Fixation with zinc-formalin as an adequate substitution of Zenker-formol for the histochemical staining of the pancreatic islet cells
- Authors: Manskikh V.N.1
-
Affiliations:
- M.V. Lomonosov Moscow State University
- Issue: Vol 159, No 1 (2021)
- Pages: 29-32
- Section: Original Study Articles
- Submitted: 05.03.2022
- Accepted: 05.03.2022
- Published: 15.01.2021
- URL: https://j-morphology.com/1026-3543/article/view/104471
- DOI: https://doi.org/10.17816/1026-3543-2021-159-1-29-32
- ID: 104471
Cite item
Full Text
Abstract
AIM: The work aimed to determine the possibility of using zinc-formalin fixation instead of Zenker-formol to identify selectively all the main types of cells (A, B, D) of the pancreatic Langerhans islets by staining using classical histochemical methods.
MATERIALS AND METHODS: Pancreatic samples of the naked mole rat (Heterocephalus glaber, Rüppell, 1842) were fixed for 24 hours in zinc-formalin fixative containing 300 ml of 37% formaldehyde, 50 g of zinc chloride, 1.9 ml of glacial acetic acid, and 2 L of distilled water. After fixation, the standard procedures for paraffin embedding and staining with Heidenhain’s azan and a combination of azan and Gomori’s paraldehyde-fuchsin were performed according to routine protocols.
RESULTS: It was revealed that a distinctive differential staining of all three major types of islet cells can be obtained if pancreatic samples are fixed in a zinc-formalin fixative for 24 hours. At the same time, as after fixation with Zenker-formol (but not with formalin solution or Bouin fixative), not only A and B, but also D-cells are clearly identified. Comparison of the immunohistochemical data on the distribution pattern of various cells in the pancreatic islet in a naked mole rat with that detected by histochemical stains showed their complete coincidence.
CONCLUSIONS: Zinc-formalin can be used as a more convenient and safer fixative for detecting Langerhans islet cells (including D cells) by staining with Heidenhain’s azan and Gomori’s paraldehyde-fuchsin instead of mercury salt-containing Zenker-formol.
Keywords
Full Text
Для выявления разных типов клеток поджелудочной железы до сих пор остаются вполне валидными гистохимические методы (окраска азаном Гейденгайна, хромовым гематоксилином-флоксином и паральдегид-фуксином по Гомори) наряду с электронно-микроскопическими и иммуногистохимическими способами [1–3]. При этом первые имеют некоторые явные преимущества: они многократно дешевле, отличаются экономией времени и, в сравнении с иммуногистохимией, могут быть использованы даже для работы с теми видами животных, для клеток которых нет коммерческих антител.
Для гистохимического окрашивания А- и В-клеток обычно рекомендуют фиксацию образцов смесью Буэна [2]. Эта смесь, однако, не оптимальна, если в дальнейшем потребуется иммуногистохимическое исследование. Кроме того, ещё в 1931 г. W. Bloom обнаружил, что в поджелудочной железе человека и некоторых животных (морских свинок) можно выявить ещё один тип клеток (впоследствии названный D-клетками), если материал зафиксировать ценкер-формолом по Максимову и окрасить азаном [4]. Эти клетки совершенно не окрашиваются, если материал зафиксирован другими смесями (Карнуа, Буэна, фосфатно-солевым раствором формалином) [3]. Однако сегодня ценкер-формол можно отнести к довольно редко используемым фиксаторам, поскольку он содержит в своём составе очень токсичную соль ртути (сулему), приобретение, хранение и утилизация которой сопряжены со значительными трудностями. Кроме того, он не очень удобен, так как требует дополнительной процедуры удаления из препаратов ртутных осадков.
МАТЕРИАЛЫ И МЕТОДЫ
Автором настоящей заметки при исследовании микроскопической анатомии нового лабораторного грызуна, голого землекопа (Heterocephalus glaber, Rüppell, 1842), было впервые обнаружено, что отчётливую дифференциальную окраску всех трёх мажорных типов островковых клеток можно получить, если зафиксировать образцы поджелудочной железы в течение сут в цинк-формалиновом фиксаторе следующего состава: 37% формальдегид – 300 мл, хлорид цинка (марки ХЧ) – 50 г, ледяная уксусная кислота – 1,9 мл, дистиллированная вода – 2 л [5].
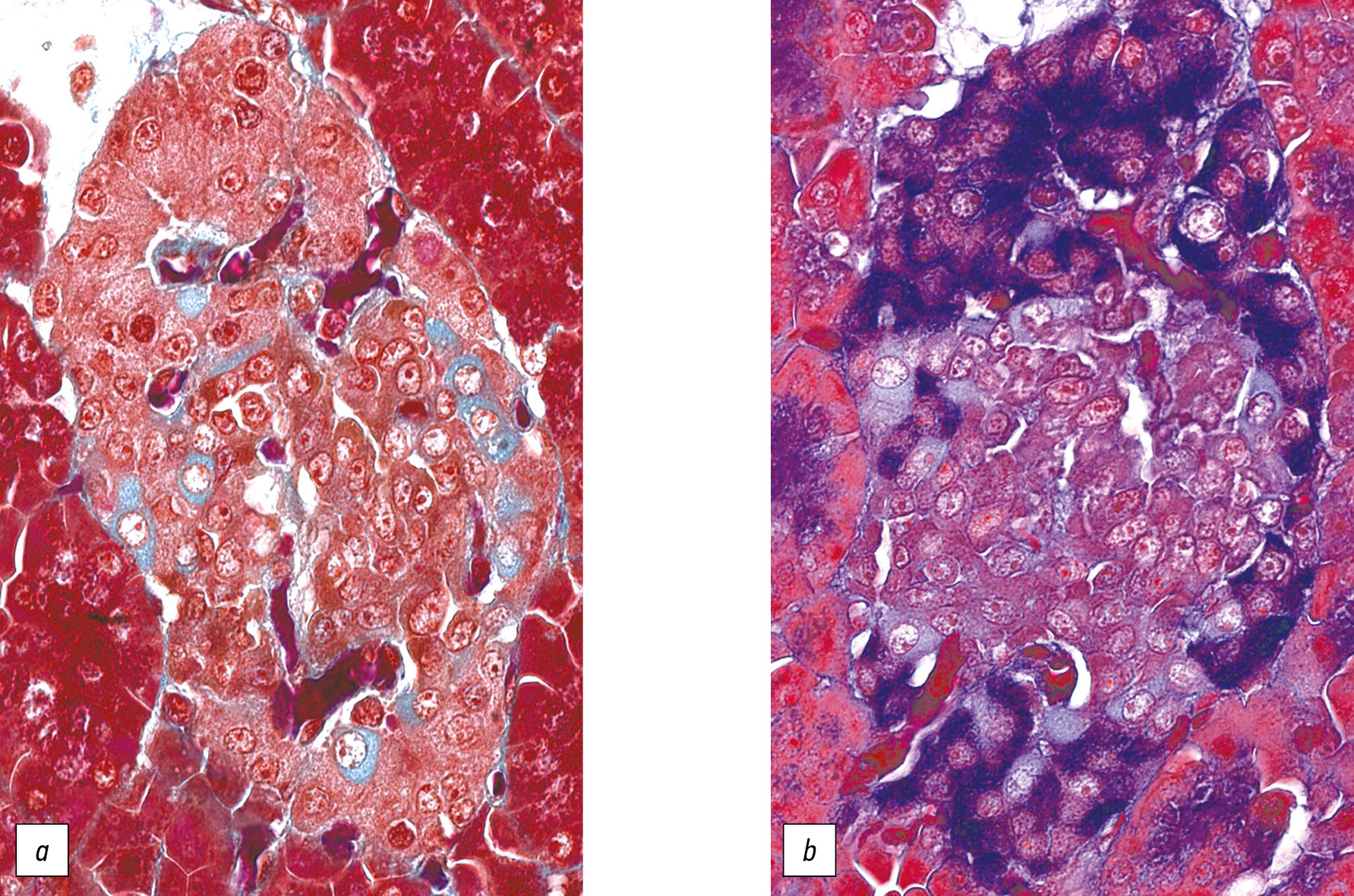
После заливки в парафин по рутинной процедуре и применении стандартной окраски азаном удалось выявить все 3 типа островковых клеток (рис. a): окрашенные в кирпично-красный цвет А-клетки (центр островка), буровато-розовые В-клетки (периферия островка) и светло-зелёные (или голубые, в зависимости от того, добавлен ли в смесь Маллори световой зелёный или анилиновый синий) D-клетки (на границе зон А- и В-клеток). Окраску удалось легко скомбинировать с паральдегид-фуксином по Гомори, что дало ещё более контрастное окрашивание B-клеток, приобретших тёмно-фиолетовый цвет (рис. b). Сопоставление с иммуногистохимическими данными [6] картины распределения различных клеток в островке, выявленной гистохимическими окрасками, показало их полное совпадение.
Рис. Островок поджелудочной железы голого землекопа (Heterocephalus glaber): a – окраска азаном (со световым зелёным в смеси Маллори), цитоплазма А-клеток – красно-коричневая, В-клеток – розовая, D-клеток – нежно-зелёная; b – окраска азаном в комбинации с паральдегид-фуксином по Гомори, цитоплазма А-клеток – тёмно-красная, В-клеток – тёмно-фиолетовая, D-клеток – серо-голубая. В обоих случаях ядра окрашены азокармином в красный цвет. Ок. ×10, об. ×100
ЗАКЛЮЧЕНИЕ
Таким образом, фиксация цинк-формалином позволяет выявлять с помощью классических гистохимических методов все 3 основных типа клеток островков Лангерганса (в том числе и D-клетки). Этот фиксатор хорошо (лучше, чем фосфатно-солевой раствор формалина) сохраняет структуру ткани и не только подходит, но даже рекомендован для фиксации с иммуногистохимическими целями (если последнее будет необходимо) [5]. Он не содержит солей ртути и потому работа с ним не сопряжена с соответствующими трудностями и опасностями.
ДОПОЛНИТЕЛЬНАЯ ИНФОРМАЦИЯ / ADDITIONAL INFO
Источник финансирования. Автор заявляет об отсутствии внешнего финансирования при проведении исследования.
Конфликт интересов. Автор декларирует отсутствие явных и потенциальных конфликтов интересов, связанных с публикацией настоящей статьи.
Вклад авторов. Автор подтверждает соответствие своего авторства международным критериям ICMJE и одобрил финальную версию перед публикацией.
Funding source. This study was not supported by any external sources of funding.
Competing interests. The author declare that he have no competing interests.
Author contribution. The author confirms the compliance of his authorship, according to international ICMJE criteria and approved the final version to be published.
About the authors
Vasiliy Nikolaevich Manskikh
M.V. Lomonosov Moscow State University
Author for correspondence.
Email: manskikh@mail.ru
ORCID iD: 0000-0002-6404-8105
Russian Federation, Moscow
References
- Nikonova LG. Changes of pancreatic islet a cells after physical loads in glucose tolerance impairement. Morfologiia. 2016;150(5): 68–70. (In Russ).
- Toroptsev IV, Eschenko VA. Experimental ditisonian diabetis. Tomsk: Tomsk University Press, 1975. (In Russ).
- Baskin DG. A historical perspective on the identification of cell types in pancreatic islets of Langerhans by staining and histochemical techniques. J. Histochem. Cytochem. 2015;63:543–558. doi: 10.1369/0022155415589119
- Bloom W. New type of granular cell in islets of Langerhans of man. Anat. Rec. 1931;49:363–371.
- Korzhevskii DE, Giliarov AV. Basic histological techniques. SpecLit Press, 2010. (In Russ).
- Kramer B, Buffenstein R. The pancreas of the naked mole-rat (Heterocephalus glaber): an ultrastructural and immunocytochemical study of the endocrine component of thermoneutral and cold acclimated animals. Gen. Comp. Endocrinol. 2004;139:206–214. doi: 10.1016/j.ygcen.2004.09.006
Supplementary files




