The features of the development and functioning of the kidneys in women in norm and pathology of pregnancy
- Authors: Miklin O.P.1, Davydova A.A.1, Sulima A.N.1, Rumyantseva Z.S.1, Gudz O.V.1, Simchin S.A.1, Yermachkova P.A.1
-
Affiliations:
- Order of Labor Red Banner Medical Institute named after S. I. Georgievsky, V. I. Vernadsky CFU
- Issue: Vol 160, No 4 (2022)
- Pages: 203-214
- Section: Reviews
- Submitted: 26.06.2023
- Accepted: 20.09.2023
- Published: 15.10.2022
- URL: https://j-morphology.com/1026-3543/article/view/501803
- DOI: https://doi.org/10.17816/morph.501803
- ID: 501803
Cite item
Full Text
Abstract
The kidneys play a central role for the emerging pregnancy, reacting and contributing to changes in homeostasis in the woman and fetus. Impaired kidney function during pregnancy is a fairly common and serious complication. Understanding the normal physiology of pregnancy provides the basis for further study of the changes that lead to impaired kidney function, and may provide the key to its better management.
This literature review systematizes information about the physiology and morphology of the kidneys before pregnancy, changes in them during its normal course and in cases of the presence or development of any pathological conditions for various reasons.
Knowledge of the anatomo-functional condition of the kidneys in normal pregnancy, as well as the changes that occur in renal diseases, will provide an opportunity to identify patients at high risk for the development of renal pathology, to define the management of pregnancy and, thereafter, to reduce the risk of maternal morbidity, mortality and perinatal losses.
Full Text
ВВЕДЕНИЕ
Обнаружение патологии почек во время беременности тревожит даже самых опытных врачей. Ведущую роль в благоприятном исходе беременности играют физиологические изменения в почках и мочевыводящих путях на метаболическом и функциональном уровнях [1]. Однако прежде чем мы будем разбирать изменения в работе и структуре почек при отдельных заболеваниях, нам необходимо понимать, как происходит нефрогенез при нормальных условиях.
НЕФРОГЕНЕЗ В ПРЕНАТАЛЬНОМ ПЕРИОДЕ
В развитии почек огромную роль играют клетки, происходящие из промежуточной мезодермы во время эмбриогенеза, которые в дальнейшем дают развитие трём основным типам структур почек: пронефрос, мезонефрос и метанефрос [2].
У млекопитающих пронефрос и мезонефрос развиваются вдоль нефрического протока. Предпочка и первичная почка дегенерируют, а мезонефральный проток участвует в формировании семявыносящих путей. Окончательная, или тазовая, почка (метанефрос) закладывается с конца 4-й до начала 5-й недели эмбриогенеза [2–4].
Предпочка развивается из передних 8–10 сегментных ножек мезодермы, не функционирует и довольно быстро инволюционирует. При соединении канальцев образуется мезонефральный (Вольфов) проток, который сохраняется и растёт в каудальном направлении [2].
Первичная почка берёт свое начало из 25 сегментных ножек, которые преобразуются в слепые канальцы (мезонефридии). В сторону Вольфова протока растут канальцы, которые одним концом сливаются с ним. За счёт своего слепого конца каналец покрывает капиллярный клубочек и образует капсулу. Почечные тельца появляются при слиянии клубочков и капсулы [2].
Развитие окончательной почки начинается, когда зачаток мочеточника (ureteric bud, UB) ответвляется от мезонефрального протока и проникает в расположенную выше метанефрогенную ткань тазовых нефротомов (метанефрическая мезенхима, metanephric mesenchyme, ММ). Взаимная передача сигналов между клетками MM и UB индуцирует морфогенез нефрона. UB разветвляется с MM, конденсирующейся на конце каждого из ответвлений и подвергающейся мезенхимально-эпителиальному переходу, чтобы образовать почечные пузырьки, которые удлиняются, соединяются с UB и созревают в нефроны.
Из метанефрогенной ткани формируются клубочковый эпителий, проксимальный отдел почечного канальца, петля Генле и дистальный отдел почечного канальца, а ветви UB образуют систему собирательных трубочек. Этот процесс ветвления UB, конденсации и дифференцировки ММ продолжается до тех пор, пока пул клеток-предшественников ММ не истощится — примерно на 35-й неделе беременности (рис. 1) [2].
Рис. 1. Индифферентная закладка мочеполовой системы и её дальнейшее развитие у зародышей женского и мужского пола: a — и ндифферентная закладка; b — д альнейшее развитие у зародыша женского пола; c — р азвитие закладки мочеполовой системы у зародыша мужского пола (по Корнингу, цитируется по: Заварзин А.А. Сравнительная гистология: учебник / под ред. О.Г. Строевой. Санкт-Петерург : Издательство Санкт-Петербургского университета, 2000. 520 с.).
Fig. 1. Indifferent anlage of the genitourinary system and its further development in female and male embryos: a — indifferent anlage; b — further development in a female embryo; c — development of the genitourinary system in a male embryo (according to Corning, quoted by: Zavarzin AA. Sravnitel'naja gistologija: uchebnik. Stroeva OG, editor. Saint Petersburg: Izdatel'stvo Sankt-Peterburgskogo universiteta; 2000. 520 p.).
Таким образом, в формировании тазовой почки принимают участие и Вольфов проток, и нефрогенная ткань [3]. Ткань нефрогенного типа представляет собой участки мезодермы в каудальной части зародыша, которые не разделяются на сегментные ножки. Вольфов проток начинает расти в сторону нефрогенного зачатка [2]. Почечные чашечки дают начало выростам, которые превращаются в собирательные протоки и трубочки. Трубочки — это своего рода индукторы для дальнейшего развития канальцев [4].
Нефрогенный зачаток даёт начало скоплению клеток, которые превращаются в замкнутые пузырьки, далее развивающиеся в слепые почечные канальцы, принимающие S-образный изгиб. Последующее увеличение общей функциональной способности почек млекопитающих происходит не через увеличение числа нефронов, а через гипертрофию нефрона и гиперплазию (нефрогенез) [4].
Переключение развития с нефрогенеза на гипертрофию ограничивает способность почек к регенерации после острых и хронических повреждений, и число активных нефронов снижается в течение всей жизни из-за хронических повреждений и рубцевания нефронов [3]. ММ у млекопитающих экспрессирует специфические гены, которые маркируют и поддерживают пул клеток-предшественников почек. Одним из таких генов является транскрипционный фактор Six2, который метит популяцию предшественника нефрона в MM и необходим для его поддержания [3].
МОРФОФУНКЦИОНАЛЬНОЕ СОСТОЯНИЕ ПОЧЕК У ЗДОРОВЫХ БЕРЕМЕННЫХ
Во время нормальной беременности объём почек увеличивается на 1,0–1,5 см ввиду повышения сосудистого и интерстициального объёмов [1], а для системной гемодинамики характерно расширение сосудов. Изменения, происходящие в мочевой системе, обусловлены влиянием прогестерона, расслабляющего гладкую мускулатуру, и объёмом растущей матки, которая оказывает компрессионное воздействие [1].
Кроме того, во время беременности происходит увеличение почечного кровотока на 150%, что обусловлено снижением тонуса артериол. Это ведёт к повышению скорости клубочковой фильтрации [1], которая увеличивается на 50%; поток первичной мочи увеличивается до 80% [4].
Считается, что изменения в почках и мочевыводящих путях обусловлены действием релаксина, прогестерона и оксида азота [5]. Увеличение скорости клубочковой фильтрации снижает концентрацию сывороточного креатинина (sCr) по сравнению с уровнем до беременности. Концентрация SCr >76 ммоль/л (0,86 мг/дл) в первом триместре, >72 ммол/л (0,81 мг/дл) во втором триместре и >77 ммоль/л (0,87 мг/дл) в третьем триместре считается признаком нарушения функции почек. У здоровых женщин sCr достигает минимума во втором триместре и начинает повышаться с 32-й недели и далее [5–7].
Увеличение объёма почек также связано с задержкой жидкости, что часто приводит к физиологическому гидронефрозу, наступающему на 28-й неделе беременности у 63% женщин [8, 9]. Собирательные трубочки расширяются и могут удерживать от 200 до 300 мл мочи, что приводит к застою мочи у беременных [9]. Правосторонний гидронефроз — наиболее его частая форма (86% случаев), поскольку правый мочеточник пересекает подвздошные и яичниковые сосуды под углом перед входом в полость таза, а левый мочеточник, в свою очередь, проходит под менее острым углом и параллельно яичниковой вене [10]. В течение 6 мес послеродового периода система снова приходит в норму [11]. Почечная лоханка и почечные чашки расширяются под действием механических сжимающих сил на мочеточники и, возможно, из-за воздействия прогестерона, который способен снижать тонус мочеточников [12].
Изменения, происходящие в почках во время беременности, затрагивают и сердечно-сосудистую систему; главным их проявлением является артериальная гипотензия, закрепляющаяся ко второму триместру. Основной «виновницей» такой симптоматики считается ренин-ангиотензин-альдостероновая система (РААС) [13, 14]. Ренин выделяется из внепочечных источников, в частности из яичников и децидуальной оболочки. Плацента вырабатывает эстроген, который увеличивает синтез ангиотензиногена печенью, что приводит к повышению уровня ангиотензина II (Ang II). Рефрактерность к Ang II возникает во время беременности и может объяснить состояние расширенных сосудов [13, 14].
Нарушение регуляции РААС происходит при преэклампсии с возвращением чувствительности к Ang II, снижением уровня альдостерона, гетеродимерных рецепторов AT1 и наличием аутоантител к AT1 (AT1-AA) [15].
При нормально протекающей беременности уровень альдостерона повышается на 8-й неделе и продолжает увеличиваться в 3–6 раз в третьем триместре. Результатом является увеличение объёма крови на 30–50% по сравнению с небеременными женщинами [13–15].
Гиперфильтрация почек сохраняется на уровне на 20% выше нормы на 2-й неделе послеродового периода и проходит к 1-му месяцу после родов [16, 17]. Повышенный клиренс необходим для обработки увеличенной продукции из плаценты и плода [18, 19].
Возникающая во время беременности глюкозурия обычно указывает на то, что отфильтрованная нагрузка глюкозы превысила максимальную канальцевую реабсорбционную способность, а через 8–12 нед после родов фильтрационная способность восстанавливается [19]. Необходимо также помнить о временном увеличении экскреции белка и альбумина с мочой, особенно заметном после 20 нед [20].
Экскреция калия поддерживается постоянной на протяжении всей беременности, при этом изменения в канальцевой реабсорбции адаптируются к изменениям фильтруемой нагрузки [21]. Снижение концентрации натрия в сыворотке крови связано с возникновением вазодилатации, недостаточным наполнением артерий и последующим высвобождением антидиуретического гормона [22]. Интересно отметить, что метаболический клиренс этого гормона увеличивается на 10-й неделе и в середине беременности из-за фермента, вырабатываемого плацентой, — вазопрессиназы. Пик активности фермента приходится на третий триместр, и она остаётся высокой во время родов, а затем снижается до неопределяемого уровня через 2–4 нед после родов. У беременных с развившимся несахарным диабетом может быть более высокая активность вазопрессиназы, чем у женщин без него. С этим можно справиться с помощью десмопрессина (DDAVP), который устойчив к разрушению вазопрессиназой [22].
СТРУКТУРНЫЕ И ФУНКЦИОНАЛЬНЫЕ НАРУШЕНИЯ ПОЧЕК ПРИ ПАТОЛОГИИ БЕРЕМЕННОСТИ
Патологическая беременность чаще всего представлена такими нозологическими формами, как преэклампсия, эклампсия, HELLP-синдром и острое ожирение печени во время беременности.
Острое повреждение почек (ОПП) — это нарушение функции из-за действия губительных агентов, которые могут воздействовать на уровне почки, а также на внепочечных уровнях. Для ОПП, в зависимости от вызывающего его фактора, выделяют два основных периода: первый — 7–16 нед беременности, второй — 34–36 нед. Первый период обусловлен несколькими этиологическими факторами: тяжёлое течение раннего гестоза (рвота беременных), осложнение септического аборта. Второй период характеризуется развитием ОПП на фоне догестационных причин (гипертоническая болезнь, хронические заболевания почек или сердечно-сосудистой системы, интоксикации различного происхождения), а также гестационных факторов (гипертензивные расстройства во время беременности, преэклампсия, тромботическая микроангиопатия, повреждение печени, кровотечения, септические осложнения) [23].
Преэклампсия — это следствие плацентарной недостаточности, приводящей к изменениям в ангиогенных белках и сбросу РААС, которое встречается в 3–5% всех беременностей. Это важная причина заболеваемости и смертности как матери, так и плода [24–26]. У женщин с преэклампсией нарушена плацентация, при этом не происходит инвазии цитотрофобласта в глубокие мышечные слои матки. Спиральные артерии не могут трансформироваться из сосудов с высоким сопротивлением в нормальные сосуды большой ёмкости, наблюдаемые при беременности [27, 28]. Возникающая в результате гипоперфузия вызывает высвобождение ангиогенных факторов, изменяя функцию эндотелия матери и провоцируя преэклампсию [29, 30]. Гистологи отмечают поражение эндотелия сосудов, происходящее не только на уровне сосудов матки, но и носящее системный характер, что подтверждено гипоперфузией всех тканей. Однако наиболее выраженные изменения определяются в тканях почек. Изменения эндотелия в клубочках служат основой нарушения избирательности фильтрационной системы, что в первую очередь сказывается на фильтрации белков соответственно их величине и заряду. Следствием этих процессов и является острая почечная недостаточность, которая завершает неблагоприятным исходом тяжёлую преэклампсию, сопровождая не менее 5–10% случаев её тяжёлого течения [24]. Протеинурия при преэклампсии составляет 300 мг/сут и более. Тяжёлая преэклампсия составляет около 40% случаев ОПП во время беременности в развитых странах [31].
Прогрессирующая тяжёлая форма преэклампсии, в том числе (по мнению учёных) часто являющаяся следствием недиагностированного догестационного поражения почек, завершается олигурией и анурией, при которых смертность составляет 10% [24].
Преэклампсия поражает почки как функционально, так и морфологически. Почечная гемодинамика снижается, а экскреция белка с мочой увеличивается, частично из-за поражений клубочков, где сочетание изменений даёт характерные проявления и позволяет дифференцировать преэклампсическую нефропатию от других гломерулярных изменений, связанных с артериальной гипертензией во время беременности. В процессе преэклампсии клубочки диффузно увеличены и бескровны, что обусловлено не пролиферацией, а гипертрофией внутрикапиллярных клеток. Эти изменения, лучше всего описываемые ультраструктурно, включают гипертрофию цитоплазматических органелл в эндотелиальных и иногда — мезангиальных клетках, особенно лизосомах, которые претерпевают заметное увеличение и вакуолизацию (из-за накопления свободных нейтральных липидов). Эти реактивные изменения получили название «гломерулярный капиллярный эндотелиоз». Другие поражения, наблюдаемые время от времени, включают субэндотелиальные и мезангиальные электронно-плотные отложения, а также интерпозицию цитоплазмы мезангиальных клеток или мезангиального матрикса вдоль нормальной в остальном базальной мембраны. Наконец, почечные поражения считаются полностью обратимыми, и заболевание не оказывает отдалённого кардиоренального влияния на своих пациентов.
Гистологическая картина характеризуется набуханием и отслойкой клубочковых эндотелиоцитов, субэндотелиальными отложениями фибриноида, закупоркой клубочковых капилляров, снижением плотности и размера эндотелиальных отверстий и утолщением клубочковой базальной мембраны. Эти изменения, типичные для тромботической микроангиопатии, ухудшают гидравлическую проницаемость капилляров клубочков и уменьшают площадь поверхности фильтрации, что приводит к снижению скорости клубочковой фильтрации [32, 33].
Материнская плацентарная РААС вовлечена в развитие преэклампсии [34]. Ишемия плаценты может способствовать увеличению местной продукции ренина, сродни активации при реноваскулярных заболеваниях [35, 36]. Повышенная чувствительность к Ang II является результатом усиления регуляции и гетеродимеризации рецепторов AT1 к рецепторам брадикинина B2 [37], а также наличия агонистических антител к рецепторам AT1 [38, 39].
Гипертензия, вызванная беременностью, определяется как АД >140/90 мм рт.ст., возникающее после 20 нед беременности и возвращающееся к норме в течение 6 нед после родов [40].
Накапливаются данные, подтверждающие высвобождение нескольких плацентарных антиангиогенных факторов, включая растворимую fms-подобную тирозинкиназу-19 (sFlt1) и её синергист, растворимый эндоглин (sEng). Эти антиангиогенные факторы индуцируются или усугубляются ишемией плаценты, при этом sFlt1 является циркулирующим антагонистом как фактора роста эндотелия сосудов (VEGF), так и фактора роста плаценты. Циркулирующий VEGF уничтожается sFlt1, чтобы предотвратить защитное влияние первого на эндотелий [41–43].
Клинически дисфункция эндотелия сосудов и микроангиопатия присутствуют у матери, но не у плода. Преобладающим органом-мишенью у матери могут быть головной мозг (судороги или эклампсия), печень (HELLP-синдром) или почки (клубочковый эндотелиоз и протеинурия). Предрасполагающие факторы включают ранее существовавшую гипертонию, хроническую болезнь почек, ожирение, сахарный диабет, тромбофилии и множественные беременности [44].
Хотя другие тромботические микроангиопатии встречаются не так часто, как преэклампсия, они обусловливают значительную заболеваемость и смертность во время беременности [45, 46] и имеют диагностическое сходство с преэклампсией. К этой категории относятся гемолитико-уремический синдром (HUS), тромботическая тромбоцитопеническая пурпура и первичные и вторичные антифосфолипидные синдромы. HUS вызывается чрезмерной активацией системы комплемента. В своей типичной форме это может быть вызвано веротоксином. При атипичной форме (a-HUS) в большинстве случаев можно выявить приобретённый или унаследованный дисбаланс между факторами, участвующими в активации и регуляции системы комплемента. Факторы H, I и мембранный кофакторный белок являются основными ингибиторами альтернативной системы комплемента. Отсутствие подавления этих ингибирующих факторов может привести к чрезмерной его активации [46–49].
Морфологически гемолитико-уремический синдром на раннем этапе развития характеризуется отложениями фибрина в просвете капилляров, фибриноидным некрозом крупных сосудов, тромбозом и пролиферацией эндотелиальных клеток в мелких артериях и артериолах. Выявляются также ишемические изменения в клубочках с набуханием эндотелия и сужением просвета капилляров. На более поздних стадиях отмечаются интенсивное базофильное утолщение стенок мелких артерий и артериол, сужающее просвет; аневризматическая дилатация и пролиферация артериол в воротах клубочка; появление двойного контура базальной мембраны клубочков.
Женщины с хронической болезнью почек, которые забеременели, подвергаются повышенному риску неблагоприятных исходов для матери и плода, включая быстрое снижение функции почек, задержку внутриутробного развития, перинатальную смертность и преэклампсию [50]. Основными факторами, определяющими исход, являются ранее существовавшая протеинурия, гипертония, инфекции мочевыводящих путей и степень нарушения функции почек.
Стресс, связанный с увеличением почечного кровотока и неспособностью клубочков регулировать внутригломерулярное давление, которое обычно остаётся неизменным во время беременности, может усугубить повреждение почек при уже существующем заболевании [51].
Острое повреждение почек во время беременности может быть вызвано любым из нарушений, приводящих к почечной недостаточности в общей популяции (например, острый некроз канальцев токсического и ишемического генеза) [52].
В проведённых авторами данной рукописи междисциплинарных исследованиях с участием акушеров и морфологов у пациенток с тяжёлым течением акушерской патологии, сопровождающейся повреждением почек, рассмотрены основные акушерские нозологии, вызывающие ренальную катастрофу, и изучена характерная для этих изменений морфологическая картина.
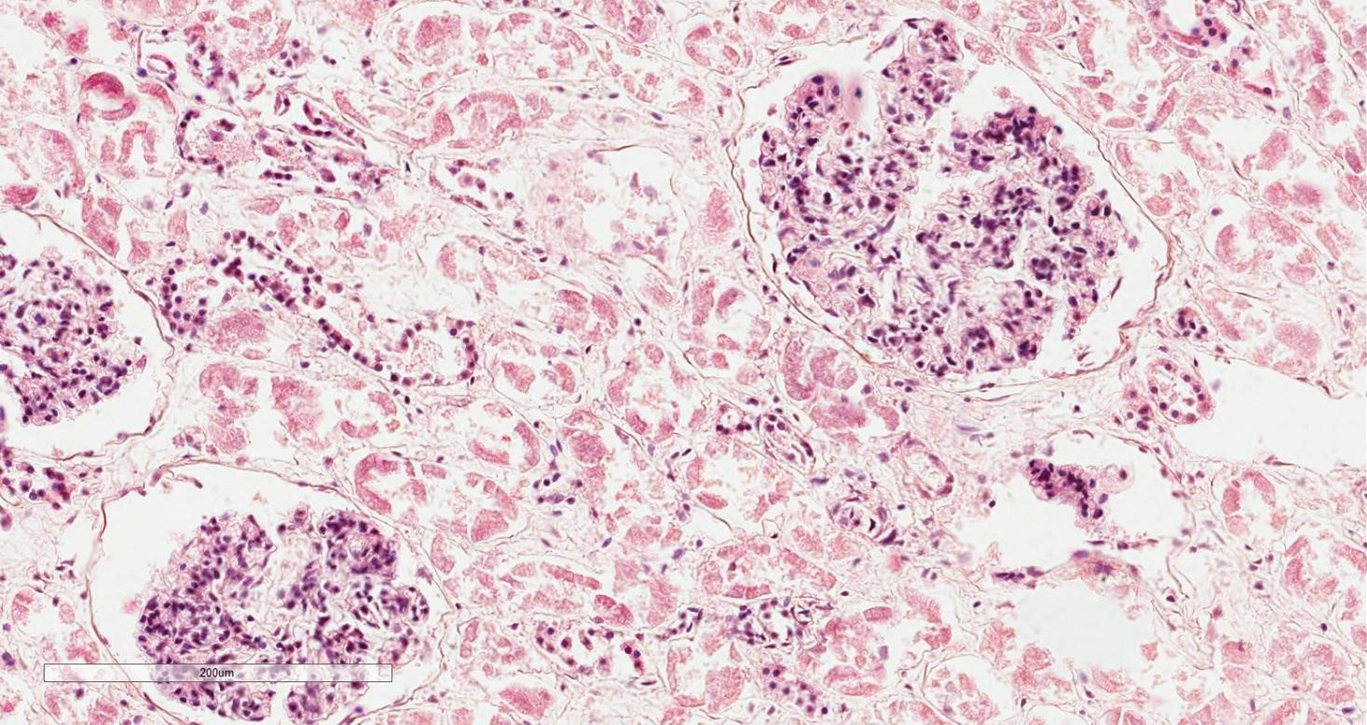
Основными морфологическими проявлениями некротического нефроза ишемического характера являются истончение или упрощение канальцевого эпителия с потерей щёточной каймы и вздутием апикальной цитоплазмы с усилением эозинофильного окрашивания. Ядра нефроцитов характеризуются конденсацией хроматина, усилением базофильного окрашивания или потерей чёткого контура ядра. Просветы канальцев заполнены отслоившимися некротическими эпителиальными клетками канальцев, остатками фибрина или гиалиновыми цилиндрами (рис. 2).
Рис. 2. Некробиотические изменения канальцевого эпителия, отёк и полнокровие интерстиция у беременной пациентки с острой почечной недостаточностью. Окраска гематоксилином и эозином; ×40.
Fig. 2. Necrobiotic changes in the tubular epithelium, edema and congestion of the interstitium in a pregnant patient with acute renal failure. Hematoxylin and eosin staining; ×40.
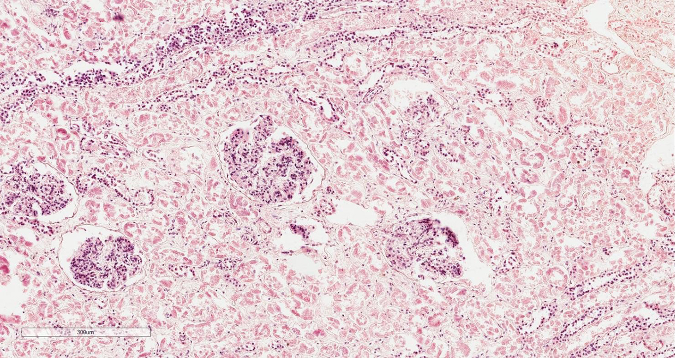
Некротический нефроз токсического генеза характеризуется более выраженными и тяжёлыми некробиотическими процессами. Отмечается некроз эпителия проксимальных канальцев (отсутствие ядер, интенсивная эозинофильная гомогенная цитоплазма) при сохранении формы клетки. Некротизированные клетки частично либо полностью перекрывают просветы канальцев, облитерируя их и приводя к острой почечной недостаточности (олигоанурии) (рис. 3).
Рис. 3. Десквамация некротизированного канальцевого эпителия, отёк интерстиция у пациентки с тяжёлой преэклампсией. Окраска гематоксилином и эозином; ×400.
Fig. 3. Desquamation of necrotic tubular epithelium, interstitial edema in a patient with severe preeclampsia. Hematoxylin and eosin staining; ×400.
Базальная мембрана при этом интактна, поэтому возможна полная регенерация канальцевого эпителия. Интерстиций и клубочки не поражены.
Диабетическая нефропатия часто встречается во время беременности и связана с 2–4-кратным повышением риска преэклампсии, преждевременных родов и перинатальной смерти [53].
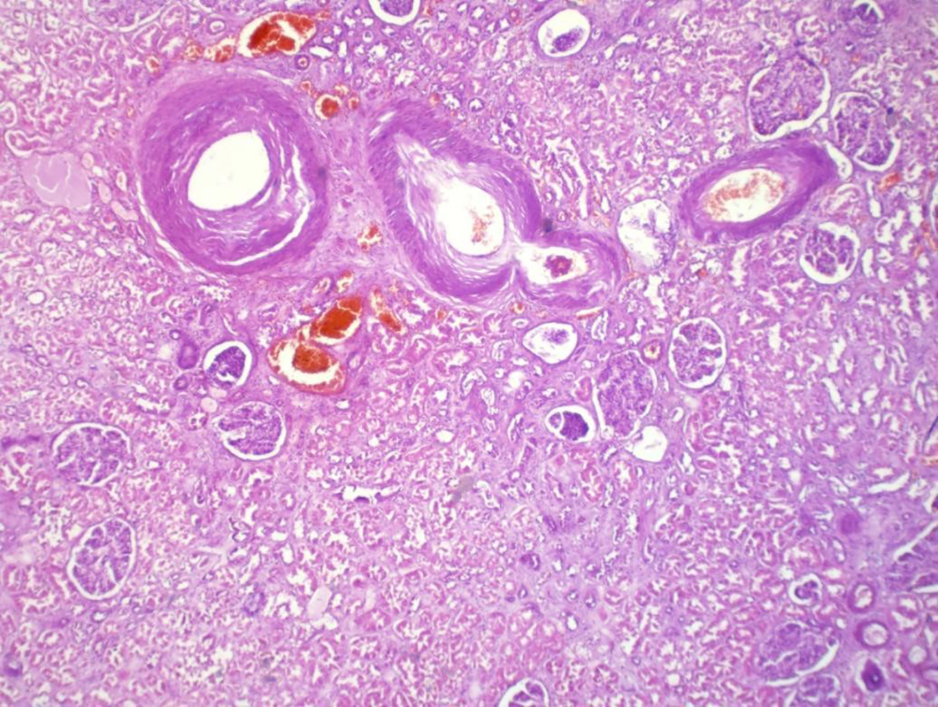
Микроскопически диабетическая нефропатия характеризуется сосудистым гиалинозом афферентных и выносящих артериол, крупными субэндотелиальными отложениями липогиалина на периферии клубочковых петель. Подобные отложения располагаются также вдоль капсулы клубочка (Шумлянского–Боумена). На поздних стадиях в ткани почки определяется сегментарный гломерулосклероз. Обнаруживаются также атрофия канальцевого эпителия, хроническое интерстициальное воспаление, фиброз и утолщение базальных мембран канальцев. При развитии тяжёлой эклампсии к явлениям хронической сосудистой патологии присоединяются изменения, носящие острый характер: коагуляционный некроз канальцевого эпителия, фибриноидный некроз сосудов микроциркуляторного русла (в том числе и капилляров клубочка), отёк и полнокровие интерстиция (рис. 4).
Рис. 4. Выраженный артериосклероз и гиалиноз сосудов почки у пациентки с тяжёлой преэклампсией на фоне сахарного диабета. Окраска гематоксилином и эозином; ×40.
Fig. 4. Severe arteriosclerosis and hyalinosis of renal vessels in a patient with severe preeclampsia secondary to diabetes mellitus. Hematoxylin and eosin staining; ×40.
ЗАКЛЮЧЕНИЕ
Переключение развития с нефрогенеза на гипертрофию ограничивает способность почек к регенерации после острых и хронических повреждений у человека и большинства млекопитающих, снижая число активных нефронов в течение всей жизни из-за хронических повреждений и рубцевания.
Изменения, происходящие в мочевыделительной системе при физиологическом течении беременности, обусловлены влиянием релаксина, прогестерона и оксида азота, которые расслабляют гладкую мускулатуру, а также увеличивающимся объёмом растущей матки, которая оказывает компрессионное воздействие и часто приводит к физиологическому гидронефрозу.
При коморбидных заболеваниях (гипертоническая болезнь, сахарный диабет, хронические заболевания почек и другие), а также патологических состояниях, развивающихся во время беременности (гестационный сахарный диабет, преэклампсия и другие), морфологически отмечается поражение эндотелия сосудов, не только происходящее на уровне сосудов матки, но и выражающееся изменениями в тканях почек. Изменение эндотелия в клубочках является основой нарушения избирательности фильтрационной системы, что приводит к острому поражению почек во время беременности и неблагоприятному её завершению.
Своевременное выявление пациенток группы риска по развитию ренальной патологии во время беременности, прегравидарное их консультирование, в том числе и врачами смежных специальностей, позволит снизить риск материнской заболеваемости и смертности, а также перинатальных потерь.
ДОПОЛНИТЕЛЬНО
Источник финансирования. Авторы заявляют об отсутствии внешнего финансирования при проведении поисково-аналитической работы.
Конфликт интересов. Авторы декларируют отсутствие явных и потенциальных конфликтов интересов, связанных с публикацией настоящей статьи.
Вклад авторов. Все авторы подтверждают соответствие своего авторства международным критериям ICMJE (все авторы внесли существенный вклад в разработку концепции, проведение поисково-аналитической работы и подготовку статьи, прочли и одобрили финальную версию перед публикацией). Наибольший вклад распределён следующим образом: О. П. Миклин, О. В. Гудзь — разработка дизайна исследования, его структуры; С. А. Симчин, П. А. Ермачкова — обзор литературы, сбор и анализ литературных источников, написание текста и редактирование статьи; А. А. Давыдова, А. Н. Сулима, З. С. Румянцева — формирование окончательного варианта рукописи.
ADDITIONAL INFORMATION
Funding source. This article was not supported by any external sources of funding.
Competing interests. The authors declare that they have no competing interests.
Authors’ contribution. All authors made a substantial contribution to the conception of the work, acquisition, analysis, interpretation of data for the work, drafting and revising the work, final approval of the version to be published and agree to be accountable for all aspects of the work. O. P. Miklin, O. V. Gudz — research design, its structure; S. A. Simchin, P. A. Yermachkova — literature review, collection and analysis of literary sources, writing the text and editing the article; A. A. Davydova, A. N. Sulima, Z. S. Rumyantseva — formation of the final version of the manuscript.
About the authors
Oleg P. Miklin
Order of Labor Red Banner Medical Institute named after S. I. Georgievsky, V. I. Vernadsky CFU
Author for correspondence.
Email: miklin-o@mail.ru
ORCID iD: 0000-0002-4863-602X
SPIN-code: 3385-8768
MD, Cand. Sci. (Med.), Associate Professor
Russian Federation, 5/7 Lenin Boulevard, 295051 SimferopolAleksandra A. Davydova
Order of Labor Red Banner Medical Institute named after S. I. Georgievsky, V. I. Vernadsky CFU
Email: akzag@mail.ru
ORCID iD: 0000-0003-0843-1465
SPIN-code: 9796-9984
MD, Cand. Sci. (Med.), Associate Professor
Russian Federation, 5/7 Lenin Boulevard, 295051 SimferopolAnna N. Sulima
Order of Labor Red Banner Medical Institute named after S. I. Georgievsky, V. I. Vernadsky CFU
Email: gsulima@yandex.ru
ORCID iD: 0000-0002-2671-6985
SPIN-code: 2232-0458
MD, Dr. Sci. (Med.), Professor
Russian Federation, 5/7 Lenin Boulevard, 295051 SimferopolZoya S. Rumyantseva
Order of Labor Red Banner Medical Institute named after S. I. Georgievsky, V. I. Vernadsky CFU
Email: zoyarum@inbox.ru
ORCID iD: 0000-0002-1711-021X
SPIN-code: 3480-3514
MD, Cand. Sci. (Med.), Associate Professor
Russian Federation, 5/7 Lenin Boulevard, 295051 SimferopolOksana V. Gudz
Order of Labor Red Banner Medical Institute named after S. I. Georgievsky, V. I. Vernadsky CFU
Email: pugovlaoks@mail.ru
ORCID iD: 0000-0002-4881-6792
SPIN-code: 1197-7077
MD
Russian Federation, 5/7 Lenin Boulevard, 295051 SimferopolSergei A. Simchin
Order of Labor Red Banner Medical Institute named after S. I. Georgievsky, V. I. Vernadsky CFU
Email: 6226566@bk.ru
ORCID iD: 0000-0002-0844-5018
SPIN-code: 9998-3583
Russian Federation, 5/7 Lenin Boulevard, 295051 Simferopol
Polina A. Yermachkova
Order of Labor Red Banner Medical Institute named after S. I. Georgievsky, V. I. Vernadsky CFU
Email: 2ermachkova-polina@mail.ru
ORCID iD: 0000-0002-8782-4007
SPIN-code: 6671-8385
Russian Federation, 5/7 Lenin Boulevard, 295051 Simferopol
References
- Paizis K, Jarvis E. Glob. libr. women’s med. In: KK Chen, editor. The continuous textbook of women’s medicine series — obstetrics module. Vol. 8. Maternal medical health and disorders in pregnancy. 2021. doi: 10.3843/GLOWM.414973 2021.
- Georgas KM, Chiu HS, Lesieur E, et al. Expression of metanephric nephron-patterning genes in differentiating mesonephric tubules. Dev Dyn. 2011;240(6):1600–1612. doi: 10.1002/dvdy.22640
- Costantini F, Kopan R. Patterning a complex organ: branching morphogenesis and nephron segmentation in kidney development. Dev Cell. 2010;18(5):698–712. doi: 10.1016/j.devcel.2010.04.008
- Dressler GR. Advances in early kidney specification, development and patterning. Development. 2009;136(23):3863–3874. doi: 10.1242/dev.034876
- Bramham K, Hall M, Nelson-Piercy C, editors. Renal Disease in Pregnancy. 2nd ed. Cambridge: Cambridge University Press; 2018. doi: 10.1017/9781316403839
- Harel Z, McArthur E, Hladunewich M, et al. Serum creatinine levels before, during, and after pregnancy. JAMA. 2019;321(2):205–207. doi: 10.1001/jama.2018.17948
- Wiles K, Bramham K, Seed PT, et al. Serum creatinine in pregnancy: a systematic review. Kidney Int Rep. 2019;4(3):408–419. doi: 10.1016/j.ekir.2018.10.015
- Cietak KA, Newton JR. Serial quantitative maternal nephrosonography in pregnancy. Br J Radiol. 1985;58(689):405–413. doi: 10.1259/0007-1285-58-689-405
- Rasmussen PE, Nielson FR. Hydronephrosis in pregnancy: a literature survey. Eur J Obstet Gynecol Reprod Biol. 1988;27(3):249–259. doi: 10.1016/0028-2243(88)90130-x
- Schulman A, Herlinger H. Urinary tract dilatation in pregnancy. Br J Radiol. 1975;48(572):638–645. doi: 10.1259/0007-1285-48-572-638
- Bailey RR, Rolleston GL. Kidney length and ureteric dilatation in the puerperium. J Obstet Gynaecol Br Commonw. 1971;78(1):55–61. doi: 10.1111/j.1471-0528.1971.tb00191.x
- Au KK, Woo JS, Tang LC, Liang ST. Aetiological factors in the genesis of pregnancy hydronephrosis. Aust N Z J Obstet Gynaecol. 1985;25(4):248–251. doi: 10.1111/j.1479-828x.1985.tb00737.x
- Abdul-Karim R, Assalin S. Pressor response to angiotonin in pregnant and non-pregnant women. Am J Obstet Gynecol. 1961;82:246–251. doi: 10.1016/0002-9378(61)90053-9
- Schrier RW, Briner VA. Peripheral arterial vasodilation hypothesis of sodium and water retention in pregnancy: implication for pathogenesis of preeclampsia-eclampsia. Obstet Gynecol. 1991;77(4):632–639.
- Irani RA, Xia Y. Renin angiotensin signaling in normal pregnancy and preeclampsia. Semin Nephrol. 2011;31(1):47–58. doi: 10.1016/j.semnephrol.2010.10.005
- Krutzén E, Olofsson P, Bäck SE, Nilsson-Ehle P. Glomerular filtration rate in pregnancy: a study in normal subjects and in patients with hypertension, preeclampsia and diabetes. Scand J Clin Lab Invest. 1992;52(5):387–392. doi: 10.3109/00365519209088374
- Hladunewich MA, Lafayette RA, Derby GC, et al. The dynamics of glomerular filtration in the puerperium. Am J Physiol Ren Physiol. 2004;286(3): F496–F503. doi: 10.1152/ajprenal.00194.2003
- Deng A, Baylis C. Glomerular hemodynamic responses to pregnancy in rats with severe reduction of renal mass. Kidney Int. 1995;48(1):39–44. doi: 10.1038/ki.1995.264
- Davison JM, Hytten FE. The effect of pregnancy on the renal handling of glucose. Br J Obstet Gynaecol. 1975;82(5):374–381. doi: 10.1111/j.1471-0528.1975.tb00652.x
- Erman A, Neri A, Sharoni R, et al. Enhanced urinary albumin excretion after 35 weeks of gestation and during labour in normal pregnancy. Scand J Clin Lab Invest. 1992;52(5):409–413. doi: 10.3109/00365519209088376
- Brown MA, Sinosich MJ, Saunders DM, Gallery ED. Potassium regulation and progesterone-aldosterone interrelationships in human pregnancy: a prospective study. Am J Obstet Gynecol. 1986;155(2):349–353. doi: 10.1016/0002-9378(86)90824-0
- Schrier RW. Systemic arterial vasodilation, vasopressin, and vasopressinase in pregnancy. J Am Soc Nephrol. 2010;21(4):570–572. doi: 10.1681/ASN.2009060653
- Prokopenko EI. Acute kidney injury and pregnancy. Nephrology (Saint-Petersburg). 2018;22(2):39–49. (In Russ). doi: 10.24884/1561-6274-2018-22-2-39-49
- Sidorova IS, Milovanov AP, Nikitina NA, Rzayeva AA. Pathomorphological features of changes in the kidneys in severe preeclampsia. Russian Bulletin of the obstetrician-gynecologist. 2014;14(1):4–9. (In Russ).
- ACOG Committee on Practice Bulletins–Obstetrics. ACOG practice bulletin. Diagnosis and management of preeclampsia and eclampsia. Number 33, January 2002. American College of Obstetricians and Gynecologists. Int J Gynaecol Obstet. 2002;77(1):67–75.
- Hutcheon JA, Lisonkova S, Joseph KS. Epidemiology of preeclampsia and the other hypertensive disorders of pregnancy. Best Pract Res Clin Obstet Gynaecol. 2011;25(4):391–403. doi: 10.1016/j.bpobgyn.2011.01.006
- Wallis AB, Saftlas AF, Hsia J, Atrash HK. Secular trends in the rates of preeclampsia, eclampsia, and gestational hypertension, United States, 1987–2004. Am J Hypertens. 2008;21(5):521–526. doi: 10.1038/ajh.2008.20
- Zhou Y, Damsky CH, Fisher SJ. Preeclampsia is associated with failure of human cytotrophoblasts to mimic a vascular adhesion phenotype. One cause of defective endovascular invasion in this syndrome? J Clin Invest. 1997;99(9):2152–2164. doi: 10.1172/JCI119388
- Meekins JW, Pijnenborg R, Hanssens M, et al. A study of placental bed spiral arteries and trophoblast invasion in normal and severe preeclamptic pregnancies. Br J Obstet Gynaecol. 1994;101(8):669–674. doi: 10.1111/j.1471-0528.1994.tb13182.x
- Gerber HP, Condorelli F, Park J, Ferrara N. Differential transcriptional regulation of the two vascular endothelial growth factor receptor genes. Flt-1, but not Flk-1/KDR, is up-regulated by hypoxia. J Biol Chem. 1997;272(38):23659–23667. doi: 10.1074/jbc.272.38.23659
- Kuklina EV, Ayala C, Callaghan WM. Hypertensive disorders and severe obstetric morbidity in the United States. Obstet Gynecol. 2009;113(6):1299–1306. doi: 10.1097/AOG.0b013e3181a45b25
- Lafayette RA, Druzin M, Sibley R, et al. Nature of glomerular dysfunction in preeclampsia. Kidney Int. 1998;54(4):1240–1249. doi: 10.1046/j.1523-1755.1998.00097.x
- Packham DK, Mathews DC, Fairley KF, et al. Morphometric analysis of preeclampsia in women biopsied in pregnancy and postpartum. Kidney Int. 1988;34(5):704–711. doi: 10.1038/ki.1988.236
- Nielsen AH, Schauser KH, Poulsen K. Current topic: the uteroplacental reninangiotensin system. Placenta. 2000;21(5–6):468–477. doi: 10.1053/plac.2000.0535
- Alexander BT, Kassab SE, Miller MT, et al. Reduced uterine perfusion pressure during pregnancy in the rat is associated with increases in arterial pressure and changes in renal nitric oxide. Hypertension. 2001;37(4):1191–1195. doi: 10.1161/01.hyp.37.4.1191
- Combs CA, Katz MA, Kitzmiller JL, Brescia RJ. Experimental preeclampsia produced by chronic constriction of the lower aorta: validation with longitudinal blood pressure measurements in conscious rhesus monkeys. Am J Obstet Gynecol. 1993;169(1):215–223. doi: 10.1016/0002-9378(93)90171-e
- AbdAlla S, Lother H, el Massiery A, Quitterer U. Increased AT(1) receptor heterodimers in preeclampsia mediate enhanced angiotensin II responsiveness. Nat Med. 2001;7(9):1003–1009. doi: 10.1038/nm0901–1003
- Zhou CC, Zhang Y, Irani RA, et al. Angiotensin receptor agonistic autoantibodies induce preeclampsia in pregnant mice. Nat Med. 2008;14(8):855–862. doi: 10.1038/nm.1856
- Wenzel K, Rajakumar A, Haase H, et al. Angiotensin II type 1 receptor antibodies and increased angiotensin II sensitivity in pregnant rats. Hypertension. 2011;58(1):77–84. doi: 10.1161/HYPERTENSIONAHA.111.171348
- American College of Obstetricians and Gynecologists. Diagnosis and management of preeclampsia and eclampsia. Int J Gynaecol Obstet. 2002;77:67–75.
- Levine RJ, Lam C, Qian C, et al. Soluble endoglin and other circulating antiangiogenic factors in preeclampsia. N Engl J Med. 2006;355(10):992–1005. doi: 10.1056/NEJMoa055352
- Robinson CJ, Johnson DD. Soluble endoglin as a second-trimester marker for preeclampsia. Am J Obstet Gynecol. 2007;197(2): 174.e1–174.e5. doi: 10.1016/j.ajog.2007.03.058
- Rana S, Karumanchi SA, Levine RJ, et al. Sequential changes in antiangiogenic factors in early pregnancy and risk of developing preeclampsia. Hypertension. 2007;50(1):137–142. doi: 10.1161/HYPERTENSIONAHA.107.087700
- Walker JJ. Pre-eclampsia. Lancet. 2000;356(9237):1260–1265. doi: 10.1016/S0140-6736(00)02800-2
- Dragon-Durey MA, Blanc C, Garnier A, et al. Antifactor H autoantibodyassociated hemolytic uremic syndrome: review of literature of the autoimmune form of HUS. Semin Thromb Hemost. 2010;36(6):633–640. doi: 10.1055/s-0030-1262885
- Vesely SK, George JN, Lämmle B, et al. ADAMTS13 activity in thrombotic thrombocytopenic purpura-hemolytic uremic syndrome: relation to presenting features and clinical outcomes in a prospective cohort of 142 patients. Blood. 2003;102(1):60–68. doi: 10.1182/blood-2003-01-0193
- Le Quintrec M, Roumenina L, Noris M, Frémeaux-Bacchi V. Atypical hemolytic uremic syndrome associated with mutations in complement regulator genes. Semin Thromb Hemost. 2010;36(6):641–652. doi: 10.1055/s-0030-1262886
- Westra D, Vernon KA, Volokhina EB, et al. Atypical hemolytic uremic syndrome and genetic aberrations in the complement factor H-related 5 gene. J Hum Genet. 2012;57(7):459–464. doi: 10.1038/jhg.2012.57
- Noris M, Remuzzi G. Atypical hemolytic-uremic syndrome. N Engl J Med. 2009;361(17):1676–1687. doi: 10.1056/NEJMra0902814
- Jones DC, Hayslett JP. Outcome of pregnancy in women with moderate or severe renal insufficiency. N Engl J Med. 1996;335(4):226–232. doi: 10.1056/NEJM199607253350402
- Hou S. Pregnancy in chronic renal insufficiency and end-stage renal disease. Am J Kidney Dis. 1999;33:235–252.
- Katz AI, Davison JM, Hayslett JP, et al. Pregnancy in women with kidney disease. Kidney Int. 1980;18(2):192–206. doi: 10.1038/ki.1980.128
- Mathiesen ER, Ringholm L, Feldt-Rasmussen B, et al. Obstetric nephrology: Pregnancy in women with diabetic nephropathy — the role of antihypertensive treatment. Clin J Am Soc Nephrol. 2012;7(12):2081–2088. doi: 10.2215/CJN.00920112
Supplementary files






