Morphological features of basal laminas of enteral nervous system structures in chronic slow transit constipation
- Authors: Chumasov E.I.1,2, Maistrenko N.A.3, Romashchenko P.N.3, Samedov V.B.3, Petrova E.S.1, Korzhevskii D.E.1
-
Affiliations:
- Institute of Experimental Medicine
- Saint Petersburg State University of Veterinary Medicine
- S. M. Kirov Military Medical Academy
- Issue: Vol 160, No 4 (2022)
- Pages: 225-238
- Section: Original Study Articles
- Submitted: 07.07.2023
- Accepted: 20.09.2023
- Published: 15.10.2022
- URL: https://j-morphology.com/1026-3543/article/view/532709
- DOI: https://doi.org/10.17816/morph.532709
- ID: 532709
Cite item
Full Text
Abstract
BACKGROUND: Studies on basal laminas in the tissues of the enteric nervous system are few and are carried out on experimental models in vivo and in vitro, performed on animals. The morphological features of the structure and localization of BL, their cellular sources of origin in various tissues of the gastrointestinal tract in normal and pathological conditions remain poorly studied.
AIM: Study of morphological features and distribution of basal laminas in human colon tissues and their changes in pathology.
MATERIALS AND METHODS: Fragments of the large intestine, obtained as a result of surgery for chronic slow-transit constipation, performed in S. M. Kirov Military Medical Academy were studied. The selective marker of basal laminas, type IV collagen, as well as neuronal and glial immunohistochemical markers (PGP 9.5, GFAP, S100â proteins) were used in the work
RESULTS: It has been shown that the greatest immunoreactivity within the intestinal wall is observed in the myenteric membrane, weak — in the vessels of the submucosa, locally expressed — in the subepithelial region of the mucous membrane (in the upper sections of the crypts). In smooth muscle, basal laminas were found around the smooth muscle cells of the longitudinal and concentric layers of the muscular membrane, mucous membrane, veins and arteries, as well as in the endothelium. It has been shown that the ganglionic Auerbach’s plexus is delimited from closely adjacent muscle layers of a continuous basal lamina, similar to the basal plate (glia limitans) of the brain and spinal cord of the CNS. It is clearly defined by its appearance — it has the form of a continuous hollow tubular structure. The sources of the formation of the basal plate around the ganglia of Auerbach and Meissner’s plexuses are various glial elements: in the first plexus, astrocyte-like and non-myelinated Schwann cells (both types located in the neuropil), and in the second plexus, glia of the autonomic nervous system (satellite cells of neurons and neurolemmocytes of postganglionic nerve fibers).
CONCLUSIONS: For the first time, the transition of basal lamina from the Auerbach’s plexus to numerous basal plates of neurolemmocytes of the Remakov fibers of the main terminal nerve plexus, which are involved in the innervation of the smooth muscle cells of the muscular membrane, is shown. Signs of dystrophic changes in the basal lamina structure associated with pathological changes in chronic slow transit constipation (tissue edema, inflammatory reactions, manifestations of agangliosis, gliosis, focal denervation of muscle cells, degeneration of nerve endings of neuromuscular and ganglionic plexuses) are shown in the work.
Full Text
ОБОСНОВАНИЕ
Базальные мембраны (БМ) — специализированные гистологические неклеточные структуры, производные не только эпителиальных клеток, но и клеток различного генеза, выполняющие функции диффузионного барьера. Наличие БМ характерно для всех видов эпителиев, эндотелиев, кровеносных сосудов, гладких миоцитов мышечных волокон поперечно-полосатой мускулатуры, кардиомиоцитов, астроцитов, шванновских клеток, клеток периневральных оболочек ганглиев, нервных стволов и пучков, а также других структур [1–4]. Основными компонентами БМ являются следующие белки: коллаген IV типа, ламинин, гепарансульфат-протеогликаны, фибронектин, энтактин (нидоген). Достаточно хорошо представлены данные о тонкой структуре БМ, полученные с помощью иммуногистохимии, трансмиссионной и сканирующей электронной микроскопии [1, 5]. В БМ (толщиной от 40 до 50 нм и более) выделяют два слоя — светлый и тёмный. Один (lamina lucida) прилежит непосредственно к плазмалемме, другой (тёмный, lamina densa) — находится на периферии. В литературе используются различные термины для обозначения базальных мембран — БМ, «базальная ламина» (БЛ) или «базальная пластинка» (БП) [6]. Функции БМ многочисленны. Они участвуют в формировании полудесмосом, являются «фильтром» для внеклеточных жидкостей, обладают селективной проницаемостью, служат препятствием для чужеродных микрочастиц, погибших клеток и микробов. С другой стороны, БМ способствуют проникновению биологически активных веществ, находящихся в интерстиции: гормонов, факторов роста, нейромедиаторов, цитокинов и др. Содержащиеся в БМ белки (протеогликаны, коллаген, ламинин), обладая антигенными свойствами, могут быть использованы в качестве маркёра БМ. В последние годы коллаген IV типа часто используют в качестве иммуногистохимического маркёра для исследования БМ в различных тканях в норме и при патологии [7].
Одной из основных функций БМ служит участие в процессах морфо-, органо-, гисто- и цитогенеза. Отмечено их значение для развития тканей, специализации и цитодифференцировки клеток [2]. Ламинин служит сигналом, направляющим «конусы роста» в процессах органо- и гистогенеза. Имеются данные о том, что БМ играют существенную роль в миграции развивающихся нейронов и в формировании нейроглиальных взаимоотношений в центральной (ЦНС) и периферической нервной системе [8]. Наименее изучены БМ в структурах автономной нервной системы (АНС). В конце прошлого века академиком А. Д. Ноздрачёвым описаны особенности одного из отделов АНС — метасимпатической нервной системы, в частности её энтеральной части [4]. Термин «enteric system» был введён английским гистологом и физиологом Д. Ленгли [4]. Энтеральная нервная система (ЭНС) включает в себя Ауэбахово и Мейсснерово сплетения, иннервирующие стенки органов желудочно-кишечного тракта. Работы, посвящённые исследованию БМ ЭНС, немногочисленны. Большинство из них проводятся на экспериментальных моделях in vivо и in vitro и выполнены на животных [5, 8, 9]. По-прежнему остаются недостаточно изученными особенности строения БМ, их клеточные источники в различных тканях ЖКТ в норме и при патологии.
Цель исследования — изучить особенности строения и распределения базальных мембран в тканях стенки толстой кишки человека и их изменений при хроническом медленно-транзитном запоре.
МАТЕРИАЛЫ И МЕТОДЫ
Дизайн исследования
Работа выполнена на резекционном материале, полученном на кафедре факультетской хирургии имени С. П. Фёдорова Военно-медицинской академии имени С. М. Кирова. С помощью иммуногистохимических методов (ИГХ-методов) исследовали фрагменты сигмовидной ободочной кишки, полученные в результате оперативного вмешательства по поводу хронического медленно-транзитного запора (ХМТЗ).
Условия проведения
Центры, принявшие участие в исследовании: Федеральное государственное бюджетное научное учреждение «Институт экспериментальной медицины», Федеральное государственное бюджетное военное образовательное учреждение высшего образования Военно-медицинская академия имени С. М. Кирова.
Продолжительность исследования
Работа велась в течение двух лет: в первый год проводили сбор материала, во второй — изготовление препаратов, анализ.
Описание медицинского вмешательства
Объектом исследования послужили фрагменты сигмовидной ободочной кишки, полученные на кафедре факультетской хирургии им. С. П. Фёдорова Военно-медицинской академии имени С. М. Кирова в результате оперативного вмешательства по поводу ХМТЗ (три случая, женщины в возрасте 37–40 лет).
Материал фиксировали в растворе цинк-этанол-формальдегида [10]. После обезвоживания в спиртах возрастающей концентрации и ксилоле материал заливали в парафин и изготавливали срезы толщиной 5 мкм. ИГХ-реакции проводили на парафиновых срезах. Для иммуноцитохимического выявления белка PGP 9.5 применяли поликлональные кроличьи антитела (Spring Bioscience, США). Для исследования клеток глии периферической нервной системы проводили ИГХ-реакции на белок S100â и глиальный фибриллярный кислый белок (GFAP). В качестве первичных антител использовали кроличьи поликлональные антитела к белку S100â (Dako, Дания), для выявления GFAP — моноклональные мышиные антитела (клон SPM 507) (Spring Bioscience, США). Для выявления БМ использовали антитела к коллагену IV типа. В качестве вторичных реагентов применяли реактивы из набора Reveal Polyvalent HRP DAB Detection System (Spring Bioscience, США). Часть препаратов докрашивали толуидиновым синим по Нисслю и гематоксилином.
Для осуществления негативного контроля ИГХ-реакций на часть срезов вместо первичных антител наносили их разбавитель (Dako, Дания). Анализ гистологических препаратов осуществляли с помощью микроскопа Leica DM750 (Leica Microsystems, Германия) и цифровой камеры Leica ICC50 (Leica Microsystems, Германия).
Основной исход исследования
С помощью ИГХ-реакции на коллаген IV установлено, что наибольшая плотность иммунореактивных структур в толстой кишке человека наблюдается в миентеральной оболочке, слабая — в сосудистом сплетении подслизистой оболочки и локально выраженная — в субэпителиальной области слизистой оболочки (в верхних отделах крипт). Впервые описаны участки перехода БП (сходной с glia limitans ЦНС) с поверхности ганглиев Ауэрбахова сплетения в густую узкопетлистую сеть БМ нейролеммоцитов ремаковских волокон (безмиелиновых симпатических волокон). Установлены морфологические признаки нарушений структуры БМ, отмечено, что бóльшая часть БМ, описанных при ХМТЗ, имеют типичное строение, поэтому полученный материал может быть использован для общегистологического анализа БМ толстой кишки человека.
Этическая экспертиза
Исследование одобрено Локальным этическим комитетом Федерального государственного бюджетного учреждения «Институт экспериментальной медицины» (протокол № 2/22 от 06.04.2022).
РЕЗУЛЬТАТЫ
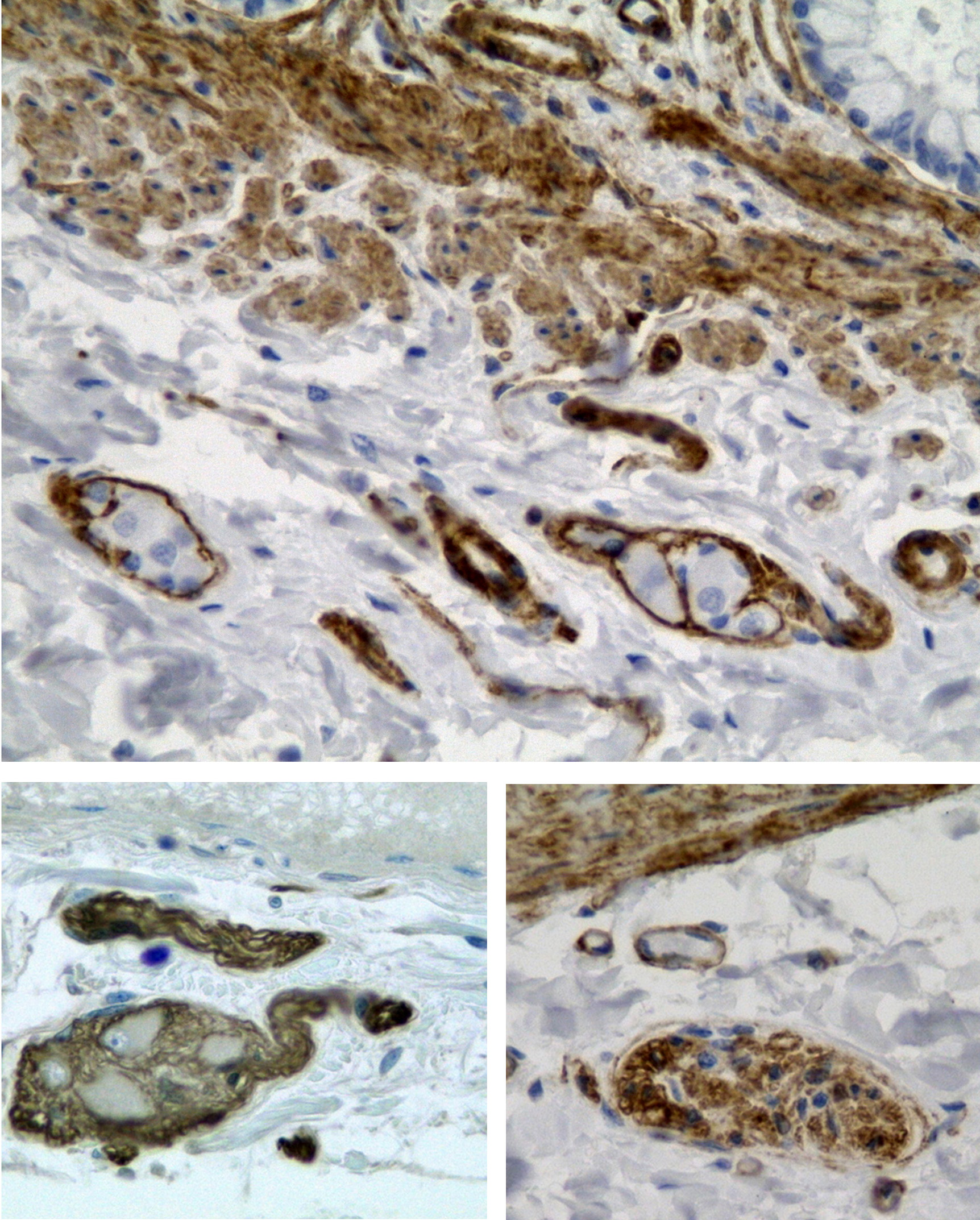
Иммунопозитивные структуры, выявленные с помощью реакции на коллаген IV, были обнаружены в различных тканях стенки кишки. ИГХ-реакцию тёмно-коричневого цвета выявляли в продольном и круговом слоях мышечной оболочки, в мышечной пластинке слизистой оболочки, вокруг вен и артерий, а также в эндотелии различных кровеносных сосудов. При малых увеличениях микроскопа видно, что наибольшее количество коллаген IV-имунопозитивных БМ концентрируется в мышечной оболочке (рис. 1, a, b). Это связано с массой гладких миоцитов (ГМ) мышечной оболочки кишки, каждый из которых окружён БМ, иммунопозитивной к коллагену IV.
На поперечных срезах, проходящих через кишечную стенку, видно, что БМ ГМ продольного слоя имеют вид параллельных тубулярных, а в круговом слое — кольцевидных структур (рис. 1, c, d).
Отчётливо проявляются БМ также в двух основных нервных сплетениях: Ауэрбаховом и Мейсснеровом, вокруг их ганглиев, межганглионарных нервных стволиков и пучков. Ауэрбахово ганглиозное сплетение, расположенное между продольным и круговым слоями мышечной оболочки, чётко идентифицируется на фоне массы ГМ. Оно представлено светлыми полыми трубчатыми образованиями диаметром от 0,5 до 150 мкм и прослеживается на значительном расстоянии в пределах среза (см. рис. 1, а). Внутри самих ганглиев видны только окрашивающиеся гематоксилином ядра клеток (см. рис. 1, c, d). Клеточные элементы с крупными сферическими ядрами являются нейронами, а с мелкими, слегка удлинёнными, гиперхромными, интенсивно окрашенными в синий цвет ядрами — глиальные клетками. Как известно, по структурной организации нейропиль ганглиев Ауэрбахова сплетения имеет сходство с ЦНС и состоит из плотно упакованных отростков нервных и глиальных клеток, многочисленных синаптических структур, которые данным методом не определяются.
Ганглии Ауэбахова сплетения окружены хорошо контурированной, коричневого цвета, равномерной по толщине БМ (см. рис. 1). В дальнейшем мы будем её обозначать как БП Ауэрбахова сплетения.
В одних случаях можно видеть непрерывный ход БЛ вокруг цепочек ганглиев, в других — вокруг межганглионарных ветвей, в третьих — в местах их ветвления или перекрёста. В последнем случае они выглядят как близко прилежащие друг к другу скопления кольцеобразных структур (см. рис. 1, b).
Рис. 1. Общий вид межмышечного ганглиозного сплетения в стенке сигмовидной ободочной кишки (a) и его фрагменты (b–d). ПМ — продольный и КМ — круговой мышечные слои; ГА — ганглии Ауэрбахова сплетения; чёрные стрелки — гладкие миоциты на поперечных и продольных срезах; красные стрелки — базальная пластинка вокруг ганглиев; БМА — базальные мембраны артериолы; А — артериола. Иммуногистохимическая реакция на коллаген IV типа; подкраска гематоксилином; ×100 (a); ×400 (b–d).
Fig. 1. General view of the intermuscular ganglionic plexus in the wall of the sigmoid colon (a) and its fragments (b–d). ПМ — longitudinal and КМ — concentric muscle layers; ГА — ganglia of the Auerbach plexus; black arrows — smooth muscle cells in transverse and longitudinal sections; red arrows — basal plate around the ganglia; БМA — basement membranes of arterioles; A — arteriole. Immunohistochemical reaction to type IV collagen; hematoxylin staining; ×100 (a); ×400 (b–d).
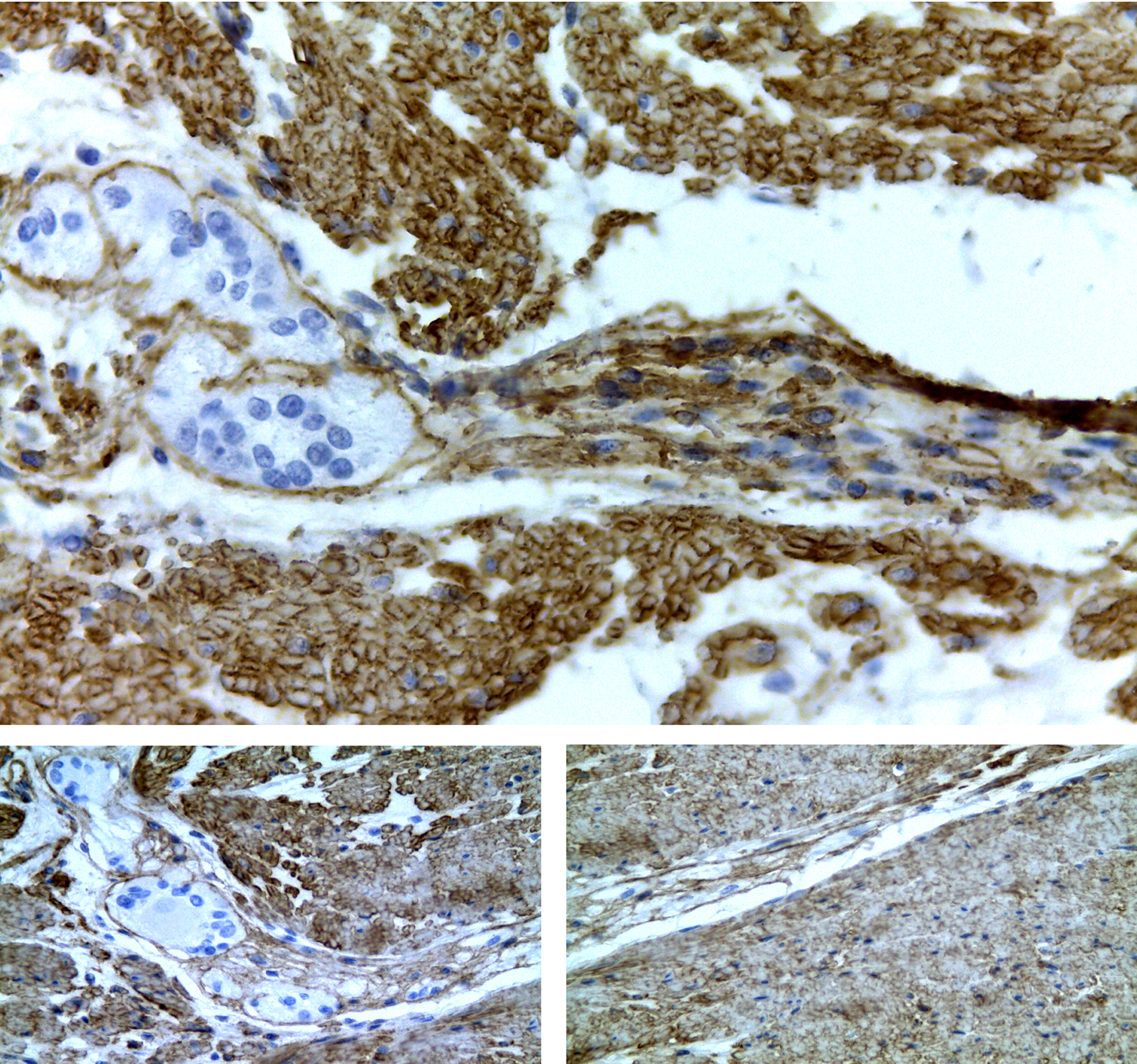
Для выяснения клеточной принадлежности БМ Ауэрбахова и Мейсснерова сплетений, безмиелиновые аксоны которых иннервируют различные ткани всех трёх оболочек кишечной стенки, применяли ИГХ-методы. Используя ИГХ-реакцию на белок PGP 9.5, мы нередко встречали места выхода пучков нервных волокон из Ауэрбахова ганглиозного сплетения непосредственно в мышечную ткань и наблюдали образование в ней узкопетлистой терминальной сети мионевральных синапсов (рис. 2, а).
Рис. 2. Клеточная организация ганглиев Ауэрбахова сплетения: а — о бщий вид; b — п оперечный срез межганглионарного стволика; c — нейролеммоциты (клетки с тёмными ядрами); d — а строцитоподобные глиальные клетки; e — Б Л вокруг ган- глия; ГА — г англий Ауэрбахова сплетения; ↑↑ — т яжи ремаковских волокон терминального сплетения, выходящие из ганглия в мышцы; звёздочками обозначены нейроны. Иммуногистохимические реакции на белок PGP 9.5 (а), белок S100β (b, c), GFAP (d), коллаген IV (e). Окраска толуидином синим; ×400.
Fig. 2. Cellular organization of the ganglia of the Auerbach plexus: a — general view; b — transverse section of the interganglionic trunk; c — neurolemmocytes (cells with dark nuclei); d — astrocyte-like glial cells; e — BL around the ganglion; ГА — ganglion of the Auerbach plexus; ↑↑ — Remakov’s fibers of the terminal plexus, emerging from the ganglion into the muscles; asterisks indicate neurons. Immunohistochemical reactions to PGP 9.5 protein (a), S100â protein (b, c), GFAP (d), collagen IV (e). Toluidine blue staining; ×400.
Сравнительный анализ глиальных элементов ганглиозных сплетений ЭНС с помощью ИГХ-маркёров (белка S100â и GFAP) показал, что глия Ауэрбахова сплетения (рис. 2, с) представлена двумя типами клеток: GFAP+ астроцитоподобными клетками и S100â+ нейролеммоцитами, сходными с глией вегетативной нервной системы (см. рис. 2, c; рис. 2, d). На рисунке можно видеть, как из ганглия в продольный и круговой слои мышечной оболочки стенки кишки выходят ветви узкопетлистой сети варикозных аксонов основного терминального нервного сплетения. В мышечной оболочке они формируют терминальную сеть мионевральных синапсов дистантного типа — en passant.
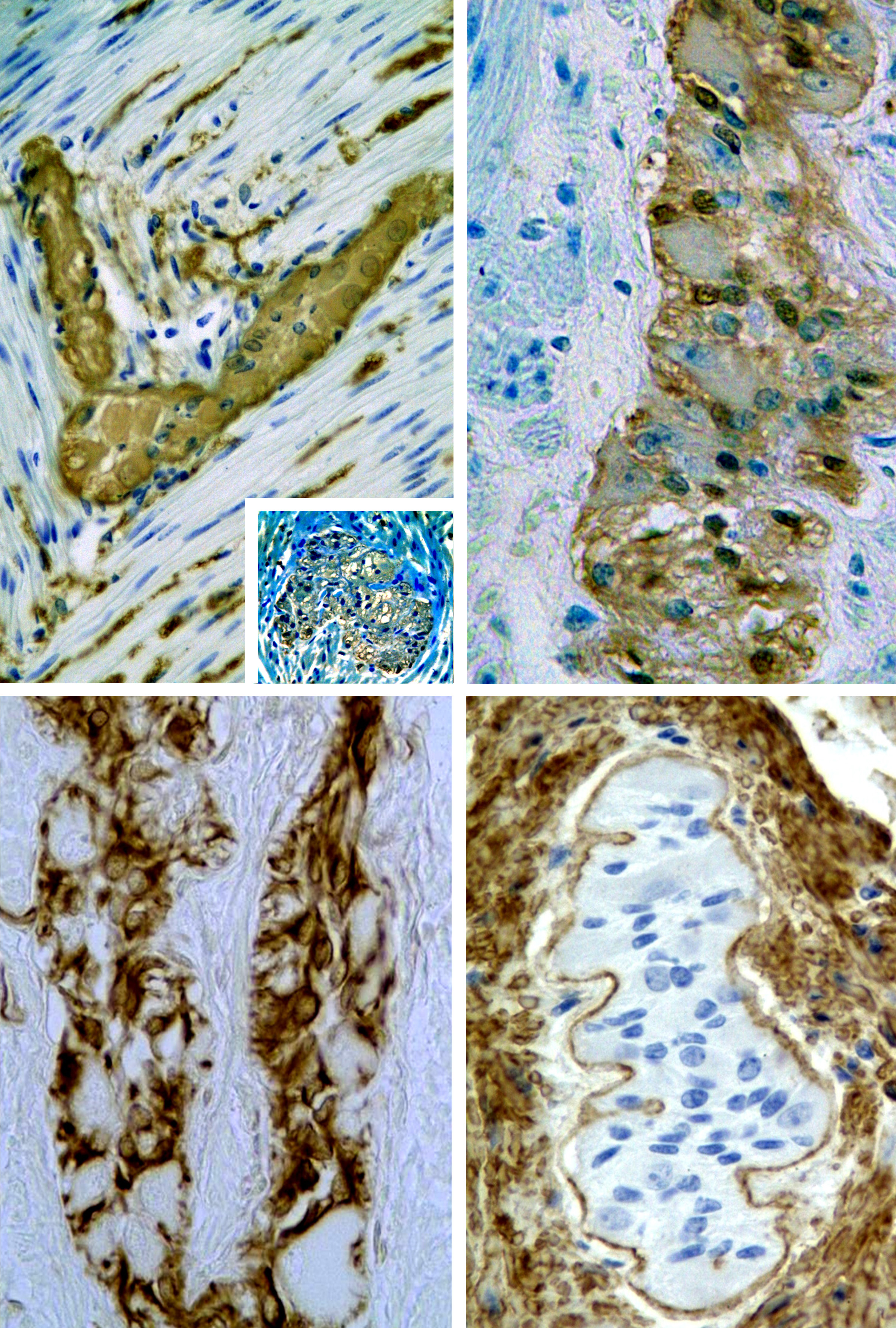
Мы исследовали выходящие пучки постганглионарных аксонов из ганглиозного сплетения в окружающую мышечную ткань вплоть до образования ремаковских волокон основной терминальной сети (см. рис. 2, а; рис. 3).
Рис. 3. Место перехода БЛ glia limitans ганглия Ауэрбахова сплетения в БМ вегетативных нервных волокон: а — м ежганглионар- ный нервный стволик (МНС); b и c — ф рагменты пучков основного нервного сплетения, состоящего из ремаковских нервных во- локон в мышцах; d — с хема места перехода БЛ ганглия в БМ нейролеммоцитов: 1 — базальная пластинка ганглия; 2 — б азальная мембрана нейролеммоцитов; 3 — н ейролеммоциты; 4 — р емаковские нервные волокна; 5 — н ейропиль ганглия; 6 — а строци- топодобная глия; 7 — н ейрон; 8 — м ышцы. М — м ышцы; ГА — г англий; ↑↑ — Б М, образованные нейролеммоцитами межган- глионарного нервного стволика; звёздочками обозначены о чаги дегенерации ГМ. Иммуногистохимическая реакция на коллаген IV, подкраска гематоксилином (а–c); ×400 (а–c).
Fig. 3. Place of transition of the basal lamina glia limitans of the ganglion of Auerbach’s plexus into the basal membranes of autonomic nerve fibers: a — interganglionic nerve trunk (МНС); b and c — fragments of the main nerve plexus, consisting of Remakov’s nerve fibers in the muscles; d — scheme of the place of transition of the basal lamina of the ganglion into the basal membranes of neurolemmocytes: 1 — basal plate of the ganglion; 2 — basement membrane of neurolemmocytes; 3 — neurolemmocytes; 4 — Remakov nerve fibers; 5 — ganglion neuropil; 6 — astrocyte-like glia; 7 — neuron; 8 — muscles. M — muscles; ГА — ganglion; ↑↑ — basal membranes formed by neurolemmocytes of the interganglionic nerve trunk; asterisks indicate places of smooth muscle cells degeneration. Immunohistochemical reaction to collagen IV, hematoxylin staining (а–c); ×400 (а–c).
Используя ИГХ-реакцию на коллаген IV, при больших увеличениях выявили участки перехода БЛ (glia limitans) ганглиев в БМ нервных волокон, иннервирующих мышцы. На рисунке видно, что базальная пластинка, окружающая ганглий, в области выхода из него многочисленных пучков постганглионарных аксонов переходит в БМ многочисленных нейролеммоцитов ремаковских тяжей основного терминального сплетения. БЛ, располагающаяся на поверхности ганглия, продолжается в межганглионарном стволике, находящемся вне ганглия. В стволике различаются следующие параллельно клеточно-волокнистые тяжи. Ядра глиальных клеток в стволике, окрашенные гематоксилином в синий цвет, имеют палочковидную форму, располагаются в виде цепочки, в некоторых местах вокруг них определяется светло-серая цитоплазма. По морфологическим признакам и цитоархитектонике они сходны с постганглионарными нервными пучками и тяжами волокон АНС.
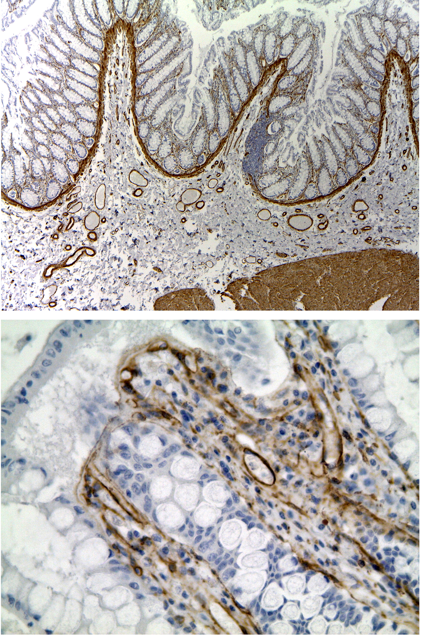
Высокой иммунореактивностью обладают структуры БМ также в Мейсснеровом сплетении. Микроганглии Мейсснерова сплетения, в отличие от ганглиев Ауэбахова сплетения, находятся не среди мышечной, а среди рыхлой соединительной ткани подслизистой основы и окружены пучками коллагеновых волокон. Нейроциты микроганглиев и межганглионарные пучки аксонов Мейсснерова сплетения тесно связаны с S100â+ иммунореактивными клетками: капсульными глиоцитами и нейролеммоцитами. БМ этих клеток селективно выявляются с помощью ИГХ-реакции на коллаген IV. Внутри ганглиев они наблюдаются в глиальной капсуле в нервных сплетениях — вокруг нейролеммоцитов, а также в составе клеток периневральной оболочки (рис. 4).
Рис. 4. Общий вид (а) и фрагменты (b, c) нервных структур Мейсснерова сплетения. МГ — м икроганглии; М — м ышца собственной пластинки; Ст — с оединительная ткань подслизистой оболочки; П — п ериневрий; C — к ровеносные сосуды; КР — о снование крипты. Иммуногистохимическая реакция на белок S100β (a, c) и коллаген IV (b); ×400.
Fig. 4. General view (a) and fragments (b, c) of the nerve structures of the Meissner plexus. МГ — microganglia; M — muscle of its own plate; Ст — connective tissue of the submucosa; П — perineurium; C — blood vessels; КР — the basis of the crypt. Immunohistochemical reaction to S100â protein (a, c) and collagen IV (b); ×400.
Наличие БМ обнаружено также в подслизистой основе и слизистой оболочке. С помощью ИГХ-реакции на коллаген IV они избирательно выявляются в эндотелии крупных, средних и мелких артериальных и венозных сосудов подслизистой оболочки (рис. 5). В сосудистом слое подслизистой оболочки иммунореактивные БМ отчётливо проявляются вокруг ГМ и под эндотелием многочисленных, различного диаметра собирательных венозных сосудов, в редких артериолах и лимфатических сосудах (см. рис. 5).
Рис. 5. Базальные мембраны в тканях слизистой и подслизистой оболочек сигмовидной ободочной кишки: a — о бщий вид; b — фрагмент распределения коллаген IV-иммунореактивных структур в СО. Эп — э пителий; БЭ — б елковый экссудат в субэпители- альной области; Бк — б окаловидные клетки; Л — л имфоидная ткань; ↑ — с убэпителиальная БМ, отторгнутая от эпителия из-за экссудативного отёка; С — с осудистый слой; М — м ышцы; ИЛ — л ейкоцитарные инфильтраты; К — к рипты, в которых видны элементы БМ эндотелия капилляров и вен, ГМ и нейролеммоцитов волокон ремаковского типа. Иммуногистохимическая реакция на на коллаген IV; окраска гематоксилином; ×100 (а); ×400 (b).
Fig. 5. Basal membranes in the tissues of the mucosa and submucosa of the sigmoid colon. a — general view; b — a fragment of the distribution of collagen IV-immunoreactive structures in the mucosa. Эп — epithelium; БЭ — protein exudate in the subepithelial region; Бк — goblet cells; Л — lymphoid tissue; ↑ — subepithelial basement membrane torn away from the epithelium due to exudative edema; C — vascular layer; M — muscles; Ил — leukocyte infiltrates; KР — crypts, in which elements of the basement membranes of the endothelium of capillaries and veins, smooth muscle cells and neurolemmocytes of Remakov type fibers are visible. Immunohistochemical reaction to collagen IV; hematoxylin staining; ×100 (a); ×400 (b).
В стенке кишки человека при ХМТЗ наблюдается ряд структурных изменений. В некоторых участках ганглиев наряду с сохранившимися нейронами встречаются погибшие и патологически изменённые нервные клетки. Часть варикозных аксонов находится в состоянии зернистого распада. У пациентов с ХМТЗ симпатическая иннервация в слизистой оболочке практически отсутствует. Количество и локализация глиальных клеток в ганглиях сильно варьируют. В некоторых ганглиях эти клетки расположены разреженно или вблизи нервных клеток. В ганглиях с патологически изменёнными нейронами наблюдается выраженный глиоз. В мышечной оболочке стенки кишки отмечается наличие большого числа глиальных клеток. Следует отметить, что в слизистой оболочке стенки кишки определяется выраженное представительство БМ: в одних криптах иммунореактивные БМ отчётливо прослеживаются на большом протяжении непосредственно под эпителием; в других нередко встречается патологическое отслоение БМ от плазмалеммы энтероцитов в результате экссудативного отёка и лейкоцитарной инфильтрации субэпителиальных пространств слизистой оболочки (рис. 5, b). В собственной соединительнотканной пластинке иммунореактивные признаки БМ встречаются в виде обрывочных фрагментов и принадлежат, по нашему мнению, к различным тканевым и клеточным структурам. Наиболее отчётливо определяются поперечные и продольные контуры эндотелиальной выстилки различного диаметра капиллярной сети сосудов, одиночных ГМ и пучков ГМ. Часть фрагментов и профилей БМ в слизистой оболочке кишки принадлежит нейролеммоцитам терминальной сети ремаковских тяжей варикозных аксонов.
Были выявлены изменения БЛ вокруг ганглиозных Ауэрбаховых сплетений. Эти изменения проявлялись её истончением, ослаблением иммунореактивности, интенсивности окраски, утратой контрастности и нарушением равномерности и плотности белок-связанных ИГХ-преципитатов, связанных с плазмолеммой глиальных клеток.
Более тяжёлые патологические изменения отмечены со стороны БМ гладкомышечных клеток продольного и кругового слоёв миентеральной оболочки. В этих слоях нередко встречаются слабо окрашенные очаговые скопления ГМ с ослабленной иммунной контрастностью, а также коллаген IV-иммунонегативные гладкие миоциты с сильно изменённой формой ядер и цитоплазмы (рис. 3, b, c). У большинства таких клеток БМ не выявлялись. Чаще всего очаговые скопления патологически изменённых ГМ встречаются в круговом слое мышечной оболочки. Бóльшая часть БМ, описанных при ХМТЗ, имеют типичное строение, поэтому полученный материал может быть использован для общегистологического анализа БМ толстой кишки человека.
ОБСУЖДЕНИЕ
Резюме основного результата исследования
Впервые исследованы морфологические особенности и распределение базальных мембран в тканях толстой кишки человека при ХМТЗ и описаны их изменения при патологии.
Обсуждение основного результата исследования
Накопилось достаточно большое число работ, выполненных с помощью электронной микроскопии и ИГХ-методов, свидетельствующих о необычности строения, функциях и эволюционном развитии ганглиозных сплетений энтеральной нервной системы [11–15]. Найдено сходство строения тканей ЭНС, с одной стороны, с головным и спинным мозгом позвоночных, с другой — с «брюшным мозгом» или «нервной цепочкой» группы филогенетически древних беспозвоночных животных — кольчатых червей (Polychaeta). Одни авторы называют Ауэрбахово и Мейсснерово сплетения «первичным мозгом» [15], другие — «вторичным мозгом» [14, 16]. В работах прошлого века и в исследованиях последних лет, выполненных с помощью электронной микроскопии и морфометрии, подчеркивается сходство ганглиев Ауэрбахова сплетения с мозгом (с ЦНС) [9, 11, 14, 15]. Во-первых, это касается особенностей нейропиля, в котором наблюдается тесная связь отростков нервных и глиальных клеток. Во-вторых, в нейропиле отсутствуют кровеносные сосуды и соединительно-тканные элементы. В-третьих (что важно для настоящего исследования) по всему периметру ганглиозное сплетение окружено непрерывным слоем БМ.
Следует отметить, что Мейсснерово (подслизистое) сплетение, в отличие от Ауэрбахова, построено по типу интрамуральных ганглиев АНС [17–21]. Предполагается, что его афферентные нейроны участвуют в иннервации сосудов подслизистой и слизистой оболочек и железистого компонента крипт, а также в регуляции иммуновоспалительных реакций в собственной пластинке слизистой оболочки. Глиоциты Мейсснерова сплетения сходны с глией АНС [21].
Учитывая, что в ЭНС имеется представительство структур, сходных как с ЦНС, так и с АНС, в настоящем исследовании было важно проследить участки перехода их БМ. Выяснилось, что вокруг миентерального ганглия хорошо определяется окрашенная в тёмно-коричневый цвет коллаген IV-иммунопозитивная БЛ, которая, по нашему мнению, является производной астроцитоподобных клеток и по строению сходна с glia limitans ЦНС. С поверхности ганглия БЛ переходит на межганглионарный стволик через пограничную область двух тканей. Нами показан переход БМ из нейропиля ганглия в периферический нервный стволик, состоящий из ремаковских волокон и нейролеммоцитов. Нейролеммоциты (или шванновские клетки безмиелиновых волокон), по данным электронно-микроскопических исследований [9, 11, 13, 21], обнаружены не только в ганглиях Ауэрбахова сплетения, но и в нейроглиальных ремаковских тяжах, состоящих из пакетов многочисленных (от 10 до 100) тончайших варикозных аксонов терминальных нейромышечных синаптических сетей. Их нейролеммоциты окружены собственной БМ. Основное терминальное нейромышечное сплетение, как известно, принимает участие в иннервации ГМ всех трёх оболочек стенки кишки, сосудов, желёз и крипт. К сожалению, тонкие взаимоотношения БМ нейролеммоцитов с БМ эндотелия капилляров и ГМ в интерстиции продольного и кругового слоёв мышц на светооптическом уровне проследить оказалось затруднительно (см. рис. 3).
При исследованной патологии кишки (ХМТЗ) нами отмечено, что БМ претерпевают изменения. Ранее было показано, что при патологии кишки, в частности при болезни Гиршпрунга, БМ могут подвергаться значительным изменениям: в них наблюдаются многослойность, нерегулярные утолщения, складчатость, извилистость, редупликация [21, 22]. Имеются единичные работы, представляющие собой модельные эксперименты, в которых отмечено разрушение БМ при ХМТЗ [23].
В настоящей работе при исследовании кишки больных ХМТЗ мы не наблюдали столь выраженных аномальных нарушений БМ ЭНС, как описано при болезни Гиршпрунга [12]. Выявленные нами изменения БП вокруг ганглиозных сплетений ЭНС ограничивались её истончением, ослаблением иммунореактивности, нарушением равномерности и плотности белок-связанных ИГХ-преципитатов, связанных с плазмолеммой глиальных клеток. Перечисленные нарушения, по нашему мнению, следует отнести к дистрофическим.
Более тяжёлые патологические изменения отмечены нами со стороны БМ мышечных клеток продольного и кругового слоёв мышечной оболочки кишки. У большинства таких клеток БМ не выявлялись. Установлено, что чаще очаговые скопления патологически изменённых ГМ встречаются в круговом слое мышечной оболочки. Полное отсутствие БМ вокруг ГМ свидетельствует о дегенерации гладких миоцитов. Однако этот вопрос требует специального изучения. Причины изменений БМ могут быть связаны с отёком тканей, воспалительными процессами, нейродегенерацией и массовой гибелью нейронов и глии в ганглиях и межганглионарных стволах исследованных сегментов кишки. Эти патогистологические проявления в стенке кишки больных ХМТЗ более подробно описаны нами в предыдущих работах [24].
В настоящем исследовании выявлены различия в распределении БМ вокруг нервных структур Ауэрбахова и Мейсснерова сплетений. Для первого характерно наличие базальной пластинки, которая окружает снаружи все элементы нейропиля ганглиев и межганглионарных ветвей, подобно glia limitans ЦНС, в то время как структурные элементы Мейсснерова сплетения (тела нейронов микроганглиев, межганглионарные пучки, слои периневральных клеток, а также тяжи ремаковских волокон терминальной синаптической сети крипт) полностью или частично окружены собственными БМ глиальных клеток (нейролеммоцитов) АНС [12, 25]. Это подтверждает гипотезу о различной структурной организации, функциях и происхождении разных популяций глиальных клеток ЭНС.
ЗАКЛЮЧЕНИЕ
С помощью иммуногистохимической реакции на коллаген IV установлено, что наибольшая плотность иммунореактивных структур наблюдается в мышечной оболочке, слабая — в сосудистом сплетении подслизистой основы и локально выраженная — в субэпителиальной области слизистой оболочки. Показано, что все структуры Ауэрбахова сплетения (ганглии и межганглионарные стволики) отграничены от окружающих тканей единой, непрерывной БМ, сходной с таковой (glia limitans) головного и спинного мозга ЦНС. Источником образования базальной пластинки нейропиля Ауэрбахова сплетения служат цитоплазматические отростки или ножки астроцитоподобных глиоцитов, а структур Мейсснерова сплетения (микроганглиев, нервных стволиков и пучков) — нейролеммоциты. Впервые описаны участки перехода базальной пластинки (сходной с glia limitans ЦНС) с поверхности ганглиев Ауэрбахова сплетения в базальную мембрану нейролеммоцитов ремаковских волокон. Установлены морфологические признаки нарушений структуры базальной мембраны. Результаты сравнительного анализа показывают, что указанные изменения базальной мембраны коррелируют с тканевыми патологическими изменениями: отёком тканей, очагами аганглиоза и глиоза, дегенерацией тканей, дегенерацией гладких миоцитов мышечной оболочки.
ДОПОЛНИТЕЛЬНО
Источник финансирования. Исследование выполнено в рамках государственного задания Института экспериментальной медицины.
Конфликт интересов. Авторы декларируют отсутствие явных и потенциальных конфликтов интересов, связанных с публикацией настоящей статьи.
Вклад авторов. Все авторы подтверждают соответствие своего авторства международным критериям ICMJE (все авторы внесли существенный вклад в разработку концепции, проведение исследования и подготовку статьи, прочли и одобрили финальную версию перед публикацией). Наибольший вклад распределён следующим образом: Е. И. Чумасов — концепция и дизайн исследования, анализ материала, анализ литературных источников, написание и редактирование статьи; Н. А. Майстренко — написание текста, редактирование статьи; П. Н. Ромащенко — хирургическое лечение пациента, написание статьи; В. Б. Самедов — хирургическое лечение пациентов, сбор и анализ литературных источников, подготовка и написание текста статьи, обзор литературы; Е. С. Петрова — гистологическая обработка материала, постановка иммуногистохимических реакций; подготовка и написание текста статьи; Д. Э. Коржевский — написание текста статьи, редактирование статьи.
ADDITIONAL INFORMATION
Funding source. This work was state budget funded and implemented within the governmental assignment to the Institute of Experimental Medicine.
Competing interests. The authors declare that they have no competing interests.
Authors’ contribution. All authors made a substantial contribution to the conception of the work, acquisition, analysis, interpretation of data for the work, drafting and revising the work, final approval of the version to be published and agree to be accountable for all aspects of the work. E. I. Chumasov — сoncept and design of the study, writing the text and editing the article, analysis, analysis of literary sources, preparation and writing of the text of the article; N. A. Maistrenko — writing the text, editing the article; P. N. Romashchenko — surgical treatment of the patient, writing the article; V. B. Samedov — surgical treatment of the patient, collection and analysis of literary sources, preparation and writing of the text of the article, literature review; E. S. Petrova — histological processing of the material, the implementation of immunohistochemical reactions; preparing and writing the text of the article; D. E. Korzhevskii — writing the text of the article, editing the article.
About the authors
Evgenii I. Chumasov
Institute of Experimental Medicine; Saint Petersburg State University of Veterinary Medicine
Author for correspondence.
Email: ua1ct@mail.ru
ORCID iD: 0000-0003-4859-6766
SPIN-code: 2569-9148
Dr. Sci. (Biol.), Professor
Russian Federation, 12 Academika Pavlova street, 197022 Saint Petersburg; 5, st. Chernigovskaya, 196084 Saint PetersburgNicolay A. Maistrenko
S. M. Kirov Military Medical Academy
Email: nik.m.47@mail.ru
ORCID iD: 0000-0002-1405-7660
SPIN-code: 2571-9603
MD, Dr. Sci. (Med.), Professor, Academician of the Russian Academy of Sciences
Russian Federation, 6G, Akademika Lebedeva street, 194044 Saint-PetersburgPavel N. Romashchenko
S. M. Kirov Military Medical Academy
Email: romashchenko@rambler.ru
ORCID iD: 0000-0001-8918-1730
SPIN-code: 3850-1792
MD, Dr. Sci. (Med.), Professor, Associate Member of Russian Academy of Sciences
Russian Federation, 6G, Akademika Lebedeva street, 194044 Saint-PetersburgVadim B. Samedov
S. M. Kirov Military Medical Academy
Email: samedov07@rambler.ru
ORCID iD: 0000-0002-4002-6913
SPIN-code: 1969-3264
MD
Russian Federation, 6G, Akademika Lebedeva street, 194044 Saint-PetersburgElena S. Petrova
Institute of Experimental Medicine
Email: iemmorphol@yandex.ru
ORCID iD: 0000-0003-0972-8658
SPIN-code: 3973-1421
Cand. Sci (Biol.)
Russian Federation, 12 Academika Pavlova street, 197022 Saint PetersburgDmitry E. Korzhevskii
Institute of Experimental Medicine
Email: iemmorphol@yandex.ru
ORCID iD: 0000-0002-2456-8165
SPIN-code: 3252-3029
MD, Dr. Sci. (Med.), Professor of the Russian Academy of Sciences
Russian Federation, 12 Academika Pavlova street, 197022 Saint PetersburgReferences
- Töpfer U. Basement membrane dynamics and mechanics in tissue morphogenesis. Biol Open. 2023;12(8): bio059980. doi: 10.1242/bio.059980
- Nguyen B, Bix G, Yao Y. Basal lamina changes in neurodegenerative disorders. Mol Neurodegener. 2021;16(1):81. doi: 10.1186/s13024-021-00502-y
- Patton BL. Basal lamina and the organization of neuromuscular synapses. J Neurocytol. 2003;32(5-8):883–903. doi: 10.1023/B: NEUR.0000020630.74955.19
- Nozdrachev AD, Chumasov EI. Perifericheskaya nervnaya sistema. Saint Petersburg: Nauka; 1999. (In Russ).
- Bannerman PG, Mirsky R, Jessen KR, et al. Light microscopic immunolocalization of laminin, type IV collagen, nidogen, heparan sulphate proteoglycan and fibronectin in the enteric nervous system of rat and guinea pig. J Neurocytol. 1986;15(6):733–743. doi: 10.1007/BF01625191
- Banin V.V., Bykov V. L., editors. Terminologia histologica. Mezhdunarodnye terminy po citologii i gistologii cheloveka s oficial’nym spiskom russkih jekvivalentov. Moscow: GJeOTAR-Media; 2009. (In Russ).
- Holland AM, Bon-Frauches AC, Keszthelyi D, et al. The enteric nervous system in gastrointestinal disease etiology. Cell Mol Life Sci. 2021;78(10):4713–4733. doi: 10.1007/s00018-021-03812-y
- Veríssimo CP, Carvalho JDS, da Silva FJM, et al. Laminin and environmental cues act in the inhibition of the neuronal differentiation of enteric glia in vitro. Front Neurosci. 2019;13:914. doi: 10.3389/fnins.2019.00914
- Gabella G. Enteric glia: extent, cohesion, axonal contacts, membrane separations and mitochondria in Auerbach’s ganglia of guinea pigs. Cell Tissue Res. 2022;389(3):409–426. doi: 10.1007/s00441-022-03656-3
- Grigorev IP, Korzhevskii DE. Current technologies for fixation of biological material for immunohistochemical analysis (review). Sovrem Tekhnologii Med. 2018;10(2):156–165. doi: 10.17691/stm2018.10.2.19
- Gabella G. Ultrastructure of the nerve plexuses of the mammalian intestine: the enteric glial cells. Neuroscience. 1981;6(3):425–436. doi: 10.1016/0306-4522(81)90135-4
- Wedel T, Holschneider AM, Krammer HJ. Ultrastructural features of nerve fascicles and basal lamina abnormalities in hirschsprung’s disease. Eur J Pediatr Surg. 1999;139(2):75–82. doi: 10.1055/s-2008-1072217
- Hanani M, Ledder O, Yutkin V, et al. Regeneration of myenteric plexus in the mouse colon after experimental denervation with benzalkonium chloride. J Comp Neurol. 2003;462(3):315–327. doi: 10.1002/cne.10721
- Gershon MD. Developmental determinants of the independence and complexity of the enteric nervous system. Trends Neurosci. 2010;33(10):446–456. doi: 10.1016/j.tins.2010.06.002
- Furness J, Stebbig M. The first brain: species comparisons and evolutionary implications for the enteric and central nervous systems. Neurogastroenterol Motil. 2018;30(2). doi: 10.1111/nmo.13234
- Gershon MD. The enteric nervous system: a second brain. Hosp Pract (1995). 1999;34(7):31–42. doi: 10.3810/hp.1999.07.153
- Verkhratsky A, Ho MS, Parpura V. Evolution of neuroglia. Adv Exp Med Biol. 2019;1175:15–44. doi: 10.1007/978-981-13-9913-8_2
- Boesmans W, Lasrado R, Vanden Berghe P, Pachnis V. Heterogeneity and phenotypic plasticity of glial cells in the mammalian enteric nervous system. Glia. 2015;63(2):229–241. doi: 10.1002/glia.22746
- Grundmann D, Loris E, Maas-Omlor S, et al. Enteric glia: S100, GFAP, and beyond. Anat Rec (Hoboken). 2019;302(8):1333–1344. doi: 10.1002/ar.24128
- Rosenberg HJ, Rao M. Enteric glia in homeostasis and disease: from fundamental biology to human pathology. iScience. 2021;24(8):102863. doi: 10.1016/j.isci.2021.102863
- Wedel T, Roblick U, Gleiss J, et al. Organization of the enteric nervous system in the human colon demonstrated by wholemount immunohistochemistry with special reference to the submucous plexus. Ann Anat. 1999;181(4):327–337. doi: 10.1016/S0940-9602(99)80122-8
- Tennyson VM, Gershon MD, Sherman DL, et al. Structural abnormalities associated with congenital megacolon in transgenic mice that overexpress the Hoxa-4 gene. Dev Dyn. 1993;198(1):28–53. doi: 10.1002/aja.1001980105
- Wang YB, Ling J, Zhang WZ, et al. Effect of bisacodyl on rats with slow transit constipation. Braz J Med Biol Res. 2018;51(7) e7372. doi: 10.1590/1414-431x20187372
- Chumasov EI, Majstrenko NA, Romashenko PN, et al. Immunohistochemical study of the sympathetic innervation of the colon in chronic slow-transit constipation. Experimental and Clinical Gastroenterology Journal. 2022;207(11):191–197. (In Russ). doi: 10.31146/1682-8658-ecg-207-11-191-197
- Souza NB, Liberti EA, De-Souza RR. Studies on the intrinsic nervous system of the wild rodent Calomys callosus digestive tract. II. The submucous plexus. Braz J Med Biol Res. 1998;31(5):647–654. doi: 10.1590/s0100-879x1998000500007
Supplementary files









