Comparative analysis of morphological changes in renal tissue under the influence of light desynchronosis
- Authors: Zlobina O.V.1, Ivanov A.N.1, Milashevskaya T.V.1, Seryogina V.Y.1, Bugaeva I.O.1
-
Affiliations:
- Saratov State Medical University named after V.I. Razumovsky
- Issue: Vol 159, No 2 (2021)
- Pages: 63-70
- Section: Original Study Articles
- Submitted: 01.08.2022
- Accepted: 01.08.2022
- Published: 01.08.2021
- URL: https://j-morphology.com/1026-3543/article/view/109585
- DOI: https://doi.org/10.17816/1026-3543-2021-159-2-63-70
- ID: 109585
Cite item
Full Text
Abstract
AIM: To compare morphological changes that occur in renal tissue, as a result of exposure to various models of light desynchronosis.
MATERIAL AND METHODS: This study was conducted on 48 white rats. Three experimental groups were exposed to light for 21 days. The LL (0:24) model was studied in the first group, while the LD 18:6 and 12:10 models were studied in the second and third groups, respectively. The control group was kept in natural conditions all through the experiment.
The animals were placed under anesthesia with a combination of Telazol (ZoetisInc, USA) and Xylanit (Nita-farm, Russia). Afterward, their right kidney was removed. The samples obtained were prepared according to the standard method. Statistical processing was performed using the package of applied statistical programs "STATISTICA 10" (StatSoft ®, USA).
RESULTS: Morphological disorders of the renal tissue were observed in the three experimental groups. In the first experimental group, there was a significant segmentation of the glomeruli, accompanied by dystrophic changes in the renal tubules. In the second experimental group, glomerular segmentation was more pronounced. In the renal tissue of animals of the third experimental group, the disorders were highly observable, and the sclerotized segment is noted. Changes in morphometric indicators were significant across all experimental groups.
CONCLUSION: Desynchronosis harms the renal tissue by causing changes in its morphology. The most significant disorders characterized by sclerosis were observed in the kidneys of animals in the third experimental group.
Full Text
С момента рождения жизнь человека находится под постоянным контролем биологических ритмов, которые способны сохраняться на протяжении многих лет и поддерживаться даже в искусственно созданных условиях. В основе работы клеток и организма в целом лежат сложные биохимические процессы, на которые одновременно могут влиять несколько функционально значимых ритмов, взаимодействующих между собой и формирующих текущее состояние физиологических систем [1]. На данный момент наиболее распространённой является классификация биоритмов по Ф. Халбергу, в которой выделяют инфрадианные, ультрадианные и циркадианные ритмы, которым отводится наибольшее значение в поддержании нормального функционирования систем организма. Их согласованность обуславливает поддержание гомеостаза и адаптацию к изменяющимся условиям среды.
Современный человек из-за условий труда и особенностей профессиональной деятельности, учёбы, повышенной занятости становится подверженным чрезмерному световому загрязнению, что может привести к десинхронизации биологических ритмов, степень проявления которой зависит от мощности и длительности светового воздействия.
Одной из наиболее чувствительных к изменению циркадных ритмов является мочевая система, главным органом которой являются почки. На сегодняшний день отмечается беспрецедентный рост распространённости заболеваний мочевыделительной системы (по данным в период с 2000 по 2017 г.). Так, число операций на почках и мочеточниках, проведённых в стационаре в течение 2018 г. составило 350908 (абсолютное число) [2]. Поэтому анализ факторов риска развития патологии мочевой системы представляется актуальной задачей.
Ранее проведена серия экспериментов по оценке изменений, вызванных искусственно созданным десинхронозом, на тканевом, системном и организменном уровнях. При оценке результатов отмечено, что степень выраженности и стойкости трансформаций зависит от интенсивности и продолжительности светового воздействия [1]. Анализ литературы показал, что ранее в научных источниках подобный вопрос не освещался. В связи с этим актуальным представляется оценка морфологических изменений ткани почек в условиях светового десинхроноза.
Цель: сравнительный анализ морфологических изменений, возникающих в ткани почек в результате воздействия различных моделей светового десинхроноза.
МАТЕРИАЛЫ И МЕТОДЫ
Все эксперименты выполнены в соответствии с Женевской конвенцией «Internetional Guiding Principals for Biomedical Involving Animals» (Geneva, 1990), Хельсинкской декларацией Всемирной медицинской ассоциации о гуманном отношении к животным (редакция 2000 г.) и одобрены этическим комитетом ФГБОУ ВО «Саратовский ГМУ им. В. И. Разумовского» Минздрава России (протокол №4 от 06.12.2016).
Для формирования светового десинхроноза использовались следующие световые режимы: LL – круглосуточное освещение, LD –18:6 – изменение светового фотопериода, 12:10 – смещение светового ритмозадатчика и экспериментальное уменьшение суток до 22 ч.
Исследование проведено на 48 белых крысах-самцах массой тела 200–250 г, которые случайным образом были разделены на 4 равные группы. Животные 1-й подопытной группы находились под круглосуточным световым воздействием в течение 21 сут, животные 2-й и 3-й подопытных групп испытывали на себе влияние световых режимов 18:6 и 12:10 соответственно в течение такого же периода времени. Контрольная группа на протяжении всего эксперимента находилась в естественных световых условиях.
Вывод животных из эксперимента осуществлялся с использованием внутримышечной инъекции Телазола (ZoetisInc, США) в комбинации с Ксиланитом (Нита-Фарм, Россия), после чего у крыс производился забор правой почки. Фрагменты ткани почек обезвоживали в спиртах возрастающей концентрации (80–100º) и заливали в парафин. С помощью микротома готовили срезы толщиной 3–5 мкм, которые окрашивали гематоксилином и эозином.
Морфологический и морфометрический анализ гистологических препаратов проводился с помощью медицинского микровизора проходящего света mVizo-103. Определяли размеры почечного тельца, просвет капсулы клубочка, площадь клубочковой капиллярной сети, также оценивали состояние канальцевого аппарата.
Полученные в результате микроскопического исследования результаты были обработаны с помощью пакета прикладных статистических программ «STATISTICA 10» (StatSoft®, США). Значимыми считали изменения при p <0,05. Для каждого исследуемого параметра вычисляли медиану (Ме) и межквартильный размах. Достоверность полученных значений оценивали при помощи U-критерия Манна-Уитни.
РЕЗУЛЬТАТЫ
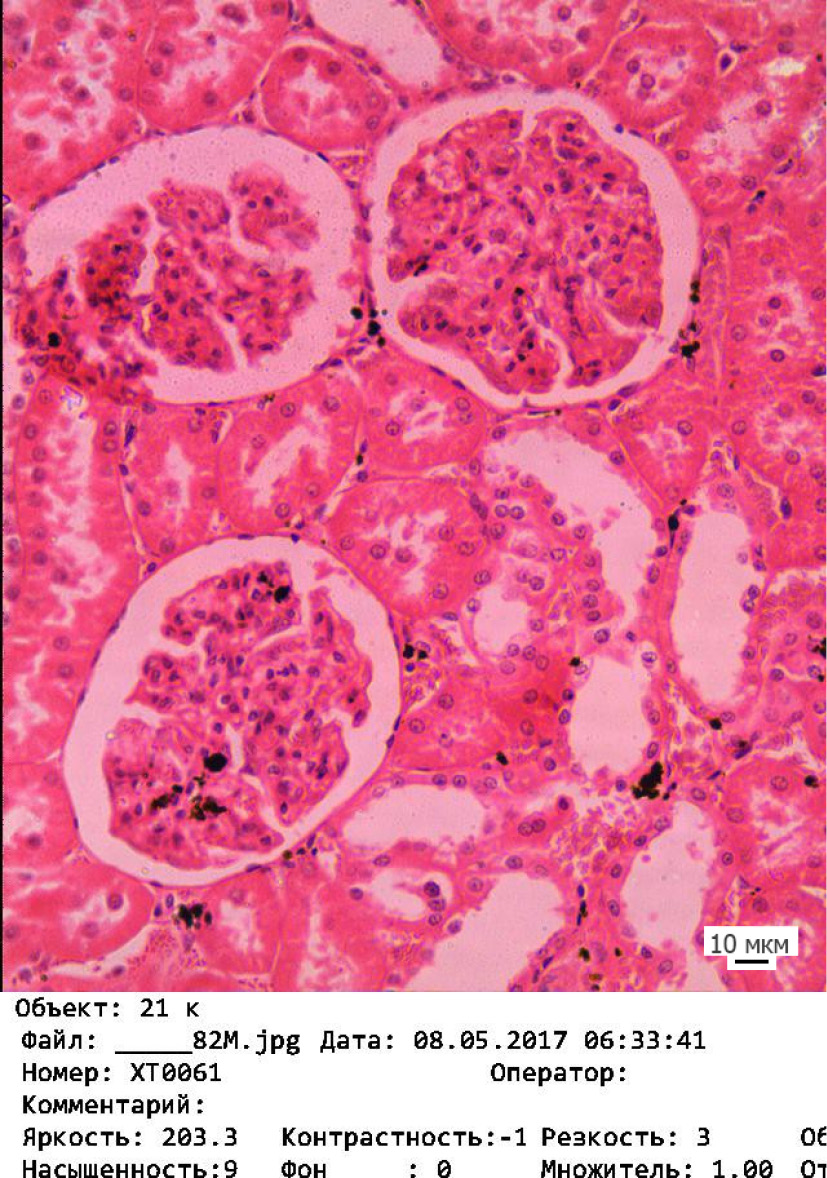
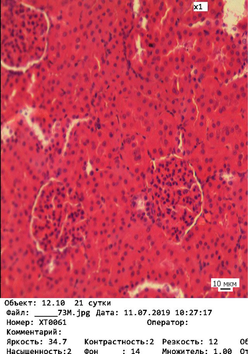
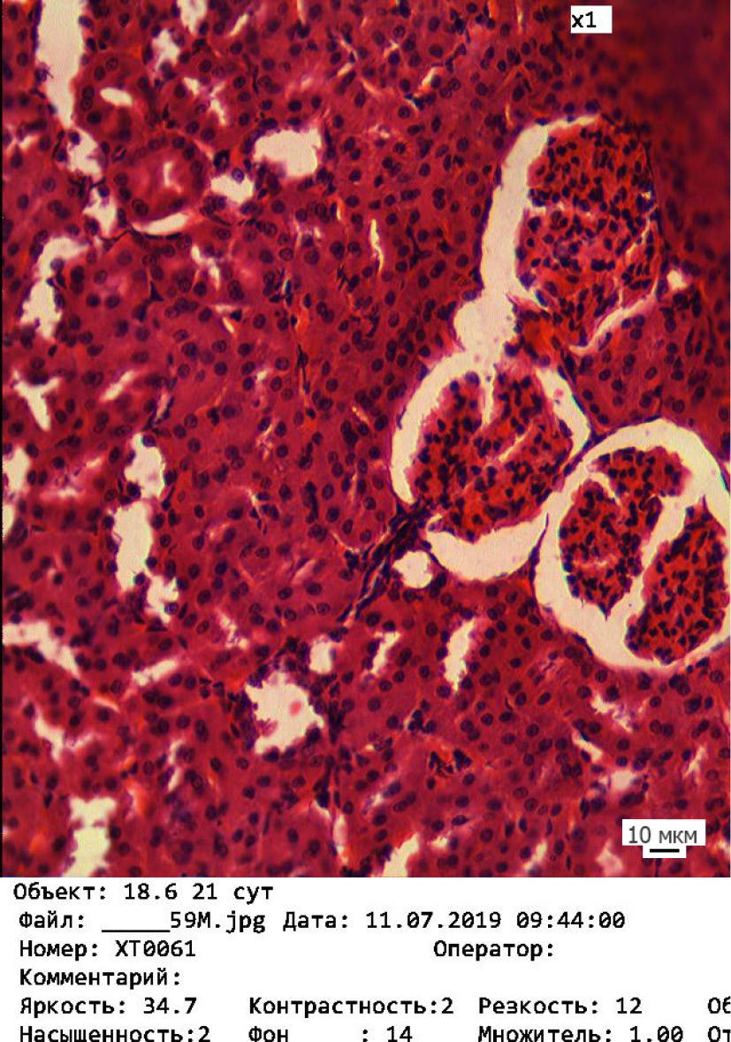
Изменения произошли во всех трёх экспериментальных группах. В ткани почек подопытных групп наблюдались патоморфологические изменения различной степени. Происходит нарушение как функциональных, так и компенсаторных механизмов. Визуально у животных 1-й подопытной группы отмечается значительная сегментация клубочков и дистрофические изменения в канальцах почек (рис. 1). Во 2-й подопытной группе происходит более выраженная сегментация клубочков и появление очагов клеточной инфильтрации (рис. 2). В канальцах регистрируются локальные признаки дистрофических и некротических изменений – исчезновение ядер и нарушение чётких границ между клетками. В ткани почек животных 3-й подопытной группы отмечаются признаки склерозирования, которые проявляются в уменьшении размеров почечного тельца (рис. 3). Чётко визуализируется нарушение канальцевого аппарата – нарастание дистрофических изменений и слущивание эпителия канальцев.
Рис. 1. Корковое вещество почки у животных 1-й подопытной группы. Окраска гематоксилином – эозином. Об. 20 / Fig. 1. Cortical substance of the kidney of the animals in the experimental group one. Stained with hematoxylin and eosin. Magn. ×20
Рис. 2. Корковое вещество почки у животных 2-й подопытной группы. Окраска гематоксилином – эозином. Об. 20 / Fig. 2. Cortical substance of the kidney of the animals in the experimental group two. Stained with hematoxylin and eosin. Magn. ×20
Рис. 3. Корковое вещество почки у животных 3-й подопытной группы. Окраска гематоксилином – эозином. Об. 20 / Fig. 3. Cortical substance of the kidney of the animals in the experimental group three. Stained with hematoxylin and eosin. Magn. ×20
При морфометрическом анализе ткани почек животных 1-й подопытной группы (LL) было отмечено значимое увеличение размеров почечного тельца по короткой и длинной оси соответственно на 24 и 5%, капсулы Шумлянского-Боумена – на 111%. Площадь клубочковой капиллярной сети значимо снижается на 22% по сравнению с контролем (табл. 1). В юкстамедуллярных нефронах данной группы отмечается увеличение всех параметров относительно контрольных значений: диаметр почечного тельца увеличивается на 10% по короткой и на 15% по длинной оси, просвет капсулы – на 50%, площадь сосудистого клубочка – на 25% (табл. 2).
Таблица 1. Результаты морфометрического исследования корковых нефронов в почках экспериментальных животных / Table 1. Results of the morphometric study of cortical nephrons in the kidneys of experimental animals
Показатель | Контроль (n=12) | 21-е сут LL 0:24 (n=12) | 21-е сут LD 18:6 (n=12) | 21-е сут LD 12:10 (n=12) |
Диаметр почечного тельца по длинной оси, мкм | 128 (119; 137) | 159 (149; 166) p <0,05 | 103 (97;116) p <0,05 | 102 (100; 108) p <0,05 |
Диаметр почечного тельца по короткой оси, мкм | 117 (109; 123) | 123 (116; 129) p <0,05 | 89 (78,5; 103) p <0,05 | 95 (94; 97,5) p <0,05 |
Площадь сосудистого клубочка, тыс. мкм2 | 9,0 (8,0; 10,0) | 7,0 (4,0; 9,0) p <0,05 | 5 (4; 5) p <0,05 | 5 (4; 5,25) p <0,05 |
Просвет капсулы Шумлянского-Боумена, мкм | 9 (8; 11) | 19 (16; 22) p <0,05 | 14,5 (13;18) p <0,05 | 6,5 (4,75; 10) p <0,05 |
Примечание: в каждом случае приведены медиана, верхний и нижний квартили; р по сравнению с контрольной группой.
Таблица 2. Результаты морфометрического исследования юкстамедуллярных нефронов в почках экспериментальных животных / Table 2. Results of the morphometric study of juxtamedullary nephrons in the kidneys of experimental animals
Показатель | Контроль (n=12) | 21-е сут LL 0:24 (n=12) | 21-е сут LD 18:6 (n=12) | 21-е сут LD 12:10 (n=12) |
Диаметр почечного тельца по длинной оси, мкм | 136 (119; 143) | 157 (124; 168) p <0,05 | 104 (90; 123,5) p <0,05 | 101 (98,5; 106) p <0,05 |
Диаметр почечного тельца по короткой оси, мкм | 115 (97; 120) | 126 (112; 136) p <0,05 | 93,5 (80; 105,5) p <0,05 | 98 (89; 101) p <0,05 |
Площадь сосудистого клубочка, тыс. мкм2 | 8,0 (7,0; 10,0) | 10,0 (6,0; 13,0) p <0,05 | 5 (4; 5) p <0,05 | 6 (5; 7,5) p <0,05 |
Просвет капсулы Шумлянского-Боумена, мкм | 10 (6; 12) | 15 (12; 20) p <0,05 | 16 (14; 20) p <0,05 | 10 (7; 11) p >0,05 |
Примечание: в каждом случае приведены медиана, верхний и нижний квартили; р по сравнению с контрольной группой.
В корковых нефронах животных, которые находились при световом режиме 18:6, отмечается значимое уменьшение размеров почечного тельца – на 20% по длинной и на 24% по короткой оси, площадь капиллярного клубочка также снижается на 45%, просвет капсулы Шумлянского-Боумена значимо увеличивается относительно контроля на 61%. Аналогичные изменения наблюдаются и в юкстамедуллярных нефронах: уменьшение диаметра почечного тельца по длинной оси составляет 24%, по короткой – 19%, площадь клубочка значимо снижается на 37, а просвет капсулы увеличивается на 60% по сравнению с контрольными значениями.
При световом режиме 12:10 у животных 3-й опытной группы регистрируется уменьшение размеров Мальпигиева тельца на 20% по длинной и на 19% по короткой оси, площади сосудистого клубочка на 44%, а также просвет капсулы Шумлянского-Боумена кортикальных нефронов на 28%. В юкстамедуллярных нефронах животных данной группы отмечается значимое уменьшение размера почечного тельца по длинной оси на 26%, по короткой – на 25% и площади клубочковой капиллярной сети на 25%.
Визуально более стойкие и серьёзные нарушения отмечены в ткани почек животных 3-й подопытной группы. Однако на основе статистических данных установлено, что процентные изменения показателей корковых нефронов 2-й и 3-й группы относительно контроля практически не отличаются друг от друга (см. табл. 1, 2). Однако уменьшение просвета капсулы в ткани почек животных 3-й подопытной группы свидетельствует о более выраженном склерозе, в то время как во 2-й опытной группе данный показатель увеличен относительно контроля на 61%. В юкстамедуллярных нефронах животных данных подопытных групп регистрируются аналогичные изменения, за исключением размера капсулы клубочка в почках животных 3-й подопытной группы – данный показатель практически не отличается от контрольной цифры, что может говорить о менее выраженном влиянии световой десинхронизации на юкстамедуллярные нефроны в данном временном промежутке.
ОБСУЖДЕНИЕ
На сегодняшний день доказана взаимосвязь нарушения циркадианных ритмов с развитием стресс-реакции, определяющую роль в которой играют гипоталамо-гипофизарно-надпочечниковая система и симпатическая часть вегетативной нервной системы, повышающие уровень стрессорных медиаторов и гормонов в ответ на действие стрессорных агентов [3, 4]. Их действие приводит к повышению системного артериального давления и чувствительности миокарда и стенок сосудов к катехоламинам, что в целом может рассматриваться как риск кардиоваскулярной патологии [5]. Выделение гормонов стресса в периферическое русло объясняет угнетение активных механизмов регуляции микрокровотока, стаз эритроцитов в капиллярной сети клубочка, а также склеротические изменения, проявляющиеся уменьшением площади сосудистого пучка в почках животных 2-й и 3-й групп и пространства между листками капсулы Шумлянского-Боумена у животных 3-й группы.
Один из эффектов стресс-реализующих гормонов – стеноз почечных артериол [6], который является пусковым звеном активации ренин-ангиотензин-альдостероновой системы. За счёт усиления альдостероном канальцевой реабсорбции натрия и воды происходит их задержка в организме. Этому же способствует АДГ. Увеличение воды и солей натрия в сосудистом русле приводит к выходу воды в ткани, что объясняет возникновение отёков и дистрофических изменений. В связи с этим возникает затруднение оттока жидкости, приводящее к расширению капсулы клубочка кортикальных нефронов животных 2-й группы и увеличению размера почечного тельца корковых и юкстамедуллярных нефронов животных 1-й группы.
Один из гормонов, относящихся к стресс-лимитирующей системе, – мелатонин, который является основным гормоном эпифиза и осуществляет молекулярную нейроиммуноэндокринную сигнальную координацию биологических процессов, протекающих в живом организме. Мелатонин оказывает противострессорное, антиапоптотическое и антиреконструкционное действия. Во время темновой фазы цикла чередования дня и ночи гормон достигает максимального уровня. На показатель уровня циркулирующего мелатонина физиологическое действие сна влияет в минимальном соотношении [7].
Снижение уровня инкреции мелатонина ночью говорит о ряде патологических процессов организма человека. Наблюдается зависимость: чем больше выражено нарушение биоритмов, тем более серьёзные нарушения возникают в почках. Таким образом отражаются этапы развития патологического процесса в почках. Из-за несоответствия между физиолого-поведенческими механизмами и эколого-социальными сигналами происходит активизация патофизиологических процессов, по причине которых возникает и развивается почечная патологии [1]. Несмотря на то что работы последних лет свидетельствуют о наличии в почках собственных периферических водителей ритма, многочисленными научными исследованиями, носящими преимущественно экспериментальный характер, было доказано неоспоримое влияние шишковидной железы и её гормона на функциональные особенности почек [8, 9]. Из этого следует, что мелатонин – это универсальный адаптоген эндогенного происхождения, который регулирует гомеостаз, подстраиваясь под изменяющиеся условия окружающей среды, а также влияния различных патогенных факторов на организм человека. Световое воздействие оказывает угнетающее действие на синтез мелатонина, подавляя его в любое время суток [10]. Нарушение его продукции является одной из причин, приводящей к десинхронозу, за которым следует возникновение патологий на различных уровнях, в том числе и в органах мочевой системы.
ЗАКЛЮЧЕНИЕ
Обнаруженные морфологические изменения почечной ткани свидетельствуют о негативном влиянии десинхроноза, возникающего в результате трансформации внешнего ритмозадатчика. При сравнительном анализе трёх экспериментальных световых режимов установлено, что каждая из них вызывает значимые изменения почечной ткани. Отмечено, что патоморфологические изменения встречаются как в корковых, так и в юкстамедуллярных нефронах, что говорит об активации сброса крови по шунтам в результате повышения кровяного давления. Наиболее выраженные изменения отмечают в корковом веществе почек 3-й группы. Данные изменения необратимы и приводят к развитию склерозирования клубочков, что в дальнейшем приведёт к нарушению функций.
ДОПОЛНИТЕЛЬНАЯ ИНФОРМАЦИЯ / ADDITIONAL INFO
Источник финансирования. Работа выполнена в рамках государственного задания ФГБОУ ВО «Саратовский государственный медицинский университет имени В.И. Разумовского» Минздрава России по теме «Разработка математической модели для оценки скорости трансформации функциональных изменений в целостном организме при световом десинхронозе в необратимые морфологические изменения органов-мишеней в эксперименте» (срок выполнения – 2018–2020 гг.).
Конфликт интересов. Авторы декларируют отсутствие явных и потенциальных конфликтов интересов, связанных с публикацией настоящей статьи.
Вклад авторов. Концепция и дизайн исследования – О.В. Злобина, А.Н. Иванов, И.О. Бугаева. Сбор и обработка материала – О.В. Злобина, Т.В. Милашевская, В.Ю. Серёгина. Анализ и интерпретация данных – О.В. Злобина, А.Н. Иванов, Т.В. Милашевская, В.Ю. Серёгина. Написание текста – О.В. Злобина, Т.В. Милашевская, В.Ю. Серёгина. Утверждение рукописи для публикации – А.Н. Иванов, И.О. Бугаева.
Funding source. The work was conducted under the state assignment of the V.I. Razumovsky Saratov State Medical University of the Ministry of Health of Russia on the subject- “Development of a mathematical model for assessing the rate of transformation of functional changes in the whole organism under light desynchronosis into irreversible morphological changes in target organs in the experiment” (implementation date: 2018–2020).
Competing interests. The authors declare that they have no competing interests.
Author contribution. O.V. Zlobina, A.N. Ivanov and I.O. Bugaeva created the concept and design of the study. O.V. Zlobina, T.V. Milashevskaya and V.Yu. Seryogina collected and processed the material. O.V. Zlobina, A.N. Ivanov, T.V. Milashevskaya and V.Yu. Seryogina analyzed and interpreted the data. O.V. Zlobina, T.V. Milashevskaya and V.Yu. Seryogina wrote the text.
About the authors
Olga V. Zlobina
Saratov State Medical University named after V.I. Razumovsky
Email: zlobinaow@mail.ru
ORCID iD: 0000-0002-9506-7210
SPIN-code: 5077-2281
Cand. Sci. (Med.)
Russian Federation, SaratovAlexey N. Ivanov
Saratov State Medical University named after V.I. Razumovsky
Email: lex558452@ramber.ru
ORCID iD: 0000-0003-4061-5221
SPIN-code: 3397-1840
Dr. Sci. (Med.)
Russian Federation, SaratovTaisiya V. Milashevskaya
Saratov State Medical University named after V.I. Razumovsky
Author for correspondence.
Email: tayamilashevskaya@mail.ru
ORCID iD: 0000-0003-4219-9110
SPIN-code: 5288-0553
Russian Federation, 112, Kazachia Str., Saratov, Saratov Region, Privolzhsky Federal District, 410012
Valeria Yu. Seryogina
Saratov State Medical University named after V.I. Razumovsky
Email: lera.seregina@inbox.ru
ORCID iD: 0000-0003-1163-2874
Russian Federation, Saratov
Irina O. Bugaeva
Saratov State Medical University named after V.I. Razumovsky
Email: bugaeva@sgmu.ru
ORCID iD: 0000-0003-0334-2471
SPIN-code: 2863-0576
Dr. Sci. (Med.), Professor
Russian Federation, SaratovReferences
- Bonny O, Vinciguerra M, ML, Gumz, et al. Molecular bases of circadian rhythmicity in renal physiology and pathology. Nephrol. Dial. Transplant. 2013;28(10):2421–31. doi: 10.1093/ndt/gft319
- Ageeva LI, Aleksandrova GA, Zaychenko NM, et al. Morbidity of the population in the main classes, groups and issues of the disease. Healthcare in Russia: Statistical collection. Moscow, 2017; p. 29. (In Russ).
- Rapoport SI, Chibisov SM, Blagonravov ML. Actual problems of chronobiology and chronomedicine. Clinical Medicine. 2013;9:71–73. (In Russ).
- Kaladze NN, Slobodyan EI, Govdalyuk AL. Epiphyseal hormone melatonin and chronic disease of kidneys (literature review and own research). Сhild Health. 2015;2(61):183–188.
- Zhurkin KI, Zlobina OV, Ivanov AN, et al. Changes in microcirculation and hemocoagulation in experimental light desynchronosis. Thrombosis, hemostasis and rheology. 2016;3(67):164–166.
- Nair V, Komorowsky CV, Weil EJ, et al. A molecular morphometric approach to diabetic kidney disease can link structure to function and outcome. Kidney Int. 2018;93(2):439–449. doi: 10.1016/j.kint.2017.08.013
- Arushanyan EB. Limitation of oxidative stress as the main reason for the universal protective properties of melatonin. Experimental and Clinical Pharmacology. 2012;75(4): 44–49. (In Russ).
- Mészáros K, Pruess L, Szabó AJ, et al. Development of the circadian clockwork in the kidney. Kidney International. 2014;86:915–922.
- Krishnan HC, Lyons LC. Synchrony and desynchrony in circadian clocks: impacts on learning and memory. Learning and Memory. 2015;22(9):426–437. doi: 10.1101/lm.038877.115
- Tokonami N, Mordasini D, Pradervand S, et al. Local renal circadian clocks control fluid-electrolyte homeostasis and BP. J. Am. Soc. Nephrol. 2014;25(7):1430–39. doi: 10.1681/ASN.2013060641
Supplementary files






