Patterns of topographic and anatomical relations of the uterus and rectum in vivo
- Authors: Smelov S.V.1, Shalimov E.S.2
-
Affiliations:
- Chuvash State University named after I.N. Ulyanov
- City Clinical Center
- Issue: Vol 159, No 4 (2021)
- Pages: 153-160
- Section: Original Study Articles
- Submitted: 07.09.2022
- Accepted: 07.09.2022
- Published: 15.12.2021
- URL: https://j-morphology.com/1026-3543/article/view/110835
- DOI: https://doi.org/10.17816/morph.110835
- ID: 110835
Cite item
Full Text
Abstract
BACKGROUND: Magnetic resonance imaging (MRI) tomography is now widely used for the clinical assessment of the state of pelvic organs. Its findings are used in clinical practice for topographic and anatomical substantiation of transvaginal surgical access to the abdominal cavity through the posterior fornix of the vagina.
AIM: To identify topographic and anatomical relationship patterns of the rectum and uterus based on MRI data to justify transvaginal surgical access to the abdominal cavity through the posterior vaginal fornix.
MATERIAL AND METHODS: The study was performed using 58 cases of MRI examinations of the pelvis of women (average age, 41.35±5.45 years) on the EXCELART Vantage Atlas 1.5 TSL tomograph (Toshiba) using a standard combination of pulse sequences (modes T1-VI, T2-VI, T-1 Fsat, T-2 Fsat, DWI, and T-2 STIR, with section thickness of 3–5 mm) without intravenous contrast in a moderately filled bladder using a standard combination of pulse sequences in typical (anteversion–anteflexion) and variant (retro, sinistro et dextrodeviatio uteri) positions of the uterus.
RESULTS: In more than half of the cases, the supravaginal portion of the rectum, along with the sacral flexure, is supplemented by a flexure in the frontal plane. It influences the close or distant anatomical relationship of the rectum to the uterus. This position of organs determines the shape of the rectouterine pouch and techniques of performing transvaginal accesses to the abdominal cavity through the posterior vaginal fornix. A narrow shape of excavation can be a reason for refusal of interventions, and a wide shape is a favorable anatomical prerequisite for implementation. In most cases, the vaginal portion of the rectum is represented by a sacral flexure, and in a small number of cases, it is supplemented by a flexure in the frontal plane.
CONCLUSIONS: The degree of anatomical proximity of the rectum to the uterus (maximum anatomical proximity or distance) determines the shape of the rectouterine pouch. The transvaginal surgical access to the abdominal cavity through the posterior vaginal fornix is crucial.
Keywords
Full Text
ВВЕДЕНИЕ
Трансвагинальные хирургические доступы в брюшную полость нашли широкое применение в гинекологической практике. Чаще всего для этого задействуется задняя часть влагалищного свода. Она используется при оперативном лечении гнойно-воспалительных заболеваний органов таза, в практике экстракорпорального оплодотворения, удалении опухолей матки [1–3]. В настоящее время известность получили хирургические технологии через естественные отверстия тела — NOTES-технологии. Они основаны на доступах через задний свод влагалища и сопровождаются нанесением минимальной травмы женскому организму, при этом косметически оправданы и экономически эффективны [4–6]. Между тем анатомические исследования, основанные на изучении прижизненной топографии органов таза, лежащих на пути доступов в брюшную полость через задний свод влагалища, отстают от текущих клинических запросов [7] и требуют дальнейшего развития.
Для клинической оценки состояния органов женского таза в настоящее время широкое применение получила магнитно-резонансная томография (МРТ). Метод используется в качестве диагностического при исследовании внутренних женских половых органов, органов пищеварительной и мочевыделительной систем [8–11]. На этом фоне появляются публикации, посвящённые изучению прижизненной топографии структур женского таза на основе МРТ-данных [12, 13]. Прикладное значение таких работ сводится к использованию их результатов в клинической практике, в том числе для топографо-анатомического обоснования трансвагинальных хирургических доступов в брюшную полость в условиях спаечного процесса и атипичной топографии органов таза [14].
Цель работы — выявление закономерностей прижизненных топографо-анатомических взаимоотношений прямой кишки и матки по данным МРТ для обоснования трансвагинальных хирургических доступов в брюшную полость через задний свод влагалища.
МАТЕРИАЛЫ И МЕТОДЫ
Исследование выполнено на базе отделения рентгенодиагностики Республиканского клинического онкологического диспансера (г. Чебоксары). Изучено 58 результатов МРТ-исследования таза женщин среднего возраста (41,35±5,45 года) с информированным согласием на использование результатов исследования в научных целях на МР-томографе EXCELART Vantage Atlas 1,5 Тл (Toshiba, Япония) с использованием стандартной комбинации импульсных последовательностей (в режимах Т1-ВИ, Т2-ВИ, Т-1 Fsat, Т-2 Fsat, DWI, Т-2 STIR, толщина срезов 3–5 мм, общее время сканирования 30 мин) без внутривенного контрастирования при умеренно наполненном мочевом пузыре. Исследование одобрено локальным этическим комитетом Чувашского государственного университета имени И.Н. Ульянова (протокол № 20-03 от 27.03.2020 г.).
Методологическую основу работы составили четыре группы исследований, в основу которых были положены различные положения матки:
— типичные (anteversio-anteflexio, n=21);
— отклонения тела матки кзади — retroversio (n=10);
— смещения матки влево и вправо (sinistro et dextrodeviatio uteri, n=15 и 12 соответственно).
Для характеристики взаимоотношений с органами и анатомическими структурами прямая кишка делилась на два участка: надвлагалищный, соответствующий над- ампулярной и верхнеампулярной частям кишки, и влагалищный участок, соответствующий средне- и нижнеампулярной её части. Объективной границей между частями кишки служила задняя часть влагалищного свода. В ходе описания надвлагалищного участка кишки отмечалось наличие её изгибов во фронтальной плоскости, которые дополняли изгиб в сагиттальной плоскости (крестцовый изгиб). Также замерялось расстояние от кишки до задней поверхности матки. Оно давало представление о выраженности прямокишечно-маточного углубления.
Влагалищный участок кишки описывался в непосредственной близости от задней части влагалищного свода. Здесь обращалось внимание на наличие извитости кишки во фронтальной плоскости, замерялось расстояние от неё до задней стенки влагалища. Это расстояние свидетельствовало о выраженности клетчатки между маткой, влагалищем и прямой кишкой.
Статистическая обработка материала проведена на персональном компьютере в программах MS Excel и Statistica for Windows 6.0. При обработке полученных результатов использовались методы параметрического и непараметрического статистического анализа. Определяли показатели описательной статистики: число наблюдений (n), минимальное и максимальное значение изучаемого признака, среднее арифметическое (M), стандартное отклонение (σ), коэффициент вариации (С), рассчитывали относительные величины. Анализ различий между группами проводили по t-критерию Стьюдента. Для суждения о достоверности различий между группами, отличной от нормального, использовался критерий Манна–Уитни (pm-u). Вероятность ошибки указывали как р и считали приемлемой при р <0,05, статистически значимой при p <0,01 и статистически высокозначимой при p <0,001.
РЕЗУЛЬТАТЫ
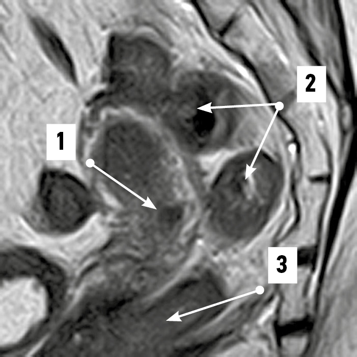
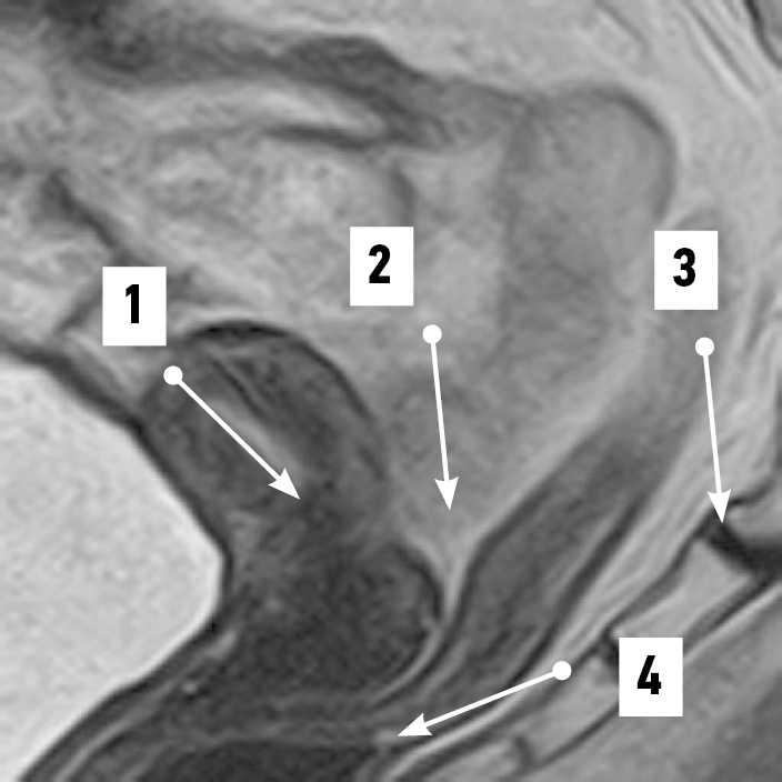
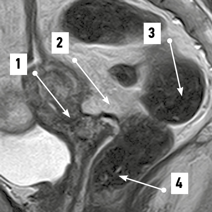
По результатам МРТ-анализа при положениях матки anteversio-anteflexio надвлагалищный участок прямой кишки в половине случаев (52,4%) был извит во фронтальной плоскости (рис. 1). В 38,1% случаев кишка имела ход, соответствующий вогнутости крестца (рис. 2), ещё в 9,5% сагиттальный изгиб кишки был значительно выражен. Расстояние между маткой и прямой кишкой в надвлагалищном участке в среднем составило 5,93±0,97 мм. Здесь прослеживался значительный разброс минимальных и максимальных величин, свидетельствовавший о разнообразии положения органов: от их крайней степени близости — 0,00 мм (рис. 3) до удалённого положения — 17,00 мм (рис. 4). Последнее может служить анатомической предпосылкой для положения петель тонкой кишки в относительно широком прямокишечно-маточном углублении.
Рис. 1. Извитой во фронтальной плоскости надвлагалищный участок прямой кишки. Магнитно-резонансная томограмма органов таза в режиме SG T2: 1 — матка; 2 — надвлагалищный участок прямой кишки (извит во фронтальной плоскости); 3 — влагалищный участок прямой кишки; 4 — крестец; 5 — прямокишечно-маточное пространство. / Fig. 1. Supravaginal segment of the rectum convoluted in the frontal plane. SG T2-magnetic resonance imaging of pelvic organs: 1 — uterus; 2 — supravaginal segment of the rectum (convoluted in the frontal plane); 3 — vaginal segment of the rectum; 4 — sacrum; 5 — rectal–uterine space.
Рис. 2. Изгиб надвлагалищного участка прямой кишки, соответствующий тазовой поверхности крестца. Магнитно-резонансная томограмма органов таза в режиме SG T2: 1 — матка; 2 — прямокишечно-маточное пространство; 3 — надвлагалищный участок прямой кишки, соответствующий вогнутости крестца; 4 — влагалищный участок прямой кишки. / Fig. 2. Convolution of the supravaginal segment of the rectum, corresponding to the pelvic surface of the sacrum. SG T2-magnetic resonance imaging of pelvic organs: 1 — uterus; 2 — rectal–uterine space; 3 — supravaginal segment of the rectum corresponding to the sacrum concavity; 4 — vaginal segment of the rectum.
Рис. 3. Приближенные матка и надвлагалищный участок прямой кишки. Магнитно-резонансная томограмма органов таза в режиме SG T2: 1 — матка; 2 — надвлагалищный участок прямой кишки, извит во фронтальной плоскости, прилежит к матке; 3 — влагалищный участок прямой кишки. / Fig. 3. Approximate uterus and supravaginal segment of the rectum. SG T2-magnetic resonance imaging of the pelvic organs: 1 — uterus; 2 — supravaginal segment of the rectum, which is convoluted in the frontal plane, adjacent to the uterus; 3 — vaginal segment of the rectum.
Рис. 4. Удалённое положение матки и прямой кишки. Магнитно-резонансная томограмма органов таза в режиме SG T2: 1 — матка; 2 — прямокишечно-маточное углубление, расширено за счет удалённого положения матки и надвлагалищного участка прямой кишки; 3 — надвлагалищный участок прямой кишки; 4 — влагалищный участок прямой кишки. / Fig. 4. Remote position of the uterus and rectum. SG T2-magnetic resonance imaging of the pelvic organs: 1 — uterus; 2 — rectouterine pouch expansion caused by the remote position of the uterus and supravaginal segment of the rectum; 3 — supravaginal segment of the rectum; 4 — vaginal segment of the rectum.
Влагалищный участок прямой кишки в 71,42% случаев имел прямолинейное направление (рис. 5), в 28,58% дополнялся изгибами во фронтальной плоскости. Расстояние между органами составило в среднем 2,11±0,29 мм и также сопровождалось значительным диапазоном минимальных (0,00 мм) и максимальных (4,71 мм) величин, свидетельствовавших об их вариантном соседстве — близости или удалённости органов.
Рис. 5. Прямолинейное направление влагалищного участка прямой кишки. Магнитно-резонансная томограмма органов таза в режиме SG T2: 1 — матка; 2 — надвлагалищный участок прямой кишки (извит во фронтальной плоскости); 3 — прямокишечно-маточное пространство; 4 — имеющий прямолинейное направление влагалищный участок прямой кишки. / Fig. 5. Rectilinear direction of the vaginal area of the rectum. SG T2-magnetic resonance imaging of the pelvic organs: 1 — uterus; 2 — supravaginal segment of the rectum (convoluted in the frontal plane); 3 — rectouterine pouch; 4 — rectilinearly arranged vaginal segment of the rectum.
При смещениях тела матки кзади (retroversio) в большинстве случаев (70%) надвлагалищный участок прямой кишки был извит во фронтальной плоскости (рис. 6). Прямолинейная форма кишки наблюдалась в 30% случаев. Среднее расстояние от прямой кишки до матки в надвлагалищном участке при разбросе величин 1,39–20,02 мм соответствовало 8,48±1,78 мм.
Рис. 6. Извитой во фронтальной плоскости надвлагалищный участок прямой кишки. Магнитно-резонансная томограмма органов таза в режиме SG T2: 1 — матка; 2 — прямокишечно-маточное пространство; 3 — надвлагалищный участок прямой кишки, извит во фронтальной плоскости; 4 — влагалищный участок прямой кишки. / Fig. 6. Supravaginal segment of the rectum convoluted in the frontal plane. SG T2-magnetic resonance imaging of the pelvic organs: 1 — uterus; 2 — rectouterine pouch; 3 — supravaginal segment of the rectum convoluted in the frontal plane; 4 — vaginal segment of the rectum.
Влагалищный участок прямой кишки в 90% случаев имел прямолинейный ход, и лишь в 10% визуализировались изгибы во фронтальной плоскости. Среднее расстояние между прямой кишкой и маткой во влагалищном участке при значительном разбросе величин (0,00–4,61 мм) составило в среднем 2,42±0,36 мм.
При смещениях матки влево (sinistrodeviatio uteri) более чем в половине случаев (60%) в надвлагалищном участке прямой кишки отмечены сочетанные изгибы (во фронтальной и сагиттальной плоскостях). В меньшем количестве случаев (40%) надвлагалищный участок кишки был прямолинейным. Расстояние между органами в надвлагалищном участке (при разбросе величин 0,00–12,20 мм) составило 4,14±1,05 мм.
Влагалищный участок прямой кишки в 80% случаев был представлен естественным изгибом, соответствовавшим вогнутости крестца, и лишь в 20% он был извит во фронтальной плоскости. Расстояние между органами во влагалищном участке при разбросе величин 0,00–2,55 мм составило в среднем 1,34±0,22 мм.
При положениях dextrodeviatio uteri на уровне надвлагалищного участка прямой кишки в 75% случаев крестцовый изгиб кишки в сагиттальной плоскости сочетался с изгибами во фронтальной плоскости (рис. 7). Ещё в 25% случаев определялся сагиттальный изгиб, соответствующий тазовой поверхности крестца. Среднее расстояние от матки до прямой кишки в надвлагалищном участке соответствовало 5,56±0,66 мм. Разброс величин составил 2,97–11,4 мм.
Рис. 7. Извитой во фронтальной плоскости надвлагалищный участок прямой кишки. Магнитно-резонансная томограмма органов таза в режиме SG T2: 1 — матка; 2 — надвлагалищный участок прямой кишки (извит во фронтальной плоскости); 3 — влагалищный участок прямой кишки. / Fig. 7. Supravaginal portion of the rectum convoluted in the frontal plane. SG T2-magnetic resonance imaging of the pelvic organs: 1 — uterus; 2 — supravaginal segment of the rectum (convoluted in the frontal plane); 3 — vaginal segment of the rectum.
Во влагалищном участке в 91,67% случаев визуализировался крестцовый изгиб кишки, и лишь в 8,33% он сочетался с изгибом во фронтальной плоскости. Среднее расстояние между органами во влагалищном участке составило 1,47±0,27 мм.
Сравнительный анализ среднего расстояния между маткой и прямой кишкой в надвлагалищном и влагалищном участках в исследованных группах относительно типичных положений матки не выявил статистически значимой разницы. И лишь при sinistrodeviatio uteri во влагалищном участке среднее расстояние между маткой и прямой кишкой было снижено (р <0,05) относительно типичных положений матки.
ОБСУЖДЕНИЕ
Неоспоримым преимуществом МРТ является высокая степень визуализации тканевых структур [11]. На этом базируется её широкое использование в клиническом исследовании органов женского таза [9, 10]. Значительно меньший объём данных относится к изысканиям топографо-анатомического характера, в основу которых заложен МРТ-метод исследования. Такие работы направлены на изучение взаимоотношений структур таза [12, 13] и входящих в его состав брюшинных и подбрюшинных образований при вариантном положении органов и наличии в тазу спаечно-воспалительных процессов [7].
Необходимость таких исследований связана с широким использованием влагалищного свода в хирургической практике. При всём многообразии и эффективности используемых в настоящее время NOTES-технологий [3, 5] в литературных источниках зачастую упускаются сведения о прижизненных топографо-анатомических взаимоотношениях центральных органов таза прямой кишки и матки (в особенности при их вариантном топографо-анатомическом разнообразии). Вероятно, этим объясняются осложнения, сопутствующие выполнению подобных оперативных вмешательств [2, 4].
Данные, полученные в ходе работы, расширяют сведения о прижизненной топографии органов таза, позволяют выделить закономерности топографо-анатомических взаимоотношений матки и прямой кишки, суть которых состоит в следующем.
Во-первых, надвлагалищный участок прямой кишки вне зависимости от положений матки почти в 1/3 случаев имеет естественный изгиб в сагиттальной плоскости, соответствующий тазовой поверхности крестца. Более чем в половине случаев он дополняется изгибом во фронтальной плоскости.
Во-вторых, анатомическая близость и (или) удалённость надвлагалищного участка прямой кишки и матки во многом определяется извитостью кишки, что отражается на форме прямокишечно-маточного углубления. При их сближенном положении углубление может быть сведено к минимуму. В таких случаях интраоперационное ранение органов в ходе трансвагинального доступа возрастает. При удалённом положении прямой кишки и матки прямокишечно-маточное углубление бывает расширенным, что может быть расценено как благоприятный анатомический момент для трансвагинального хирургического доступа в брюшную полость.
В-третьих, влагалищный участок прямой кишки в большинстве случаев имеет прямолинейное направление и лишь в каждом пятом случае сопровождается изгибами во фронтальной плоскости.
Такие данные являются основополагающими при выполнении хирургических вмешательств, основанных на трансвагинальных доступах, тактика которых должна сводиться к ряду моментов. Доступы через задний свод влагалища следует осуществлять после МРТ-оценки взаимоотношений матки и прямой кишки. Их максимально близкое соседство в брюшинном и подбрюшинном этажах таза должно явиться поводом для отказа от трансвагинального доступа в пределах заднего свода влагалища. Достаточная удалённость матки и прямой кишки, а также относительно широкое прямокишечно-маточное углубление — благоприятные анатомические факторы для выполнения трансвагинального доступа через задний свод влагалища. Но здесь следует учесть деликатную особенность: углубление в таких случаях может явиться местом локализации петель тонкой кишки и других анатомических структур [14, 15]. А учитывая распространённость в его пределах спаечно-воспалительных процессов, может возникнуть вероятность ятрогенных ранений ближайших органов и анатомических образований.
ЗАКЛЮЧЕНИЕ
Таким образом, особенности топографо-анатомических взаимоотношения матки и прямой кишки, главные из которых сводятся к различной степени их анатомического соседства, определяют форму прямокишечно-маточного углубления и являются определяющими для выполнения трансвагинальных хирургических доступов в брюшную полость через задний свод влагалища.
ДОПОЛНИТЕЛЬНАЯ ИНФОРМАЦИЯ / ADDITIONAL INFO
Источник финансирования. Авторы заявляют об отсутствии внешнего финансирования при проведении исследования.
Конфликт интересов. Авторы декларируют отсутствие явных и потенциальных конфликтов интересов, связанных с публикацией настоящей статьи.
Вклад авторов. Все авторы подтверждают соответствие своего авторства международным критериям ICMJE (все авторы внесли существенный вклад в разработку концепции, проведение исследования и подготовку статьи, прочли и одобрили финальную версию перед публикацией). Наибольший вклад распределён следующим образом: концепция и дизайн исследования — С.В. Смелов, Е.С. Шалимов; сбор и обработка материала — Е.С. Шалимов, С.В. Смелов; статистическая обработка данных — Е.С. Шалимов, С.В. Смелов; анализ и интерпретация данных — С.В. Смелов, Е.С. Шалимов; написание текста — С.В. Смелов.
Funding source. This study was not supported by any external sources of funding.
Competing interests. The authors declare that they have no competing interests.
Author contribution. All authors confirm the compliance of their authorship, according to international ICMJE criteria (all authors made a substantial contribution to the conception of the work, acquisition, analysis, interpretation of data for the work, drafting and revising the work, final approval of the version to be published). The concept and design of the study — S.V. Smelov, E.S. Shalimov; collection and processing of material — E.S. Shalimov, S.V. Smelov; statistical data processing — E.S. Shalimov, S.V. Smelov; data analysis and interpretation — S.V. Smelov, E.S. Shalimov; writing the text — S.V. Smelov.
About the authors
Sergey V. Smelov
Chuvash State University named after I.N. Ulyanov
Author for correspondence.
Email: sv-smel@mail.ru
ORCID iD: 0000-0003-1350-5094
SPIN-code: 9266-7531
MD, Dr. Sci. (Med.), Professor
Russian Federation, CheboksaryEvgeny S. Shalimov
City Clinical Center
Email: gkc-iprti@med.cap.ru
ORCID iD: 0000-0001-7093-1722
MD
Russian Federation, CheboksaryReferences
- Baekelandt J. Total Vaginal NOTES Hysterectomy: A New Approach to Hysterectomy. J Minim Invasive Gynecol. 2015;22(6):1088–1094. doi: 10.1016/j.jmig.2015.05.015
- Xu B, Liu Y, Ying X, Fan Z. Transvaginal endoscopic surgery for tubal ectopic pregnancy. JSLS. 2014;18(1):76–82. doi: 10.4293/108680813X13693422519875
- Reynders A, Baekelandt J. Adnexectomy by poor man’s transvaginal NOTES. Gynecol Surg. 2015;12(3):207–211. doi: 10.1007/s10397-015-0900-x
- Yoshiki N. Review of transvaginal natural orifice transluminal endoscopic surgery in gynecology. Gynecol Minim Invasive Ther. 2017;6(1):1–5. doi: 10.1016/j.gmit.2016.11.007
- Sarah VP, Jan B. Natural orifice transluminal endoscopic surgery (NOTES) salpingectomy for ectopic pregnancy: a first series demonstrating how a new surgical technique can be applied in a low-resource setting. Gynecol Surg. 2015;12(4):299–302. doi: 10.1007/s10397-015-0904-6
- Li YC, Ku FC, Kuo HH, et al. Transvaginal endoscopic surgery-assisted versus conventional laparoscopic adnexectomy (TVEA vs. CLA): A propensity-matched study and literature review. Taiwan J Obstet Gynecol. 2017;56(3):336–341. doi: 10.1016/j.tjog.2017.04.013
- Smelov SV, Pavlov MA, Lantsova NN. Magnetic resonance tomography anatomy of the uterine artery. Modern Problems of Science and Education. 2017;(6). (In Russ).
- Foti PV, Ognibene N, Spadola S, et al. Non-neoplastic diseases of the fallopian tube: MR imaging with emphasis on diffusion-weighted imaging. Insights Imaging. 2016;7(3):311–327. doi: 10.1007/s13244-016-0484-7
- Grabowska-Derlatka L, Szeszkowski W, Sieńko J, Derlatka P. Magnetic resonance diffusion-weighted imaging in diagnostics of primary fallopian tube carcinoma — is it useful? Pol J Radiol. 2018;83:e161–e165. doi: 10.5114/pjr.2018.75642
- Iraha Y, Okada M, Iraha R, et al. CT and MR Imaging of Gynecologic Emergencies. Radiographics. 2017;37(5):1569–1586. doi: 10.1148/rg.2017160170
- Nougaret S, Horta M, Sala E, et al. Endometrial Cancer MRI staging: Updated Guidelines of the European Society of Urogenital Radiology. Eur Radiol. 2019;29(2):792–805. doi: 10.1007/s00330-018-5515-y
- Gaivoronsky IV, Bessonov NYu, Mishakova AV. Morphometric characteristics of the assimilation form of the pelvis according to MRI data in adult women. Bulletin of the Saint Petersburg University. Series 11. 2011;(1):178–183. (In Russ).
- Nefedova LN, Baikeev RF. Verification of the state of anatomical structures of the small pelvis in tuberculosis of internal female genitals using RCT and MRI methods. International Research Journal. 2015;(7):45–47. (In Russ).
- Smelov SV. Applied aspects of topografical and anatomical relationships between organs and cellular structures of the pelvis in women. Morphology. 2014;145(1):47–52. (In Russ).
- Naves AA, D’Ippolito G, Souza LRMF, et al. What radiologists should know about tomographic evaluation of acute diverticulitis of the colon. Radiol Bras. 2017;50(2):126–131. doi: 10.1590/0100-3984.2015.0227
Supplementary files










