Immunophenotypic characteristics of inducible NO synthase expression in dentate gyrus of mature rats in modeling depression and its pharmacological correction
- Authors: Smirnov A.V.1, Ekova M.R.1, Tyurenkov I.N.2, Volotova E.V.2
- 
							Affiliations: 
							- Volgograd Medical Research Center
- Volgograd State Medical University
 
- Issue: Vol 159, No 1 (2021)
- Pages: 21-28
- Section: Original Study Articles
- Submitted: 05.03.2022
- Accepted: 05.03.2022
- Published: 15.01.2021
- URL: https://j-morphology.com/1026-3543/article/view/104470
- DOI: https://doi.org/10.17816/1026-3543-2021-159-1-21-28
- ID: 104470
Cite item
Full Text
Abstract
AIM: The work aimed to investigate inducible NO synthase (iNOS) expression in dentate gyrus in mature rats when modeling depression, as well as the establish the pharmacological correction possibility of detected changes with Phenibut and compounds under laboratory codes of RSPU-189, RSPU-135.
MATERIALS AND METHODS: Depressive-like behavior in animals was modeled by combining stressful stimuli such as loud sound, pulsating bright light, and vibration simultaneous with constant restriction of mobility and fluctuations in temperature of environment for 7 days (daily for 30 minutes). Changes in level of iNOS expression in dentate gyrus were assessed by calculating relative area of immunoreactive material (IRM) and staining intensity in points from 0 to 3.
RESULTS: Compared with the control group, rats with experimental depression showed an increase in expression of iNOS-IRM in cytoplasm of neuronal perikarya in granular layer of dentate gyrus, as well as an increase in relative area of iNOS-IRM in neuropil and nerve cells. The use of the compound RSPU-189 (salifen) demonstrated to a greater extent the corrective effect, since in the cytoplasm of neuronal perikarya in granular layer of dentate gyrus of rats, there was a decrease in the expression of iNOS-IRM, as well as a decrease in the relative area of iNOS-IRM in neuropil and nerve cells, which corresponded to values of these parameters in the control group of animals.
CONCLUSIONS: An experimental modeling of depression in dentate gyrus of mature rats revealed an increase of iNOS-IRM expression, the decrease of which was noted in its pharmacological correction with the compound RSPU-189 (salifen), which may indicate the predominant neuroprotective effect of this compound on GABAergic neurotransmission mechanisms.
Keywords
Full Text
Депрессия привлекает всё больше внимания, поскольку не только усложняет прогноз многих хронических заболеваний, но и рассматривается в качестве одной из наиболее распространённых причин снижения трудоспособности населения [1, 2]. Формирование депрессивного состояния [3] наблюдается при смешанных тревожно-депрессивных расстройствах, деменциях различного генеза, болезни Паркинсона, эпилепсии, соматической патологии, реакциях на тяжёлый стресс, расстройствах адаптации, старении [2]. Наряду с генетическими факторами (около 40%) внешние факторы окружающей среды, такие как, например, стрессовые события, считаются вовлечёнными в начало депрессии [1]. Стрессовые события в свою очередь могут вызывать ряд психологических и физиологических изменений, включая активацию гипоталамо-гипофизарно-надпочечниковой оси и симпатической нервной системы, которые можно назвать реакциями на психологический стресс [2].
Хронический стресс вызывает снижение экспрессии нейротрофических факторов в головном мозге, ингибирует нейрогенез и ведет к уменьшению общего количества нейронов в зубчатой извилине [2, 4]. Снижение уровня нейрогенеза в зубчатой извилине может оказывать влияние на уменьшение объёма гиппокампа, которое наблюдается у пациентов с большим депрессивным расстройством, что в свою очередь приводит к снижению гиппокампзависимых функций головного мозга [5].
Доклинические исследования продемонстрировали, что вызванное стрессом и глюкокортикоидами подавление нейрогенеза в зубчатой извилине может быть предотвращено или отменено антидепрессантами, которые также обладают прямыми нейрогенными эффектами [5, 6]. Кроме того, было показано, что сигнальный путь синтеза оксида азота (NO) играет решающую роль в нейробиологии стресса и депрессии [7, 8]. NO синтезируется из L-аргинина посредством фермента NO-синтазы (NOS). Существует 3 изоформы NOS: нейрональная NOS (nNOS), индуцибельная NOS (iNOS) и эндотелиальная NOS (eNOS). Ингибиторы NOS, например L-NAME (неспецифический ингибитор NOS), аминогуанидин (специфический ингибитор iNOS), 7-нитроиндазол (специфический ингибитор nNOS) оказывают антидепрессивное и анксиолитическое действие, некоторые антидепрессанты, такие как пароксетин, ингибируют активность NOS [8]. Таким образом, исследование морфофункциональных изменений в ЦНС при депрессии и её фармакологической коррекции, препаратами, модулирующими пути синтеза NO, может способствовать формированию новых терапевтических стратегий лечения депрессии.
Целью исследования явилось выявить особенности экспрессии индуцибельной NO-синтазы в зубчатой извилине у крыс зрелого возраста при моделировании депрессии, а также установить возможность фармакологической коррекции выявленных изменений фенибутом и соединениями под лабораторными шифрами РГПУ-189, РГПУ-135.
МАТЕРИАЛЫ И МЕТОДЫ
Работа выполнена на 50 нелинейных белых крысах-самцах в возрасте 12 мес (ФГУП «Питомник лабораторных животных «Рапполово»» РАМН, Ленинградская область) с соблюдением «Правил проведения работ с использованием экспериментальных животных», Хельсинкской декларации (1975, 2000 г.). Депрессивноподобное поведение у животных моделировали путём сочетания таких видов стрессового воздействия, как громкий звук, пульсирующий яркий свет, вибрация, которые действовали на фоне постоянного ограничения подвижности и колебания температуры среды в течение 7 дней (ежедневно по 30 мин). Стрессоры были непредсказуемыми для животных, а моделирование депрессии у животных осуществлялось в специальной камере, содержащей 6 изолированных отсеков. При использовании данной модели у животных наблюдались симптомы депрессивноподобного поведения, имеющие выраженное феноменологическое сходство с клинической картиной депрессии: тревожность, поведенческие корреляты отчаяния, гиподинамия, ангедония, аналогичные описанным ранее [9].
Животные были разделены на 5 групп:
- 1-я группа (n=10) – контрольные крысы,
- 2-я группа (n=10) – крысы с экспериментальной депрессией,
- 3-я группа (n=10) – крысы с экспериментальной депрессией, получавшие фенибут,
- 4-я группа – крысы с экспериментальной депрессией, получавшие соединение с лабораторным шифром РГПУ-189 (салифен – производное гамма-аминомасляной кислоты (ГАМК), композиция фенибута с салициловой кислотой),
- 5-я группа – крысы с экспериментальной депрессией, получавшие соединение с лабораторным шифром РГПУ-135 (нейроглутам – β-фенильное производное глутаминовой кислоты).
Исследуемые вещества вводили внутрибрюшинно за 1 ч до моделирования депрессивного состояния в следующих дозах: фенибут 25 мг/кг, РГПУ-189 30 мг/кг, РГПУ-135 26 мг/кг. 1-я и 2-я группы животных получали соответственно массе эквивалентный объём физиологического раствора. Эвтаназию животных проводили с использованием «Гильотины для крыс» (AE0702, производитель «Open Science», Россия). Головной мозг фиксировали в нейтральном забуференном 10% формалине. Для иммуногистохимического исследования во фронтальной плоскости изготавливали серийные парафиновые срезы толщиной 4 мкм, которые изучали на уровне от -2,40 до -3,96 мм относительно брегмы [10]. Для иммуногистохимического исследования использовали первичные поликлональные кроличьи антитела против iNOS (разведение 1:100; GeneTex, Inc., США). Для визуализации применяли полимерную систему N-Histofine Simple Stain MAX PO (Nichirei Biosciences, Inc., Япония). В качестве хромогена использовали субстратную систему N-Histofine DAB-3S kit (Nichirei Biosciences, Inc., Япония). Оценку изменений уровня экспрессии iNOS в зубчатой извилине определяли путём подсчёта относительной площади иммунореактивного материала (ИРМ) с использованием модуля Image Analysis программы ZEN 1.1.2.0 (Carl Zeiss Microscopy GmbH, Германия), а также интенсивности окрашивания в баллах от 0 до 3 (0 – иммунонегативная реакция; 1 – слабо выраженное окрашивание; 2 – умеренно выраженное окрашивание; 3 – максимально выраженное окрашивание). Исследование микропрепаратов проводили с помощью микроскопа «Axio Lab. A1» (Carl Zeiss Microscopy GmbH, Германия), фотодокументирование осуществляли камерой «AxioCam 105 color» (Carl Zeiss Microscopy GmbH, Германия). Статистическую обработку данных проводили с использованием пакетов программ Statistica 6.0 (StatSoft, USA). Обобщённые данные представляли в виде медианы (Me) с указанием интерквартильного интервала (Q1-Q3), где Q1 – 25 процентиль, Q3 – 75 процентиль. Различия между группами оценивали по критерию Краскела-Уоллиса с последующим множественным сравнением групп между собой с использованием критерия Дана и считали статистически значимыми при p <0,05.
РЕЗУЛЬТАТЫ
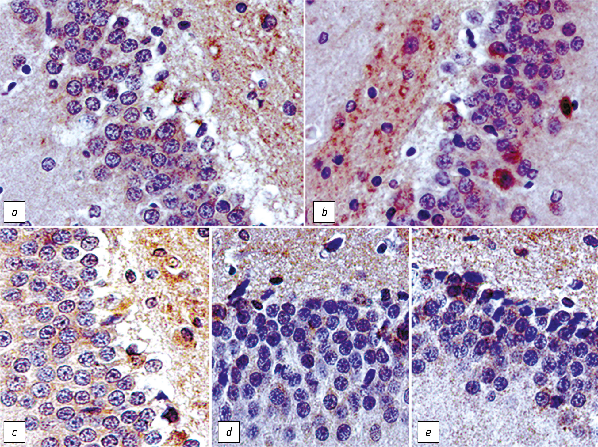
При оценке результатов иммуногистохимического исследования в гранулярном слое зубчатой извилины у крыс с экспериментальной депрессией, по сравнению с контрольной группой животных, в цитоплазме перикарионов нейронов отмечалось увеличение степени экспрессии iNOS-ИРМ до умеренно-выраженной (2 балла, см. рис.).
Рис. Патоморфологические изменения в зубчатой извилине крыс при экспериментальной депрессии: a – 1-я группа, контроль. b – 2-я группа, депрессия. c – 3-я группа, депрессия+фенибут. d – 4-я группа, депрессия+РГПУ-189. e – 5-я группа, депрессия+РГПУ-135. Иммуногистохимическое исследование с использованием первичных антител против iNOS. Ув. ×400.
При этом в единичных нейронах наблюдалась выраженная степень цитоплазматической экспрессии iNOS-ИРМ, в том числе на границе гранулярного и субгранулярного слоёв. В нейропиле субгранулярного слоя, а также в цитоплазме нервных клеток зубчатой извилины как у животных контрольной группы, так и у животных с экспериментальной депрессией преобладала умеренновыраженная экспрессия iNOS-ИРМ (2 балла). В молекулярном слое зубчатой извилины у крыс с экспериментальной депрессией встречались нейроны с умеренновыраженной цитоплазматической экспрессией (2 балла), нейропиль, как и у контрольной группы животных, характеризовался слабовыраженной экспрессией iNOS-ИРМ (1 балл). При оценке результатов морфометрического исследования наблюдалось увеличение относительной площади iNOS-ИРМ в зубчатой извилине у крыс с депрессией на 8,5% (p <0,05), по сравнению с контролем (см. табл.).
Таблица. Изменение относительной площади iNOS-ИРМ в зубчатой извилине крыс зрелого возраста при фармакологической коррекции, депрессии, Me (Q1-Q2), %
Table. Change in the relative area of iNOS-IRM in the dentate gyrus of mature rats during pharmacological correction, depression, Me (Q1-Q2), %
| Контроль | Депрессия | Депрессия+фенибут | Депрессия+РГПУ-189 | Депрессия+РГПУ-135 | 
| 8,2 (7,1–9,9) | 16,7* (10,5–22,1) | 16,0* (14,2–20,1) | 8,0# (7,2–8,9) | 12,2 (3,1–20,6) | 
Примечания. Различия достоверны при p <0,05: * по сравнению с животными группы контроль, # по сравнению с животными группы депрессия (критерий Краскела-Уоллиса с посттестом Дана).
При фармакологической коррекции экспериментальной депрессии у крыс фенибутом и соединениями с лабораторными шифрами РГПУ-189, РГПУ-135 в зубчатой извилине при иммуногистохимическом окрашивании с применением антител к iNOS отмечалось преобладание морфологических признаков обратимых изменений в нейронах. В цитоплазме перикарионов нейронов гранулярного слоя зубчатой извилины крыс при применении фенибута и РГПУ-135, как и у животных с экспериментальной депрессией, отмечалась умеренная экспрессия iNOS-ИРМ (2 балла), которая носила гранулярный характер. Напротив, применение соединения РГПУ-189 продемонстрировало у животных слабовыраженную экспрессию iNOS-ИРМ (1 балл) в цитоплазме перикарионов нейронов гранулярного слоя зубчатой извилины, что соответствует экспрессии в контрольной группе животных (см. рис.). На границе гранулярного и субгранулярного слоёв при фармакологической коррекции фенибутом и соединением с лабораторным шифром РГПУ-135 в соответствующих группах животных встречались нейроны с выраженной цитоплазматической экспрессией (3 балла), а при коррекции соединением РГПУ-189 – с умеренно-выраженной цитоплазматической экспрессией (2 балла). У групп животных с экспериментальной депрессией, получавших исследуемые соединения и фенибут, в нейропиле и нервных клетках субгранулярного слоя зубчатой извилины наблюдался схожий с контрольной группой животных характер экспрессии iNOS-ИРМ: умеренная гранулярная экспрессия в нейропиле (2 балла), отсутствие экспрессии в нервных клетках (0 баллов), либо наличие умеренно-выраженной экспрессии в единичных нервных клетках (2 балла). Экспрессия iNOS-ИРМ в молекулярном слое зубчатой извилины у групп животных, получавших фармакокоррекцию, соответствовала экспрессии наблюдаемой у животных контрольной группы и группы с экспериментальной депрессией. Морфометрическая оценка относительной площади iNOS-ИРМ в зубчатой извилине у животных с фармакокоррекцией продемонстрировала достоверное снижение данного параметра, по сравнению с животными с экспериментальной депрессией, только в группе животных, получавших соединение с лабораторным шифром РГПУ-189, наблюдалось уменьшение относительной площади iNOS-ИРМ на 8,7% (p<0,05) (см. табл.).
ОБСУЖДЕНИЕ
При моделировании депрессии индуцированной действием комбинированного стресса у крыс зрелого возраста в зубчатой извилине нами было обнаружено увеличение степени экспрессии и относительной площади iNOS-ИРМ в цитоплазме перикарионов нейронов, что может быть вызвано гиперактивацией пути L-аргинин/NOS/NO, с последующим увеличением выработки NO и его метаболитов, обеспечивающих активацию процессов нейровоспаления, что является основной причиной нейродегенеративных, психических и поведенческих расстройств в экспериментальных исследованиях на животных [8, 11]. Так, острый иммобилизационный стресс в течение 6 ч вызывал повышенную экспрессию iNOS в коре головного мозга, которая опосредуется через N-метил-D-аспартатные (NMDA) рецепторы с последующей активацией транскрипционного фактора NF-κB [12]. Данный факт также подтверждается в исследовании Shirakawa et al. [13], где вызванное острым стрессом увеличение метаболитов NO было связано с глутаматергической активацией нейронов паравентрикулярного ядра гипоталамуса. В другом исследовании депрессивноподобное поведение у животных, вызванное хроническим непредсказуемым мягким стрессом, приводило к повышению уровня нитритов в плазме крови и экспрессии мРНК iNOS в коре головного мозга. Эти эффекты могут быть ослаблены или предотвращены с помощью ингибиторов NOS, что было продемонстрировано внутригиппокампальной инъекцией селективного ингибитора iNOS, аминогуанидина и приводило к подавлению депрессивного поведения у крыс [12]. Фармакологическая коррекция салифеном (производное ГАМК, РГПУ-189) при моделировании перинатальной гипоксии приводила к увеличению количества глюкокортикоидных рецепторов в дорсальном отделе гиппокампа, но не в зубчатой извилине у новорождённых крысят [14]. Обнаруженное в нашем исследовании значимое увеличение уровня iNOS-ИРМ в зубчатой извилине крыс зрелого возраста при моделировании депрессии, а также снижение данного параметра при фармакологической коррекции РГПУ-189 (салифеном) и РГПУ-135 (нейроглутамом) может свидетельствовать о преобладающем нейропротективном влиянии соединения РГПУ-189, индуцирующего ГАМК-ергическую нейротрансмиссию с участием ГАМК-опосредованных рецепторных механизмов, также лежащих в основе регуляции нейрогенеза в зубчатой извилине у взрослых [5]. Снижение относительной площади экспрессии iNOS-ИРМ в зубчатой извилине крыс при фармакологической коррекции депрессивного состояния РГПУ-135 (нейроглутамом) не характеризовалось достоверными отличиями от группы депрессии что, вероятно, свидетельствует о меньшем вкладе РГПУ-135 в процессы модуляции глутаматергической нейротрансмиссии [14] с возможным вовлечением различных видов глутаматных рецепторов [9].
ЗАКЛЮЧЕНИЕ
Таким образом, при экспериментальном моделировании депрессии у крыс зрелого возраста в зубчатой извилине обнаружено увеличение уровня экспрессии iNOS-иммунореактивного материала, что рассматривается как признак увеличения выработки NO и его метаболитов, способствующих реализации процессов повреждения нейронов и активации нейровоспаления. Снижение уровня экспрессии iNOS-иммунореактивного материала в зубчатой извилине крыс зрелого возраста при фармакологической коррекции депрессивного состояния РГПУ-189 (салифеном) может свидетельствовать о преобладающем нейропротективном влиянии данного соединения на ГАМК-ергические механизмы нейротрансмиссии.
Необходимо дальнейшее изучение роли индуцибельной NO-синтазы и NO в процессах модуляции глутаматергической и ГАМК-ергической нейротрансмиссии в зубчатой извилине при депрессии и под влиянием фармакологической коррекции.
ДОПОЛНИТЕЛЬНАЯ ИНФОРМАЦИЯ / ADDITIONAL INFO
Источник финансирования. Исследование выполнено при финансовой поддержке РФФИ и Администрации Волгоградской области в рамках научного проекта № 19-415-340004\19.
Конфликт интересов. Авторы декларируют отсутствие явных и потенциальных конфликтов интересов, связанных с публикацией настоящей статьи.
Вклад авторов. Концепция и дизайн исследования – И.Н. Тюренков, А.В. Смирнов; сбор и обработка материала – М.Р. Экова., Е.В. Волотова; статистическая обработка данных – М.Р. Экова; анализ и интерпретация данных – А.В. Смирнов, И.Н. Тюренков, М.Р. Экова; написание и редактирование текста – М.Р. Экова, А.В. Смирнов, И.Н. Тюренков.
Funding. The study was supported by of the Russian Foundation for Basic Research and the Administration of the Volgograd Region within the scientific project No. 19-415-340004\19.
Competing interests. The authors declare that they have no competing interests.
Author contributions. I.N. Tyurenkov, A.V. Smirnov – created the study concept and design; M.R. Ekova., E.V. Volotova – collected and processed the material; M.R. Ekova – performed the statistical data processing; A.V. Smirnov, I.N. Tyurenkov, and M.R. Ekova – performed the data analysis and interpretation; M.R. Ekova, A.V. Smirnov, and I.N. Tyurenkov – wrote and edited the text.
About the authors
Alexey V. Smirnov
Volgograd Medical Research Center
														Email: alexey-smirnov@rambler.ru
				                	ORCID iD: 0000-0001-5351-6105
				                	SPIN-code: 8931-7823
																		                								
MD, Dr. Sci. (Med.), Professor
Russian Federation, VolgogradMaria R. Ekova
Volgograd Medical Research Center
							Author for correspondence.
							Email: maria.ekova@mail.ru
				                	ORCID iD: 0000-0001-8655-1441
				                	SPIN-code: 8345-5503
																		                								
MD, Cand. Sci. (Med.)
Russian Federation, VolgogradIvan N. Tyurenkov
Volgograd State Medical University
														Email: fibfuv@mail.ru
				                	ORCID iD: 0000-0001-7574-3923
				                	SPIN-code: 6195-6378
																		                								
MD, Dr. Sci. (Med.), Professor, Corresponding Member of the Russian Academy of Sciences
Russian Federation, VolgogradElena V. Volotova
Volgograd State Medical University
														Email: evv.md@yandex.ru
				                	ORCID iD: 0000-0003-3916-7249
				                	SPIN-code: 1483-0915
																		                								
PhD
Russian Federation, VolgogradReferences
- Krishnan V, Nestler EJ. The molecular neurobiology of depression. Nature. 2008;455(7215):894–902. doi: 10.1038/nature07455
- Yang L, Zhao Y, Wang Y, et al. The effects of psychological stress on depression. Current Neuropharmacology. 2015;13:494–504. doi: 10.2174/1570159X1304150831150507
- Ressler KJ, Mayberg HS. Targeting abnormal neural circuits in mood and anxiety disorders: from the laboratory to the clinic. Nat. Neurosci. 2007;10(9):1116–24. doi: 10.1038/nn1944
- Ménard C, Hodes GE, Russo SJ. Pathogenesis of depression: insights from human and rodent studies. Neuroscience. 2016;321.:138–162. doi: 10.1016/j.neuroscience.2015.05.053
- Travis S, Coupland NJ, Silversone PH, et al. Dentate gyrus volume and memory performance in major nucleus. Endocrinology. 2004;145:3603–07. doi: 10.1210/en.2004-0068
- Pittenger C, Duman RS. Stress, depression, and neuroplasticity: a convergence of mechanisms. Neuropsychopharmacology. 2008;33(1):88–109. doi: 10.1038/sj.npp.1301574
- Perfilova VN, Prokofiev II, Mokrousov IS, et al. Effect of phenibut and glufimet, a novel glutamic acid derivative, on respiration of heart and brain mitochondria from animals exposed to stress against the background of inducible NO-synthase blockade. Bulletin of experimental biology and medicine. 2017;163(2):226–229. doi: 10.1007/s10517-017-3772-4
- Sahin Ozkartal C, Tuzun E, Kucukali CI, et al. Antidepressant-like effects of agmatine and NOS inhibitors in chronic unpredictable mild stress model of depression in rats: the involvement of NLRP inflammasomes. Brain Research. 2019;146438. doi: 10.1016/j.brainres.2019.146438
- Tyurenkov IN, Bagmetova VV, Chernysheva YV, Borodin DD. A depressive state in rats in chronic combined stress induced by combined stresses of different modalities. Neuroscience and behavioral physiology. 2015;45(5):542–549. doi: 10.1007/s11055-015-0108-6
- Paxinos G, Watson C. The rat brain in stereotaxic coordinates. 6th ed. New York (NY): Elsevier Academic Press, 2007.
- Zhou XY, Zhang F, Ying CJ, et al. Inhibition of iNOS alleviates cognitive deficits and depression in diabetic mice through downregulating the NO/sGC/cGMP/PKG signal pathway. Behavioural Brain Research. 2017;322:70–82. doi: 10.1016/j.bbr.2016.12.046
- Chen HJ, Spiers JG, Sernia C, Lavidis NA. Response of the nitrergic system to activation of the neuroendocrine stress axis. Front Neurosci. 2015;9. doi: 10.3389/fnins.2015.00003 depressive disorder
- Shirakawa T, Mitome M, Kikuiri T, et al. Immobilization induces acute nitricoxide production in the rat hypothalamus: a role of ionotropic glutamate receptors in the paraventricular. Journal of Affective Disorders. 2015;172:159–164. doi: 10.1016/j.jad.2014.09.048
- Ordyan NE, Pivina SG, Rakitskaya VV, et al. Altered expression of glucocorticoid receptors in the rat hippocampus caused by perinatal hypoxia and its correction by a GABA derivative. Journal of Evolutionary Biochemistry and Physiology. 2018;54(6):434–436. (In Russ).
- Tyurenkov IN, Bagmetova VV, Robertus AI, et al. A study of the gabaergic mechanisms of the neuropsychotropic action of neuroglutam. Neurochemical Journal. 2015;9(2):116–126. doi: 10.1134/S1819712415010134
Supplementary files
 
				
			 
					 
						 
						 
									
 
  
  
  Email this article
			Email this article 



 Периодический печатный журнал зарегистрирован как СМИ Федеральной службой по надзору в сфере связи, информационных технологий и массовых коммуникаций (Роскомнадзор): №
 Периодический печатный журнал зарегистрирован как СМИ Федеральной службой по надзору в сфере связи, информационных технологий и массовых коммуникаций (Роскомнадзор): №