Морфологические особенности репаративной регенерации мягких тканей при раневом процессе у крыс с экспериментальным сахарным диабетом
- Авторы: Кубанова А.Б.1,2, Смирнов А.В.3, Тимченко Л.Д.2, Кубанов С.И.2, Джикаев Г.Д.1,2, Краюшкин А.И.3, Самусев Р.П.3, Гуров Д.Ю.3, Замараев В.С.3
-
Учреждения:
- Ставропольский государственный медицинский университет
- Северо-Кавказский федеральный университет
- Волгоградский государственный медицинский университет
- Выпуск: Том 22, № 2 (2025)
- Страницы: 86-93
- Раздел: Статьи
- Статья опубликована: 26.07.2025
- URL: https://j-morphology.com/2658-4514/article/view/688334
- DOI: https://doi.org/10.19163/2658-4514-2025-22-2-86-93
- ID: 688334
Цитировать
Полный текст
Аннотация
Цель исследования: изучение морфологических изменений и выраженности репаративных процессов у старых крыс при экспериментальном раневом процессе на фоне экспериментального сахарного диабета 2-го типа. Материалы и методы. Исследование было выполнено на экспериментальном материале, половозрелых крысах-самцах линии Wistar в возрасте 18 месяцев, на которых моделировали сахарный диабет 2-го типа (СД2Т) в течение 6 месяцев. Вызывали СД2Т с помощью стрептозотоцина (65 мг/кг, через 15 минут после введения 230 мг/кг никотинамида, Sigma-Aldrich, США). Животные были разделены на группы: I группа – моделированная рана кожных покровов у крыс без СД, II рана + СД2Т, уровень глюкозы крови 12 ммоль/л и выше. Скальпелем путем иссечения проводили раневое повреждение кожи размером 20 × 30 мм и готовили гистологические микропрепараты. Животных выводили из эксперимента на 7, 14, 21 и 28-е сутки. Проанализирована морфология раневого процесса у крыс с СД2Т и моделированными плоскостными ранами мягких тканей. Показано влияние гипергликемии на морфологические особенности течения раневого процесса у старых крыс. Выявлена динамика соотношения нейтрофильных лейкоцитов и макрофагов и подтверждена приоритетная роль полиморфно-нуклеарной инфильтрации как регулятора воспалительно-репаративных взаимоотношений в механизме заживления ран у старых крыс при экспериментальном СД2Т.
Полный текст
За последние 25 лет количество больных сахарным диабетом (СД) на нашей планете, согласно данным Международной диабетической федерации (IDF), увеличилось более чем в 4 раза, составляя в 2017 г. 425 млн человек, к 2045 г. достигнет 627 млн. На лечение, по данным Американской диабетической ассоциации, тратится около 325 млрд долларов ежегодно [1]. Существенны метаболические нарушения, функциональный статус организма, что не только отягощает большинство соматических заболеваний, но и ухудшает репаративные процессы и проявляется разного рода осложнениями [2].
Степень выраженности некоторых патологических изменений кожи при сахарном диабете может служить показателем тяжести поражения сосудов [3]. Заживление ран является результатом баланса между стимулирующими цитокинами, факторами роста и ингибирующими протеазами [4]. Считается, что метаболиты являются не только конечными точками биохимических процессов, но играют критическую роль в прогрессировании заболевания [5].
Анализ литературы свидетельствует о достаточном количестве исследований раневого процесса при сахарном диабете 2-го типа (СД2Т). Подавляющее большинство исследований касаются вопросов лечения осложнений СД, в частности, диабетической стопы [3]. Следует отметить, что значительное количество работ проведено на клиническом материале, что, как правило, сопряжено с достаточно высоким риском наличия многочисленных сопутствующих заболеваний и осложнений. Данные обстоятельства обуславливают необходимость проведения экспериментальных исследований на лабораторных животных [4]. Остается крайне актуальным вопрос анализа патоморфологических изменений мягких тканей в динамике раневого процесса при СД2Т с оценкой локальных тканевых компонентов [1]. Вышеизложенное обуславливает актуальность исследований для разработки патогенетически обоснованных эффективных методов лечения.
Цель работы
Исследовать и изучить морфологические изменения и степень выраженности репаративных процессов в коже и подлежащих мягких тканях у крыс в динамике раневого процесса при экспериментальном СД2Т.
Методика исследования
Исследование было выполнено на экспериментальном материале, половозрелых крысах-самцах линии Wistar в возрасте 18 месяцев, массой 310–360 г. Животные содержались в стандартных условиях вивария согласно правилам GLP при проведении доклинических исследований в РФ (ГОСТ З 51000.396 и 51000.4-96).
Соблюдались этические принципы, обозначенные (1964) Хельсинской Декларацией Всемирной Медицинской Ассоциации и Международным рекомендациям по защите позвоночных животных (1997).
У подопытных животных во II группе вызывали СД2Т путем введения стрептозотоцина (65 мг/кг, через 15 мин после введения 230 мг/кг никотинамида, Sigma-Aldrich, США). Через 72 часа производили количественное определение глюкозы в крови глюкозооксидазным методом на спектрофотометре (ПЭ-5400В, ЭКРОС).
В дальнейший эксперимент отбирали животных с уровнем глюкозы крови 12 ммоль/л и выше. В течение 6 месяцев подтверждали СД2Т, определяя выраженность гипергликемии с помощью измерения концентрации глюкозы глюкометром и тест полосок фирмы Contour Plus (Контур плюс, Япония).
После подтверждения СД моделировались плоскостные раны у наркотизированных животных. Животные были разделены на следующие группы: I группа: раневой дефект – группа животных с моделированными ранами в возрасте 24 месяцев. II группа: раневой дефект + сахарный диабет 2-го типа – группы крыс с СД2Т и моделированными ранами. Предварительно депилляционной мазью удаляли шерсть на коже спины, в межлопаточной области, обрабатывали форисептом. Скальпелем путем иссечения проводили раневое повреждение кожи размером 20 × 30 мм (600 мм2). Подопытных крыс выводили из эксперимента на 7, 14, 21 и 28-е сутки в соответствии с Правилами лабораторной̆ практики в РФ (приказ МЗ РФ от 19.06.2003 № 267). Эвтаназию проводили декапитацией под наркозом (тиопентал натрия в дозе 40 мг/кг, внутрибрюшинно).
Для морфологических исследований образцы тканей (фрагменты кожи и подлежащих тканей) фиксировали в 10%-м растворе нейтрального забуференного формалина (рН-7,4) в течение 24 часов с дальнейшим обезвоживанием в батарее спиртов и изготовлением парафиновых блоков. На роторном микротоме изготавливали срезы толщиной 5–6 мкм. Для выявления патологических процессов производили окрашивание гематоксилином и эозином по общепринятой гистологической методике.
Для статистического анализа полученных данных использовали программный пакет «Statistica» 10 (Statsoft, США). Для сравнения двух независимых выборок использовали U-критерий Манна – Уитни. За уровень значимости различий принимали p < 0,05.
Результаты исследования и их обсуждение
На разработанной экспериментальной модели определяли площадь раневого дефекта.
Раневая поверхность у крыс без СД за счет репаративной регенерации уменьшалась, раневой дефект к концу эксперимента практически отсутствовал.
У животных II группы к окончанию эксперимента площадь раневого дефекта снижалась, раневой дефект отмечался. Установлено, что площадь раневого дефекта в динамике прогрессивно снижалась по сравнению с предыдущим сроком исследования в I группе в следующей последовательности: на 14-е сутки – на 18,4 %, на 21-е сутки – на 94,8 %, на 28-е сутки – на 99,8 %; во II группе: на 14-е сутки – на 16,5 %, на 21-е сутки – на 30,0 %, на 28-е сутки – на 68,1 % (см. табл.).
Площадь раневого дефекта поверхности кожи (М ± SD)
Эксперимент (сутки) | Достоверность различий, p < 0,05 | |
I группа: животные с моделированными | II группа: животные с СД2Т и моделированными ранами (площадь кожного дефекта, мм2) | |
7-е | 21,2 ± 1,4 17,3 ± 1,0 0,9 ± 0,3 0,002 ± 0,01 | 28,4 ± 1,6* 23,7 ± 1,4* 16,6 ± 1,0* 5,3 ± 0,4* |
14-е | ||
21-е | ||
28-е |
Примечание: * – р < 0,05 достоверность различий при сравнении с контрольной группой животных, I группа.
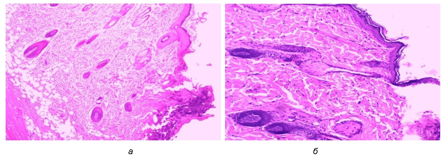
На 7-сутки эксперимента у старых крыс в группе с моделированной раной при гистологическом исследовании образцов тканей из ран выявлено наличие раневой поверхности с нек-ротизированными тканями в виде детрита и струпа. В краях раны отмечены очаги размножения эпителиальных клеток эпидермиса. Под струпом в сосочковом слое дермы определялись межклеточные отек, явления экссудации, наблюдалось значительное количество нейтро-фильных лейкоцитов, большинство из них были с признаками фагоцитоза. В дне раневого дефекта определялись очаговые кровоизлияния (рис. 1). У всех крыс данной группы в краях раны в дерме на 7-е сутки обнаружена грануляционная ткань с большим количеством соединительнотканных клеток: нейтрофильных лейкоцитов, фибробластов, гистиоцитов, лимфоцитов, небольшим количеством коллагеновых волокон.
В группе старых крыс с экспериментальным сахарным диабетом 2-го типа и с моделированной раной обнаружено наличие раневой поверхности с некротизированными тканями в виде детрита и струпа. В эпидермисе участки разрастания и регенерации по краям раны менее выраженные, чем у контрольных животных той же возрастной группы. Под струпом определяются нейтрофильные лейкоциты, признаки фагоцитоза выражены меньше, что, по нашему мнению, отражает нарушение в системе антиоксидантной защиты и сопровождается снижением уровня NO и активных форм кислорода, которые вырабатываются этими клетками [5]. Возможное снижение выработки NO в фазу пролиферации может способствовать снижению синтеза коллагена [6]. В более глубоких отделах ран отмечено наличие экссудата, обильная инфильтрация полиморфно-ядерными лейкоцитами и гистиоцитами, которые расположены диффузно, часть из них – периваскулярно, что, по-видимому, свидетельствует о повышенной проницаемости сосудистой стенки, способствующей поддержанию воспаления. В интиме кровеносных сосудов отмечены признаки повреждения эндотелия. Наблюдается появление коллагеновых волокон, наличие грануляционной ткани, незначительная эпителизация (рис. 1).
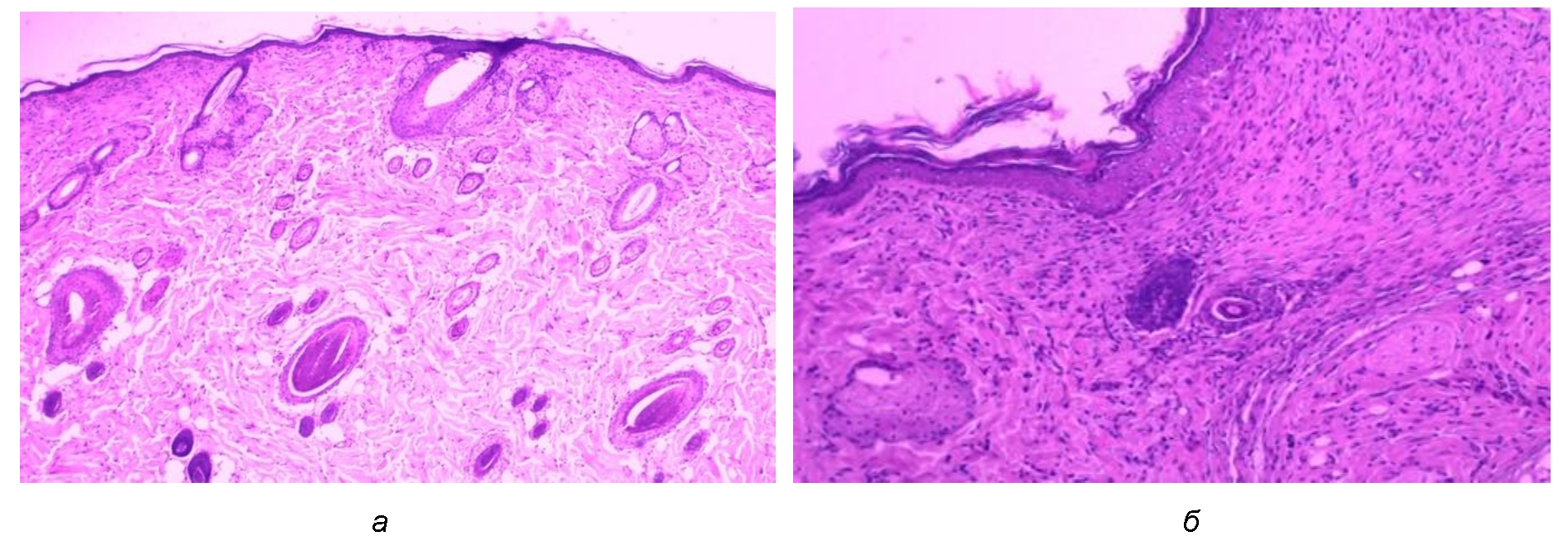
На 14-сутки эксперимента у животных с моделированной раной обнаружено наличие раневой поверхности, струпа и детрита незначительной толщины. Большая часть поверхности покрыта утолщенным эпидермисом (рис. 2). В подлежащих слоях определяется грануляционная ткань со слабо выраженной полиморфно-нуклеарной лейкоцитарной инфильтрацией и усиленным ангиогенезом.
Воспаление в мышечной ткани практически отсутствует. У крыс с экспериментальным сахарным диабетом 2-го типа на 14-сутки после нанесения раневого дефекта обнаружено наличие раневой поверхности с некротизированными тканями, отмечается высокая плотность нейтрофильных лейкоцитов в поверхностных отделах под струпом. Отмечаются участки разрастания эпидермиса и регенерации клеток соединительной ткани по краям раны (рис. 2).
В дерме у большинства крыс имеется грануляционная ткань с выраженной полиморфно-нуклеарной лейкоцитарной инфильтрацией.
В дне и по краям раны среди соединительнотканных клеток преобладают фибробласты, гистиоциты, адипоциты, встречаются единичные лимфоциты и плазмоциты.
Воспаление в скелетной мышечной ткани практически отсутствует.
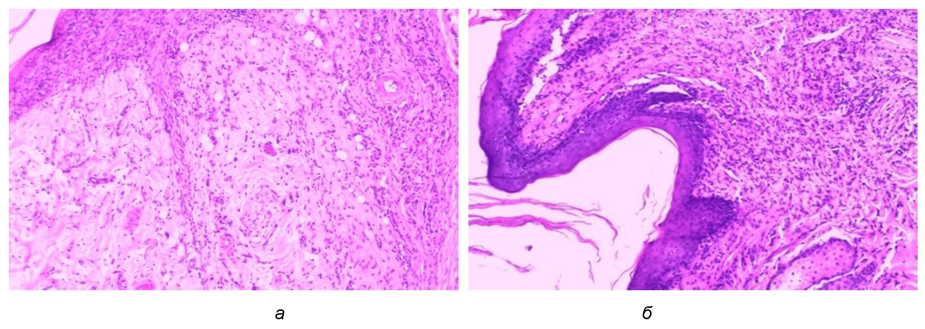
На 21-сутки у группы крыс с моделированной раной раневая поверхность эпителизирована, наблюдается образование новых волосяных фолликулов, коллагеновых волокон в большем количестве, очаговая интраэпителиальная лимфоидная инфильтрация (рис. 3). В дерме сохранятся грануляционная ткань со слабо выраженной полиморфно-нуклеарной лейкоцитарной инфильтрацией с наличием фибробластов и гистиоцитов, с большим количеством кровеносных сосудов, часть из которых направлена перпендикулярно к поверхности. В поверхностных отделах плотность гистиоцитов увеличена. В краях раны грануляционная ткань переходит в соединительную ткань дермы. Воспаление мышечной ткани практически отсутствует.
В группе крыс с экспериментальным сахарным диабетом 2-го типа раневая поверхность покрыта струпом, грануляционная ткань с выраженной полиморфно-нуклеарной лейкоцитарной инфильтрацией (рис. 3). Нейтрофильные лейкоциты преобладают в поверхностных неэпителизированных отделах. Отмечено слабо выраженное созревание грануляционной ткани, преобладают клетки соединительной ткани, небольшое количество коллагеновых волокон, отмечается умеренное количестве вновь образованных сосудов. В мышечной ткани наблюдается дистрофия, межмышечная лимфогистиоцитарная инфильтрация и скопление жидкости.
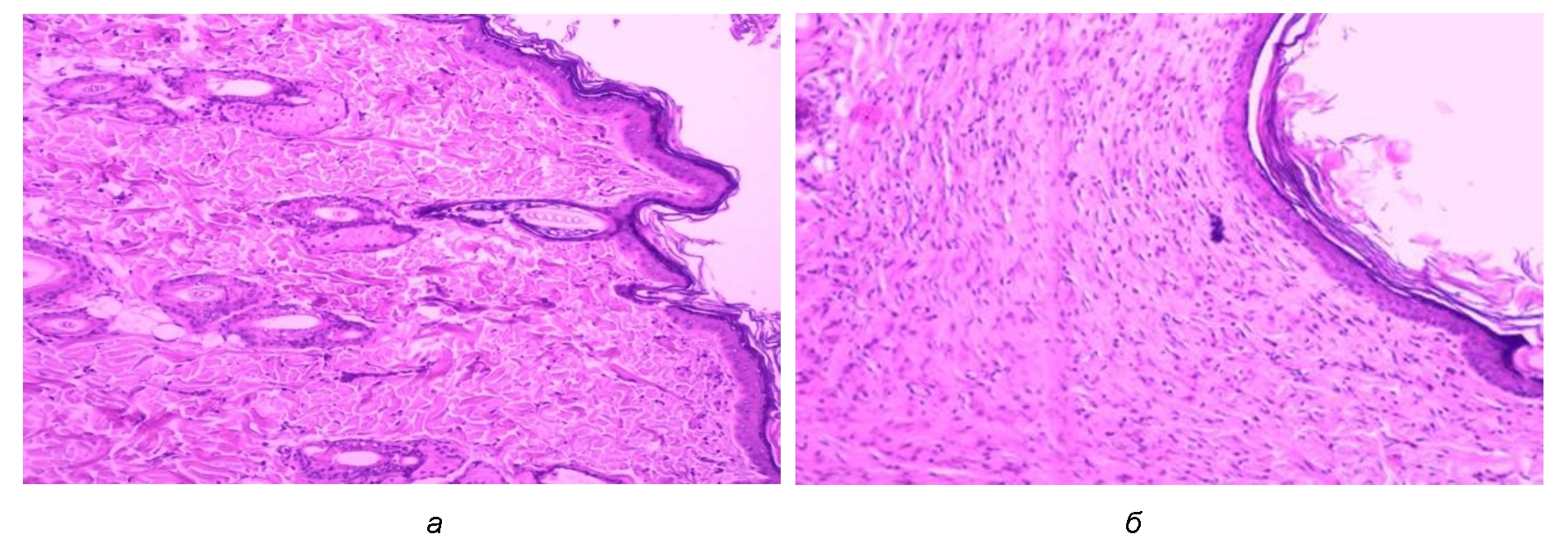
На 28-е сутки у группы крыс с моделированной раной – полностью эпителизированная поверхность, в дерме преобладают коллагеновые волокна, диффузно расположенные фибробласты и гистиоциты, большое количество кровеносных сосудов. В подлежащих тканях признаки воспаления отсутствуют (рис. 4).
В группе крыс с экспериментальным сахарным диабетом 2-го типа и смоделированной раной отмечается небольшая раневая поверхность, покрытая струпом, в дерме наблюдается зрелая грануляционная ткань, в которой сохраняются клетки соединительной ткани, малое количество коллагеновых волокон и сосудов (рис. 4). Нейтрофильные лейкоциты сохраняются в неэпителизированных отделах дермы. В мышечной ткани наблюдаются дистрофические изменения.
Рис. 1. Структурные изменения в области раневого дефекта: а – I группа: моделированная рана крысы в возрасте 24 мес. на 7-е сутки опыта; б – II группа: моделированная рана крысы в возрасте 24 мес. с СД2Т на 7-е сутки эксперимента. Окраска гематоксилином и эозином. Ув. ×100
Рис. 2. Структурные изменения в области раневого дефекта: а – I группа: моделированная рана крысы в возрасте 24 мес. на 14-е сутки опыта; б – II группа: моделированная рана крысы в возрасте 24 мес. с СД2Т на 14-е сутки эксперимента. Окраска гематоксилином и эозином. Ув. ×100
Рис. 3. Структурные изменения в области раневого дефекта: а – I группа: моделированная рана крысы в возрасте 24 мес. на 21-е сутки опыта; б – II группа: моделированная рана крысы в возрасте 24 мес. с СД2Т на 21-е сутки эксперимента. Окраска гематоксилином и эозином. Ув. ×100
Рис. 4. Структурные изменения в области раневого дефекта: а – I группа: моделированная рана крысы в возрасте 24 мес. на 28-е сутки опыта; б – II группа: моделированная рана крысы в возрасте 24 мес. с СД2Т на 28-е сутки эксперимента. Окраска гематоксилином и эозином. Ув. ×100
Полученные нами результаты морфологического исследования о процессе заживления ран при моделировании СД2Т у старых крыс согласуются с данными о процессах регенерации, сопровождаются метаболическими и обменными нарушениями, при которых происходят снижение тканевого кровообращения, развитие местной гипоксии, ацидоза тканей, микробной контаминации [6, 7].
У лиц с СД2Т риск развития инфекционных осложнений в разы выше, чем у пациентов без СД [8, 9]. Сахарный диабет замедляет заживление ран, которое становится длительным с рецидивирующими повреждениями и инфекциями [10]. Полученные нами данные подтверждают мнение, что течение раневого процесса становится более длительным по сравнению со здоровыми животными. Так, в группе у старых животных с моделированной раной на 14-е сутки происходит полноценная реэпителизация тканей при отсутствии влияния гипергликемии.
У старых животных с сахарным диабетом 2-го типа даже к концу эксперимента реэпителизация не завершена, патологический процесс распространяется на подлежащие ткани. Патоморфологическое исследование тканей раны определило различную выраженность клеточно-тканевых компонентов. У старых крыс с моделированной раной без СД на начальных этапах наблюдения отмечены признаки выраженной фагоцитарной активности. У животных того же возраста с сахарным диабетом 2-го типа и с моделированной раной фагоцитарная активность нейтрофильных лейкоцитов значительно снижалась. В целом течение раневого процесса у животных II группы характеризовалось большей продолжительностью экссудативно-некротических и пролиферативных изменений, замедлением про-цессов ремоделирования тканей (созревание рубца), что, по-видимому, связано с развитием микроангиопатии и нарушением трофики тканей в процессе регенерации при наличии возраст-ассоциированного снижения скорости метаболических процессов.
Заключение
В результате экспериментального исследования у старых крыс с сахарным диабетом 2-го типа и смоделированной раной кожных покровов зафиксировано замедление процессов репаративной регенерации по сравнению с группой животных с моделированной раной без сахарного диабета, что подтверждается динамикой сроков эпителизации ран и патоморфологическими изменениями в дерме. В группе животных с моделированной раной на 21-е сутки отмечается практически полная эпителизированная раневая поверхность. Репаративные изменения в группе экспериментальных животных с сахарным диабетом 2-го типа не завершаются к 28-м суткам, воспалительный процесс и дистрофические изменения сохраняются в области раны, в подлежащих тканях, отмечено снижение фагоцитарной активности нейтрофильных лейкоцитов.
Об авторах
А. Б. Кубанова
Ставропольский государственный медицинский университет; Северо-Кавказский федеральный университет
Автор, ответственный за переписку.
Email: albina.kubanowa@yandex.ru
кандидат медицинских наук, доцент, кафедры патологической анатомии
Россия, Ставрополь; СтавропольА. В. Смирнов
Волгоградский государственный медицинский университет
Email: alexeysmirnov.volggmu@gmail.com
доктор медицинских наук, профессор, заведующий кафедрой патологической анатомии
Россия, ВолгоградЛ. Д. Тимченко
Северо-Кавказский федеральный университет
Email: ltimchenko@ncfu.ru
доктор ветеренарных наук, профессор, главный научный сотрудник межкафедральной научно-образовательной лаборатории экспериментальной иммуноморфологии, иммунопатологии и иммунобиотехнологии медико-биологического факультета
Россия, СтавропольС. И. Кубанов
Северо-Кавказский федеральный университет
Email: sik007@yandex.ru
кандидат медицинских наук, доцент кафедры клинической медицины медико-биологического факультета
Россия, СтавропольГ. Д. Джикаев
Ставропольский государственный медицинский университет; Северо-Кавказский федеральный университет
Email: doctor-gija@mail.ru
кандидат медицинских наук, доцент, кафедры патологической анатомии
Россия, Ставрополь; СтавропольА. И. Краюшкин
Волгоградский государственный медицинский университет
Email: krayushkin.ai@mail.ru
доктор медицинских наук, профессор, профессор кафедры анатомии
Россия, ВолгоградР. П. Самусев
Волгоградский государственный медицинский университет
Email: samusev_rudolf@mail.ru
доктор медицинских наук, профессор, профессор кафедры анатомии
Россия, ВолгоградД. Ю. Гуров
Волгоградский государственный медицинский университет
Email: gurov007@mail.ru
доктор медицинских наук, профессор кафедры патологической анатомии
Россия, ВолгоградВ. С. Замараев
Волгоградский государственный медицинский университет
Email: vszamaraev@mail.ru
доктор медицинских наук, профессор, профессор кафедры микробиологии, вирусологии, иммунологии с курсом клинической микробиологии
Россия, ВолгоградСписок литературы
- Смирнов А. В., Бисинбекова А. И., Файбисович Т. И. Морфофункциональные изменения головного мозга при сахарном диабете. Вестник Волгоградского государственного медицинского университета. 2022;19(3):3–8.
- Луценко Ю. Г., Ахрамеев В. Б., Матийцив А. Б. Программированное орошение и дренирование в лечении больных сахарным диабетом с гнойно-некротическим поражением мягких тканей нижних конечностей. Новообразование. 2023;15(1):19–22.
- Иванов А. Н., Попыхова Э. Б., Степанова Т. В., Пронина Е. А., Лагутина Д. Д. Изменение показателей микроциркуляции при аутотрансплантации полнослойного кожного лоскута на фоне экспериментального сахарного диабета у крыс. Регионарное кровообращение и микроциркуляция. 2019;18(4):72–80.
- Cruz T. B., Carvalho F. A., Matafome P. N. et al. Mice with Type 2 Diabetes Present Significant Alterations in Their Tissue Biomechanical Properties and Histological Features. Biomedicines. 2021;10(1):36–42. doi: 10.3390/biomedicines10010057.
- Singh A., Kukreti R., Saso L., Kukreti S. Mechanistic Insight into Oxidative Stress-Triggered Signaling Pathways and Type 2 Diabetes. Molecules. 2022;27(3):119–128. doi: 10.3390/molecules27030950.
- Прошин А. В. Морфологическая характеристика раневого процесса у больных с гнойно-некротическими формами поражений нижних конечностей при сахарном диабете. Вестник Новгородского государственного университета. Сер.: Медицинские науки. 2010;59:63–66.
- Masha А., Dinatale S., Allasia S., Martin V. Role of the Decreased Nitric Oxide Bioavailability in the Vascular Complications of Diabetes Mellitus. Curr Pharm Biotechnol. 2011;12(9):1354–1363.
- Власов А. П., Зайцев П. П., Власов П. А., Болотских В. А., Григорьев А. Г. Повышение репаративного потенциала тканей при сахарном диабете. Хирургия. 2017;12:52–57.
- Тюренков И. Н., Смирнов А. В., Бакулин Д. А., Великородная Ю. И. Морфологические особенности миокарда при экспериментальном сахарном диабете и его фармакологической коррекции мефаргином. Волгоградский научно-медицинский журнал. 2022;(4):25–29.
- Алексеева Н. Т., Глухов А. Л., Остроушко А. П. Роль клеток фибробластического дифферона в процессе заживления ран. Вестник экспериментальный и клинический хирургии. 2012;3:601–608.
Дополнительные файлы
