Optimized Method for the Use of Polyethylene Glycol as Embedding Medium for Histological Studies
- Authors: Antonov S.A.1,2, Kurbatova T.A.2, Makarova I.V.3, Sukhorukov V.N.1,2
-
Affiliations:
- Petrovsky National Research Center of Surgery
- Institute of General Pathology and Pathophysiology
- Kurchatov Institute
- Issue: Vol 163, No 1 (2025)
- Pages: 59-70
- Section: Original Study Articles
- Submitted: 30.10.2024
- Accepted: 26.01.2025
- Published: 14.05.2025
- URL: https://j-morphology.com/1026-3543/article/view/639964
- DOI: https://doi.org/10.17816/morph.639964
- EDN: https://elibrary.ru/MSPQUC
- ID: 639964
Cite item
Abstract
BACKGROUND: Polyethylene glycol (PEG) is a water-soluble polymer that can be used as tissue embedding medium for obtaining histological sections. It has been previously reported, that PEG provides good preservation of tissue morphological characteristics comparable to that of epoxy resins, and the resulting slices can be used for immunohistochemical studies. Several methods of using PEG in histological studies have been described in literature, but they are disorganized and generally difficult to reproduce.
AIM: To evaluate tissue morphological characteristics and immunoreactivity in histological sections embedded in PEG.
METHODS: We investigated the possibility and results of transferring collectible (archived) samples of murine (Mus musculus) and weatherfish (Misgurnus fossilis) embryos through PEG 1000 and PEG 1500, as well as the peculiarities of sectioning, sample spreading, mounting on slides, and staining.
RESULTS: We compared the morphological characteristics of histological sections transferred through and embedded in PEG and paraffin wax. The advantages and disadvantages of using PEG for histological embedding were characterized. Immunohistochemical staining of sections using specific antibodies combined with chromogenic and fluorescent detection systems was performed.
CONCLUSION: It has been demonstrated that PEG provides preservation of structural features of cells and intercellular substance, also having a sparing effect on protein epitopes in tissues.
Keywords
Full Text
BACKGROUND
Paraffin-embedded tissue sections are widely used in modern biological studies and medical diagnostics [1]. A clear advantage of paraffin sections is their compatibility with immunohistochemical and immunofluorescence staining, as well as with DNA/RNA in situ hybridization. Thus, paraffin sections enable correlation of cellular morphological characteristics with their genotype and gene expression profiles [2].
At the same time, the process of paraffin embedding causes tissue shrinkage during dehydration [3, 4], which alters cell morphology, reduces the accessibility of protein epitopes, and decreases the nucleic acid content within the tissue [2, 5]. Deformation and cell compression during paraffin embedding obscure cytological details and impede epitope localization in intracellular compartments. For example, in the Human Protein Atlas1, paraffin section data report only nuclear, membranous, or cytoplasmic localization of epitopes in cells, whereas more detailed information on the distribution of immunoreactivity in specific subcellular compartments is available only for cell cultures [6]. For detailed analysis of chromatin architecture, cytoplasmic structures, and intercellular interactions by light microscopy, semithin tissue sections in acrylic or epoxy resins are used, providing excellent preservation of cellular morphology, but they are limited in their suitability for molecular biological analysis. Reference immunoreactivity of protein epitopes is preserved in frozen tissue sections; however, this material shows significantly poorer preservation of cellular morphology compared with paraffin-embedded tissue.
Therefore, despite its known limitations, the use of paraffin sections remains the only approach that allows for the studies to compare cell morphometric parameters with gene expression patterns.
Polyethylene glycol (PEG) with a molecular weight of 1000–6000 is a promising embedding medium that is an alternative to paraffin, although its application is still limited [7]. It has been previously reported that tissues embedded in PEG maintain good morphological characteristics, and thin sections of such specimens are suitable for electron microscopy [8]. For routine studies, polyethylene glycols with molecular weights of 1000 and 1500 are of particular interest. Compared to paraffin, these PEGs have a low melting point (37–52 °C), which minimizes the damaging effects of high temperatures on proteins and nucleic acids [9, 10] and tissue shrinkage (contraction) during embedding [11]. Furthermore, the use of PEG eliminates the need for tissue processing in hydrophobic organic solvents (xylene/chloroform), as required when working with paraffin, thereby significantly reducing the duration of exposure to aggressive environments. A review indicates that published methodological works on obtaining PEG-embedded tissue sections and subsequent staining of such sections are unsystematic and, in some cases, contradictory [7, 9, 12, 13]. This highlights the need for the development of a standardized protocol.
The aim of this study was to analyze various aspects of obtaining and staining of mouse embryos and weatherfish larva sections embedded in PEG, and to comprehensively characterize the features of the resulting specimens.
METHODS
Samples of Mouse Embryos and Weatherfish Larvae
Archival material from previous mouse investigations was used. Mouse embryos, from the C57Bl/6×CBA hybrid line, were obtained by dissecting pregnant females at day 19 post coitum. Mature weatherfish were collected in December from the rivers in the central European region of Russia and maintained at 4–6 °C. Males and females were kept separately. Eggs were collected 40–42 hours after administration of 100 IU of human chorionic gonadotropin (Moscow Endocrine Plant, Russian Federation) to the females. For fertilization, a sperm suspension was added to the eggs; the sperm was obtained by dissecting the testes of M. fossilis males into boiled water. Weatherfish larvae were reared at room temperature in aerated tap water. The tissues from the body and head of mouse embryos, as well as whole weatherfish larvae, were fixed in 4% formaldehyde for 72–96 hours, washed in phosphate-buffered saline (pH = 7.4), and stored in 70% ethanol at 4 °C.
Tissue Processing and Preparation of Histological Sections
Processing in paraffin was carried out according to a standard protocol: the specimens were dehydrated sequentially in 96% ethanol, three rounds of washing with 99% isopropanol, and two rounds of washing with xylene, each for 1 hour. The samples were then infiltrated in three rounds of paraffin (Histomix Extra, Biovitrum, Russia) at 60 °C and embedded into blocks using histology cassettes.
Processing of specimens in PEG was carried out according to the following protocol: dehydration in 96% ethanol and three rounds of washing with 99% isopropanol for 1 hour each, infiltration in three rounds of PEG 1000 at 42 °C (Acros Organics, USA) or PEG 1500 at 55 °C (Acros Organics, USA). Processing was performed under visual control. According to our experience, the settling of specimens to the bottom of the container with molten PEG can be used as a reference point for PEG replacement. After infiltration, the samples were embedded into blocks using histology cassettes and left at room temperature until the PEG solidified into a homogeneous mass.
The sections were prepared using a sled microtome MS-2 (Tochmedpribor LLC, Russia) and a rotary microtome YD-202 (Jinhua Yidi Medical Appliance, China) at a set section thickness of 3–10 µm, in a room with controlled temperature of 20 °C.
Paraffin sections were floated on the surface of water (at 39 °C) and mounted on microscope slides (Biovitrum, Russia) coated with a 1% solution of 3-aminopropyltriethoxysilane (Acros Organics, USA) in acetone. PEG sections were spread on adhesive microscope slides in drops of distilled water (50–200 µL); excess water was removed using an automatic pipette, and the slides were then air-dried at room temperature. To remove excess PEG, the slides were rinsed in 96% ethanol and air-dried again.
Sections were stained with hematoxylin and eosin solutions, dehydrated, cleared in xylene, and coverslipped (Biovitrum, Russia) using Cytoseal XYL medium (Thermo Scientific, USA).
Immunohistochemical and Immunofluorescence Staining of Sections
On tissue sections embedded in PEG 1500, epitope unmasking was first performed by incubating the sections in 10 mM sodium citrate solution for 30 minutes at 95 °C. Non-specific antibody binding was blocked by treating the sections with 10% fetal bovine serum (Biosera, France) in phosphate-buffered saline (pH = 7.4) for 15 minutes at room temperature. The sections were then incubated overnight at 4 °C with primary antibodies at the appropriate dilutions (Table 1). After incubation, sections were washed three times with distilled water. Endogenous peroxidase-like activity was blocked using 0.3% hydrogen peroxide for 15 minutes. Subsequently, the sections were incubated with secondary antibodies for 1 hour at room temperature. Two systems were used for antibody binding detection: chromogenic detection involved sequential incubation of the sections with a streptavidin–peroxidase conjugate (1:1000 dilution; Roche, Switzerland; catalog number 11089153001), followed by a substrate solution (0.05% 3,3'-diaminobenzidine [DAB]; Sigma-Aldrich, Germany). The incubation time was 5–10 minutes, and the appearance of nonspecific background staining was monitored microscopically. Immunofluorescent detection was performed using 5 µg/mL tyramide tetramethylrhodamine in phosphate-buffered saline supplemented with 0.015% H2O2 (15 minutes). The tyramide substrate was prepared from activated N-hydroxysuccinimide ester of tetramethylrhodamine (Lumiprobe, Russia) according to a standard protocol [15]. Alternatively, sections were sequentially incubated with alkaline phosphatase conjugate (1:1000 dilution; Millipore, Germany; catalog number S2890) and Sigmafast BCIP/NBT substrate (nitro blue tetrazolium/5-bromo-4-chloro-3-indolyl phosphate; Sigma-Aldrich, Germany).
Table 1. Antibodies and enzymes used in this study
Name | Host | Dilution | Manufacturer | Catalog Number |
NMDA receptor 2A subunit (GluN2A) | rabbit | 1:350 | Sigma | SAB2100974 |
Nestin | mouse | 1:750 | Millipore | MAB5326 |
Tyrosine hydroxylase | mouse | 1:1000 | Thermo Fisher | МА1-24654 |
Ki67 | rabbit | 1:200 | Abcam | ab15580 |
Pan-cytokeratin | rabbit | 1:200 | Abcam | Ab217916 |
Mature neuron marker NeuN (Neuronal Nuclei) | mouse | 1:1000 | Millipore | MAB377 |
Mouse Immunoglobulin G | goat | 1:100 | Имтек | GAM Iss |
Rabbit Immunoglobulin G | goat | 1:100 | Имтек | GAR Iss |
Streptavidin–peroxidase | - | 1:1000 | Roche | 11089153001 |
Streptavidin–alkaline phosphatase | - | 1:1000 | Millipore | S2890 |
Microscopy
Brightfield imaging was performed using a Leica DM 2500 light microscope (Leica, Germany) equipped with ×10 and ×40 objectives and a 16 MP U3ISPM16000KPA camera (ToupTek, China) with a 1/2.3'' sensor. Reflected light imaging was performed using a Zeiss AxioObserver microscope (Carl Zeiss, Germany) equipped with a 13 MP AxioCam HRc camera (Carl Zeiss, Germany) with a 2/3'' sensor.
For comparative investigation of sections from PEG- and paraffin-embedded tissues, identical acquisition settings were used, including condenser aperture, white balance, and camera exposure.
RESULTS AND DISCUSSION
Tissue Processing
Tissue processing in PEG can be performed using a gradient of increasing PEG concentrations in water, bypassing the dehydration step in alcohols. However, we found that this approach leads to considerable tissue shrinkage, with up to 40% volume loss, which is consistent with previously published data [9]. Dehydration of tissues in multiple rounds of isopropyl alcohol prior to PEG infiltration, on the contrary, ensures minimal tissue shrinkage. In general, the use of PEG 1000 is preferable due to its lower melting point (35–40 °C according to the manufacturer), providing milder processing conditions. A disadvantage of PEG 1000 is its low hardness, which prevents obtaining sections thinner than 7–8 µm without compression during cutting at room temperature (21–24 °C). Moreover, PEG 1000 is distinctly hygroscopic, requiring storage of embedded tissue blocks in sealed containers and preventing sectioning at ambient humidity above 30%. PEG 1500 is harder than PEG 1000 and allows cutting of 2–3 µm-thick sections without noticeable compression; however, processing must be conducted at temperatures above 48 °C, as the melting point of PEG 1500 is 44–48 °C.
Typically, three rounds of PEG, each lasting 1–2 hours, are enough for effective infiltration of tissue fragments up to 3 mm thick. Thus, infiltration with PEG occurs at a comparable rate but at a lower temperature compared with paraffin infiltration. This approach does not require adjustment based on specimen size, as, unlike paraffin, it does not lead to tissue overdrying.
Sectioning of PEG-Embedded Tissues and Mounting on Glass Slides
Sections from tissue blocks infiltrated with either PEG 1000 or paraffin were prepared identically using sled and rotary microtomes with disposable blades. Reusable knives are preferable for sectioning PEG 1500 blocks. Both single and serial sections can be obtained. However, PEG dissolves instantly upon contact with water, causing serial sections to lose their original order and spatial orientation during flattening. This makes it impossible to mount section ribbons onto slides; therefore, when using PEG as an embedding medium, only single sections can be reliably obtained for further processing.
We tested various conditions for flattening of PEG sections and found that placing them on the surface of a large volume of liquid [14] leads to dissolution of the PEG border, making transfer to slides difficult. Additionally, when placed on the surface of water or surfactant-containing solutions, PEG sections tend to move actively due to surface tension. Previously reported methods for flattening PEG-embedded sections are labor-intensive and ineffective [12, 13]. In our experiments, the use of glycerol, surfactants, or sucrose between the section and the slide—as suggested by some authors to facilitate smoother flattening [9]—interfered with reliable adhesion. Attempts to mount PEG sections dry onto slides heated to 55 °C were also unsatisfactory due to tissue wrinkling. The optimal method involved the placement of the sections in 50–200 µL drops of water (depending on section area) directly onto the slides. This approach ensured complete and uniform flattening and strong adhesion to the glass surface after the water evaporated. The result can be further improved by removing PEG residues through brief (30–40 seconds) immersion of the dried slides with sections in 96% ethanol, followed by repeated drying. For all staining protocols, adhesive slides coated with poly-D-lysine or 3-aminopropyltriethoxysilane are preferred. It is worth noting that the described mounting procedure is minimally time-consuming. The described method is suitable for preparing sections of embryos (Mus musculus and Misgurnus fossilis) and adult mouse organs (brain, myocardium, liver, skin, skeletal muscles, etc.) as well as human tissues (the method has been successfully applied to sections of the aorta, arteries, and veins).
Staining of PEG-Embedded Sections with Conventional Dyes
Hematoxylin and eosin staining of tissue sections fixed in 4% neutral buffered formalin and embedded in PEG produces the expected result: a clear contrast between cell nuclei and cytoplasmic structures. For more detailed analysis of nuclear shape and chromatin pattern, especially in basophilic cells, good results were obtained using the Feulgen DNA staining method with Schiff reagent derived from basic fuchsin and counterstaining with fast green. The use of trichrome staining methods in PEG sections, however, is challenging due to low affinity for acid fuchsin, Orange G, and alcian blue (pH = 2).
Comparison of Morphological Characteristics in Tissue Sections Embedded in PEG and Paraffin
A detailed chromatin pattern observed in the pilot experiment in tissue sections embedded in PEG was especially noticeable in small cells, such as fetal dermal fibroblasts and dorsal neurons of the mouse spinal cord and brain. The results of a more detailed analysis of cellular morphological characteristics are presented in Fig. 1.
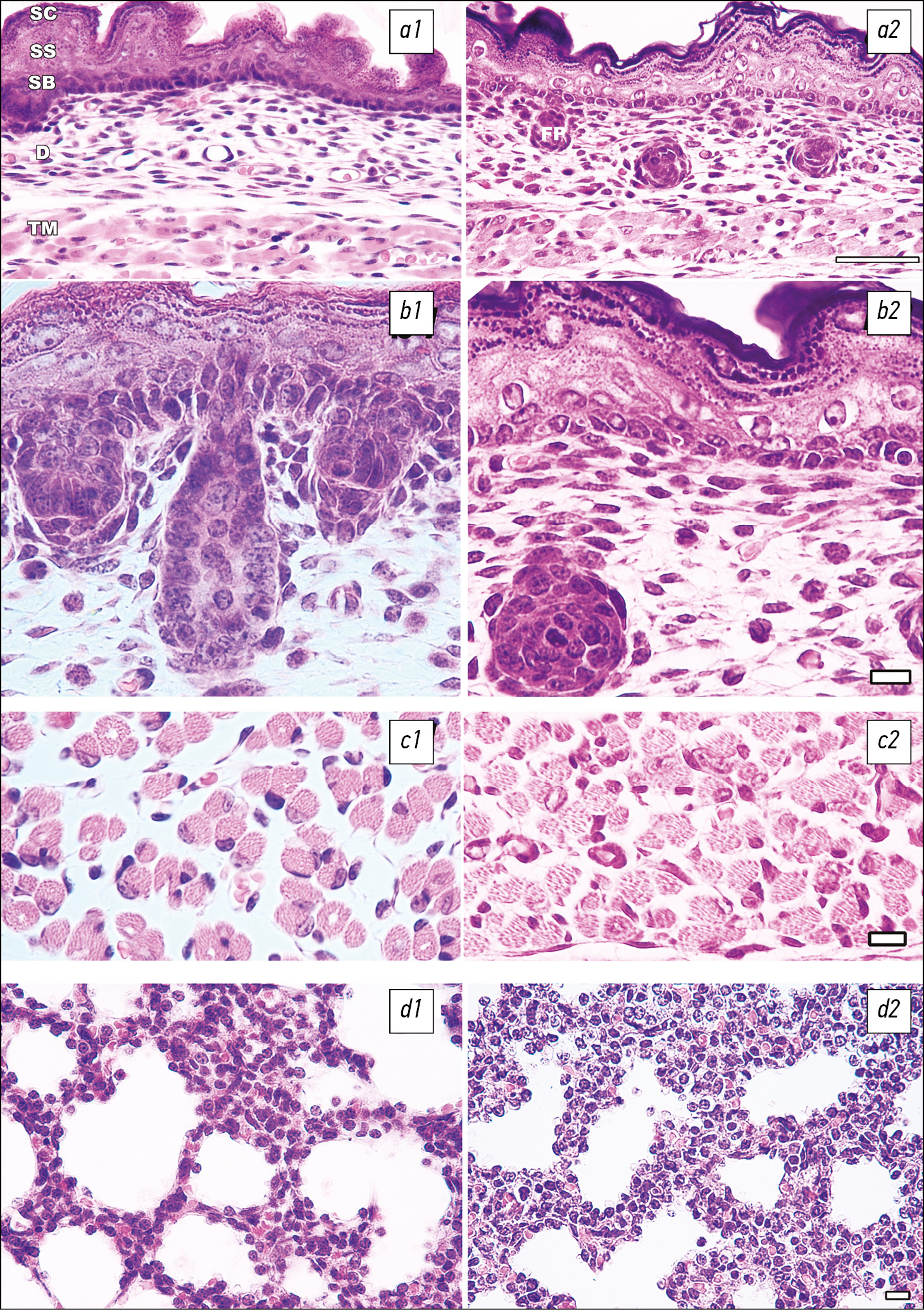
Fig. 1. Sections of murine embryos (day 19 of intrauterine development): Left column specimen transfer through polyethylene glycol; Right column specimen transfer through paraffin wax; a1,2,b1,b2, epidermis and dermis. SC, stratum corneum; SS, stratum spinosum; SB, stratum basale; D, dermis; FP, folliculus pili, hair follicle; TM, textus muscularis, muscle tissue. c1, c2, muscle tissue, musculus erector spinae; d1, d2, lung tissue. Scale: a, b, 100 µm; c–d, 20 µm. All microphotographs were taken with the same microscope and camera settings.
We identified multiple differences between paraffin sections and tissue sections infiltrated with PEG. For example, keratinocytes of the basal and spinous layers of the epidermis in paraffin sections exhibited perinuclear vacuoles, resulting from extensive lipid extraction from membranes and differential shrinkage of nucleoplasm and cytoplasm during processing (Fig. 1, a2, b2). This well-known artifact, commonly seen in paraffin sections, was absent in cells processed with PEG (Fig. 1, a1, b1). In paraffin sections, the cytoplasm of fibroblasts in the dermis has a compressed fibrillar appearance, whereas in PEG-embedded tissues, the cytoplasm appears more uniform. Dermal fibroblasts were easier to identify in paraffin sections due to their deformation and marked volume reduction. Collagen fibers of the dermal extracellular matrix were better preserved in PEG (Fig. 1, a1, b1). The shape of epidermal cells in PEG sections is generally more diffuse; however, the cells are characterized by larger nuclear area and a lower degree of chromatin condensation.
In muscle tissue sections (Fig. 1, c1, c2), bundles of contractile elements are more distinctly visible in paraffin-embedded samples. This is due to greater cytoplasmic condensation and nuclear compression, which, however, affects the overall size of muscle cells. In PEG sections, chromatin was evenly distributed in the nuclei of muscle cells, whereas in paraffin sections, peripheral chromatin aggregation—perinuclear hyperchromatosis—was commonly observed.
Paraffin sections of lung tissue were characterized by higher clarity, but also by more pronounced cellular contraction and chromatin condensation (Fig. 1, d1, d2). Lung epithelial cells in PEG sections lacked perinuclear hyperchromatosis and perinuclear cytoplasmic vacuolization.
It can be concluded that the described differences between paraffin and PEG sections are consistent across various tissue types. Condensation of chromatin and cytoplasmic components during paraffin embedding enhances cellular definition, facilitating their identification, especially at low magnification. However, this comes at the cost of significant cellular compression. Indeed, peripheral redistribution of chromatin within nuclei and the appearance of perinuclear cytoplasmic vacuoles on paraffin sections are artifacts, as they are absent in vibratome sections fixed under the same conditions (data not shown).
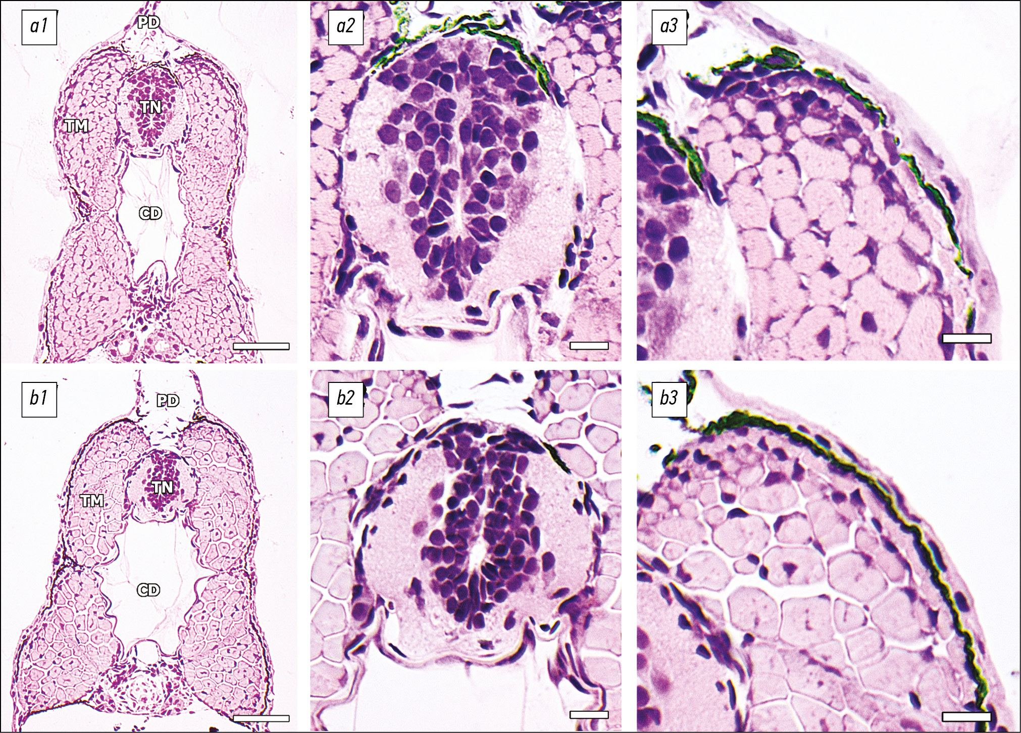
Due to the predominance of actively proliferating cells and cells at early stages of differentiation, the nuclei in tissue sections of early weatherfish larvae are characterized by the absence of clearly defined chromatin and heterochromatin regions (Fig. 2). As with mouse embryos, no differences in the characteristic nuclear chromatin pattern were observed between tissue sections embedded in PEG and those embedded in paraffin. In the neural tube sections (Fig. 2, a2, b2), there is a marked difference in cell area, with cells undergoing significant shrinkage during paraffin processing. On the paraffin sections of dorsal musculature, differentiated myocytes exhibit a characteristic polygonal shape, whereas on the PEG sections these cells appear more rounded. Proliferating dorsal myoblasts (Fig. 2, a3, b3) are noticeably more basophilic in PEG sections and exhibit more detailed cytological features. The sizes of melanocytes are also different; on paraffin sections, they have a smaller area and significantly less detailed cytoplasmic outlines.
Fig. 2. Sections of weatherfish larvae (96 hours of development): a1–a3, specimen transfer through polyethylene glycol; b1–b3, specimen transfer through paraffin wax. Hematoxylin and eosin staining; melanocytes containing endogenous pigments are brown-colored. a1, b1, general view; CD, chorda dorsalis, chord; TN, tubus neuralis, neural tube; PD, pinna dorsalis, dorsal fin; TM, textus muscularis, muscle tissue. b1, b2, neural tube, magnified image, proliferating neural precursors along the central canal and migrating post-mitotic neurons. a3, b3, dorsal skeletal muscle, myoblasts and differentiated post-mitotic transverse striated muscle cells located ventrally. Scale: a1, b1, 50 µm; a2, a3, b2, b3, 10 µm.
Keratinocytes of the single-layered epithelium in larval skin tissue sections embedded in PEG are characterized by more detailed nuclear morphology and larger nuclear area. Fibrous structures in the keratinocyte cytoplasm are better visualized in PEG sections.
Summarizing the obtained results, it can be noted that embedding in PEG better preserves cytological details of various embryonic organs, providing a more informative image when working at high magnification. Embedding in paraffin allows preserving clear cell shapes, which facilitates cell identification on sections at low magnification, but this is accompanied by cell volume shrinkage and loss of fine cytoplasmic structures.
Immunohistochemical and Immunofluorescence Reactions on Tissue Sections Embedded in PEG
Staining of PEG-embedded sections using primary antibodies suitable for detecting fixed epitopes yields consistently positive results with both chromogenic and fluorescent detection methods. We tested two systems for chromogenic detection: peroxidase–DAB and alkaline phosphatase–NBT/BCIP and two for fluorescent detection: peroxidase–fluorescent tyramides and our modified version of the Click-TSA method [15]. Notably, tissue sections embedded in PEG 1000 exhibit high immunoreactivity without the need for antigen retrieval (Fig. 3, a–c), whereas for sections embedded in PEG 1500, which has a higher melting point, heating the sections in a buffer solution is required for most antibodies (Fig. 3, d–f). Antigen retrieval of PEG sections was performed at 90 °C for 15–30 minutes. When using antibodies against intermediate filaments (nestin, glial fibrillary acidic protein, cytokeratins), more stringent retrieval conditions generally improved visualization of the maximum number of immunopositive elements.
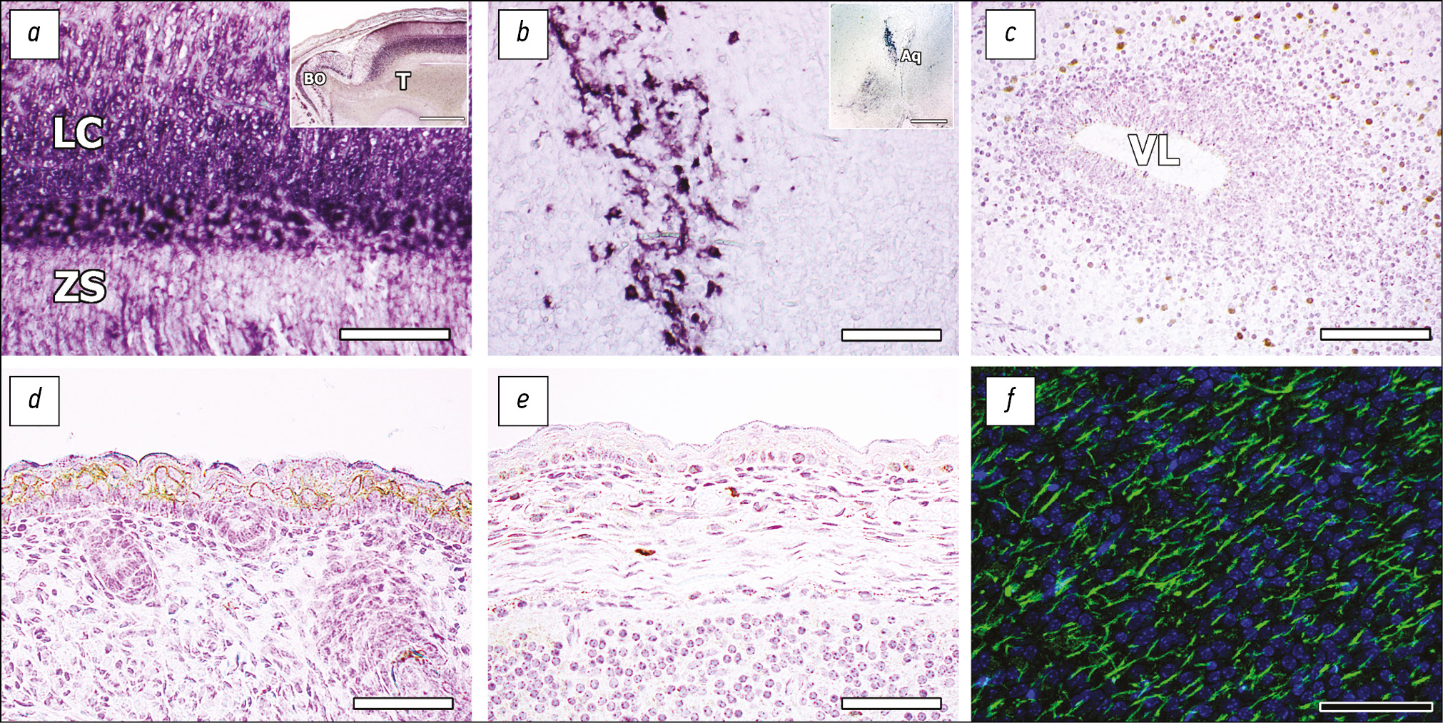
Fig. 3. Sections of murine embryo head (day 19 of intrauterine development), immunohistochemical staining after tissue transfer through polyethylene glycol: a, b, detection with alkaline phosphatase and chromogenic substrate NBT/BCIP (Nitro blue tetrazolium/ 5-bromo-4-chloro-3-indolyl phosphate) without contrasting cell nuclei; c–e, detection with peroxidase and chromogenic substrate DAB (3,3’-Diaminobenzidine), contrasting with hematoxylin; f, immunofluorescence staining with peroxidase and tyramide-rhodamine, contrasting nuclei with fluorescent dye DAPI (4’,6-diamidino-2-phenylindole). a, GRIN2A (Glutamate Ionotropic Receptor NMDA Type Subunit 2A) subunit of NMDA-receptor (N-Methyl-D-Aspartate receptor) in embryonic cortex, intense immunoreactivity in differentiating cortical lamina neurons, moderate staining of radial glial cells of the subventricular zone, the inset shows a slice view at low magnification. b, tyrosine hydroxylase, population of catecholaminergic neurons of the midbrain tegmentum in the region of the cerebral aqueduct, the inset shows a slice view at low magnification. c, NeuN/Rbfox-3, neuron-specific RNA-binding nuclear protein; staining of post-mitotic neurons that migrated radially from the proliferative subventricular zone to the olfactory bulb. d, pan-cytokeratin, differentiated keratinocytes over the basal layer of the epidermis. e, Ki67 in the skin of the dorsal surface of the embryonic head; stained mitotic cells are keratinocytes of the basal layer of the epidermis and dermal fibroblasts. f, nestin, marker of neural stem cells, expression in the cortex of the cerebral hemispheres. LC, lamina cerebralis, cortical plate; ZS, zona subventricularis, subventricular zone; T, telencephalon; BO, bulbus olfactorius, olfactory bulb; Aq, aqueduct cerebri, cerebral aqueduct; VL, ventriculus lateralis, lateral ventricle. Scale: a, c, 100 µm; b, d–f, 50 µm; on insets, 500 µm.
Thus, embedding in PEG allows for effective immunohistochemical detection of membrane-bound (Fig. 3, a), cytoplasmic (Fig. 3, d), and nuclear epitopes (Fig. 3, c, e) with equal effectiveness.
CONCLUSION
The level of cellular structural detail is critical to the informative value of histological specimens. This level entirely depends on the preservation of the native tissue architecture, which inevitably undergoes deformation during fixation and histological processing. Currently, paraffin remains the standard embedding medium, offering a balance between good morphological preservation and compatibility with immunohistochemical and immunofluorescent analyses.
The presented results demonstrate that tissue embedding in PEG 1000 and PEG 1500 also yields high-quality sections characterized by minimal cellular compression and high immunoreactivity. These sections preserve native morphology of cells, as illustrated in embryonic tissues of both mouse and weatherfish. The advantages of PEG embedding over paraffin are most pronounced when working at high magnifications (×400–1000), in the evaluation of cytological characteristics. Tissues embedded in PEG exhibit greater detail of cytoplasmic structures, overall cell morphology, and chromatin pattern in mouse tissue sections. In weatherfish larvae tissue sections embedded in PEG and paraffin, no distinct differences in nuclear chromatin pattern were observed, which may be attributed to developmental stage (96 hours) or species-specific characteristics.
The described properties of PEG undoubtedly offer additional opportunities for more precise analysis of the intracellular localization of individual proteins and nucleic acids in histological sections.
Compared with paraffin, PEG has clear advantages, including the absence of a requirement for sample clearing in nonpolar organic solvents and a lower melting point, which reduces the risk of antigen masking. In addition, unlike paraffin sections, PEG sections do not require prolonged drying to ensure adhesion to glass slides. The described embedding and staining protocols were tested on various tissue types and showed good reproducibility.
To sum up, the use of PEG as a histological embedding medium represents a valuable addition to the toolkit of modern histological and embryological research.
ADDITIONAL INFORMATION
Author contributions: Stanislav A. Antonov developed the method, compared the results with studies in the relevant area; Tatyana A. Kurbatova obtained and analyzed microphotographs; Irina V. Makarova prepared samples; Vasily N. Sukhorukov wrote the manuscript and edited the article. All authors approved the final version of the manuscript for publication and agreed to take responsibility for all aspects of the article, ensuring the appropriate consideration and resolution of any issues related to the accuracy and integrity of its content.
Ethics approval: The study was carried out on archived material and does not require additional approval of the Ethics Committee according to the resolution of the Ethics Committee of the Institute of Molecular Genetics of Kurchatov Institute National Research Center № 12-2021.
Funding sources: The authors declare that the study received no external funding.
Disclosure of interests: Authors declare no explicit or potential conflicts of interests associated with the publication of this article.
1 Human Protein Atlas
About the authors
Stanislav A. Antonov
Petrovsky National Research Center of Surgery; Institute of General Pathology and Pathophysiology
Author for correspondence.
Email: vamore@inbox.ru
ORCID iD: 0000-0002-6866-7077
SPIN-code: 4179-8625
Cand. Sci. (Biology)
Russian Federation, Moscow; MoscowTatyana A. Kurbatova
Institute of General Pathology and Pathophysiology
Email: nami.shimizu@mail.ru
ORCID iD: 0009-0002-2452-1356
SPIN-code: 3077-3479
Russian Federation, Moscow
Irina V. Makarova
Kurchatov Institute
Email: ivmak77@yandex.ru
ORCID iD: 0000-0002-1721-7068
Cand. Sci. (Biology)
Russian Federation, MoscowVasily N. Sukhorukov
Petrovsky National Research Center of Surgery; Institute of General Pathology and Pathophysiology
Email: vnsukhorukov@gmail.com
ORCID iD: 0000-0002-0312-3773
SPIN-code: 1609-9295
Cand. Sci. (Biology)
Russian Federation, Moscow; MoscowReferences
- van der Lem T, de Bakker M, Keuck G, Richardson MK. Wilhelm His Sr. and the development of paraffin embedding. Pathologie. 2021;42(suppl 1):55–61. doi: 10.1007/s00292-021-00947-4
- Nuovo GJ. In situ molecular pathology and co-expression analyses. 2nd ed. Academic Press; 2020.
- Miles AE, Linder JE. Polyethylene glycols as histological embedding media: with a note on the dimensional change of tissue during embedding in various media. J R Microsc Soc. 1952;72(4):199–213. doi: 10.1111/j.1365-2818.1952.tb02336.x
- Wang Z, Zhang S, Pu Y, et al. Accuracy of cone-beam computed tomography for the evaluation of mandible invasion by oral squamous cell carcinoma. BMC Oral Health. 2021;21(1):226. doi: 10.1186/s12903-021-01567-3
- Vaganova AN. Histotechnical solutions to improve the quality of nucleic acid preparations from paraffin blocks. Genes and cells. 2014;9(2):96–101.
- Uhlén M, Fagerberg L, Hallström BM, et al. Proteomics. Tissue-based map of the human proteome. Science. 2015;347(6220):1260419. doi: 10.1126/science.1260419
- Bard JB, Ross AS. Improved method for making high-affinity sections of soft tissue embedded in polyethylene glycol (PEG): its use in screening monoclonal antibodies. J Histochem Cytochem. 1986;34(9):1237–1241. doi: 10.1177/34.9.3734422
- Wolosewick JJ. The application of polyethylene glycol (PEG) to electron microscopy. J Cell Biol. 1980;86(2):675–761. doi: 10.1083/jcb.86.2.675
- Klosen P, Maessen X, van den Bosch de Aguilar P. PEG embedding for immunocytochemistry: application to the analysis of immunoreactivity loss during histological processing. J Histochem Cytochem. 1993;41(3):455–463. doi: 10.1177/41.3.8429209
- Smithson KG, MacVicar BA, Hatton GI. Polyethylene glycol embedding: a technique compatible with immunocytochemistry, enzyme histochemistry, histofluorescence and intracellular staining. J Neurosci Methods. 1983;7(1):27–41. doi: 10.1016/0165-0270(83)90016-X
- Miles AE, Linder JE. Polyethylene glycols as histological embedding media: with a note on the dimensional change of tissue during embedding in various media. J R Microsc Soc. 1952;72(4):199–213. doi: 10.1111/j.1365-2818.1952.tb02336.x
- Gao KX, Godkin JD. A new method for transfer of polyethylene glycol-embedded tissue sections to silanated slides for immunocytochemistry. J Histochem Cytochem. 1991;39(4):537–540. doi: 10.1177/39.4.2005376
- Clayton DF, Alvarez-Buylla A. In situ hybridization using PEG-embedded tissue and riboprobes: increased cellular detail coupled with high sensitivity. J Histochem Cytochem. 1989;37(3):389–393. doi: 10.1177/37.3.2918223
- Antonov SA, Novosadova EV, Kobylansky AG, et al. A hybrid detection method based on peroxidase-mediated signal amplification and click chemistry for highly sensitive background-free immunofluorescent staining. J Histochem Cytochem. 2019;67(10):771–782. doi: 10.1369/0022155419864113
- Asik K, Rao JL, Kirn JR. A method for exploring adult neurogenesis in the songbird brain. Cold Spring Harb Protoc. 2014;2014(12):1259–1266. doi: 10.1101/pdb.prot084590
Supplementary files






