of the Department
Ресей, Volgograd
Әдебиет тізімі
- Khabirov F. A., Khabirova Yu. F. Myofascial pain is a modern problem of diagnosis and treatment in the practice of a primary care physician. Prakticheskaya medicina = Practical medicine. 2019;17(7):8–16. doi: 10.32000/2072-1757-2019-7-8-16. (In Russ.).
- Trezubov V. N., Bulycheva E. A., Trezubov V. V., Bulycheva D. S. Treatment of patients with disorders of the temporomandibular joint and masticatory muscles: clinical recommendations. – Moscow: GEOTAR-Media, 2021;96. (In Russ.).
- Makedonova Yu. A., Vorobyov A. A., Alexandrov A.V., Dyachenko D. Yu. Screening diagnostics of masticatory muscle hypertension in adults // Certificate of registration of the database No. 2021621703 dated 08/11/2021, application No. 2021621557 dated 07/29/2021 URL: https://www.elibrary.ru/item. asp?id=46471398. (In Russ.).
- Moola S., Munn Z., Tufanaru C. et al. Chapter 7: Systematic reviews of etiology and risk. In: Aromataris E., Munn Z., editors. JBI Manual for Evidence Synthesis. JBI; Miami, FL, USA: 2020. URL: https://www.sciepub.com/reference/324238
- Hu S., Shao Z., Deng L. Clinical manifestations, imaging features, and pathogenic/prognostic risk factors for temporomandibular disorders (TMD): a case-control study based on psychogenic factors of patients. Computational and Mathematical Methods in Medicine. 2022;25. URL: https://www.resear-chgate.net/publication/362257618_Clinical_Manifestations_Imaging_Features_and_PathogenicPrognostic_Risk_Factors_for_Temporomandibular_Disorders_TMD_A_Case-Control_Study_Based_on_Psycho-genic_Factors_of_Patients.
- Rongo R., Ekberg E. C., Nilsson I. M., Michelotti A. Diagnostic criteria for temporomandibular disorders (DC/TMD) for children and adolescents: an international delphi study – Part 1 – development of axis I. Journal of Oral Rehabilitation. 2021;48:836–845. URL: https://pubmed.ncbi.nlm.nih.gov/33817818/
- Kopacz Ł., Ciosek Ż., Gronwald H. et al. Comparative analysis of the influence of selected physical factors on the level of pain in the course of temporomandibular joint disorders. Pain Research and Management. 2020(2):45–52. URL: https://pubmed. ncbi.nlm.nih.gov/33101559/
- Urbański P., Trybulec B., Pihut M. The application of manual techniques in masticatory muscles relaxation as adjunctive therapy in the treatment of temporomandibular joint disorders. International Journal of Environmental Research and Public Health. 2021;18(24). URL: https://pubmed.ncbi.nlm.nih.gov/ 34948580/
- Makedonovа Yu. A., Yarygina E. N., Alexandrov A. V. et al. Gradation of degrees of severity of hypertonus of the masticatory muscles. Endodontiya Today = Endodontics Today. 2024;22(1):80–85. (In Russ.). URL: https://doi.org/10.36377/ET-0006
- Shkarin V. V., Danilenko E. E. Features of manufacturing and application of sports mouthguards. Volgogradskiy nauchno-meditsinskiy zhurnal = Volgograd scientific Medical Journal. 2022;3(19):49–52. (In Russ.). URL: https://elibrary.ru/item.asp?id=49512263
- Manfredini D. Temporomandibular disorders: modern concepts of diagnosis and treatment. 2013:972. (In Russ.). URL: https://emll.ru/find?iddb=17&ID= RUCML-BIBL-0001407716
- Makedonova Yu. A., Venskel E. V., Osyko A. N. et al. Ultrasound examination of the anatomy of masticatory muscles in their hypertension. Vestnik Volgogradskogo gosudarstvennogo medicinskogo universiteta = Bulletin of the Volgograd State Medical University. 2023;2:35–39. (In Russ.). URL: https://elibrary.ru/item.asp?id=54218905
- Andre A., Kang J., Dym H. Pharmacologic treatment for temporomandibular and temporomandibular joint disorders. Oral and Maxillofacial Surgery Clinics of North America. 2022;34(1): URL: 49-59https:// pubmed.ncbi.nlm.nih.gov/34598856/
- Simoen L., Van den Berghe L., Jacquet W., Marks L. Depression and Anxiety Levels in Patients with Temporomandibular Disorders: Comparison with the General Population. Clin. Oral Investig. 2020;24: 3939–3945. URL: https://pubmed.ncbi.nlm. nih.gov/ 32219566/
- Makedonova Yu. A., Vorobyov A. A., Osyko A. N. et al. Comparative analysis of the effectiveness of methods for relieving masticatory muscle hypertension in children with cerebral palsy. Periodontology. 2022; 27(4):295–303. (In Russ.). URL: https://doi.org/ 10.33925/1683-3759-2022-27-4-000-000
- Serov V. N. Methods of systemic application of ozone in medical practice. 2022;9(1-2):36 (In Russ.). URL: file:///C:/Users/mihai/Downloads/ methods of-systemic-application-of-ozone-in-medical-practice.pdf
- Petrikas I. V., Kurochkin A. P., Trapeznikov D. V. et al. An integrated approach to the treatment of neuromuscular TMJ syndrome. Clinical observation. Problems of dentistry. 2018:66–70. (In Russ.). URL: https://cyberleninka.ru/article/n/kompleksnyy-podhod-k-lecheniyu-neyromuskulyarnogo-disfunktsional-nogo-sindroma-vnchs-k-linicheskoe-nablyudenie
- Canales G. D. L. T., Guarda-Nardini L., Rizzatti-Barbosa C. M. et al. Distribution of Depression, Somatization and Pain-Related Impairment in Patients with Chronic Temporomandibular Disorders. J. Appl. Oral Sci. 2019;27:e20180210. URL: https://pubmed. ncbi.nlm.nih.gov/30624469/
Қосымша файлдар
