The effect of passive smoking on the structure of hepatocytes and the state of the microcirculatory bed in the liver in rats
- Authors: Malyshev I.I.1, Vorobeva O.V.2, Romanova L.P.2
- 
							Affiliations: 
							- Mari State University
- Chuvash State University named after I.N. Ulyanova
 
- Issue: Vol 160, No 1 (2022)
- Pages: 57-63
- Section: Original Study Articles
- Submitted: 18.10.2022
- Accepted: 05.12.2022
- Published: 15.01.2022
- URL: https://j-morphology.com/1026-3543/article/view/111965
- DOI: https://doi.org/10.17816/morph.111965
- ID: 111965
Cite item
Full Text
Abstract
BACKGROUND: Smoking is an important societal problem that greatly threatens the health of the population.
AIMS: To study the effect of smoking on the hepatobiliary system of rats.
MATERIALS AND METHODS: We used 46 outbred white male rats. The control group comprised intact animals (n=10). The experimental rats in groups 1 (n=12), 2 (n=12), and 3 (n=12) were exposed to an atmosphere of tobacco smoke for 7, 14, and 21 days, respectively.
RESULTS: The greatest changes in the liver were noted in the third group. Small foci of necrosis were detected, around which a perifocal inflammatory reaction occurred. Signs of hydropic dystrophy and the presence of acidophilic lumps around the nuclei and thrombotic masses in the vessels were found. Signs of the capillaryization of the sinusoids were revealed. In all experimental groups, the number of cells up to 10 µm in diameter significantly increased. The percentage of cells with a diameter of up to 10–20 µm increased in the central zone in group 1; that in group 2 increased by 3 and 2.6 times in the central and peripheral zones, respectively; and that in group 3 increased by 3.4 and 2.8 times in the central and peripheral zones, respectively (p <0.001). The number of cells with a diameter of up to 20–30 µm decreased in group 1, that in in group 2 decreased by 1.9 and 1.5 times in the central and peripheral zones, respectively; and that in group 3 decreased by 2.7 and 2.0 times in the central and peripheral zones, respectively (p <0.001). The number of cells with a diameter of more than 30 had changed and showed the greatest changes in the peripheral zones: that in groups 1 and 2 decreased by 2.7 times, and that in group 3 decreased by 2.9 times.
CONCLUSIONS: Under tobacco smoke intoxication in rats, dystrophic and necrobiotic changes occurred in the liver, the number of binuclear cells decreased, the number of normal hepatocytes with a diameter of 20–30 μm decreased, and the percentage of cells with diameters of up to 10 and 10–20 μm increased.
Keywords
Full Text
ОБОСНОВАНИЕ
Курение рассматривается как один из факторов, неблагоприятно влияющих на здоровье [1, 2], поскольку повышает риск развития сердечно-сосудистых, респираторных, онкологических заболеваний. Так, в анамнезе курение отмечено примерно у 40% пациентов с заболеваниями печени. Токсические эффекты табакокурения включают окислительный стресс, вызванный веществами в сигаретном дыме с цитотоксическими свойствами, курение увеличивает содержание провоспалительных цитокинов (ИЛ-1, ИЛ-6, ИЛ-8 и фактор некроза опухоли α).
Несмотря на то, что никотин, содержащийся в любой табачной продукции, претерпевает первичный метаболизм в печени, специалисты традиционно уделяют мало внимания процессам, связанным с курением [3]. Это может привести к ошибочному мнению, что курение само по себе не оказывает влияния на структуру печени. Печень — орган, метаболизирующий различные чужеродные вещества, яды и токсины, кроме того, она занимает ключевые позиции в поддержании гомеостаза в организме, играет важную роль в адаптационных реакциях, что определяется её участием в осуществлении метаболических функций, поддержании межорганных и межсистемных связей [3].
Цель — изучить влияние пассивного курения табака на структурную организацию гепатоцитов у крыс.
МАТЕРИАЛЫ И МЕТОДЫ
Проведено экспериментальное исследование на крысах в условиях вивария Чувашского государственного университета имени И.Н. Ульянова. В эксперименте были задействованы 46 беспородных белых крыс-самцов в возрасте 3 мес, массой 230 г. Все животные содержались при одинаковых условиях: температура воздуха составляла +20–23°С, влажность — 70–75%. Животных разделили на 4 группы: интактная группа (n=10) — крысы находились в затравочной камере без табачного дыма. Опытные группы 1, 2, 3 (n=36, по 12 животных в каждой группе) — крысы находились в табачном дыме в течение 7, 14, 21 сут. Применялась пластиковая камера объёмом 0,3 м3. Задымление камеры происходило при помощи дыма от сигареты, помещённой в удерживающее устройство. По мере сгорания сигарету заменяли, тем самым обеспечивали постоянное поступление дыма в затравочную камеру. Равномерности распределения дыма достигали за счёт вентилятора.
Расчёт эквивалентной дозы никотина и времени экспозиции животных табачным дымом проводили при помощи апробированной модели [4] и расчётов [5, 6].
Принимая во внимание расчётные данные, в затравочную камеру запускали по пять животных. Одна крыса в одном опыте получала максимум 0,048 мг никотина, что соответствует суточной дозе (в пересчёте) для человека. В эксперименте применялись сигареты, в дыме которых содержатся следующие вещества (согласно Межгосударственному стандарту от 1 января 2003 г. ГОСТ 3935—2000 «Сигареты. Общие технические условия» и Федеральному закону от 22 декабря 2008 г. № 268-ФЗ «Технический регламент на табачную продукцию»): смолы — 10 мг/сиг., никотин — 1 мг/сиг. После окончания каждого 30-минутного сеанса крыс извлекали из затравочной камеры и содержали в санитарных условиях вивария.
Выведение животных из эксперимента проводилось через 7 (группа 1), 14 (группа 2) и 21 (группа 3) сут. Крыс усыпляли углекислым газом и извлекали печень. Материал фиксировали в 10% растворе нейтрального формалина, обезвоживали в спиртах восходящей концентрации и заливали в парафин. Из парафиновых блоков готовили серийные срезы толщиной 6 мкм. Гистологические препараты окрашивали гематоксилином и эозином, изучали под микроскопом Leica DM4000B (Leica Microsystems, Германия), используя лицензионную программу Leica Application Suite 3.8.0. На гистологических препаратах ткани печени с помощью окулярной микрометрической линейки и сетки Автандилова вычисляли объёмные доли очагов некроза, сосудистого русла, дистрофически изменённых клеток и нормальных гепатоцитов, а также измеряли диаметр клеток.
Статистический анализ
Данные обрабатывали в программе Statistica 6.0. Использовали непараметрический статистический U-критерий Манна–Уитни (Mann–Whitney U-test). Показатели по сравнению с контрольной группой оказались значимы при p <0,05, p <0,01 и p <0,001 (табл. 1).
Таблица 1. Морфологические изменения в печени при экспозиции животных в условиях табачного дыма
Table 1. Morphological changes in the liver during the exposure of animals to tobacco smoke
| Показатели / Parameters | Группа / Group | |||
| контроля / сontrol | 1 | 2 | 3 | |
| Доля области / Lobe area, %: | ||||
| сосудов / vessels | 26,1±1,2*** | 27,3±0,9 | 28,2±1,2 | 31,1±2,2** | 
| некроза / necrosis | 0*** | 1,0±0,2 | 5,2±0,9* | 12,3±1,1 | 
| Количество клеток / number of cells, %: | ||||
| с вакуольной дистрофией / with hydropic degeneration | 5,2±1,1*** | 11,3±1,7*** | 12,3±1,2 | 19,2±1,9*** | 
| с гиалиново-капельной дистрофией / with hyaline-drop dystrophy | 4,3±1,2*** | 13,5±1,9** | 15,8±1,9 | 23,5±2,3** | 
| нормальных / normal | 90,5±2,2*** | 75,2±3,9 | 71,1±2,1** | 57,3±2,1** | 
| диаметром до 10 мкм / with a diameter up to 10 µm: ЦЗДП / CAL ПЗДП / PAL | 0*** 0*** | 15,3±0,9** 14,9±1,2** | 30,9±1,8 31,3±1,7*** | 47,3±2,8 42,5±2,6*** | 
| диаметром 10–20 мкм / with a diameter 10–20 µm: ЦЗДП / CAL ПЗДП / PAL | 5,1±0,9*** 5,0±0,8*** | 8,9±1,5*** 8,7±1,3 | 16,3±2,2 12,9±1,7 | 17,4±1,1 14,1±0,9*** | 
| диаметром 20–30 мкм / with a diameter 20–30 µm: ЦЗДП / CAL ПЗДП / PAL | 84,4±0,8*** 75,2±0,6*** | 67,6±1,8*** 69,1±2,2 | 44,2±2,7** 47,9±2,5** | 30,2±1,7 36,7±1,5** | 
| диаметром более 30 мкм / with a diameter of more than 30 µm: ЦЗДП / CAL ПЗДП / PAL | 10,5±0,8** 19,8±0,6* | 8,2±1,9 7,3±1,6** | 8,6±0,3** 7,9±0,8* | 5,1±0,9*** 6,7±1,1* | 
| двуядерных / binuclear | 12,5±0,8*** | 19,2±1,1 | 26,1±1,2 | 16,3±1,5*** | 
Примечание: ЦЗДП — центральные зоны долек печени; ПЗДП — периферические зоны долек печени. Достоверность показателей по сравнению с контрольной группой: * p <0,05; ** p <0,01; *** p <0,001.
Note: CAL — central areas of the liver; PAL — peripheral areas of the liver. Significance of parameters compared with the control group: * p <0.05; ** p <0.01; *** p <0.001.
Этическая экспертиза
Эксперименты основывали на принципах гуманности, изложенных в Директиве Совета Европейского Союза (86/609/ЕЭС), а также в ГОСТ Р 53434—2009 от 1 марта 2010 г. «Принципы надлежащей лабораторной практики» (идентичен GLP OECD). Проведение эксперимента одобрено этическим комитетом медицинского факультета Чувашского государственного университета им. И.Н. Ульянова (протокол № 5/8 от 18 июня 2015 г.).
РЕЗУЛЬТАТЫ
У интактных животных: строение печени дольчатое; гистологическое исследование показало, что гепатоциты долек многогранной формы. Печёночные клетки образовали неправильные ряды, которые, ветвясь, располагались от периферии дольки в сторону центральной вены. Ядра гепатоцитов — округлые, с хорошо выраженной кариолеммой, отчётливо видимыми ядрышками и глыбками хроматина. Среди печёночных клеток встречались двуядерные, количество которых составило 12,5±0,8%. Между рядами гепатоцитов располагались синусоиды, выстланные изнутри эндотелием с овально-вытянутыми гиперхромными ядрами.
У животных группы 1 в печени отмечались признаки дистрофии гепатоцитов. Подсчёт дистрофически изменённых клеток выявил повышенное их количество по сравнению с контрольными цифрами (см. табл. 1). Центральные и воротные вены печени умеренно полнокровные, по портальным трактам местами наблюдались клеточные инфильтраты.
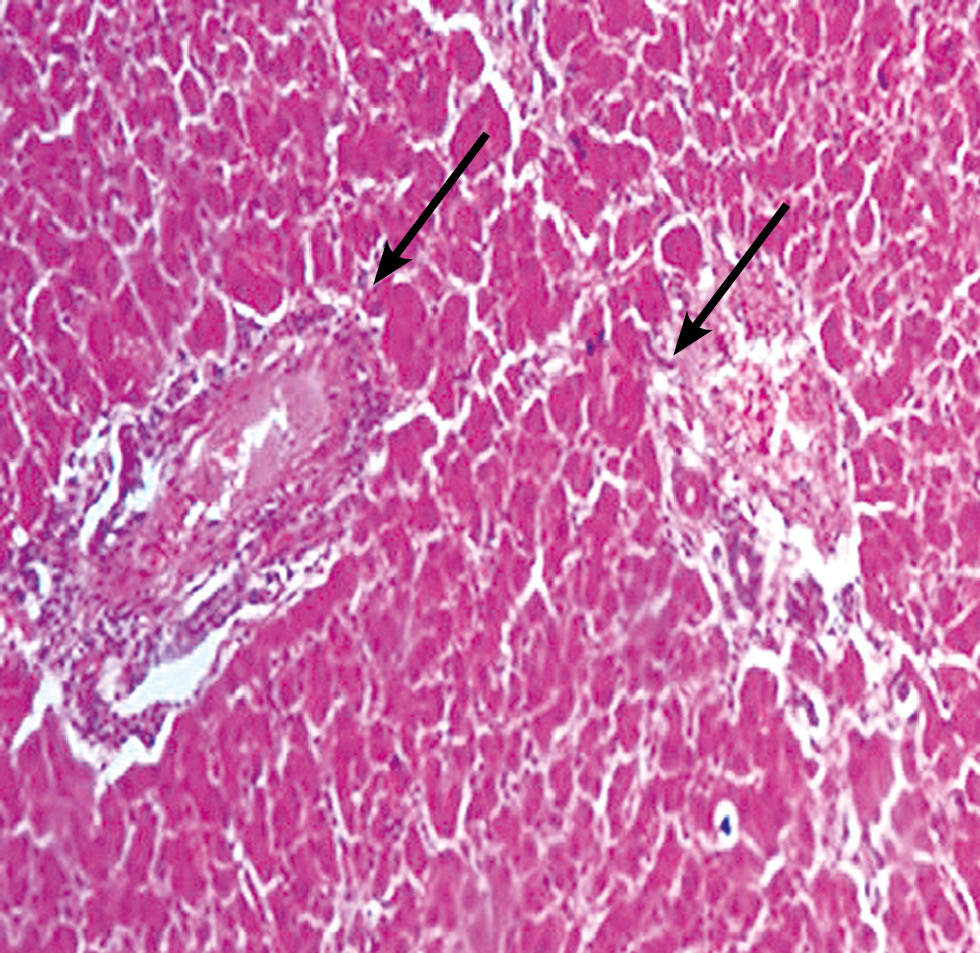
У животных группы 2 также отмечалось увеличение числа дистрофически изменённых клеток по сравнению с контрольными животными (см. табл. 1). Выявили полнокровие центральной вены, расширенные отёчные синусоиды (рис. 1). Появилось небольшое количество гепатоцитов с признаками некробиоза и в состоянии кариопикноза.
Рис. 1. Группа 2: микроскопическая картина полнокровия центральной вены (чёрная стрелка), расширенных отёчных синусоидов (синие стрелки). Окраска гематоксилином–эозином, ×400.
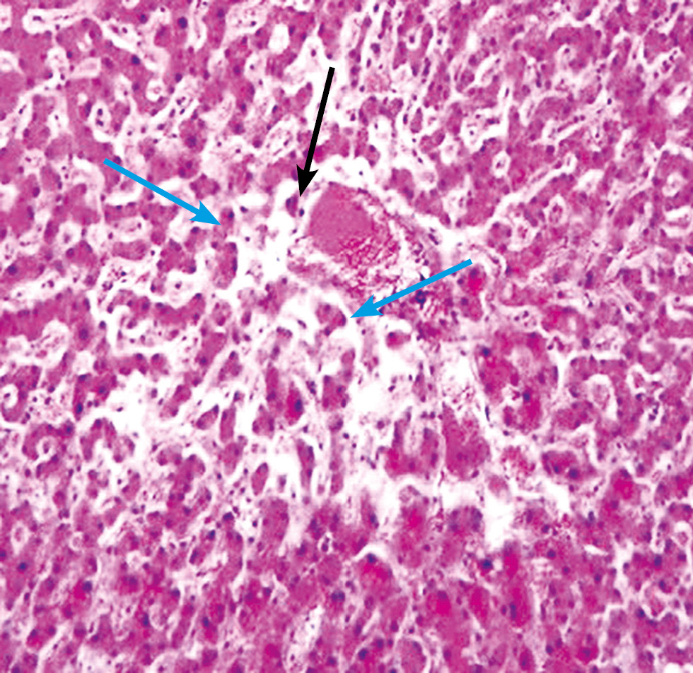
У животных группы 3 наблюдалось не только полнокровие сосудов и мелкие кровоизлияния, но и в некоторых печёночных сосудах отмечались тромботические массы, дистрофические изменения в цитоплазме гепатоцитов (рис. 2). Число таких клеток возрастало по сравнению с контрольной группой (см. табл. 1).
Рис. 2. Группа 3: микроскопическая картина тромботических масс в печёночных сосудах (чёрные стрелки). Окраска гематоксилином–эозином, ×900.
У животных группы 3 в печени выявили ацидофильные глыбки, мелкие очаги некроза, вокруг которых развивалась перифокальная воспалительная реакция в виде клеточных инфильтратов. Инфильтрацию также наблюдали по ходу портального тракта. В синусоидах — признаки капилляризации.
Митозов у животных опытных групп, как и в контрольной, не отмечено. Подсчёт показал уменьшение числа двуядерных клеток у опытных крыс по сравнению с интактными (см. табл. 1).
Наряду с гепатоцитами, которые подверглись некробиотическим и дистрофическим изменениям, отмечено некоторое число клеток с признаками достаточной или повышенной функциональной активности. Ядра таких гепатоцитов — крупные, округлой формы, с неглубокими инвагинациями кариолеммы. Визуализируются одно-два ядрышка, в некоторых клетках — до четырёх. Ядрышки округлой формы, локализовались эксцентрично.
Увеличилась объёмная доля внутридольковых синусов по сравнению с группой контрольных животных (см. табл. 1). Вероятно, это отражение застойных процессов в паренхиме печени. В междольковых структурах также выявили венозное полнокровие, которое сопровождалось периваскулярной лейкоцитарной инфильтрацией и кровоизлияниями. Исследование показало, что увеличилось число дистрофически изменённых клеток. В цитоплазме гепатоцитов сформированные вакуоли имели разные размеры, часто можно было встретить крупные, имеющие неправильную форму. В редких случаях наблюдались баллонные клетки. При подсчёте нормальных клеток во всех группах выявлено их снижение по сравнению с контрольной группой.
В группе 1 опытных животных в ЦЗДП и ПЗДП наблюдали тенденцию к росту процентного содержания клеток диаметром до 10 и 10–20 мкм (см. табл. 1), а процентное содержание клеток диаметром до 20–30 и более 30 мкм снизилось в 1,2 и в 2,7 раза.
Во группе 2 увеличилось процентное содержание клеток диаметром до 10 мкм как в ЦЗДП, так и в ПЗДП, процентное содержание клеток диаметром до 10–20 мкм повысилось в 3 раза в ЦЗДП, в 2,6 — в ПЗДП. Содержание клеток диаметром до 20–30 мкм в ЦЗДП уменьшилось в 1,9 раза, в ПЗДП — в 1,5 раза. Процентное содержание клеток диаметром более 30 мкм уменьшилось в 2,7 раза.
В группе 3 процентное содержание клеток диаметром до 10 мкм увеличилось как в ЦЗДП, так и в ПЗДП (см. табл. 1). Процентное содержание клеток диаметром до 10–20 мкм повысилось в 3,4 раза в ЦЗДП, а в ПЗДП — в 2,8 раза, клеток диаметром до 20–30 мкм в ЦЗДП — уменьшилось в 2,7 раза, в ПЗДП — в 2,0 раза. Процентное содержание клеток диаметром более 30 мкм уменьшилось в 2,9 раза.
ОБСУЖДЕНИЕ
В представленном исследовании наибольшие изменения отмечались у животных группы 3, у которых, помимо полнокровия сосудов, появились кровоизлияния. Увеличилось процентное содержание клеток с вакуольной дистрофией, некрозом. Возможно, вследствие развития тканевой гипоксии с нарушением микроциркуляции, эти процессы сопровождаются оксидативным стрессом, характеризующимся усилением перекисного окисления липидов клеточных мембран, что служит ведущим механизмом повреждения клеток. Вероятно, что именно этим и можно объяснить формирование участков некроза и дистрофических процессов в печеночной ткани [4]. В сосудах печени обнаружены тромботические массы. Наблюдались признаки капилляризации синусоидов, вследствие преобразования фенестрированных печеночных синусоидов в нефенестрированные капилляры с одновременным отложением ламинина и коллагена в перисинусоидном пространстве Диссе, что приводит к формированию базальной мембраны между эндотелием и гепатоцитами. Капилляризация синусоидов печени вызывает гипоксию, поскольку печёночный синусоид — самая узкая сосудистая структура в печени и основное место регуляции кровотока [7]. Особо следует отметить, что в цитоплазме гепатоцитов вокруг ядра отмечались ацидофильные глыбки, представляющие собой белковый материал, который не встречается в норме. Данные глыбки представляют собой цитокератины (белки промежуточных филаментов цитоскелета эпителиальных клеток) [8–10]. Следовательно, данный тип кумулятивной дистрофии развивается по механизму извращённого синтеза. Синтез цитокератинов, вероятно под влиянием табачного дыма, происходит в некоторых гепатоцитах особенно активно. Образованные в большом количестве фибриллярные белки формируют очаговое скопление, расположенное парануклеарно.
В условиях пассивного табакокурения у крыс изменялись размеры гепатоцитов, выявлено значимое увеличение числа клеток диаметром до 10 и 10–20 мкм в центральных и периферических частях долек. При подсчёте двуядерных клеток получены неоднозначные результаты: у крыс в группах 1, 2 — рост показателей, в группе 3 — снижение, что свидетельствует о нарушении регенераторного потенциала под влиянием табачного дыма [11, 12].
ЗАКЛЮЧЕНИЕ
При интоксикации табачным дымом в печени крыс развивались дистрофические и некробиотические явления, которые в значительной степени изменяли микроскопическое строение органа, что, возможно, отрицательно сказывается на его функциональной активности. Интоксикация табачным дымом приводит к ослаблению регенераторного потенциала печени, что проявляется снижением числа двуядерных клеток и значимым уменьшением нормальных гепатоцитов диаметром 20–30 мкм, а также увеличением относительного количества клеток диаметром до 10 и 10–20 мкм как в центральных, так и в периферических зонах долек печени.
ДОПОЛНИТЕЛЬНАЯ ИНФОРМАЦИЯ
Конфликт интересов. Авторы декларируют отсутствие явных и потенциальных конфликтов интересов, связанных с публикацией настоящей статьи.
Вклад авторов: И.И. Малышев — концепция и дизайн исследования, сбор и обработка материала, написание и редактирование текста; О.В. Воробьева, Л.П. Романова — сбор и обработка материала, написание и редактирование текста. Все авторы подтверждают соответствие своего авторства международным критериям ICMJE (все авторы внесли существенный вклад в разработку концепции, проведение исследования и подготовку статьи, прочли и одобрили финальную версию перед публикацией).
ADDITIONAL INFO
Competing interests. The authors declare that they have no competing interests.
Authors contributions: I.I. Malyshev created the concept and design of the study, collected and processed the material, and wrote and edited the text, O.V. Vorobieva and L.P. Romanova collected and processed the material and wrote and edited the text. All authors confirm that their authorship meets the international ICMJE criteria (all authors have made a significant contribution to the development of the concept, research and preparation of the article, read and approved the final version before publication).
About the authors
Igor I. Malyshev
Mari State University
														Email: malichev_med@mail.ru
				                	ORCID iD: 0000-0001-8930-5537
				                	SPIN-code: 5905-5397
																		                								
MD, Dr. Sci. (Med.), Professor
Russian Federation, Yoshkar-OlaOlga V. Vorobeva
Chuvash State University named after I.N. Ulyanova
							Author for correspondence.
							Email: olavorobeva@mail.ru
				                	ORCID iD: 0000-0003-3259-3691
				                	SPIN-code: 5084-1379
																		                								
MD, Cand. Sci. (Med.), Associate Professor
Russian Federation, CheboksaryLyubov P. Romanova
Chuvash State University named after I.N. Ulyanova
														Email: samung2008@yandex.ru
				                	ORCID iD: 0000-0003-0556-8490
				                	SPIN-code: 7016-7283
																		                								
MD, Cand. Sci. (Biol), Associate Professor
Russian Federation, CheboksaryReferences
- The top 10 causes of death. WHO Fact Sheet, 2020 [cited 21 March 2021]. Available from: https://www.who.int/ru/news-room/fact-sheets/detail/the-top-10-causes-of-death. (In Russ).
- Pimpin L, Cortez-Pinto H, Negro F, et al. EASL HEPAHEALTH Steering Committee. Burden of liver disease in Europe: epidemiology and analysis of risk factors to identify prevention policies. J Hepatol. 2018;69(30):718–735.
- Bataller R. Time to ban smoking in patients with chronic liver diseases. Hepatology. 2006;44(6):1394–1396. doi: 10.1002/hep.21484
- Solomina AS. Vliyanie afobazola na geneticheskuyu i reproduktivnuyu toksichnost tabachnogo dyma u krys [dissertation]. Мoscow; 2011. 139 p. Available from: https://viewer.rsl.ru/ru/rsl01004915335. Accessed: Jan 12, 2021. (In Russ).
- Lizurchik LV, Sheyda EV. Influence of tobacco smoke on the content of toxic elements in the body of rats. Vestnik Orenburgskogo gosudarstvennogo universiteta. 2014;6(167):71–4. Available from: https://elibrary.ru/download/elibrary_22011033_58612801.pdf (In Russ).
- Lizurchik LV. The effect of tobacco intoxication on the functional state of laboratory animals and elemental homeostasis in the mother-placenta-fetus system [dissertation]. Moscow; 2022. 162 p. (In Russ).
- Polidori МС, Mecocci Р, Stahl W, Sies Н. Cigarette smoking cessation increases plasma levels of several antioxidant micronutrients and improves resistance towards oxidative challenge. Br J Nutr. 2003;90(1):147–1450. doi: 10.1079/bjn2003890
- Jensen K, Gluud C. The Mallory body: morphological, clinical and experimental studies (Part 1 of a literature survey). Hepatology. 1994;20(4 Pt 1):1061–1077. doi: 10.1002/hep.1840200440
- Michel RP, Limacher JJ, Kimoff RJ. Mallory bodies in scar adenocarcinoma of the lung. Hum Pathol. 1982;13(1):81–85. doi: 10.1016/S0046-8177(82)80143-3
- Stumptner C, Fuchsbichler A, Zatloukal K, Denk H. In vitro production of Mallory bodies and intracellular hyaline bodies: the central role of sequestosome 1/p62. Hepatology. 2007;46(3):851–860. doi: 10.1002/hep.21744
- Fan G, Ya Y, Ni X, Hou J, et al. Application Value of Magnetic Resonance Perfusion Imaging in the early diagnosis of rat hepatic fibrosis. Biomed Res Int. 2019;2019:5095934. doi: 10.1155/2019/5095934
- Romanova LP, Malyshev II, Vorobyova OV. Physiological blood indices of young rats after mechanical traumas of liver in the condition of biologically active substances. Vestnik Chuvashskogo gosudarstvennogo pedagogicheskogo universiteta im. I.Ya. Yakovleva. 2010;4(68):167–171. (In Russ).
Supplementary files
 
				
			 
					 
						 
						 
									
 
  
  
  Email this article
			Email this article 




 Периодический печатный журнал зарегистрирован как СМИ Федеральной службой по надзору в сфере связи, информационных технологий и массовых коммуникаций (Роскомнадзор): №
 Периодический печатный журнал зарегистрирован как СМИ Федеральной службой по надзору в сфере связи, информационных технологий и массовых коммуникаций (Роскомнадзор): №