Ultrastructural changes in the glomerular filtration barrier of the kidneys in rats following acute paraoxon poisoning
- Authors: Sokolova M.O.1, Sobolev V.E.2
-
Affiliations:
- Kirov Military Medical Academy
- Sechenov Institute of Evolutionary Physiology and Biochemistry of the Russian Academy of Sciences
- Issue: Vol 163, No 4 (2025)
- Pages: 293-304
- Section: Original Study Articles
- Submitted: 12.03.2025
- Accepted: 18.04.2025
- Published: 23.10.2025
- URL: https://j-morphology.com/1026-3543/article/view/677064
- DOI: https://doi.org/10.17816/morph.677064
- EDN: https://elibrary.ru/FISUFF
- ID: 677064
Cite item
Abstract
BACKGROUND: Paraoxon is an organophosphate compound, chronic poisoning by which has various manifestations. Individuals exposed to organophosphates often develop glomerular and/or tubular sclerosis. Ultrastructural changes in the glomerular filtration barrier (GFB) of the kidneys in experimentally induced acute paraoxon poisoning have not been described in available scientific publications, underscoring the relevance of this study.
AIM: This study aimed to identify ultrastructural changes in the glomerular filtration barrier of the kidneys in rats following acute paraoxon poisoning in sublethal doses.
METHODS: Kidney fragments were obtained from male outbred albino rats (Rattus norvegicus) 1, 3, and 7 days after paraoxon poisoning. Three modes of paraoxon exposure were used. Immunohistochemical, electron microscopy, and morphometric analyses were performed on the kidney tissue, followed by statistical analysis of the results.
RESULTS: Ultrastructural changes in the GFB were observed in all modes of paraoxon exposure. Endothelial cells of glomerular capillaries showed an increased diameter of fenestrations, accompanied by a decrease in their density. Podocytes exhibited changes in the size of the foot processes and a reduction in the number of third-order extensions that normally adhere to the glomerular basement membrane. All three experimental groups showed an increase in the thickness of the glomerular basement membrane on day 7 after poisoning. The most pronounced morphological changes in GBF structures following paraoxon exposure were observed in the endothelial cells of the glomerular capillaries.
CONCLUSION: Acute paraoxon poisoning leads to ultrastructural changes in the GFB in rat kidneys. The data obtained contribute to understanding the mechanisms of glomerulosclerosis development following chronic exposure to this toxin.
Full Text
ОБОСНОВАНИЕ
Анализу нефротоксичности фосфорорганических соединений (ФОС) посвящён ряд исследований, включающих изучение случаев хронической болезни почек неясной этиологии у человека, а также данные, полученные на животных [1–3]. Однако результаты таких исследований позволяют лишь косвенно судить о роли ФОС в развитии патологии почек. Гистологический анализ структуры почечной ткани при остром и хроническом воздействии ФОС выявил повреждение эпителия канальцев нефрона, интерстициальный фиброз, а также значительный гломерулосклероз, сопряжённый с лёгкой или умеренной степенью повреждения тубулярных эпителиальных клеток (ТЭК) в проксимальных и дистальных канальцах нефрона [4–6]. ФОС достаточно широко используются в современном мире, в том числе в хозяйственной деятельности человека, преимущественно в виде инсектицидов и акарицидов. При несоблюдении техники безопасности обращения с этим классом веществ ФОС могут проникать в организм человека через кожу и слизистые оболочки [7]. Паратион определяется Всемирной организацией здравоохранения как чрезвычайно опасный органический загрязнитель первого класса токсичности [8]. Воздействие паратиона вызывает необратимое ингибирование ацетилхолин-эстеразы в синаптической щели. Последующая избыточная стимуляция мускариновых и никотиновых холинорецепторов является основным механизмом токсического действия подавляющего большинства ФОС. Метаболиты паратиона, одним из которых является параоксон [8], выводятся из организма почками.
Структурой, обеспечивающей фильтрацию плазмы крови, является гломерулярный фильтрационный барьер (ГФБ). Он образован фенестрированными эндотелиальными клетками, подоцитами и гломерулярной базальной мембраной (ГБМ) [9, 10]. Подоциты — эпителиальные клетки с разветвлёнными отростками разных порядков [9, 10]. Структуры ГФБ функционально связаны перекрёстным взаимодействием сигнальных путей VEGFA–eNOS и NO–ET-1, обеспечивающих согласованную работу всех компонентов ГФБ [11, 12]. Для нефрона также описана тубулогломерулярная обратная связь, объединяющая ТЭК дистальных канальцев и клетки плотного пятна [13]. Для эффективной фильтрации и поддержания избирательной проницаемости ГФБ фенестры эндотелиальных клеток покрыты гликокаликсом, а отростки подоцитов III порядка объединены между собой щелевыми диафрагмами, основным белком которых является нефрин. Избирательная проницаемость ГБМ зависит от размеров фильтрующихся молекул [14, 15]. Ультраструктурный анализ ГБМ у мышей после введения меченого золотом альбумина показал, что наночастицы с различной молекулярной массой обладают разной способностью проникать сквозь плотную пластинку ГБМ. Только частицы с молекулярной массой менее 66 кДа проникают сквозь ГБМ и аккумулируются вблизи отростков подоцитов [16].
Учитывая, что все компоненты ГФБ имеют крайне малые размеры, для выявления нарушений, вызванных острым или хроническим воздействием ФОС, необходимо проведение ультраструктурного исследования. В настоящее время наиболее уязвимым для действия ФОС компонентом нефрона принято считать ТЭК [4–6].
Для моделирования острой интоксикации ФОС имеют решающее значение видовые особенности лабораторных животных. Воздействие ФОС изучали на грызунах, приматах, свиньях, водных организмах, представителях типа Plathelmintes, а также с применением различных способов введения токсиканта: внутрибрюшинно, внутривенно, внутримышечно, подкожно, контактно, ингаляционно и перорально [17–19]. Известно, что для морских свинок, нечеловекообразных приматов и человека характерна низкая активность карбоксилэстераз в плазме крови, способных метаболизировать и инактивировать ФОС, сокращая тем самым объём их повреждающего действия на клетки органов мочевой системы [17]. Крысы остаются наиболее часто используемым в токсикологических экспериментах с ФОС видом лабораторных животных [17, 20, 21]. Однако физиологической особенностью крыс является высокая активность карбоксилэстеразы, способной стехиометрически связывать ФОС, поступающие в кровь [22]. В научной литературе описаны модели отравления ФОС на крысах, которые включают этап нейтрализации активности карбоксилэстераз в плазме крови [23]. Такие модели предполагают применение специфических ингибиторов, например, CBDP (2-(о-крезил)-4Н-1,3,2-бензодиоксафосфорин-2-оксид) или многократное введение тестируемого ФОС с целью нейтрализации активности карбоксилэстераз, что отчасти позволяет сопоставлять полученные данные с последствиями отравления у человека.
Учитывая то обстоятельство, что выбор экспериментальной модели для изучения острой и хронической токсичности ФОС требует особой тщательности и учёта видовых особенностей лабораторных животных, а также принимая во внимание важность понимания ультраструктурных изменений ГФБ при остром воздействии токсиканта, настоящее исследование представляется актуальным.
Цель — выявить ультраструктурные изменения гломерулярного фильтрационного барьера почек у крыс при остром отравлении сублетальными дозами параоксона.
МЕТОДЫ
Дизайн исследования
Проведено исследование биологического материала (тканей почек) крыс, полученных в результате проспективного контролируемого рандомизированноего токсикологического исследования.
Условия проведения
Гистологические и ультраструктурные исследования почек крыс выполнены в Институте эволюционной физиологии и биохимии им. И.М. Сеченова РАН и в Военно-медицинской академии им. С.М. Кирова.
Критерии соответствия
В исследование включены образцы почек самцов крыс, массой 250–370 г, выживших после острого воздействия сублетальных доз параоксона. Животных содержали в стандартных пластиковых клетках типа Т2 при температуре 20–22 ℃. Животные получали гранулированный корм «Чара» (ООО «Лабораторкорм», Россия) и питьевую воду в неограниченном количестве.
Продолжительность исследования
Фрагменты коркового вещества почек для исследования получены от животных после декапитации на гильотине для лабораторных грызунов (ООО «НПК Открытая наука», Россия) на 1, 3 и 7 сутки после введения параоксона. Исследование проведено в период с 2019 по 2023 год: биологический материал от животных трёх моделей отравления собирали последовательно, морфологическое исследование проводили единовременно.
Описание вмешательства
Фрагменты почек получены от крыс контрольной группы и трёх групп животных, подвергавшихся токсическому действию параоксона: группа М1 (модель отравления 1) — однократное введение параоксона (n = 15); группа М2 (модель отравления 2) — двукратное введение параоксона, интервал введения 1 час (n = 15); группа М3 (модель отравления 3) — последовательное введение ингибитора карбоксилэстераз CBDP и параоксона, интервал введения 1 час (n = 15). Животным контрольной группы вводили 1 мл 0,9% NaCl; дозы параоксона соответствовали ЛД50. Все препараты — параоксон (Paraoxon-ethyl; D9286, Sigma-Aldrich, США), CBDP (2-(о-крезил)-4Н-1,3,2-бензодиоксафосфорин-2-оксид; НИИ ГПЭЧ, Россия), 0,9% NaCl, вводили подкожно. Группы животных и дозы препаратов представлены в табл. 1 и описаны нами ранее [23]. Материал для исследования получали через 1, 3 и 7 суток после введения токсиканта. Выполняли иммуногистохимическое исследование, трансмиссионную электронную микроскопию и морфометрический анализ.
Таблица 1. Моделирование острого отравления сублетальными дозами параоксона у крыс
Table 1. Modeling of acute paraoxon poisoning in sublethal doses in rats
Воздействие | Контроль | Модель 1 | Модель 2 | Модель 3 |
Ингибирование карбоксилэстераз | – | – | Параоксон 110 мкг/кг | CBDP 3,3 мг/кг |
Вводимый препарат | 0,9% NaCl | Параоксон 250 мкг/кг | Параоксон 150 мкг/кг | Параоксон 150 мкг/кг |
Примечание. CBDP — специфический ингибитор карбоксилэстераз 2-(о-крезил)-4Н-1,3,2-бензодиоксафосфорин-2-оксид.
Для иммуногистохимического анализа фрагменты коркового вещества почек фиксировали в 10% забуференном формалине (рН 7,2–7,4), дегидратировали, заливали в парафин, с блоков получали срезы толщиной 5 мкм. Для демаскировки антигенов использовали метод нагревания в цитратном буфере (pH 6,0). Применяли первичные антитела к нефрину (кроличьи поликлональные, разведение 1:100; PRS2265-100UG, Sigma-Aldrich, США) и к коллагену IV типа (кроличьи поликлональные, разведение 1:100; SAB4500382, Sigma-Aldrich, США). Депарафинированные срезы инкубировали с антителами в течение ночи при температуре +4 °C, во влажной среде. Антигены визуализировали с помощью системы детекции Reveal-Biotin-Free Polivalent DAB (Spring Bioscience Co., США) в соответствии с рекомендациями производителя. Вторичные антитела, конъюгированные с пероксидазой хрена, входили в состав системы детекции.
Для ультраструктурного анализа фрагменты коркового вещества почек фиксировали в 2,5% глутаровом альдегиде на фосфатно-солевом буфере (pH 7,2–7,4), постфиксировали в 2% растворе OsO4 на фосфатно-солевом буфере (рН 7,2–7,4) и заливали в смолу Araldite (ESM, США). Срезы толщиной 80 нм контрастировали цитратом свинца и 1% водным раствором уранил ацетата (Serva, Германия). Ультратонкие срезы исследовали в трансмиссионном электронном микроскопе Merlin (Zeiss, Германия) на увеличениях ×1000, ×5000 и ×8000.
Основной исход исследования
Выявить ультраструктурные изменения в ГФБ почек у крыс после воздействия сублетальной дозы параоксона в сравнении с контрольной группой.
Анализ в группах
Специальные критерии для формирования групп не применялись. Морфологический анализ проводили на фрагментах коркового вещества почек, полученных от животных в трёх моделях отравления (М1, М2 и М3), описанных нами ранее [23].
Параоксон вводили подкожно в дозе, соответствующей ЛД50. Животным контрольной группы подкожно вводили 1 мл 0,9% NaCl. В качестве специфического ингибитора карбоксилэстераз использовали CBDP, который также вводили подкожно.
Методы регистрации исходов
Результаты иммуногистохимического исследования оценивали визуально с использованием трёхбалльной полуколичественной шкалы и представляли в %. Морфометрический анализ структур ГФБ проводили по методу, описанному N. Bgatova и I. Taskaeva [24], на электронограммах 4-х почечных телец для каждого животного. Измеряли: диаметр и количество фенестр эндотелиальных клеток в клубочковых капиллярах на отрезке равном 2 мкм; толщину ГБМ; количество и ширину цитоподий III порядка подоцитов на отрезке ГБМ равном 2 мкм; высоту ТЭК в проксимальных и дистальных канальцах.
Статистический анализ
Размер выборки заранее не рассчитывали. В исследование включены фрагменты коркового вещества почек всех крыс, которые выжили после воздействия сублетальных доз параоксона в трёх моделях отравления.
Анализ количественных данных выполнен с помощью программы GraphPad Prizm 5.0 (GraphPad Software Inc., США). Для проверки соответствия распределения количественных показателей нормальному закону использовали тест Колмогорова–Смирнова. Применяли однофакторный тест ANOVA с поправкой Бонферрони. Различия считали статистически значимыми при р ≤0,05. Результаты представлены в виде M ± SD, где M — среднее арифметическое, SD — стандартное отклонение.
РЕЗУЛЬТАТЫ
Объекты исследования
Выживаемость животных во всех трёх моделях отравления параоксоном составила 50%, что соответствует вводимой дозе токсиканта, равной ЛД50.
Основные результаты исследования
У животных всех опытных групп спустя 1 сутки после введения параоксона выявлены нарушения ТЭК в проксимальных канальцах почек: поражение микроворсинок, слущивание ТЭК, появление детрита в просвете канальцев. На 7-е сутки после отравления таких изменений не наблюдали. В почечных тельцах визуализируются капиллярные клубочки с развёрнутыми капиллярными петлями и свободными просветами капилляров, детрит в капсуле клубочков отсутствует. На ультрамикроскопическом уровне зафиксировано изменение структур ГФБ почек у крыс во всех опытных группах. Морфометрические характеристики элементов ГФБ представлены в табл. 2.
Таблица 2. Морфометрические показатели элементов гломерулярного фильтрационного барьера у крыс контрольной и опытных групп
Table 2. Morphometric parameters of glomerular filtration barrier elements in the control and experimental groups
Показатель | Сутки | Контроль | Модель 1 | Модель 2 | Модель 3 |
Количество фенестр на отрезке 2 мкм, шт. | 1 | 10,00 ± 1,90 | 9,66 ± 1,70 | 9,78 ± 1,50 | 6,55 ± 1,10*** |
7 | 10,00 ± 1,90 | 9,00 ± 2,20 | 7,45 ± 1,60*** | 7,71 ± 2,10* | |
Диаметр фенестр, мкм | 1 | 0,08 ± 0,02 | 0,12 ± 0,03*** | 0,08 ± 0,02 | 0,10 ± 0,02 |
7 | 0,08 ± 0,02 | 0,10 ± 0,02* | 0,10 ± 0,03* | 0,09 ± 0,02 | |
Толщина гломерулярной базальной мембраны, мкм | 1 | 0,18 ± 0,02 | 0,18 ± 0,02 | 0,17 ± 0,06 | 0,20 ± 0,05** |
7 | 0,18 ± 0,02 | 0,21 ± 0,05*** | 0,22 ± 0,09*** | 0,18 ± 0,05 | |
Количество цитоподий подоцитов на отрезке 2 мкм, шт. | 1 | 5,93 ± 1,80 | 7,20 ± 1,90 | 7,40 ± 1,30* | 6,70 ± 1,80 |
7 | 6,07 ± 1,80 | 6,29 ± 1,50 | 6,04 ± 1,50 | 6,71 ± 1,50 | |
Ширина подошвенной части цитоподий подоцитов, мкм | 1 | 0,20 ± 0,09 | 0,221 ± 0,13 | 0,20 ± 0,09 | 0,25 ± 0,15 |
7 | 0,19 ± 0,07 | 0,170 ± 0,07 | 0,27 ± 0,15*** | 0,27 ± 0,18** | |
Высота тубулярных эпителиальных клеток в проксимальных канальцах, мкм | 1 | 11,52 ± 2,90 | 12,70 ± 4,30 | 12,07 ± 2,80 | 13,44 ± 3,80* |
7 | 11,52 ± 2,90 | 10,61 ± 3,10 | 11,71 ± 2,80 | 13,56 ± 2,80* | |
Высота тубулярных эпителиальных клеток в дистальных канальцах, мкм | 1 | 8,72 ± 2,40 | 6,02 ± 2,10*** | 8,59 ± 2,30 | 9,59 ± 2,20 |
7 | 8,72 ± 2,40 | 7,23 ± 3,30 | 10,43 ± 2,90* | 8,57 ± 2,60 |
Примечание. Данные представлены в виде M ± SD, где M — среднее значение, SD — стандартное отклонение; * р ≤ 0,05, ** р ≤ 0,01, *** р ≤ 0,001 по сравнению с контролем.
Количество фенестр в эндотелиальных клетках сократилось по сравнению с контрольной группой в группе М3 спустя 1 сутки после отравления и в группах М2 и М3 — спустя 7 суток. При этом диаметр фенестр увеличился в группе М1 на 1 и 7-е сутки после введения параоксона, а в группе М2 спустя 7 суток после острого отравления. В группе М3 этот показатель не отличался от контрольных значений (см. табл. 2).
Увеличение толщины ГБМ выявлено в модели М3 на 1-е сутки после воздействия, однако спустя 7 суток отличий от животных контрольной группы не наблюдали. При этом в моделях отравления М1 и М2 толщина ГБМ увеличивается только на 7-е сутки после введения параоксона (см. табл. 2).
Среднее количество цитоподий подоцитов на отрезке мембраны длиной 2 мкм увеличилось только в модели М2 спустя 1 сутки после отравления, в остальных опытных группах отличий от контроля не обнаружено. Ширина подошвенной части цитоподий статистически значимо больше в моделях М2 и М3 на 7-е сутки после отравления (см. табл. 2). В группе М1 в эти сроки отличий от контроля не наблюдалось.
Высота ТЭК в проксимальных и дистальных канальцах отличается от контрольных значений как на 1, так и на 7-е сутки после воздействия параоксона. Высота ТЭК в проксимальных канальцах увеличена в группе М3 в обеих временных точках. В дистальных канальцах высота ТЭК уменьшается в группе М1 в 1-е сутки и увеличивается в группе М2 на 7-е сутки по сравнению с контролем (см. табл. 2). Кроме того, в моделях М2 и М3 наблюдали гипертрофию ТЭК в дистальных канальцах, а в модели М1 — кратковременное уплощение клеток (см. табл. 2).
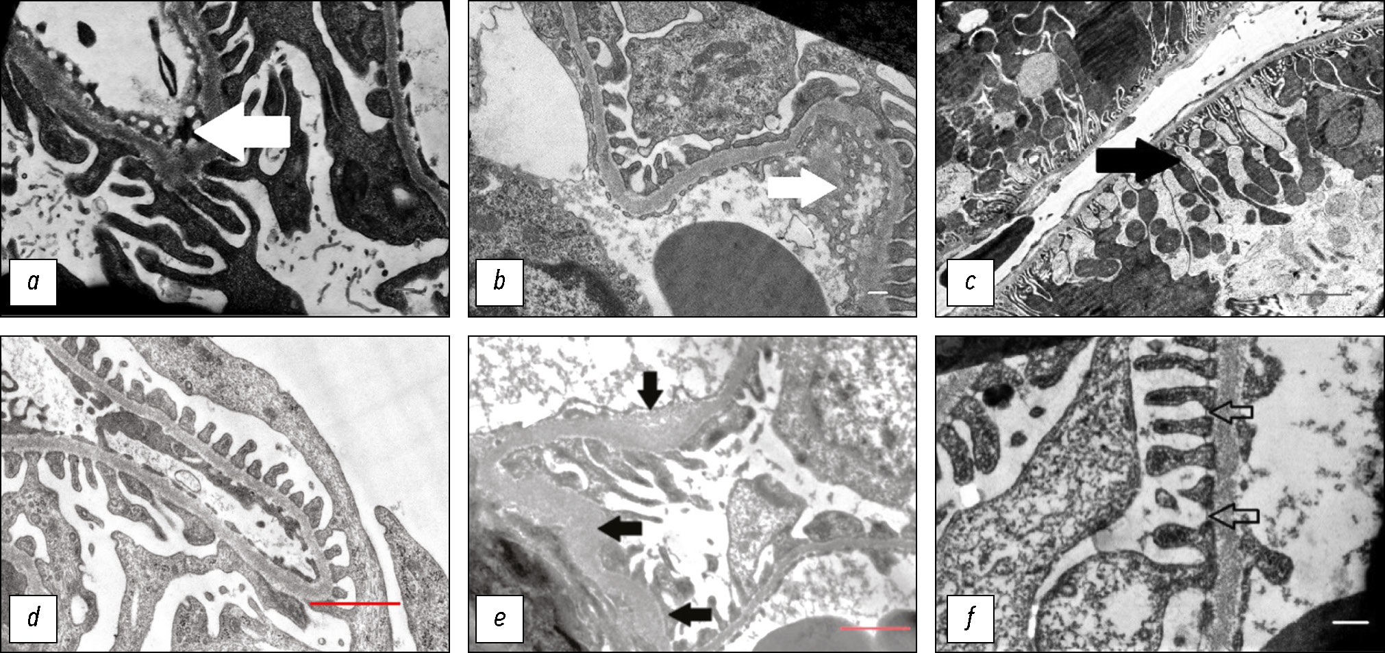
Основные изменения структуры ГБМ у животных после отравления параоксоном были схожими: в группах М1, М2 и М3 базальная мембрана имеет неравномерную толщину, в ней визуализируются разреженные области, граничащие с эндотелиальными клетками, а также участки удвоения ГБМ. При этом не обнаружено нарушения целостности ГБМ и присутствия в ней осмиофильных электронно-плотных отложений (рис. 1). Щелевые диафрагмы, объединяющие цитоподии III порядка подоцитов, не повреждены как в контрольной, так и в трёх опытных группах (см. рис. 1).
Рис. 1. Ультраструктура гломерулярного фильтрационного барьера почек в трёх моделях отравления параоксоном: a — фенестры эндотелиальных клеток в контрольной группе на 3 сутки эксперимента; b — фенестры эндотелиальных клеток у крысы после однократного введения параоксона (модель 1); c — нарушение структуры базального лабиринта тубулярных эндотелиальных клеток; d — структура гломерулярной базальной мембраны в контрольной группе; e — структурные изменения гломерулярной базальной мембраны спустя 7 суток после воздействия параоксона (модель 2); f — структурные изменения гломерулярной базальной мембраны спустя 7 суток после воздействия параоксона (модель 3). Стрелками обозначены: чёрная — нарушения структуры гломерулярной базальной мембраны под эндотелиальными клетками; белая — обзорные участки фенестр эндотелиальных клеток; незакрашенная — щелевые диафрагмы. Трансмиссионная электронная микроскопия, масштабный отрезок a, b — 200 нм, c — 2 мкм, d–f — 1 мкм.
Fig. 1. Ultrastructure of the renal glomerular filtration barrier in three paraoxon poisoning models: a, fenestrations of endothelial cells in the control group on day 3 of the experiment; b, fenestrations of endothelial cells in a rat after a single paraoxon administration (model 1); c, disruption of the basal labyrinth structure of tubular endothelial cells; d, structure of the glomerular basement membrane in the control group; e, structural changes in the glomerular basement membrane 7 days after paraoxon exposure (model 2); f, structural changes in the glomerular basement membrane 7 days after paraoxon exposure (model 3). Arrows indicate: black, structural changes in the glomerular basement membrane beneath endothelial cells; white, representative areas of endothelial fenestrations; unfilled, slit diaphragms. Transmission electron microscopy, scale bars: a, b, 200 nm; c, 2 μm; d–f, 1 μm.
Дополнительные результаты исследования
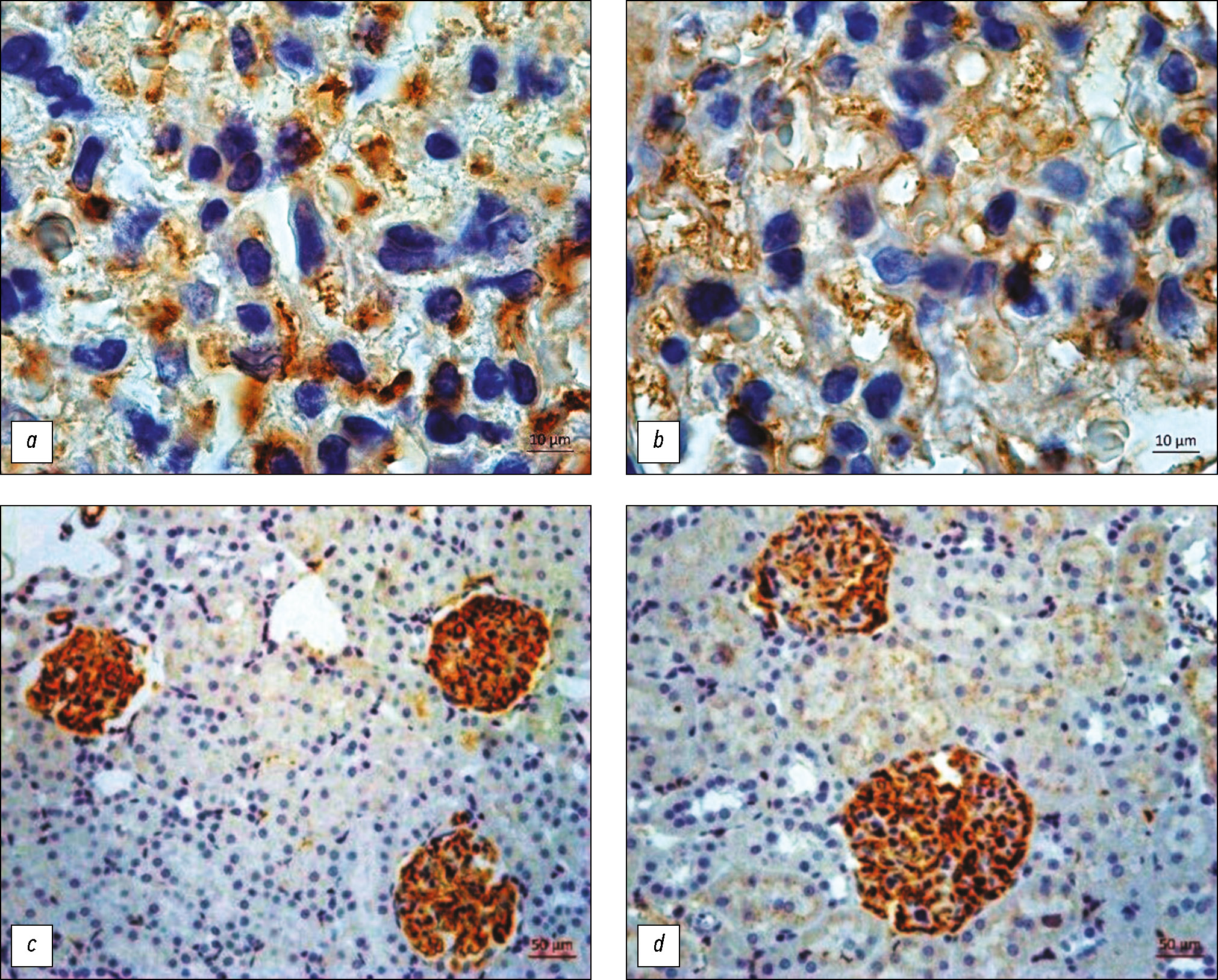
Нарушений в локализации нефрина и коллагена IV типа при остром отравлении сублетальной дозой параоксона не обнаружено (рис. 2). Интенсивность иммуногистохимической реакции визуально оценивалась как выраженное положительное окрашивание как в контрольной, так и в опытных группах.
Рис. 2. Капилляры сосудистого клубочка интракортикальных нефронов крыс: a, c — контрольная группа; b, d — после воздействия параоксона (модель 1). Иммуногистохимическое окрашивание с использованием антител к: a, b — нефрину через 3-е суток после воздействия параоксона; c, d — к коллагену IV типа через 7 суток после воздействия параоксона; докрашивание гематоксилином Майера. Увеличение a, b ×1000; c, d ×400.
Fig. 2. Capillaries of the glomerular tuft in intracortical nephrons of rats: a, c, control group; b, d, after paraoxon exposure (model 1). Immunohistochemical staining with antibodies to: a, b, nephrin, 3 days after paraoxon exposure; c, d, type IV collagen, 7 days after paraoxon exposure; counterstained with Mayer hematoxylin. Magnification: a, b, ×1000; c, d, ×400.
ОБСУЖДЕНИЕ
Резюме основного результата исследования
Острое отравление параоксоном во всех трёх моделях вызывает ультраструктурные изменения в компонентах ГФБ — эндотелиальных клетках клубочковой капиллярной сети, ГБМ и подоцитах. Выявленные структурные изменения не обнаруживаются при изучении гистологических препаратов методом световой микроскопии, что создаёт необходимость применения ультраструктурных методов в исследовании нефротоксичности параоксона.
Обсуждение основного результата исследования
В исследовании продемонстрированы изменения структуры ГФБ почек у крыс при остром отравлении параоксоном, который вводили в трёх различных режимах. При этом во всех опытных группах изменения компонентов ГФБ имеют сходные проявления, что согласуется с представленными в научной литературе данными о схожести структурных проявлений при септических, токсических и гипоксических воздействиях на почки [25].
Восстановление целостности ТЭК в проксимальных канальцах наблюдали к 7-м суткам после воздействия параоксона, что согласуется с данными о восстановлении ТЭК у человека при непреднамеренном отравлении [6]. Известно, что ТЭК нефронов способны к регенерации, пролиферации и миграции [26, 27].
Иммуногистохимическое исследование с использованием антител к нефрину и коллагену IV типа не выявило различий в интенсивности окрашивания почечной ткани между контрольной и тремя опытными группами (тремя моделями отравления параоксоном). Нефрин присутствует в цитоплазме подоцитов, при этом на ультраструктурном уровне отчётливо визуализируются щелевые диафрагмы подоцитов, где нефрин выступает в качестве связующего белка между цитоподиями. Белки щелевой диафрагмы поддерживают актиновый цитоскелет цитоподий в физиологичном состоянии, необходимом для предотвращения протеинурии [2]. Подоциты — это эпителиальные клетки, не способные к пролиферации, однако их актиновый цитоскелет обладает способностью к сокращению [2]. Повреждённые подоциты претерпевают гипертрофические изменения и перестройку цитоскелета цитоподий для компенсации «незакрытых» участков ГБМ [2].
Нарушения микроциркуляции крови, вызванные острым отравлением ФОС, подразумевают гипоксическое воздействие на клетки почек [28]. Повреждение клеток после ишемии и реперфузии, а также аномальный уровень различных циркулирующих факторов при отравлении ФОС, способны вызывать дисфункцию эндотелиальных клеток [12]. В научной литературе описан мускариновый рецептор AChM1R (Acetylcholine Muscarinic Receptor M1), опосредующий изменения, наблюдаемые в эндотелиальных клетках клубочковых капилляров [29]. В данном исследовании наиболее выраженные изменения наблюдали в структуре эндотелиальных клеток: изменение диаметра фенестр и их количества обнаружено во всех моделях отравления на 7-е сутки после воздействия параоксона. На рис. 3 схематически представлены все элементы ГФБ, претерпевающие изменения на 7-е сутки после введения токсиканта.
Рис. 3. Схема гломерулярного фильтрационного барьера почек у крыс в трёх экспериментальных моделях отравления параоксоном: рамкой выделены элементы гломерулярного фильтрационного барьера, в которых обнаруживаются изменения спустя 7 суток после острого воздействия параоксона. Толщина рамки в модели М2 подчёркивает выраженность изменений, охватывающих все элементы гломерулярного фильтрационного барьера.
Fig. 3. Schematic representation of the renal glomerular filtration barrier in three experimental paraoxon poisoning models: framed areas indicate components of the glomerular filtration barrier in which changes were observed 7 days after acute paraoxon exposure. The thicker frame in model M2 highlights the severity of changes involving all components of the glomerular filtration barrier.
Результаты исследования свидетельствуют о том, что под действием параоксона элементы ГФБ изменяются взаимосвязано. Так, на 7-е сутки при уменьшении количества фенестр и увеличении их диаметра наблюдали увеличение толщины ГБМ, ширины цитоподий подоцитов и их количества. В группе М3 спустя 1 сутки после введения параоксона, на фоне снижения количества и увеличения диаметра фенестр эндотелиальных клеток клубочковых капилляров, увеличиваются толщина ГБМ и ширина подошвенной части цитоподий подоцитов. В модели М1, где отсутствует этап ингибирования активности карбоксилэстераз, спустя 1 сутки происходит лишь увеличение диаметра фенестр.
Динамика структурных изменений ГБМ различалась между опытными группами. При однократном (группа М1) и двукратном (групп М2) введении параоксона наблюдали последовательное утолщение ГБМ. В то же время, при введении CBDP (группа М3) утолщение базальной мембраны, наблюдавшееся спустя 1 сутки после воздействия токсиканта, нивелировалось к 7-м суткам. Можно предположить, что увеличение интенсивности трансгломерулярного транспорта в группе М3 приводит к накоплению белка в толще ГБМ спустя 1 сутки. К 7-м суткам подоциты устраняют избыток белка из базальной мембраны, что сопровождается уменьшением её толщины [16]. Помимо нарушения избирательной проницаемости и накопления белка в толще ГБМ, вероятен также аномальный синтез компонентов мембраны, вызванный острой токсической нагрузкой и разобщением метаболизма подоцитов и эндотелиальных клеток [30]. Кроме нарушения селективной проницаемости фенестр эндотелиальных клеток, приводящего к аккумуляции макромолекул в толще ГБМ, можно предположить развитие эндотелиальной дисфункции и нарушений межклеточных взаимодействий между компонентами ГФБ [11, 31]. Так, в моделях М2 и М3 на 7-е сутки после введения параоксона увеличение ширины подошвенной части цитоподий подоцитов сопровождается утолщением ГБМ. Возможным механизмом подобных изменений может служить перестройка актиновых микрофиламентов подоцитов, компенсирующих «незакрытые» участки ГБМ. Перекрёстное взаимодействие эндотелиальных клеток и подоцитов через сигнальные пути VEGFA–eNOS и NO–ET-1 позволяет эндотелию клубочковых капилляров инициировать перестройку цитоскелета подоцитов за счёт высвобождения эндотелина 1 (ET-1) [11, 12].
Изменения в структуре ТЭК в дистальных канальцах зафиксированы на 7-е сутки после воздействия параоксона в моделях М2 и М3. Согласно данным научной литературы, основным механизмом, стимулирующим развитие гипертрофии клеток дистальных канальцев, признано повышение концентрации Na+ в канальцевой жидкости [32]. Повреждение микроворсинок ТЭК в проксимальных канальцах в 1-е сутки после воздействия и вызванное этим нарушение активного транспорта ионов, вероятно, лежит в основе роста концентрации Na+ в канальцевой жидкости [27].
Ограничения исследования
Исследование направлено на изучение морфологических изменений в тканях почек крыс и призвано установить нарушения в ГФБ в результате воздействия параоксона. Все изменения ГФБ, описанные в работе, относятся к ранним срокам —1, 3 и 7-е сутки после отравления.
ЗАКЛЮЧЕНИЕ
Острое отравление параоксоном вызывает ультраструктурные изменения в элементах ГФБ у крыс — эндотелиальных клетках клубочковых капилляров, ГБМ и подоцитах. Выявленные изменения не определяются при световой микроскопии, что создаёт необходимость проведения ультраструктурных исследований почек при изучении нефротоксичности ФОС.
Эндотелиальные клетки клубочковой капиллярной сети наиболее восприимчивы к острому воздействию параоксона, при этом наиболее выраженные изменения наблюдали у крыс после двукратного введения токсиканта (группа М2). Полученные результаты дают основание полагать, что данный метод моделирования отравления наиболее объективно отражает процессы, связанные с острым токсическим действием ФОС. Использование этой модели на грызунах будет полезным при оценке рисков для здоровья человека, контактирующего с ФОС. Выявленные в работе изменения структуры ГФБ свидетельствуют о том, что хроническое отравление ФОС может сопровождаться снижением функциональной активности почек вследствие повреждения почечных телец.
ДОПОЛНИТЕЛЬНАЯ ИНФОРМАЦИЯ
Вклад авторов. М.О. Соколова — проведение исследования, работа с данными, анализ данных, написание черновика рукописи; В.Е. Соболев — руководство исследованием, проведение исследования, пересмотр и редактирование рукописи. Все авторы одобрили рукопись (версию для публикации), а также согласились нести ответственность за все аспекты настоящей работы, гарантируя надлежащее рассмотрение и решение вопросов, связанных с точностью и добросовестностью любой её части.
Благодарности. Авторы выражают благодарность доктору биологических наук Н.В. Гончарову за выполнение экспериментов по моделированию интоксикации крыс.
Этическая экспертиза. Эксперименты по моделированию интоксикации у крыс получили одобрение Этического комитета Института эволюционной физиологии и биохимии имени И.М. Сеченова РАН (протокол № 13-к-а от 15 февраля 2018 года).
Источники финансирования. Работа выполнена при поддержке Института эволюционной физиологии и биохимии имени И.М. Сеченова Российской академии наук, государственное задание № 075-00263-25-00.
Раскрытие интересов. Авторы заявляют об отсутствии отношений, деятельности и интересов за последние три года, связанных с третьими лицами (коммерческими и некоммерческими организациями), интересы которых могут быть затронуты содержанием статьи.
Оригинальность. При проведении исследования и создании настоящей статьи авторы не использовали ранее полученные и опубликованные сведения (данные, текст, иллюстрации).
Доступ к данным. Все данные, полученные в настоящем исследовании, представлены в статье.
Генеративный искусственный интеллект. При создании настоящей статьи технологии генеративного искусственного интеллекта не использовали.
Рассмотрение и рецензирование. Настоящая работа подана в журнал в инициативном порядке, рассмотрена и опубликована вне очереди. В рецензировании участвовали два внешних рецензента и научный редактор издания.
ADDITIONAL INFORMATION
Author contributions: M.O. Sokolova: investigation, data curation, formal analysis, writing—original draft; V.E. Sobolev: supervision, investigation, writing—review & editing. All the authors approved the version of the manuscript to be published and agreed to be accountable for all aspects of the work, ensuring that questions related to the accuracy or integrity of any part of the work are appropriately investigated and resolved.
Acknowledgements: The authors express their gratitude to Nikolay V. Goncharov, Doctor of Sciences in Biology, for conducting the rat intoxication modeling experiments.
Ethics approval: The experiments on modeling intoxication in rats were approved by the Ethics Committee of the I.M. Sechenov Institute of Evolutionary Physiology and Biochemistry (Minutes No. 13-k-a, dated February 15, 2018).
Funding sources: This work was supported by the I.M. Sechenov Institute of Evolutionary Physiology and Biochemistry, state assignment No. 075-00263-25-00.
Disclosure of interests: The authors have no relationships, activities, or interests for the last three years related to for-profit or not-for-profit third parties whose interests may be affected by the content of the article.
Statement of originality: No previously obtained or published material (text, images, or data) was used in this study or article.
Data availability statement: All data obtained in this study are available in this article.
Generative AI: No generative artificial intelligence technologies were used to prepare this article.
Provenance and peer review: This paper was submitted unsolicited and underwent prioritized peer review and publication. The peer review process involved two external reviewers and the in-house scientific editor.
About the authors
Margarita O. Sokolova
Kirov Military Medical Academy
Author for correspondence.
Email: sokolova.rita@gmail.com
ORCID iD: 0000-0002-3457-4788
SPIN-code: 3683-6054
Russian Federation, Saint Petersburg
Vladislav E. Sobolev
Sechenov Institute of Evolutionary Physiology and Biochemistry of the Russian Academy of Sciences
Email: vesob@mail.ru
ORCID iD: 0000-0001-7775-8205
SPIN-code: 1225-2853
Dr. Sci. (Biology)
Russian Federation, Saint PetersburgReferences
- Jacobson MH, Wu Y, Liu M, et al. Organophosphate pesticides and progression of chronic kidney disease among children: A prospective cohort study. Environ Int. 2021;155:106597. doi: 10.1016/j.envint.2021.106597 EDN: ADECUU
- Kravets I, Mallipattu SK. The role of podocytes and podocyte-associated biomarkers in diagnosis and treatment of diabetic kidney disease. J Endocr Soc. 2020;4(4):bvaa029. doi: 10.1210/jendso/bvaa029 EDN: NNEFIF
- Wan ET, Darssan D, Karatela S, et al. Association of pesticides and kidney function among adults in the US population 2001–2010. Int J Environ Res Public Health. 2021;18(19):10249. doi: 10.3390/ijerph181910249 EDN: GFBOIC
- Eddleston M, Buckley NA, Eyer P, Dawson AH. Management of acute organophosphorus pesticide poisoning. Lancet. 2008;371(9612):597–607. doi: 10.1016/S0140-6736(07)61202-1
- Lee Y. Associations between pesticide exposure and kidney function failure. Pesticide Exposure and Kidney Function Failure. 2017;1–12. Available at: https://nature.berkeley.edu/classes/es196/projects/2017final/LeeY_2017.pdf
- Wu JH, Ma XH, Dong JH, et al. Evaluation and use of organs from donors poisoned by organophosphorus pesticide. Ann Transplant. 2023;28:e939343. doi: 10.12659/AOT.939343 EDN: ILHTGO
- Ghosh R, Siddharth M, Kare PK, et al. Role of organochlorine pesticides in chronic kidney diseases of unknown etiology. In: Rath T, editor. Chronic kidney disease – from pathophysiology to clinical improvements. InTech; 2018. P:199–214. doi: 10.5772/intechopen.71196
- Rosenberg Y, Jiang X, Mao L, et al. Development of a prophylactic butyrylcholinesterase bioscavenger to protect against insecticide toxicity using a homologous macaque model. In: Soloneski S, editor. Insecticides – Basic and Other Applications. InTech; 2012. P:79–100. doi: 10.5772/29014
- Daehn IS, Duffield IS. The glomerular filtration barrier: a structural target for novel kidney therapies. Nat Rev Drug Discov. 2021;20(10):770–788. doi: 10.1038/s41573-021-00242-0 EDN: AHGYDD
- Vaughan MR, Quaggin SE. How do mesangial and endothelial cells form the glomerular tuft? J Am Soc Nephrol. 2008;19(1):24–33. doi: 10.1681/ASN.2007040471 EDN: GGORRS
- Chew C, Lennon R. Basement membrane defects in genetic kidney diseases. Front Pediatr. 2018;6:11. doi: 10.3389/fped.2018.00011 EDN: YEKPOX
- Sol M, Kamps JAAM, van den Born J, et al. Glomerular endothelial cells as instigators of glomerular sclerotic diseases. Front Pharmacol. 2020;11:573557. doi: fphar.2020.573557 EDN: NVNDRY
- Ryu H, Layton AT. Tubular fluid flow and distal NaCl delivery mediated by tubuloglomerular feedback in the rat kidney. J Math Biol. 2014;68(4):1023–1049. doi: 10.1007/s00285-013-0667-5
- Karami-Mohajeri S, Ahmadipour A, Rahimi HR, Abdollahi M. Adverse effects of organophosphorus pesticides on the liver: A brief summary of four decades of research. Arh Hig Rada Toksikol. 2017;68(4):261–275. doi: 10.1515/aiht-2017-68-2989
- Schlöndorff D, Wyatt CM, Campbell KN. Revisiting the determinants of the glomerular filtration barrier: what goes round must come round. Kidney Int. 2017;92(3):533–536. doi: 10.1016/j.kint.2017.06.003
- Lawrence MG, Altenburg MK, Sanford R, et al. Permeation of macromolecules into the renal glomerular basement membrane and capture by the tubules. Proc Natl Acad Sci U S A. 2017;114(11):2958–2963. doi: 10.1073/pnas.1616457114
- Pereira EF, Aracava Y, DeTolla LJr, et al. Animal models that best reproduce the clinical manifestations of human intoxication with organophosphorus compounds. J Pharmacol Exp Ther. 2014;350(2):313–321. doi: 10.1124/jpet.114.214932
- Poirier L, Plener L, Daudé D, Chabrière E. Enzymatic decontamination of paraoxon-ethyl limits long-term efects in planarians. Sci Rep. 2020;10(1):3843. doi: 10.1038/s41598-020-60846-1 EDN: VXZWZA
- Tsai YH, Lein PJ. Mechanisms of organophosphate neurotoxicity. Curr Opin Toxicol. 2021;26:49–60. doi: 1016/j.cotox.2021.04.002 EDN: GYDQTE
- Guignet M, Dhakal K, Flannery BM, et al. Persistent behavior deficits, neuroinflammation, and oxidative stress in a rat model of acute organophosphate intoxication. Neurobiol Dis. 2020;133:104431. doi: 10.1016/j.nbd.2019.03.019 EDN: FNKAPU
- Rizzati V, Briand O, Guillou H, Gamet-Payrastre L. Effects of pesticide mixtures in human and animal models: An update of the recent literature. Chem Biol Interact. 2016;254:231–246. doi: 10.1016/j.cbi.2016.06.003
- Hatfield MJ, Umans RA, Hyatt JL, et al. Carboxylesterases: General detoxifying enzymes. Chem Biol Interact. 2016;259(Pt B):327–331. doi: 10.1016/j.cbi.2016.02.011
- Sobolev VE, Sokolova MO, Jenkins RO, Goncharov NV. Nephrotoxic effects of paraoxon in three rat models of acute intoxication. Int J Mol Sci. 2021;22:13625. doi: 10.3390/ijms222413625 EDN: WNMNIJ
- Bgatova N, Taskaeva I. Ultrastructure of the kidney filtration barrier in conditions of distant tumor growth and lithium treatment. Ultrastruct Pathol. 2020;44(4-6):412–421. doi: 10.1080/01913123.2020.1850962 EDN: WYQYLO
- Bakker PJ, Butter LM, Claessen N, et al. A Tissue-specific role for Nlrp3 in tubular epithelial repair after renal ischemia/reperfusion. Am J Pathol. 2014;184(7):2013–2022. doi: 10.1016/j.ajpath.2014.04.005
- Christensen EI, Birn H, Storm T, et al. Endocytic receptors in the renal proximal tubule. Physiology (Bethesda). 2012;27(4):223–236. doi: 10.1152/physiol.00022.2012
- Ludes PO, Roquetaillade C, Chousterman BG, et al. Role of damage-associated molecular patterns in septic acute kidney injury, from injury to recovery. Front Immunol. 2021;12:606622. doi: 10.3389/fimmu.2021.606622 EDN: LGKCTW
- Prozorovskij VB, Skopichev VG. Remote action in the pathogenesis of organophosphorus poisoning. Reviews on Clinical Pharmacology and Drug Therapy. 2004;3(3):56–67 (In Russ.) EDN: HVGPYL
- Saternos HC, Almarghalani DA, Gibson HM, et al. Distribution and function of the muscarinic receptor subtypes in the cardiovascular system. Physiol Genomics. 2018;50(1):1–9. doi: 10.1152/physiolgenomics.00062.2017
- Ebefors K, Lassén E, Anandakrishnan N, et al. Modeling the glomerular filtration barrier and intercellular crosstalk. Front Physiol. 2021;12:689083. doi: 10.3389/fphys.2021.689083 EDN: JRAHAS
- ‘t Hart DC, Yildiz D, Palacio-Castañeda V, et al. Co-culture of glomerular endothelial cells and podocytes in a custom-designed glomerulus-on-a-chip model improves the filtration barrier integrity and affects the glomerular cell phenotype. Biosensors (Basel). 2023;13(3):339. doi: 10.3390/bios13030339 EDN: DVXUSG
- Subramanya AR, Ellison DH. Distal convoluted tubule. Clin J Am Soc Nephrol. 2014;9(12):2147–2163. doi: 10.2215/CJN.05920613
Supplementary files






