Anatomical observation of the sinoatrial node artery of the cardiac conduction system in adult humans
- Authors: Iakimov A.A.1,2, Dmitrieva E.G.1,2, Gaponov A.A.1,2, Sukhorosova A.G.1
-
Affiliations:
- Ural State Medical University
- Ural Federal University named after the First President of Russia B.N. Yeltsin
- Issue: Vol 160, No 3 (2022)
- Pages: 189-198
- Section: Original Study Articles
- Submitted: 04.07.2023
- Accepted: 19.07.2023
- Published: 15.07.2022
- URL: https://j-morphology.com/1026-3543/article/view/529672
- DOI: https://doi.org/10.17816/morph.529672
- ID: 529672
Cite item
Full Text
Abstract
BACKGROUND: Anatomical investigations of atrial blood vessels are limited. Knowledge of the anatomical variants of the sinoatrial node artery is important to enhance cardiac surgery and elucidate the pathogenesis of supraventricular arrhythmias.
AIM: To explore and clarify the number, variants, location, and course of sinoatrial node arteries in the heart of middle-aged and older individuals.
MATERIALS AND METHODS: In 62 formalin-fixed hearts of humans who died from noncardiac causes, the sinoatrial node arteries were dissected and measured using an electronic caliper. Histologically, the location of the artery into the sinoatrial node was clarified through hematoxylin and eosin and Masson trichrome staining.
RESULTS: The number of sinoatrial node arteries varied from 1 (86.6%) to 3 (1.7%). Commonly, sinoatrial node arteries arose from the right coronary artery (66.7%) between the aortic root and right atrial appendage or from the proximal part of the left circumflex artery (28.3%). Rarely, sinoatrial node arteries originated from the orifice of the right coronary artery, from the left coronary artery bifurcation, and on the diaphragmatic surface of the heart from the distal parts of the right coronary artery or left circumflex artery. Sinoatrial node arteries appeared to have subepicardial and intramyocardial components. The sinoatrial node artery that originated from the right coronary artery traveled mainly subepicardially; however, the sinoatrial node artery from the left coronary artery showed a predominantly intramyocardial course. The diameter of the sinoatrial node artery that originated from the right coronary artery varied from 0.7 to 2.8 mm and that from the left coronary artery system varied from 1.1 to 2.5 mm (median, 1.7 mm; p=0.96). The right coronary artery and sinoatrial node artery that branched from that formed a correlation pair in diameter values (Rs=0 .44; р=0.005).
CONCLUSIONS: The sinoatrial node artery has common and rare variants, which differ in the number, origin, and topography of the artery.
Keywords
Full Text
ОБОСНОВАНИЕ
Коронарогенные заболевания сердца занимают первое место в структуре смертности населения развитых стран [1], поэтому нормальная и патологическая анатомия артерий сердца обоснованно привлекает внимание исследователей в течение многих лет. Анатомии венечных артерий посвящён ряд фундаментальных трудов и обзоров [2–5]. Подробно описаны типы кровоснабжения сердца, изучены варианты ветвления венечных артерий, особенности их локальной топографии. Основное внимание кардиоморфологи уделяют источникам кровоснабжения желудочков сердца, при этом в отечественной литературе последних лет по нормальной анатомии практически нет данных о типовой и вариантной анатомии артерий предсердий, в том числе и об источниках кровоснабжения важнейшей структуры проводящей системы сердца — синусно-предсердного узла. Известно, что синусно-предсердный узел в большинстве случаев кровоснабжается из системы правой венечной артерии (ПВА), описаны варианты положения артерии синусно-предсердного узла (АСПУ) по отношению к устью верхней полой вены [6]. По мнению Г.Э. Фальковского, синусно-предсердный узел снабжается кровью из ПВА [7, с. 203], однако есть данные, что АСПУ может принадлежать как системе ПВА, так и левой венечной артерии (ЛВА) [6, 8–10]. В.В. Соколов и М.П. Варегин [8] выявили взаимосвязь типов кровоснабжения предсердий и синусно-предсердного узла. В частности, авторы установили, что при правовенечном варианте ветвления предсердных артерий основной источник кровоснабжения синусно-предсердного узла — это ветвь из ПВА, а при левовенечном варианте — передняя левая предсердная ветвь из системы ЛВА [11]. Следует заметить, что публикации, в которых представлены данные морфометрии АСПУ, выполненной на секционном материале, весьма немногочисленны. Анализ взаимосвязей морфометрических параметров АСПУ, габаритных размеров и типов кровоснабжения сердца представлен в единичных источниках [6, 8]. Не обнаружено работ, которые были бы посвящены изучению глубины залегания АСПУ, протяжённости её подэпикардиального и интрамиокардиального участков.
Между тем информация о типовой и вариантной анатомии АСПУ востребована в клинической практике, в частности в аритмологии, лучевой диагностике, интервенционной кардиологии и кардиохирургии. Распространённость синусовой аритмии в общей популяции составляет около 34%, синусовой брадикардии — от 7 до 13%, синусовой тахикардии — от 5 до 10% [12]. Только в США к 2060 году прогнозируют увеличение количества пациентов с синдромом слабости синусно-предсердного узла до 172 000 человек. При этом мало изучена распространённость синдрома слабости синусно-предсердного узла и его дисфункции, ассоциированных с особенностями его васкуляризации [13]. При хирургическом доступе в правое предсердие через межпредсердную борозду АСПУ может быть повреждена [2, 9], и в связи с этим представляется важным поиск анатомических предикторов, которые можно было бы использовать для прогнозирования вероятности того или иного варианта топографии этой артерии, особенно при её туннелированном или полностью интрамиокардиальном положении.
Цель исследования — дать характеристику количеству, вариантам отхождения и особенностям положения артерии синусно-предсердного узла в сердце людей среднего и пожилого возраста.
МАТЕРИАЛЫ И МЕТОДЫ
Материалом исследования послужили 62 макропрепарата сердца людей среднего и пожилого возраста1, умерших от причин, не связанных с болезнями сердца. Макропрепараты весили от 200 до 400 г, не имели пороков, признаков ремоделирования камер, перенесённых операций на сердце, гемодинамически значимой окклюзии венечных артерий.
Препараты фиксировали погружением в 10% раствор формалина так, чтобы предсердия были максимально заполнены фиксатором. В норме давление в предсердиях не превышает 10 мм рт.ст., поэтому полости сердца заполняли фиксатором без нагнетания давления. Измеряли расстояния от верхушки сердца до устья верхней полой вены (длина сердца), до луковицы аорты (длина желудочкового комплекса), максимальное расстояние между лёгочными поверхностями сердца параллельно венечной борозде (ширина сердца). Для макроскопической морфометрии использовали электронный штангенциркуль ШЦЦ-1-250-0,01 (Челябинский инструментальный завод, Россия) с точностью 0,03 мм (с поверкой). Методом препарирования удаляли эпикард, подэпикардиальную клетчатку, без предварительной инъекции выделяли расположенные в ней кровеносные сосуды. При определении типа кровоснабжения сердца придерживались трёхчленной классификации. В местах отхождения сосудов измеряли наружный диаметр венечных артерий и их ветвей, направлявшихся к области локализации синусно-предсердного узла. Этой областью считали участок, расположенный в верхней части пограничной борозды между устьем верхней полой вены и правым ушком сердца. Подсчитывали количество АСПУ. Измеряли: а) длину ЛВА от начала до её би- или трифуркации; б) расстояния от начала ЛВА и ПВА до отхождения АСПУ; в) длину подэпикардиального отдела АСПУ от её начала до погружения в миокард предсердий; г) длину интрамиокардиального участка АСПУ от погружения АСПУ в миокард предсердий до устья верхней полой вены. Для измерения длины артерий на них укладывали нить, ход которой повторял кривизну сосуда; длину выпрямленной нити измеряли по линейке штангенциркуля с точностью до 1 мм. Макропрепараты фотографировали в бокс-камере фотокамерой смартфона Samsung (100 Мп; f/1.7; угол обзора — 79°; объектив — 6P; автофокусировка; двигатель фокусировки с разомкнутым контуром). АСПУ на фотографиях выделяли красным цветом в программе Photoshop.
Для гистологической верификации синусно-предсердного узла из участка терминальной борозды, содержавшего АСПУ, вырезали кусочки толщиной 3–4 мм. После стандартной проводки материал заключали в парафин. Кусочек ориентировали в блоке так, чтобы АСПУ располагалась перпендикулярно плоскости среза. Срезы толщиной 3 мкм окрашивали гематоксилином Карацци и эозином, а также по Массону с анилиновым синим, изучали под микроскопом Olympus CX31RTSF (Olympus, Япония) при ×40, ×100 и ×400. Фотографировали при помощи камеры ToupCam (ToupTek, Китай), поля зрения объединяли в программе ADF Image Capture 4.7 (2019), используя опцию «сшивка».
Этическая экспертиза
Исследование венечных артерий и их ветвей на анатомическом материале одобрено локальным этическим комитетом ФГБОУ ВО УГМУ Минздрава России (протокол № 5 от 24 мая 2019 года).
Статистический анализ
Для статистической обработки результатов использовали программу Statistica 10.0 (StatSoft Inc., США). С помощью W-критерия Шапиро–Уилка оценивали распределение значений. Находили медиану, крайние значения, коэффициент вариации, а для нормально распределённых значений — также среднее значение и его стандартное отклонение (M±m). Значимость различий между двумя независимыми группами оценивали U-критерием Манна–Уитни. Значимость различия долей (частот встречаемости) оценивали односторонним критерием во вкладке «основная статистика — тесты различий». Для корреляционного анализа использовали коэффициент Спирмена (Rs). Уровень значимости p принимали равным 0,05.
РЕЗУЛЬТАТЫ
На двух препаратах ЛВА не имела огибающей ветви и продолжалась в переднюю межжелудочковую борозду. Огибающая артерия была ветвью ПВА, проходила в подэпикардиальной клетчатке позади корня аорты и лёгочного ствола, затем ложилась в венечную борозду под левым ушком сердца и далее шла типично. После исключения этих препаратов в выборочную совокупность вошли 60 сердец с типичной анатомией коронарного русла.
На всех 60 препаратах имелась АСПУ. В 52 случаях она была одна (86,6%), в семи случаях выявили две артерии и на одном препарате — три АСПУ. На 45 из 60 препаратов сердца (75%) имелась АСПУ, принадлежавшая системе ПВА, на 23 из 60 (38,3%) — АСПУ, которая принадлежала системе ЛВА. Суммарное количество АСПУ на 60 препаратах сердца составило 69, из них 46 артерий (66,7%) принадлежали правой и 23 — (33,3%) левой коронарной системе. При анализе препаратов лишь с одной АСПУ частота отхождения этой артерии от ПВА составила 71,2% (37/52) и значимо превышала частоту встречаемости препаратов, на которых АСПУ принадлежала системе ЛВА, — 28,8% (15/52); р <0,000. АСПУ из правой коронарной системы, как правило, отходила от ПВА на участке, который располагался проксимальнее2 места контакта ПВА с нижней поверхностью правого ушка сердца (рис. 1). Эту локализацию считали для АСПУ, отходившей от ПВА, типичной (95,6%; 43/45). В двух случаях (4,4%) АСПУ, относившаяся к системе ПВА, начиналась нетипично: на одном препарате она отходила общим устьем с ПВА, на другом препарате брала начало от ПВА на диафрагмальной поверхности сердца и поднималась к синусно-предсердному узлу в толще задней стенки правого предсердия. В 23 случаях, когда АСПУ принадлежала системе ЛВА, она обычно начиналась от самого проксимального участка огибающей артерии, расположенного медиальнее места её контакта с левым ушком сердца (рис. 2). Начало АСПУ в этом месте отметили на 28,3% (17/60) препаратов сердца. На четырёх препаратах обнаружили атипичные варианты начала АСПУ от огибающей артерии: под левым ушком сердца (один случай), между ушком и устьем левой нижней лёгочной вены (два случая), позади устья левой нижней лёгочной вены (один случай). Ещё в двух случаях АСПУ отходила в месте деления ЛВА на её конечные ветви, причём на одном препарате ЛВА заканчивалась типичной бифуркацией, тогда как на другом помимо огибающей и передней межжелудочковой артерий имелась промежуточная ветвь, которая направлялась к левой лёгочной поверхности сердца. На препаратах с двумя АСПУ одна артерия всегда шла от ПВА в типичном месте, другая относилась к системе ЛВА, а именно: в шести случаях из семи начиналась типично и в одном случае выходила из трифуркации ЛВА. На единственном препарате, где обнаружили три АСПУ, две из них отходили в типичном месте от ПВА и одна — в типичном месте от огибающей ветви ЛВА. Среди изученных препаратов преобладал правовенечный тип кровоснабжения сердца. При всех трёх типах кровоснабжения сердца наиболее часто АСПУ принадлежала системе ПВА и отходила от проксимального участка этой артерии (табл. 1).
Рис. 1. Отхождение артерии синусно-предсердного узла в типичном месте от правой венечной артерии. Основание сердца, вид сверху: 1 — артерия синусно-предсердного узла, 2 — правая венечная артерия, 3 — левая венечная артерия, 4 — передний межпредсердный пучок миокарда, 5 — устье верхней полой вены.
Fig. 1. Sinoatrial node artery arises from a typical place of the right coronary artery. Base of the heart, superior view: 1 — artery of the sinoatrial node, 2 — right coronary artery, 3 — left coronary artery, 4 — anterior interatrial myocardial bundle, 5 — ostium of the superior vena cava.
Рис. 2. Отхождение артерии синусно-предсердного узла в типичном месте из системы левой венечной артерии. Основание сердца, вид сверху: 1 — артерия синусно-предсердного узла, 2 — левая венечная артерия, 3 — огибающая артерия, 4 — передний межпредсердный пучок миокарда, 5 — устье верхней полой вены.
Fig. 2. Sinoatrial node artery arises from a typical place of the left coronary system. Base of the heart, superior view: 1 — artery of the sinoatrial node, 2 — left coronary artery, 3 — circumflex artery, 4 — anterior interatrial myocardial bundle, 5 — ostium of the superior vena cava.
Таблица 1. Морфометрические характеристики анатомии и топографии артерии синусно-предсердного узла
Table 1. Morphometrical parameters of the anatomy and topography of the sinoatrial node artery
Морфометрический параметр | Венечная артерия, дающая начало АСПУ | Статистический параметр | ||||
M±m, мм | Медиана, мм | Крайние значения, мм | Коэффициент вариации, ٪ | W-критерий Шапиро–Уилка; р | ||
Расстояние от устья венечной артерии до отхождения АСПУ | Правая | 17,0±8,74 | 17,5 | 2,0–32,0 | 52 | 0,95; 0,09 |
Левая | 16,30±7,56 | 16,1 | 4,1–28,0 | 46 | 0,94; 0,40 | |
Длина подэпикардиального участка АСПУ | Правая | 26,30±9,79 | 25,0 | 9,0–54,0 | 37 | 0,97; 0,43 |
Левая | 12,90±4,88 | 13,0 | 5,0–25,0 | 38 | 0,94; 0,36 | |
Длина интрамиокардиального участка АСПУ | Правая | 19,90±9,05 | 18,5 | 7,0–42,0 | 45 | 0,94; 0,07 |
Левая | 39,10±6,66 | 41,4 | 26,2–48,0 | 17 | 0,90; 0,25 | |
Примечание: АСПУ — артерия синусно-предсердного узла.
Note: АСПУ — sinoatrial node artery.
В системе ПВА диаметр АСПУ, отходившей в типичном месте, варьировал от 0,7 до 2,8 мм и составил в среднем 1,7±0,48 мм (Ме=1,7 мм). В системе ЛВА при типичном начале АСПУ от огибающей ветви диаметр варьировал от 1,1 до 2,5 мм, был равен в среднем 1,7±0,36 мм (Ме=1,7 мм) и не отличался от диаметра АСПУ из системы ПВА (U=328; p=0,96). Не выявлено также значимых различий диаметров на препаратах с двумя АСПУ, начинавшихся в типичных местах обеих артериальных систем (n=6). Медианы диаметров АСПУ из ПВА и из огибающей ветви ЛВА составили соответственно 1,2 и 1,4 мм (U=7,5; р=0,35).
Как справа, так и слева при типичной локализации АСПУ отходила на одинаковом расстоянии от устья соответствующей венечной артерии (U=337; р=0,965; табл. 2). Во всех случаях АСПУ в пределах передних стенок предсердий имела два участка: проксимальный, расположенный в подэпикардиальной клетчатке; и дистальный, или интрамиокардиальный. Длина подэпикардиального участка АСПУ, начинавшейся от ПВА, вдвое превосходила длину аналогичного участка АСПУ из системы ЛВА (U=96,5; p=0,0004). Наоборот, для АСПУ из системы ЛВА был характерен более протяжённый интрамиокардиальный участок (U=16,5; р=0,000), его длина превышала длину соответствующего участка другой стороны в 1,6–3,0 раза. Терминальный отдел АСПУ в верхней стенке правого предсердия закономерно располагался в подэпикардиальной клетчатке (рис. 2, 3).
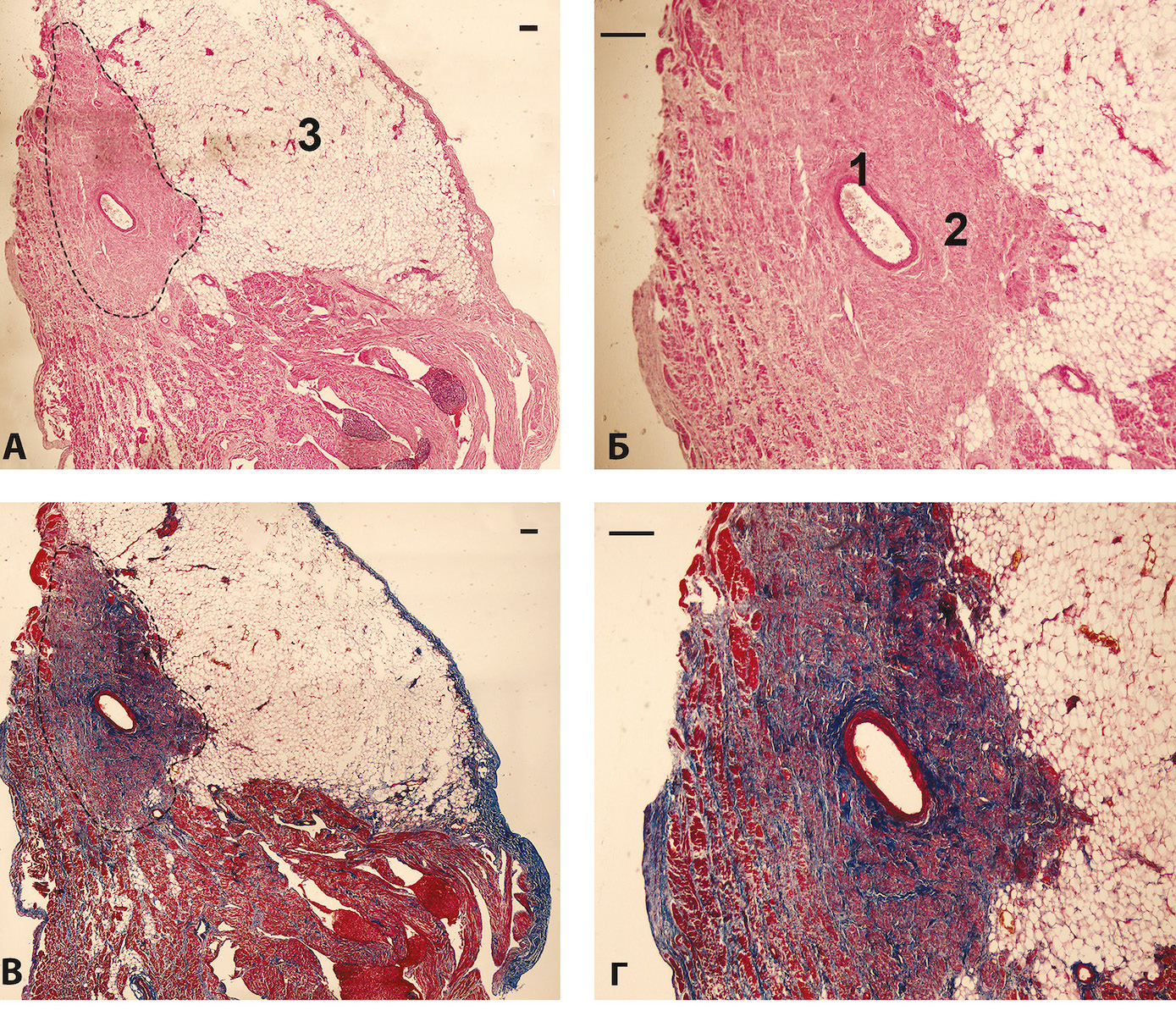
Рис. 3. Синусно-предсердный узел и его артерия: 1 — артерия синусно-предсердного узла, 2 — синусно-предсердный узел (показан пунктиром), 3 — подэпикардиальная жировая клетчатка; a, c — ×40; b, d — ×100; a, b — гематоксилин Карацци и эозин; c, d — окраска по Массону. Масштабный отрезок — 100 мкм.
Fig. 3. Sinoatrial node and its artery: 1 — artery of the sinoatrial node, 2 — sinoatrial node (shown by dotted line), 3 — subepicardial fatty tissue; a, c — ×40; b, d — ×100; a, b — Carazzi hematoxylin and eosin; c, d — Masson trichrome. Bar — 100 μm.
Таблица 2. Распределение количества препаратов с разными вариантами отхождения артерии синусно-предсердного узла в зависимости от типа кровоснабжения сердца
Table 2. Distribution of the number of the hearts with variable origin of the sinoatrial node artery according to the type of coronary dominance
Варианты отхождения АСПУ | Тип кровоснабжения сердца | |||||
Правовенечный | Левовенечный | Равномерный | Неизвестен | Всего | Итого (60) | |
Одна АСПУ | ||||||
Типичный: от ПВА от ОА | 26 8 | 3 — | 4 1 | 2 1 | 35 10 | 45 |
Атипичный: от ПВА от ЛВА | 2 4 | — — | — — | — 1 | 2 5 | 7 |
Две АСПУ | ||||||
1-я — от ПВА (типичный) 2-я — от ОА (типичный) | 5 | — | 1 | — | 6 | 7 |
1-я — от ПВА (типичный) 2-я — от трифуркации ЛВА | 1 | — | — | — | 1 | |
Три АСПУ | ||||||
1-я, 2-я — от ПВА (типичный) 3-я — от ОА (типичный) | 1 | — | — | — | 1 | 1 |
Примечание: АСПУ — артерия синусно-предсердного узла, ПВА — правая венечная артерия, ОА — огибающая артерия, ЛВА — левая венечная артерия.
Note: АСПУ — sinoatrial node artery, ПВА — right coronary artery, ОА — circumflex artery, ЛВА — left coronary artery.
По результатам корреляционного анализа не обнаружено зависимости между размерами сердца и расстояниями от аорты до АСПУ из систем ПВА и ЛВА. Установлено, что чем больше длина сердца, тем короче подэпикардиальный участок АСПУ, отходившей в типичном месте из огибающей ветви ЛВА (Rs=–0,69; р=0,006). Подобная зависимость для АСПУ из ПВА не выявлена, однако установлено, что чем дальше от аорты брала начало АСПУ от ПВА (в пределах типичной локализации), тем длиннее была эта АСПУ (Rs=0,52; р=0,002). Кроме того, для системы ПВА, в отличие от ЛВА, была характерна зависимость между диаметрами ПВА и АСПУ (Rs=0,44; р=0,005).
ОБСУЖДЕНИЕ
Наше исследование показало, что синусно-предсердный узел кровоснабжался единственной артерией в 86,6% случаев, что не отличалось от данных, полученных L.J. Zhang и соавт. (p=0,28) [14], при этом частота встречаемости препаратов с единственной АСПУ в исследованиях E. Ozturk с соавт. [15] и C.E. Nerantzis с соавт. [16] была значимо больше — 96 и 98,3% соответственно. В сердцах пациентов из работы L.J. Zhang с соавт. [14] единственная АСПУ с одинаковой частотой принадлежала правой (51%, 44/86) и левой коронарным системам (49%, 42/86). Наши результаты свидетельствуют о том, что АСПУ вдвое чаще брала начало из ПВА, чем из системы ЛВА, что совпадает с данными C.E. Nerantzis с соавт. [16] (63,6%; р=0,14) и D. Berdajs с соавт. (66%; р=0,29) [17], а также с данными Л.А. Бокерия и соавт. [18]. Изучив компьютерные томограммы сердца 46 пациентов, не имевших стеноза венечных артерий, Л.А. Бокерия с соавт. [18] установили, что АСПУ отходила от ПВА в 5,25 раза чаще, чем от огибающей ветви ЛВА. Вероятность начала АСПУ от проксимального (переднего) участка ПВА превосходила вероятность её начала от дистального (заднего) участка ПВА в 45 раз по нашим данным и в 48 раз — по данным E. Ozturk с соавт. [15]. Следовательно, именно проксимальный участок ПВА можно считать типичным местом начала АСПУ при её принадлежности правой коронарной системе. Сопоставление результатов, полученных нами при морфометрии, с данными литературы позволило конкретизировать типичную локализацию мест начала АСПУ. При типичном отхождении от ПВА её начало чаще всего располагалось в 16,2–18,0 мм от луковицы аорты [10, 14], что хорошо согласуется с нашими результатами. L.J. Zhang и соавт. [14] выделили в особую группу топографические варианты, при которых АСПУ брала начало от артерий на диафрагмальной поверхности сердца. О возможности начала АСПУ от ПВА на диафрагмальной поверхности сердца упоминают и в работах [19, 20]. Начавшись от дистальных участков ПВА, АСПУ на пути к узлу проходит по латеральной или задненижней стенке правого предсердия. При стандартной атриотомии такая АСПУ может быть легко повреждена3, вот почему «знание данного варианта расположения артерии имеет огромное хирургическое значение» [9]. В настоящем исследовании подобные варианты были обнаружены в единичных случаях. При таких атипичных вариантах значения расстояний между устьем «материнского ствола» венечной артерии и началом АСПУ были максимальными — 45,0–58,0 мм. Редкие (атипичные) варианты нормальной анатомии АСПУ, по нашему мнению, следует отличать от аномалий топографии. К таким аномалиям, например, относится отхождение АСПУ от бронхиальных артерий или от аорты, описанное в 0,4 и 0,8% случаев соответственно [15].
Чем дальше от устья «материнского ствола» венечной артерии начиналась АСПУ, тем больше была её длина. Насколько нам известно, в настоящей работе эта зависимость обнаружена впервые, однако взаимосвязь между параметрами морфометрической топографии АСПУ и размерами сердца не выявлена. Между тем поиск морфометрических предикторов, которые позволили бы прогнозировать топографию АСПУ, важен для минимизации интраоперационных осложнений. Сосуды предсердий развиваются во взаимосвязи с предсердным «сегментом» простого трубчатого сердца [2], следовательно, в дальнейших исследованиях целесообразно проанализировать взаимосвязи между АСПУ и параметрами предсердий, прежде всего теми, которые можно определить у пациента прижизненно.
У современного человека преобладает правовенечный тип кровоснабжения сердца [2–5], это было подтверждено и настоящим исследованием. При этом не выявлено взаимосвязи между типом кровоснабжения сердца и началом источников кровоснабжения предсердий, в том числе синусно-предсердного узла [8, 11, 15]. Л.А. Бокерия с соавт. [18] пришли к выводу об отсутствии статистически значимой связи между типом кровоснабжения сердца и типом кровоснабжения синусно-предсердного узла, однако приведённый ими уровень значимости (p=0,06) можно расценивать как доказательство тенденции более частого кровоснабжения данного узла из системы ПВА.
Как показали результаты, по меньшей мере у трёх пациентов из десяти АСПУ принадлежала системе ЛВА и проходила в передней стенке левого предсердия. Такой вариант имеет особую клиническую значимость. Подходя к синусно-предсердному узлу, артерия пересекает межпредсердную борозду, где может быть повреждена при доступе в предсердие. Повреждение АСПУ в этом месте возможно и при абляции атипичных путей проведения импульса в ходе выполнения операции «лабиринт» по поводу фибрилляции предсердий, особенно если артерия пересекает одну из линий абляции (roof line), проходящую по передним точкам устьев верхних лёгочных вен. Пучки предсердного миокарда могут формировать мостики поверх АСПУ из системы ЛВА (рис. 4). Кроме того, как установлено в настоящей работе, для АСПУ из левой коронарной системы характерно интрамиокардиальное положение в переднем межпредсердном пучке (см. рис. 2). Такое положение артерии затрудняет её визуализацию из полости перикарда, а близость к эндокарду повышает вероятность её травматизации при внутрипредсердных манипуляциях [9]. Возможная взаимосвязь между туннелированным интрамиокардиальным положением АСПУ и дисфункцией синусно-предсердного узла может стать предметом дальнейших исследований, актуальных для кардиологии.
Рис. 4. Миокардиальный мостик над артерией синусно-предсердного узла. Основание сердца, вид сверху: 1 — артерия синусно-предсердного узла, 2 — левая венечная артерия, 3 — огибающая артерия, 4 — мостик миокарда, 5 — устье верхней полой вены.
Fig. 4. Myocardial bridge over the artery of the sinoatrial node. Base of the heart, superior view: 1 — artery of the sinoatrial node, 2 — left coronary artery, 3 — circumflex artery, 4 — myocardial bridge; 5 — ostium of the superior vena cava.
Ветвь огибающей артерии, проходящая между левым ушком сердца и устьями левых лёгочных вен, известна как левая промежуточная предсердная артерия [8]. J.A. Cabrera и соавт. [21] выявили эту ветвь в 67% случаев, но не уточнили, как часто данный сосуд являлся источником кровоснабжения синусно-предсердного узла. Вероятность кровоснабжения этого узла исключительно из левой промежуточной предсердной артерии в нашей работе составила 3,8% (2/52), а в работах R. Shimotakahara и соавт. [22], В.В. Соколова и М.П. Варегина [8], а также L.J. Zhang с соавт. [14] — 4,1; 5,26 и 8,4% соответственно. Есть данные, что АСПУ могла начинаться не только от огибающей ветви ЛВА, но и от конечного отдела ПВА, занимавшего левую половину венечной борозды на диафрагмальной поверхности сердца [14]. R. Shimotakahara и соавт. [22] обнаружили АСПУ, отходившую от дистального отдела огибающей ветви ЛВА, в 5,3% случаев. Несмотря на редкость варианта прохождения АСПУ в латеральной стенке левого предсердия, он также является клинически значимым, что связано с большим количеством хирургических вмешательств в данной зоне.
ЗАКЛЮЧЕНИЕ
Показано существование типичных и редких вариантов анатомии АСПУ. При типичных вариантах АСПУ берёт начало от ПВА на участке от аорты до правого ушка сердца либо от начального отдела огибающей ветви ЛВА. В редких случаях АСПУ начинается общим устьем с ПВА, от бифуркации ЛВА, а также от ПВА и огибающей ветви ЛВА на диафрагмальной поверхности сердца. Как правило, в пределах передних стенок предсердий АСПУ имеет два отдела: подэпикардиальный и интрамиокардиальный. АСПУ из ПВА располагается преимущественно подэпикардиально, тогда АСПУ из системы ЛВА имеет более длинный интрамиокардиальный отдел. Диаметр АСПУ из систем ПВА и ЛВА, как правило, одинаков. Выявлена прямая корреляция между диаметром ПВА и отходившей от неё АСПУ.
ДОПОЛНИТЕЛЬНО
Источник финансирования. Авторы заявляют об отсутствии внешнего финансирования при проведении исследования.
Конфликт интересов. Авторы декларируют отсутствие явных и потенциальных конфликтов интересов, связанных с проведённым исследованием и публикацией настоящей статьи.
Вклад авторов. Авторы подтверждают соответствие своего авторства международным критериям ICMJE. Все авторы внесли существенный вклад в разработку концепции, проведение исследования и подготовку статьи, прочли и одобрили финальную версию перед публикацией. Наибольший вклад распределён следующим образом: А.А. Якимов — концепция и дизайн исследования, сбор и обработка материала (препарирование, морфометрия, изучение гистологических препаратов), статистическая обработка данных, анализ и интерпретация данных, написание текста; Е.Г. Дмитриева — концепция и дизайн исследования, сбор и обработка материала (препарирование, морфометрия, изготовление и изучение гистологических препаратов); А.А. Гапонов — сбор и обработка материала (препарирование, изучение гистологических препаратов); А.Г. Сухоросова — сбор и обработка материала (морфометрия анатомических препаратов), анализ и интерпретация данных, написание текста.
ADDITIONAL INFORMATION
Funding source. This study was not supported by any external sources of funding.
Competing interests. The authors declare that they have no competing interests.
Authors’ contribution. All authors confirm that their authorship meets the international ICMJE criteria. All authors have made a significant contribution to the development of the concept, research and preparation of the article, read and approved the final version before publication. A.A. Iakimov created the concept and design of the study, collected and processed the material, performed data statistical processing, analyzed and interpreted the data, and wrote the text. E.G. Dmitrieva created the concept and design of the study, collected and processed the material. A.A. Gaponov collected and processed the material. A.G. Sukhorosova collected and processed the material, performed data statistical processing, analyzed and interpreted the data, and wrote the text.
1 Периодизация Всемирной организации здравоохранения (2020).
2 Ближе по кровотоку к месту начала сосуда.
3 В источнике представлена фотография препарата с АСПУ, повреждённой при операции (рис. 4.22, с. 119).
About the authors
Andrei A. Iakimov
Ural State Medical University; Ural Federal University named after the First President of Russia B.N. Yeltsin
Author for correspondence.
Email: Ayakimov07@mail.ru
ORCID iD: 0000-0001-8267-2895
SPIN-code: 8618-2991
MD, Cand. Sci. (Med.), Associate Professor
Russian Federation, Ekaterinburg; EkaterinburgEugeniya G. Dmitrieva
Ural State Medical University; Ural Federal University named after the First President of Russia B.N. Yeltsin
Email: anmayak@mail.ru
ORCID iD: 0000-0002-2973-3481
SPIN-code: 7966-8133
Russian Federation, Ekaterinburg; Ekaterinburg
Anton A. Gaponov
Ural State Medical University; Ural Federal University named after the First President of Russia B.N. Yeltsin
Email: gagaponov@gmail.com
ORCID iD: 0000-0002-6681-7537
SPIN-code: 2841-6740
Russian Federation, Ekaterinburg; Ekaterinburg
Anna G. Sukhorosova
Ural State Medical University
Email: suhorosovaa@gmail.com
ORCID iD: 0000-0002-9850-9387
SPIN-code: 5135-1238
Russian Federation, Ekaterinburg
References
- https://www.who.int/ [Internet]. The top 10 causes of death. World Health Organization, 2020 [cited: 09.04.2023]. Available from: http://www.who.int/mediacentre/factsheets/fs310/en/
- Bokerija LA, Berishvili II. Hirurgicheskaja anatomija venechnyh arterij. Moscow: Nauchnyj centr serdechno-sosudistoj hirurgii im. A.N. Bakuleva RAMN; 2003. (In Russ.)
- Korobkeev AA, Sokolov VV. Morfometricheskaia kharakteristika tipov vetvleniia arteriĭ serdtsa cheloveka. Morphology. 2000;117(1):34–37. (In Russ).
- Hegazy MA, Mansour KS, Alzyat AM, et al. A systematic review on normal and abnormal anatomy of coronary arteries. Eur J Anat. 2022;26(3):355–368. doi: 10.52083/FDTA2953
- Loukas M, Groat C, Khangura R, et al. The normal and abnormal anatomy of the coronary arteries. Clin Anat. 2009;22(1):114–128. doi: 10.1002/ca.20761
- Vikse J, Henry B.M, Roy J, et al. Anatomical variations in the sinoatrial nodal artery: a meta-analysis and clinical considerations. PLoS One. 2016; 11(2):e0148331. doi: 10.1371/journal.pone.0148331
- Fal’kovskij GJe. Stroenie serdca i anatomicheskie osnovy ego funkcii. Moscow: Izdatel’stvo NC SSH im. A.N. Bakuleva RAMN; 2014. (In Russ.)
- Sokolov VV, Varegin MP. Anatomija sinusno-predserdnogo uzla i istochniki ego vaskuljarizacii u cheloveka. Arhiv anatomii, gistologii i jembriologii. 1990;98(6): 5–12. (In Russ).
- Anderson RH, Spicer DE, Hlavacek AM, et al. Wilcoxs surgical anatomy of the heart, 4th ed. Cambridge Univ Press; 2013.
- Ho SY, Sánchez-Quintana D. Anatomy and pathology of the sinus node. J Interv Card Electrophysiol. 2016;46(1):3–8. doi: 10.1007/s10840-015-0049-6
- Sokolov VV, Varegin MP, Evtushenko AV. Variant angioarchitectonics of the nodal structures of the conduction system in human heart and its importance in heart rate variability. Morfologiia (Saint Petersburg, Russia). 2002;121(2-3):146 (In Russ).
- Zatonskaya EV, Matyushin GV, Gogolashvili NG, Novgorodtseva NYa. Epidemiology of arrhythmias (literature review). Siberian medical review. 2016;3:5–16 (In Russ).
- Jensen PN, Gronroos NN, Chen LY, et al. Incidence of and risk factors for sick sinus syndrome in the general population. J Am Coll Cardiol. 2014;64(6):531–538. doi: 10.1016/j.jacc.2014.03.056
- Zhang LJ, Wang YZ, Huang W, et al. Anatomical investigation of the sinus node artery using dual-source computed tomography. Circ J. 2008;72(10):1615–1620. doi: 10.1253/circj.cj-08-0149
- Ozturk E, Saglam M, Bozlar U, et al. Arterial supply of the sinoatrial node: a CT coronary angiographic study. Int J Cardiovasc Imaging. 2011;27(4):619–627. doi: 10.1007/s10554-010-9705-1
- Nerantzis CE, Anninos H, Marianou SK, Pastromas S. The behavior of three types of large sinus node arteries with regard to the blood supply of the atrial myocardium. Surg Radiol Anat. 2021;43(3):311–316. doi: 10.1007/s00276-020-02621-5
- Berdajs D, Patonay L, Turina MI. The clinical anatomy of the sinus node artery. Ann Thorac Surg. 2003;76(3):732–735. doi: 10.1016/s0003-4975(03)00660-x
- Bokeriya LA, Makarenko VN, Yurpol’skaya LA, et al. Visualization of sinus node arteries by multislice spiral computed tomography coronary angiography. Journal of radiology and nuclear medicine. 2014;(1):19–22. (In Russ).
- Okmen AS, Okmen E. Sinoatrial node artery arising from posterolateral branch of right coronary artery: definition by screening consecutive 1500 coronary angiographies. Anadolu Kardiyol Derg. 2009;9(6):481–485.
- Nerantzis CE, Koulouris S, Pastromas S. Sinus node artery originating from the posterior part of the right coronary artery. Surg Radiol Anat. 2011;33(4):373–375. doi: 10.1007/s00276-010-0717-2
- Cabrera JA, Ho SY, Climent V, Sánchez-Quintana D. The architecture of the left lateral atrial wall: a particular anatomic region with implications for ablation of atrial fibrillation. Eur Heart J. 2008;29(3):356–362. doi: 10.1093/eurheartj/ehm606
- Shimotakahara R, Shimada K, Kodama K. Anatomical study on the sinuatrial nodal branch in the human coronary artery. Anat Sci Int. 2014;89(2):79–84. doi: 10.1007/s12565-013-0202-1
Supplementary files






